JavaScript is disabled in your browser. Please enable JavaScript to view this website.
AB195808

Anti-NDUFS6 antibody [EPR15957-37]

Be the first to review this product! Submit a review

|

(5 Publications)

Rabbit Recombinant Monoclonal NDUFS6 antibody. Suitable for WB, ICC/IF, Flow Cyt (Intra), IHC-P and reacts with Mouse, Rat, Human samples. Cited in 5 publications.

View Alternative Names

Complex I-13kD-A, NADH-ubiquinone oxidoreductase 13 kDa-A subunit, CI-13kD-A, NDUFS6

8 Images
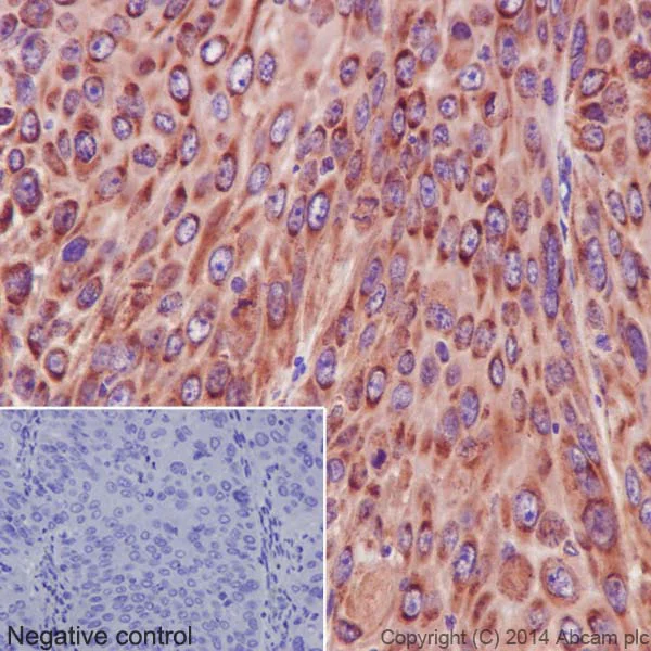
Immunohistochemistry (Formalin/PFA-fixed paraffin-embedded sections) - Anti-NDUFS6 antibody [EPR15957-37] (AB195808)
  • IHC-P

Supplier Data

Immunohistochemistry (Formalin/PFA-fixed paraffin-embedded sections) - Anti-NDUFS6 antibody [EPR15957-37] (AB195808)

Immunohistochemical analysis of paraffin-embedded Human cervix squamous cell carcinoma tissue labeling NDUFS6 with ab195808 at 1/500 dilution followed by Goat Anti-Rabbit IgG H&L (HRP) (ab97051) at 1/500 dilution and counter-stained with Hematoxylin. (inset : negative control).

Note : Cytoplasm staining on human squamous cell carcinoma of cervix tissue was observed.

Perform heat mediated antigen retrieval with Tris/EDTA buffer pH 9.0 before commencing with IHC staining protocol.

Immunohistochemistry (Formalin/PFA-fixed paraffin-embedded sections) - Anti-NDUFS6 antibody [EPR15957-37] (AB195808)
  • IHC-P

Supplier Data

Immunohistochemistry (Formalin/PFA-fixed paraffin-embedded sections) - Anti-NDUFS6 antibody [EPR15957-37] (AB195808)

Immunohistochemical analysis of paraffin-embedded Human kidney tissue labeling NDUFS6 with ab195808 at 1/500 dilution followed by Goat Anti-Rabbit IgG H&L (HRP) (ab97051) at 1/500 dilution and counter-stained with Hematoxylin. (inset : negative control).

Note : Cytoplasm staining on human kidney tissue was observed.

Perform heat mediated antigen retrieval with Tris/EDTA buffer pH 9.0 before commencing with IHC staining protocol.

Immunocytochemistry/ Immunofluorescence - Anti-NDUFS6 antibody [EPR15957-37] (AB195808)
  • ICC/IF

Supplier Data

Immunocytochemistry/ Immunofluorescence - Anti-NDUFS6 antibody [EPR15957-37] (AB195808)

Immunofluorescent analysis of HeLa cells (100% methanol-fixed 0.1% tritonX-100 permeabilized) labeling NDUFS6 with ab195808 at 1/200 dilution followed by Goat anti rabbit IgG (AlexaFluor® 488) (ab150077) secondary at 1/400 dilution and counter-stained with DAPI (blue).

Note : Cytoplasm staining on HeLa cell line was observed.

Flow Cytometry (Intracellular) - Anti-NDUFS6 antibody [EPR15957-37] (AB195808)
  • Flow Cyt (Intra)

Supplier Data

Flow Cytometry (Intracellular) - Anti-NDUFS6 antibody [EPR15957-37] (AB195808)

Intracellular flow cytometric analysis of NIH 3T3 cells (paraformaldehyde-fixed, 2%) labeling NDUFS6 with ab195808 at 1/90 dilution (red) or a Rabbit monoclonal IgG (negative) (black), followed by Goat anti rabbit IgG (FITC) secondary at 1/150 dilution. Unlabeled cells (Blue).

Western blot - Anti-NDUFS6 antibody [EPR15957-37] (AB195808)
  • WB

Supplier Data

Western blot - Anti-NDUFS6 antibody [EPR15957-37] (AB195808)

All lanes:

Western blot - Anti-NDUFS6 antibody [EPR15957-37] (ab195808) at 1/10000 dilution

Lane 1:

Human fetal heart lysate at 20 µg

Lane 2:

Human skeletal muscle lysate at 20 µg

Secondary

All lanes:

Anti-Rabbit IgG (HRP), specific to the non-reduced form of IgG at 1/1000 dilution

Predicted band size: 13 kDa

true

Exposure time: 30s

Western blot - Anti-NDUFS6 antibody [EPR15957-37] (AB195808)
  • WB

Supplier Data

Western blot - Anti-NDUFS6 antibody [EPR15957-37] (AB195808)

All lanes:

Western blot - Anti-NDUFS6 antibody [EPR15957-37] (ab195808) at 1/10000 dilution

Lane 1:

Human fetal kidney lysate at 20 µg

Lane 2:

Human fetal brain lysate at 20 µg

Secondary

All lanes:

Anti-Rabbit IgG (HRP), specific to the non-reduced form of IgG at 1/1000 dilution

Predicted band size: 13 kDa

true

Exposure time: 3min

Western blot - Anti-NDUFS6 antibody [EPR15957-37] (AB195808)
  • WB

Supplier Data

Western blot - Anti-NDUFS6 antibody [EPR15957-37] (AB195808)

All lanes:

Western blot - Anti-NDUFS6 antibody [EPR15957-37] (ab195808) at 1/1000 dilution

All lanes:

PC-12 cell lysate

Secondary

All lanes:

Anti-Rabbit IgG (HRP), specific to the non-reduced form of IgG at 1/1000 dilution

Predicted band size: 13 kDa

true

Exposure time: 3min

Western blot - Anti-NDUFS6 antibody [EPR15957-37] (AB195808)
  • WB

Supplier Data

Western blot - Anti-NDUFS6 antibody [EPR15957-37] (AB195808)

All lanes:

Western blot - Anti-NDUFS6 antibody [EPR15957-37] (ab195808) at 1/1000 dilution

Lane 1:

Mouse brain tissue lysate at 10 µg

Lane 2:

Mouse heart tissue lysate at 10 µg

Lane 3:

Mouse kidney tissue lysate at 10 µg

Lane 4:

Rat brain tissue lysate at 10 µg

Secondary

All lanes:

Anti-Rabbit IgG (HRP), specific to the non-reduced form of IgG at 1/1000 dilution

Predicted band size: 13 kDa

true

Exposure time: 10s

  • Carrier free

    Anti-NDUFS6 antibody [EPR15957-37] - BSA and Azide free

Key facts

Host species

Rabbit

Clonality

Monoclonal

Clone number

EPR15957-37

Isotype

IgG

Carrier free

No

Reacts with

Mouse, Rat, Human

Applications

IHC-P, ICC/IF, WB, Flow Cyt (Intra)

applications

Immunogen

The exact immunogen used to generate this antibody is proprietary information.

Reactivity data

{ "title": "Reactivity Data", "filters": { "stats": ["", "Species", "Dilution Info", "Notes"], "tabs": { "all-applications": {"fullname" : "All Applications", "shortname": "All Applications"}, "WB" : {"fullname" : "Western blot", "shortname":"WB"}, "ICCIF" : {"fullname" : "Immunocytochemistry/ Immunofluorescence", "shortname":"ICC/IF"}, "FlowCytIntra" : {"fullname" : "Flow Cytometry (Intracellular)", "shortname":"Flow Cyt (Intra)"}, "IHCP" : {"fullname" : "Immunohistochemistry (Formalin/PFA-fixed paraffin-embedded sections)", "shortname":"IHC-P"} }, "product-promise": { "all": "all", "testedAndGuaranteed": "tested", "guaranteed": "expected", "predicted": "predicted", "notRecommended": "not-recommended" } }, "values": { "Human": { "WB-species-checked": "testedAndGuaranteed", "WB-species-dilution-info": "1/1000", "WB-species-notes": "<p></p>", "ICCIF-species-checked": "testedAndGuaranteed", "ICCIF-species-dilution-info": "1/200", "ICCIF-species-notes": "<p></p>", "FlowCytIntra-species-checked": "guaranteed", "FlowCytIntra-species-dilution-info": "", "FlowCytIntra-species-notes": "", "IHCP-species-checked": "testedAndGuaranteed", "IHCP-species-dilution-info": "1/250", "IHCP-species-notes": "<p></p>" }, "Mouse": { "WB-species-checked": "testedAndGuaranteed", "WB-species-dilution-info": "1/1000", "WB-species-notes": "<p></p>", "ICCIF-species-checked": "guaranteed", "ICCIF-species-dilution-info": "", "ICCIF-species-notes": "", "FlowCytIntra-species-checked": "testedAndGuaranteed", "FlowCytIntra-species-dilution-info": "1/90", "FlowCytIntra-species-notes": "<p><a href='/en-us/products/primary-antibodies/rabbit-igg-monoclonal-epr25a-isotype-control-ab172730'>ab172730</a> - Rabbit monoclonal IgG, is suitable for use as an isotype control with this antibody.</p>", "IHCP-species-checked": "guaranteed", "IHCP-species-dilution-info": "", "IHCP-species-notes": "" }, "Rat": { "WB-species-checked": "testedAndGuaranteed", "WB-species-dilution-info": "1/1000", "WB-species-notes": "<p></p>", "ICCIF-species-checked": "guaranteed", "ICCIF-species-dilution-info": "", "ICCIF-species-notes": "", "FlowCytIntra-species-checked": "guaranteed", "FlowCytIntra-species-dilution-info": "", "FlowCytIntra-species-notes": "", "IHCP-species-checked": "guaranteed", "IHCP-species-dilution-info": "", "IHCP-species-notes": "" } } }

Product details

Patented technology
Our RabMAb® technology is a patented hybridoma-based technology for making rabbit monoclonal antibodies. For details on our patents, please refer to RabMAb® patents.

What are the advantages of a recombinant monoclonal antibody?
This product is a recombinant monoclonal antibody, which offers several advantages including:

  • - High batch-to-batch consistency and reproducibility
  • - Improved sensitivity and specificity
  • - Long-term security of supply
  • - Animal-free batch production

For more information, read more on recombinant antibodies.

Properties and storage information

Form
Liquid
Purification technique
Affinity purification Protein A
Storage buffer
pH: 7.2 - 7.4 Preservative: 0.01% Sodium azide Constituents: PBS, 40% Glycerol (glycerin, glycerine), 0.05% BSA
Shipped at conditions
Blue Ice
Appropriate short-term storage duration
1-2 weeks
Appropriate short-term storage conditions
+4°C
Appropriate long-term storage conditions
-20°C
Aliquoting information
Upon delivery aliquot
Storage information
Avoid freeze / thaw cycle

Supplementary information

This supplementary information is collated from multiple sources and compiled automatically.

NDUFS6 also known as NADH:ubiquinone oxidoreductase subunit S6 serves a critical role in mitochondrial function. It forms a component of the mitochondrial complex I which is the first enzyme of the electron transport chain. NDUFS6 has a molecular weight of approximately 15 kDa. Researchers found this protein expressed in a variety of tissues though it is typically higher in metabolically active tissues such as heart liver and skeletal muscles.
Biological function summary

NDUFS6 contributes to the generation of ATP by participating in oxidative phosphorylation. It is part of the mitochondrial complex I a multisubunit assembly essential for electron transfer from NADH to ubiquinone. The proper function of this subunit is necessary for the activity of complex I which significantly impacts the production of cellular energy. Disruptions in this protein's function can impair energy metabolism affecting numerous cell processes.

Pathways

NDUFS6 plays a role in the electron transport chain and oxidative phosphorylation pathway. By facilitating electron transfer it helps maintain the electrochemical gradient across the inner mitochondrial membrane which is important for ATP synthesis. NDUFS6 works closely with other complex I proteins like NDUFS1 and NDUFS7 ensuring efficient energy production and cellular respiration. Its activity impacts broader cellular processes reflecting in energy homeostasis and cellular growth.

NDUFS6 mutations have connections with mitochondrial diseases and disorders like Leigh syndrome. This protein's dysfunction can lead to defects in energy generation resulting in neuromuscular symptoms and systemic issues. Researchers also correlate improper NDUFS6 function with complex I deficiencies where other proteins such as NDUFS1 are often implicated. Understanding the role of NDUFS6 in these disorders aids the investigation of mitochondrial dysfunction and offers pathways for potential therapeutic targets.

Product protocols

For this product, it's our understanding that no specific protocols are required. You can visit:

Target data

Accessory subunit of the mitochondrial membrane respiratory chain NADH dehydrogenase (Complex I), that is believed not to be involved in catalysis. Complex I functions in the transfer of electrons from NADH to the respiratory chain. The immediate electron acceptor for the enzyme is believed to be ubiquinone.
See full target information NADH dehydrogenase [ubiquinone] iron-sulfur protein 6, mitochondrial

Publications (5)

Recent publications for all applications. Explore the full list and refine your search

Cell death discovery 11:249 PubMed40399258

2025

Gene therapy prevents onset of mitochondrial cardiomyopathy in neonatal mice with Ndufs6 deficiency.

Applications

Unspecified application

Species

Unspecified reactive species

Xiaoxian Zhang,Li Huang,Cheng Li,Jinjuan Yang,Fuyu Duan,Qiang Su,Yuelin Zhang,Meng Kou,Xiaoya Zhou,Liyan Guo,Shaoxiang Chen,Yongxia Niu,Ziyue Li,Sihua Ou,Min Zhang,Kenneth King-Yip Cheng,Jianlong Wu,Xiang Xu,Qizhou Lian

EMBO reports 26:1835-1862 PubMed40055465

2025

MIA40 suppresses cell death induced by apoptosis-inducing factor 1.

Applications

Unspecified application

Species

Unspecified reactive species

Ben Hur Marins Mussulini,Klaudia K Maruszczak,Piotr Draczkowski,Mayra A Borrero-Landazabal,Selvaraj Ayyamperumal,Artur Wnorowski,Michal Wasilewski,Agnieszka Chacinska

The Journal of cell biology 223: PubMed38530280

2024

OMA1 protease eliminates arrested protein import intermediates upon mitochondrial depolarization.

Applications

Unspecified application

Species

Unspecified reactive species

Magda Krakowczyk,Anna M Lenkiewicz,Tomasz Sitarz,Dominika Malinska,Mayra Borrero,Ben Hur Marins Mussulini,Vanessa Linke,Andrzej A Szczepankiewicz,Joanna M Biazik,Agata Wydrych,Hanna Nieznanska,Remigiusz A Serwa,Agnieszka Chacinska,Piotr Bragoszewski

Journal of cardiovascular pharmacology 81:259-269 PubMed36668724

2023

Evaluation of Coenzyme Q10 (CoQ10) Deficiency and Therapy in Mouse Models of Cardiomyopathy.

Applications

Unspecified application

Species

Unspecified reactive species

Tian-Tian Pu,Wei Wu,Pei-Da Liang,Jin-Chan Du,Sheng-Li Han,Xiu-Ling Deng,Xiao-Jun Du

Frontiers in aging neuroscience 14:772066 PubMed35221986

2022

Hippocampus-Based Mitochondrial Respiratory Function Decline Is Responsible for Perioperative Neurocognitive Disorders.

Applications

Unspecified application

Species

Unspecified reactive species

Keqiang He,Juan Zhang,Wei Zhang,Sheng Wang,Dingfeng Li,Xiaolin Ma,Xiaofan Wu,Xiaoqing Chai,Qiang Liu
View all publications

Product promise

We are committed to supporting your work with high-quality reagents, and we're here for you every step of the way. In the unlikely event that one of our products does not perform as expected, you're protected by our Product Promise.
For full details, please see our Terms & Conditions

Please note: All products are 'FOR RESEARCH USE ONLY. NOT FOR USE IN DIAGNOSTIC OR THERAPEUTIC PROCEDURES'.

For licensing inquiries, please contact partnerships@abcam.com