JavaScript is disabled in your browser. Please enable JavaScript to view this website.
AB251211

Anti-NDUFS6 antibody [EPR15957-37] - BSA and Azide free

Be the first to review this product! Submit a review

|

(1 Publication)

Rabbit Recombinant Monoclonal NDUFS6 antibody. Carrier free. Suitable for WB, ICC/IF, Flow Cyt (Intra), IHC-P and reacts with Mouse, Rat, Human samples. Cited in 1 publication.

View Alternative Names

Complex I-13kD-A, NADH-ubiquinone oxidoreductase 13 kDa-A subunit, CI-13kD-A, NDUFS6

8 Images
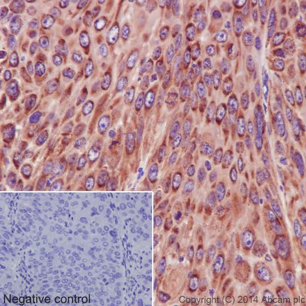
Immunohistochemistry (Formalin/PFA-fixed paraffin-embedded sections) - Anti-NDUFS6 antibody [EPR15957-37] - BSA and Azide free (AB251211)
  • IHC-P

Supplier Data

Immunohistochemistry (Formalin/PFA-fixed paraffin-embedded sections) - Anti-NDUFS6 antibody [EPR15957-37] - BSA and Azide free (AB251211)

This data was developed using ab195808, the same antibody clone in a different buffer formulation.

Immunohistochemical analysis of paraffin-embedded Human cervix squamous cell carcinoma tissue labeling NDUFS6 with ab195808 at 1/500 dilution followed by Goat Anti-Rabbit IgG H&L (HRP) (ab97051) at 1/500 dilution and counter-stained with Hematoxylin. (inset : negative control).

Note : Cytoplasm staining on human squamous cell carcinoma of cervix tissue was observed.

Perform heat mediated antigen retrieval with Tris/EDTA buffer pH 9.0 before commencing with IHC staining protocol.

Immunohistochemistry (Formalin/PFA-fixed paraffin-embedded sections) - Anti-NDUFS6 antibody [EPR15957-37] - BSA and Azide free (AB251211)
  • IHC-P

Supplier Data

Immunohistochemistry (Formalin/PFA-fixed paraffin-embedded sections) - Anti-NDUFS6 antibody [EPR15957-37] - BSA and Azide free (AB251211)

This data was developed using ab195808, the same antibody clone in a different buffer formulation.

Immunohistochemical analysis of paraffin-embedded Human kidney tissue labeling NDUFS6 with ab195808 at 1/500 dilution followed by Goat Anti-Rabbit IgG H&L (HRP) (ab97051) at 1/500 dilution and counter-stained with Hematoxylin. (inset : negative control).

Note : Cytoplasm staining on human kidney tissue was observed.

Perform heat mediated antigen retrieval with Tris/EDTA buffer pH 9.0 before commencing with IHC staining protocol.

Immunocytochemistry/ Immunofluorescence - Anti-NDUFS6 antibody [EPR15957-37] - BSA and Azide free (AB251211)
  • ICC/IF

Supplier Data

Immunocytochemistry/ Immunofluorescence - Anti-NDUFS6 antibody [EPR15957-37] - BSA and Azide free (AB251211)

This data was developed using ab195808, the same antibody clone in a different buffer formulation.

Immunofluorescent analysis of HeLa cells (100% methanol-fixed, 0.1% tritonX-100 permeabilized) labeling NDUFS6 with ab195808 at 1/200 dilution followed by Goat anti rabbit IgG (AlexaFluor® 488) (ab150077) secondary at 1/400 dilution and counter-stained with DAPI (blue).

Note : Cytoplasm staining on HeLa cell line was observed.

Flow Cytometry (Intracellular) - Anti-NDUFS6 antibody [EPR15957-37] - BSA and Azide free (AB251211)
  • Flow Cyt (Intra)

Supplier Data

Flow Cytometry (Intracellular) - Anti-NDUFS6 antibody [EPR15957-37] - BSA and Azide free (AB251211)

This data was developed using ab195808, the same antibody clone in a different buffer formulation.

Intracellular flow cytometric analysis of NIH 3T3 cells (paraformaldehyde-fixed, 2%) labeling NDUFS6 with ab195808 at 1/90 dilution (red) or a Rabbit monoclonal IgG (negative) (black), followed by Goat anti rabbit IgG (FITC) secondary at 1/150 dilution. Unlabeled cells (Blue).

Western blot - Anti-NDUFS6 antibody [EPR15957-37] - BSA and Azide free (AB251211)
  • WB

Supplier Data

Western blot - Anti-NDUFS6 antibody [EPR15957-37] - BSA and Azide free (AB251211)

This data was developed using ab195808, the same antibody clone in a different buffer formulation.

All lanes:

Western blot - Anti-NDUFS6 antibody [EPR15957-37] (<a href='/en-us/products/primary-antibodies/ndufs6-antibody-epr15957-37-ab195808'>ab195808</a>) at 1/10000 dilution

Lane 1:

Human fetal heart lysate at 20 µg

Lane 2:

Human skeletal muscle lysate at 20 µg

Secondary

All lanes:

Anti-Rabbit IgG (HRP), specific to the non-reduced form of IgG at 1/1000 dilution

Predicted band size: 13 kDa

true

Exposure time: 30s

Western blot - Anti-NDUFS6 antibody [EPR15957-37] - BSA and Azide free (AB251211)
  • WB

Supplier Data

Western blot - Anti-NDUFS6 antibody [EPR15957-37] - BSA and Azide free (AB251211)

This data was developed using ab195808, the same antibody clone in a different buffer formulation.

All lanes:

Western blot - Anti-NDUFS6 antibody [EPR15957-37] (<a href='/en-us/products/primary-antibodies/ndufs6-antibody-epr15957-37-ab195808'>ab195808</a>) at 1/10000 dilution

Lane 1:

Human fetal kidney lysate at 20 µg

Lane 2:

Human fetal brain lysate at 20 µg

Secondary

All lanes:

Anti-Rabbit IgG (HRP), specific to the non-reduced form of IgG at 1/1000 dilution

Predicted band size: 13 kDa

true

Exposure time: 3min

Western blot - Anti-NDUFS6 antibody [EPR15957-37] - BSA and Azide free (AB251211)
  • WB

Supplier Data

Western blot - Anti-NDUFS6 antibody [EPR15957-37] - BSA and Azide free (AB251211)

This data was developed using ab195808, the same antibody clone in a different buffer formulation.

All lanes:

Western blot - Anti-NDUFS6 antibody [EPR15957-37] (<a href='/en-us/products/primary-antibodies/ndufs6-antibody-epr15957-37-ab195808'>ab195808</a>) at 1/1000 dilution

All lanes:

PC-12 cell lysate

Secondary

All lanes:

Anti-Rabbit IgG (HRP), specific to the non-reduced form of IgG at 1/1000 dilution

Predicted band size: 13 kDa

true

Exposure time: 3min

Western blot - Anti-NDUFS6 antibody [EPR15957-37] - BSA and Azide free (AB251211)
  • WB

Supplier Data

Western blot - Anti-NDUFS6 antibody [EPR15957-37] - BSA and Azide free (AB251211)

This data was developed using ab195808, the same antibody clone in a different buffer formulation.

All lanes:

Western blot - Anti-NDUFS6 antibody [EPR15957-37] (<a href='/en-us/products/primary-antibodies/ndufs6-antibody-epr15957-37-ab195808'>ab195808</a>) at 1/1000 dilution

Lane 1:

Mouse brain tissue lysate at 10 µg

Lane 2:

Mouse heart tissue lysate at 10 µg

Lane 3:

Mouse kidney tissue lysate at 10 µg

Lane 4:

Rat brain tissue lysate at 10 µg

Secondary

All lanes:

Anti-Rabbit IgG (HRP), specific to the non-reduced form of IgG at 1/1000 dilution

Predicted band size: 13 kDa

true

Exposure time: 10s

Key facts

Host species

Rabbit

Clonality

Monoclonal

Clone number

EPR15957-37

Isotype

IgG

Carrier free

Yes

Reacts with

Mouse, Rat, Human

Applications

ICC/IF, Flow Cyt (Intra), IHC-P, WB

applications

Immunogen

The exact immunogen used to generate this antibody is proprietary information.

Reactivity data

{ "title": "Reactivity Data", "filters": { "stats": ["", "Species", "Dilution Info", "Notes"], "tabs": { "all-applications": {"fullname" : "All Applications", "shortname": "All Applications"}, "WB" : {"fullname" : "Western blot", "shortname":"WB"}, "ICCIF" : {"fullname" : "Immunocytochemistry/ Immunofluorescence", "shortname":"ICC/IF"}, "FlowCytIntra" : {"fullname" : "Flow Cytometry (Intracellular)", "shortname":"Flow Cyt (Intra)"}, "IHCP" : {"fullname" : "Immunohistochemistry (Formalin/PFA-fixed paraffin-embedded sections)", "shortname":"IHC-P"} }, "product-promise": { "all": "all", "testedAndGuaranteed": "tested", "guaranteed": "expected", "predicted": "predicted", "notRecommended": "not-recommended" } }, "values": { "Human": { "WB-species-checked": "testedAndGuaranteed", "WB-species-dilution-info": "", "WB-species-notes": "<p></p>", "ICCIF-species-checked": "testedAndGuaranteed", "ICCIF-species-dilution-info": "", "ICCIF-species-notes": "<p></p>", "FlowCytIntra-species-checked": "guaranteed", "FlowCytIntra-species-dilution-info": "", "FlowCytIntra-species-notes": "", "IHCP-species-checked": "testedAndGuaranteed", "IHCP-species-dilution-info": "", "IHCP-species-notes": "<p></p>" }, "Mouse": { "WB-species-checked": "testedAndGuaranteed", "WB-species-dilution-info": "", "WB-species-notes": "<p></p>", "ICCIF-species-checked": "guaranteed", "ICCIF-species-dilution-info": "", "ICCIF-species-notes": "", "FlowCytIntra-species-checked": "testedAndGuaranteed", "FlowCytIntra-species-dilution-info": "", "FlowCytIntra-species-notes": "<p></p>", "IHCP-species-checked": "guaranteed", "IHCP-species-dilution-info": "", "IHCP-species-notes": "" }, "Rat": { "WB-species-checked": "testedAndGuaranteed", "WB-species-dilution-info": "", "WB-species-notes": "<p></p>", "ICCIF-species-checked": "guaranteed", "ICCIF-species-dilution-info": "", "ICCIF-species-notes": "", "FlowCytIntra-species-checked": "guaranteed", "FlowCytIntra-species-dilution-info": "", "FlowCytIntra-species-notes": "", "IHCP-species-checked": "guaranteed", "IHCP-species-dilution-info": "", "IHCP-species-notes": "" } } }

Product details

ab251211 is the carrier-free version of ab195808.

Patented technology
Our RabMAb® technology is a patented hybridoma-based technology for making rabbit monoclonal antibodies. For details on our patents, please refer to RabMAb® patents.

What are the advantages of a recombinant monoclonal antibody?
This product is a recombinant monoclonal antibody, which offers several advantages including:

  • - High batch-to-batch consistency and reproducibility
  • - Improved sensitivity and specificity
  • - Long-term security of supply
  • - Animal-free batch production

For more information, read more on recombinant antibodies.

Conjugation ready
Our carrier-free antibodies are typically supplied in a PBS-only formulation, purified and free of BSA, sodium azide and glycerol. This conjugation-ready format is designed for use with fluorochromes, metal isotopes, oligonucleotides, and enzymes, which makes them ideal for antibody labelling, functional and cell-based assays, flow-based assays (e.g. mass cytometry) and Multiplex Imaging applications.

Use our conjugation kits for antibody conjugates that are ready-to-use in as little as 20 minutes with 1 minute hands-on-time and 100% antibody recovery: available for fluorescent dyes, HRP, biotin and gold.

Compatibility
This product is compatible with the Maxpar® Antibody Labeling Kit from Fluidigm, without the need for antibody preparation. Maxpar® is a trademark of Fluidigm Canada Inc.

Properties and storage information

Form
Liquid
Purification technique
Affinity purification Protein A
Storage buffer
pH: 7.2 - 7.4 Constituents: PBS
Shipped at conditions
Blue Ice
Appropriate short-term storage conditions
+4°C
Appropriate long-term storage conditions
+4°C
Storage information
Do Not Freeze

Supplementary information

This supplementary information is collated from multiple sources and compiled automatically.

NDUFS6 also known as NADH:ubiquinone oxidoreductase subunit S6 serves a critical role in mitochondrial function. It forms a component of the mitochondrial complex I which is the first enzyme of the electron transport chain. NDUFS6 has a molecular weight of approximately 15 kDa. Researchers found this protein expressed in a variety of tissues though it is typically higher in metabolically active tissues such as heart liver and skeletal muscles.
Biological function summary

NDUFS6 contributes to the generation of ATP by participating in oxidative phosphorylation. It is part of the mitochondrial complex I a multisubunit assembly essential for electron transfer from NADH to ubiquinone. The proper function of this subunit is necessary for the activity of complex I which significantly impacts the production of cellular energy. Disruptions in this protein's function can impair energy metabolism affecting numerous cell processes.

Pathways

NDUFS6 plays a role in the electron transport chain and oxidative phosphorylation pathway. By facilitating electron transfer it helps maintain the electrochemical gradient across the inner mitochondrial membrane which is important for ATP synthesis. NDUFS6 works closely with other complex I proteins like NDUFS1 and NDUFS7 ensuring efficient energy production and cellular respiration. Its activity impacts broader cellular processes reflecting in energy homeostasis and cellular growth.

NDUFS6 mutations have connections with mitochondrial diseases and disorders like Leigh syndrome. This protein's dysfunction can lead to defects in energy generation resulting in neuromuscular symptoms and systemic issues. Researchers also correlate improper NDUFS6 function with complex I deficiencies where other proteins such as NDUFS1 are often implicated. Understanding the role of NDUFS6 in these disorders aids the investigation of mitochondrial dysfunction and offers pathways for potential therapeutic targets.

Product protocols

For this product, it's our understanding that no specific protocols are required. You can visit:

Target data

Accessory subunit of the mitochondrial membrane respiratory chain NADH dehydrogenase (Complex I), that is believed not to be involved in catalysis. Complex I functions in the transfer of electrons from NADH to the respiratory chain. The immediate electron acceptor for the enzyme is believed to be ubiquinone.
See full target information NADH dehydrogenase [ubiquinone] iron-sulfur protein 6, mitochondrial

Publications (1)

Recent publications for all applications. Explore the full list and refine your search

International journal of medical sciences 20:1079-1090 PubMed37484809

2023

NAT10-mediated RNA acetylation enhances HNRNPUL1 mRNA stability to contribute cervical cancer progression.

Applications

Unspecified application

Species

Unspecified reactive species

Yingfei Long,Yifei Ren,Qinglv Wei,Youchaou Mobet,Yujiao Liu,Hongyan Zhao,Tao Liu,Lei Cheng,Ping Yi
View all publications

Product promise

We are committed to supporting your work with high-quality reagents, and we're here for you every step of the way. In the unlikely event that one of our products does not perform as expected, you're protected by our Product Promise.
For full details, please see our Terms & Conditions

Please note: All products are 'FOR RESEARCH USE ONLY. NOT FOR USE IN DIAGNOSTIC OR THERAPEUTIC PROCEDURES'.

For licensing inquiries, please contact partnerships@abcam.com