JavaScript is disabled in your browser. Please enable JavaScript to view this website.
AB170936

Anti-NDUFS8 antibody [EPR11892]

5

(1 Review)

|

(3 Publications)

Rabbit Recombinant Monoclonal NDUFS8 antibody. Suitable for IHC-P, IP, WB, Flow Cyt (Intra) and reacts with Human samples. Cited in 3 publications.

View Alternative Names

Complex I-23kD, NADH-ubiquinone oxidoreductase 23 kDa subunit, TYKY subunit, CI-23kD, NDUFS8

5 Images
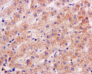
Immunohistochemistry (Formalin/PFA-fixed paraffin-embedded sections) - Anti-NDUFS8 antibody [EPR11892] (AB170936)
  • IHC-P

Supplier Data

Immunohistochemistry (Formalin/PFA-fixed paraffin-embedded sections) - Anti-NDUFS8 antibody [EPR11892] (AB170936)

Immunohistochemical analysis of paraffin-embedded Human liver tissue labeling NDUFS8 with ab170936 at 1/250 dilution.

Perform heat mediated antigen retrieval with citrate buffer pH 6 before commencing with IHC staining protocol.

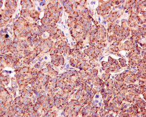
Immunohistochemistry (Formalin/PFA-fixed paraffin-embedded sections) - Anti-NDUFS8 antibody [EPR11892] (AB170936)
  • IHC-P

Supplier Data

Immunohistochemistry (Formalin/PFA-fixed paraffin-embedded sections) - Anti-NDUFS8 antibody [EPR11892] (AB170936)

Immunohistochemical analysis of paraffin-embedded Human thyroid carcinoma tissue labeling NDUFS8 with ab170936 at 1/250 dilution.

Perform heat mediated antigen retrieval with citrate buffer pH 6 before commencing with IHC staining protocol.

Flow Cytometry (Intracellular) - Anti-NDUFS8 antibody [EPR11892] (AB170936)
  • Flow Cyt (Intra)

Supplier Data

Flow Cytometry (Intracellular) - Anti-NDUFS8 antibody [EPR11892] (AB170936)

Intracellular flow cytometric analysis of permeabilized Jurkat cells usingab170936 (red)at 1/10 dilutionor a rabbit IgG (negative) (green).

Immunoprecipitation - Anti-NDUFS8 antibody [EPR11892] (AB170936)
  • IP

Supplier Data

Immunoprecipitation - Anti-NDUFS8 antibody [EPR11892] (AB170936)

Western blot analysis on immunoprecipitation pellet from (1) HeLa cell lysate or (2) 1X PBS (negative control) using ab170936 at 1/10 dilution and HRP-conjugated anti-rabbit IgG preferentially detecting the non-reduced form of rabbit IgG.

All lanes:

Immunoprecipitation - Anti-NDUFS8 antibody [EPR11892] (ab170936)

Predicted band size: 23 kDa

false

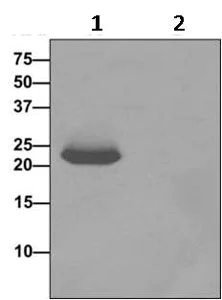
Western blot - Anti-NDUFS8 antibody [EPR11892] (AB170936)
  • WB

Supplier Data

Western blot - Anti-NDUFS8 antibody [EPR11892] (AB170936)

All lanes:

Western blot - Anti-NDUFS8 antibody [EPR11892] (ab170936) at 1/1000 dilution

Lane 1:

HeLa cell lysate at 10 µg

Lane 2:

HepG2 cell lysate at 10 µg

Lane 3:

Jurkat cell lysate at 10 µg

Predicted band size: 23 kDa,83 kDa

false

  • Carrier free

    Anti-NDUFS8 antibody [EPR11892] - BSA and Azide free

Key facts

Host species

Rabbit

Clonality

Monoclonal

Clone number

EPR11892

Isotype

IgG

Carrier free

No

Reacts with

Human

Applications

IHC-P, Flow Cyt (Intra), IP, WB

applications

Immunogen

The exact immunogen used to generate this antibody is proprietary information.

Reactivity data

{ "title": "Reactivity Data", "filters": { "stats": ["", "Species", "Dilution Info", "Notes"], "tabs": { "all-applications": {"fullname" : "All Applications", "shortname": "All Applications"}, "IHCP" : {"fullname" : "Immunohistochemistry (Formalin/PFA-fixed paraffin-embedded sections)", "shortname":"IHC-P"}, "IP" : {"fullname" : "Immunoprecipitation", "shortname":"IP"}, "WB" : {"fullname" : "Western blot", "shortname":"WB"}, "FlowCytIntra" : {"fullname" : "Flow Cytometry (Intracellular)", "shortname":"Flow Cyt (Intra)"} }, "product-promise": { "all": "all", "testedAndGuaranteed": "tested", "guaranteed": "expected", "predicted": "predicted", "notRecommended": "not-recommended" } }, "values": { "Human": { "IHCP-species-checked": "testedAndGuaranteed", "IHCP-species-dilution-info": "1/250 - 1/500", "IHCP-species-notes": "<p></p>", "IP-species-checked": "testedAndGuaranteed", "IP-species-dilution-info": "1/10 - 1/100", "IP-species-notes": "<p></p>", "WB-species-checked": "testedAndGuaranteed", "WB-species-dilution-info": "1/1000 - 1/10000", "WB-species-notes": "<p></p>", "FlowCytIntra-species-checked": "testedAndGuaranteed", "FlowCytIntra-species-dilution-info": "1/10 - 1/100", "FlowCytIntra-species-notes": "<p><a href='/en-us/products/primary-antibodies/rabbit-igg-monoclonal-epr25a-isotype-control-ab172730'>ab172730</a> - Rabbit monoclonal IgG, is suitable for use as an isotype control with this antibody.</p>" } } }

Product details

Species reactivity
Mouse, Rat: We have preliminary internal testing data to indicate this antibody may not react with these species.
Please contact us for more information.

Patented technology
Our RabMAb® technology is a patented hybridoma-based technology for making rabbit monoclonal antibodies. For details on our patents, please refer to RabMAb® patents.

What are the advantages of a recombinant monoclonal antibody?
This product is a recombinant monoclonal antibody, which offers several advantages including:

  • - High batch-to-batch consistency and reproducibility
  • - Improved sensitivity and specificity
  • - Long-term security of supply
  • - Animal-free batch production

For more information, read more on recombinant antibodies.

Properties and storage information

Form
Liquid
Purity
Tissue culture supernatant
Storage buffer
pH: 7.2 - 7.4 Preservative: 0.01% Sodium azide Constituents: PBS, 50% Tissue culture supernatant, 40% Glycerol (glycerin, glycerine), 0.05% BSA
Shipped at conditions
Blue Ice
Appropriate short-term storage duration
1-2 weeks
Appropriate short-term storage conditions
+4°C
Appropriate long-term storage conditions
-20°C
Aliquoting information
Upon delivery aliquot
Storage information
Avoid freeze / thaw cycle

Supplementary information

This supplementary information is collated from multiple sources and compiled automatically.

The NDUFS8 protein also known as NADH:ubiquinone oxidoreductase core subunit S8 serves an important function in the mitochondrial electron transport chain. It weighs approximately 23 kDa and is expressed in many tissues due to its essential role in energy production. NDUFS8 is a part of the larger mitochondrial complex I where it plays a role in transferring electrons derived from NADH to ubiquinone. Through this process NDUFS8 contributes to the creation of a proton gradient used for ATP synthesis.
Biological function summary

The NDUFS8 protein functions as an integral component of the mitochondrial respiratory complex I. Complex I is essential for cellular respiration and contributes to the production of ATP which cells use as an energy source. NDUFS8 helps facilitate the electron transport chain as a subunit of this multi-protein complex ensuring effective electron transfer and energy conversion within the mitochondria.

Pathways

The NDUFS8 protein operates within the oxidative phosphorylation pathway a major energy-producing pathway in cells. It also has connections with the tricarboxylic acid (TCA) cycle where NADH is generated and enters the electron transport chain through NDUFS8. The NDUFS8 protein collaborates with other subunits of complex I such as NDUFV1 and NDUFV2 to ensure proper electron flow and energy production.

Mutations in the NDUFS8 protein can lead to mitochondrial disorders such as Leigh syndrome and mitochondrial encephalomyopathy. These conditions are characterized by severe energy production deficiencies due to impaired function of complex I. NDUFS8 mutations can interact with other proteins implicated in these disorders including NDUFAF2 which is involved in the assembly of complex I further disrupting normal mitochondrial activity and energy metabolism.

Product protocols

For this product, it's our understanding that no specific protocols are required. You can visit:

Target data

Core subunit of the mitochondrial membrane respiratory chain NADH dehydrogenase (Complex I) which catalyzes electron transfer from NADH through the respiratory chain, using ubiquinone as an electron acceptor (PubMed : 22499348). Essential for the catalytic activity and assembly of complex I (PubMed : 22499348).
See full target information NDUFS8

Publications (3)

Recent publications for all applications. Explore the full list and refine your search

Haematologica 104:1756-1767 PubMed30765471

2019

Dimeric ferrochelatase bridges ABCB7 and ABCB10 homodimers in an architecturally defined molecular complex required for heme biosynthesis.

Applications

Unspecified application

Species

Unspecified reactive species

Nunziata Maio,Ki Soon Kim,Gregory Holmes-Hampton,Anamika Singh,Tracey A Rouault

Nature communications 9:2221 PubMed29880867

2018

Alternative assembly of respiratory complex II connects energy stress to metabolic checkpoints.

Applications

Unspecified application

Species

Unspecified reactive species

Ayenachew Bezawork-Geleta,He Wen,LanFeng Dong,Bing Yan,Jelena Vider,Stepana Boukalova,Linda Krobova,Katerina Vanova,Renata Zobalova,Margarita Sobol,Pavel Hozak,Silvia Magalhaes Novais,Veronika Caisova,Pavel Abaffy,Ravindra Naraine,Ying Pang,Thiri Zaw,Ping Zhang,Radek Sindelka,Mikael Kubista,Steven Zuryn,Mark P Molloy,Michael V Berridge,Karel Pacak,Jakub Rohlena,Sunghyouk Park,Jiri Neuzil

Cell metabolism 25:945-953.e6 PubMed28380382

2017

A Single Adaptable Cochaperone-Scaffold Complex Delivers Nascent Iron-Sulfur Clusters to Mammalian Respiratory Chain Complexes I-III.

Applications

Unspecified application

Species

Unspecified reactive species

Nunziata Maio,Ki Soon Kim,Anamika Singh,Tracey A Rouault
View all publications

Product promise

We are committed to supporting your work with high-quality reagents, and we're here for you every step of the way. In the unlikely event that one of our products does not perform as expected, you're protected by our Product Promise.
For full details, please see our Terms & Conditions

Please note: All products are 'FOR RESEARCH USE ONLY. NOT FOR USE IN DIAGNOSTIC OR THERAPEUTIC PROCEDURES'.

For licensing inquiries, please contact partnerships@abcam.com