JavaScript is disabled in your browser. Please enable JavaScript to view this website.
AB250185

Anti-NDUFS8 antibody [EPR11893] - BSA and Azide free

Be the first to review this product! Submit a review

|

(1 Publication)

Rabbit Recombinant Monoclonal NDUFS8 antibody. Carrier free. Suitable for IHC-P, WB, Flow Cyt (Intra) and reacts with Human samples. Cited in 1 publication.

View Alternative Names

Complex I-23kD, NADH-ubiquinone oxidoreductase 23 kDa subunit, TYKY subunit, CI-23kD, NDUFS8

5 Images
Immunohistochemistry (Formalin/PFA-fixed paraffin-embedded sections) - Anti-NDUFS8 antibody [EPR11893] - BSA and Azide free (AB250185)
  • IHC-P

Supplier Data

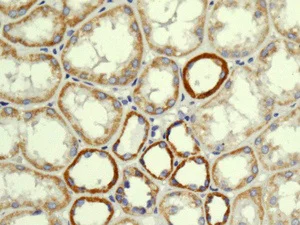
Immunohistochemistry (Formalin/PFA-fixed paraffin-embedded sections) - Anti-NDUFS8 antibody [EPR11893] - BSA and Azide free (AB250185)

This data was developed using ab180183, the same antibody clone in a different buffer formulation.

Immunohistochemical analysis of paraffin embedded Human kidney tissue labeling NDUFS8 with ab180183 at 1/50.

Perform heat mediated antigen retrieval before commencing with IHC staining protocol.

Immunohistochemistry (Formalin/PFA-fixed paraffin-embedded sections) - Anti-NDUFS8 antibody [EPR11893] - BSA and Azide free (AB250185)
  • IHC-P

Supplier Data

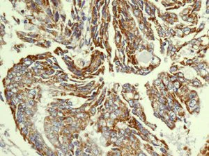
Immunohistochemistry (Formalin/PFA-fixed paraffin-embedded sections) - Anti-NDUFS8 antibody [EPR11893] - BSA and Azide free (AB250185)

This data was developed using ab180183, the same antibody clone in a different buffer formulation.

Immunohistochemical analysis of paraffin embedded Human endometrial carcinoma tissue labeling NDUFS8 with ab180183 at 1/50.

Perform heat mediated antigen retrieval before commencing with IHC staining protocol.

Immunohistochemistry (Formalin/PFA-fixed paraffin-embedded sections) - Anti-NDUFS8 antibody [EPR11893] - BSA and Azide free (AB250185)
  • IHC-P

Supplier Data

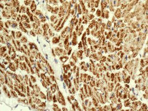
Immunohistochemistry (Formalin/PFA-fixed paraffin-embedded sections) - Anti-NDUFS8 antibody [EPR11893] - BSA and Azide free (AB250185)

This data was developed using ab180183, the same antibody clone in a different buffer formulation.

Immunohistochemical analysis of paraffin embedded Human heart tissue labeling NDUFS8 with ab180183 at 1/50.

Perform heat mediated antigen retrieval before commencing with IHC staining protocol.

Flow Cytometry (Intracellular) - Anti-NDUFS8 antibody [EPR11893] - BSA and Azide free (AB250185)
  • Flow Cyt (Intra)

Supplier Data

Flow Cytometry (Intracellular) - Anti-NDUFS8 antibody [EPR11893] - BSA and Azide free (AB250185)

This data was developed using ab180183, the same antibody clone in a different buffer formulation.

Intracellular flow cytometrical analysis of permeabilized HeLa cells labeling NDUFS8 with ab180183 at 1/10 (red) or a rabbit IgG negative (green).

Western blot - Anti-NDUFS8 antibody [EPR11893] - BSA and Azide free (AB250185)
  • WB

Supplier Data

Western blot - Anti-NDUFS8 antibody [EPR11893] - BSA and Azide free (AB250185)

This data was developed using ab180183, the same antibody clone in a different buffer formulation.

All lanes:

Western blot - Anti-NDUFS8 antibody [EPR11893] - C-terminal (<a href='/en-us/products/primary-antibodies/ndufs8-antibody-epr11893-c-terminal-ab180183'>ab180183</a>) at 1/1000 dilution

Lane 1:

Fetal heart tissue lysate at 10 µg

Lane 2:

HepG2 cell lysate at 10 µg

Lane 3:

Jurkat cell lysate at 10 µg

Lane 4:

HeLa cell lysate at 10 µg

Secondary

All lanes:

HRP labelled goat anti-rabbit at 1/2000 dilution

Predicted band size: 23 kDa

false

Key facts

Host species

Rabbit

Clonality

Monoclonal

Clone number

EPR11893

Isotype

IgG

Carrier free

Yes

Reacts with

Human

Applications

Flow Cyt (Intra), IHC-P, WB

applications

Immunogen

The exact immunogen used to generate this antibody is proprietary information.

Reactivity data

{ "title": "Reactivity Data", "filters": { "stats": ["", "Species", "Dilution Info", "Notes"], "tabs": { "all-applications": {"fullname" : "All Applications", "shortname": "All Applications"}, "IHCP" : {"fullname" : "Immunohistochemistry (Formalin/PFA-fixed paraffin-embedded sections)", "shortname":"IHC-P"}, "IP" : {"fullname" : "Immunoprecipitation", "shortname":"IP"}, "WB" : {"fullname" : "Western blot", "shortname":"WB"}, "ICCIF" : {"fullname" : "Immunocytochemistry/ Immunofluorescence", "shortname":"ICC/IF"}, "FlowCytIntra" : {"fullname" : "Flow Cytometry (Intracellular)", "shortname":"Flow Cyt (Intra)"} }, "product-promise": { "all": "all", "testedAndGuaranteed": "tested", "guaranteed": "expected", "predicted": "predicted", "notRecommended": "not-recommended" } }, "values": { "Human": { "IHCP-species-checked": "testedAndGuaranteed", "IHCP-species-dilution-info": "", "IHCP-species-notes": "<p></p>", "IP-species-checked": "notRecommended", "IP-species-dilution-info": "", "IP-species-notes": "<p></p>", "WB-species-checked": "testedAndGuaranteed", "WB-species-dilution-info": "", "WB-species-notes": "<p></p>", "ICCIF-species-checked": "notRecommended", "ICCIF-species-dilution-info": "", "ICCIF-species-notes": "<p></p>", "FlowCytIntra-species-checked": "testedAndGuaranteed", "FlowCytIntra-species-dilution-info": "", "FlowCytIntra-species-notes": "<p></p>" }, "Mouse": { "IHCP-species-checked": "predicted", "IHCP-species-dilution-info": "", "IHCP-species-notes": "", "IP-species-checked": "notRecommended", "IP-species-dilution-info": "", "IP-species-notes": "", "WB-species-checked": "predicted", "WB-species-dilution-info": "", "WB-species-notes": "", "ICCIF-species-checked": "notRecommended", "ICCIF-species-dilution-info": "", "ICCIF-species-notes": "", "FlowCytIntra-species-checked": "predicted", "FlowCytIntra-species-dilution-info": "", "FlowCytIntra-species-notes": "" }, "Rat": { "IHCP-species-checked": "predicted", "IHCP-species-dilution-info": "", "IHCP-species-notes": "", "IP-species-checked": "notRecommended", "IP-species-dilution-info": "", "IP-species-notes": "", "WB-species-checked": "predicted", "WB-species-dilution-info": "", "WB-species-notes": "", "ICCIF-species-checked": "notRecommended", "ICCIF-species-dilution-info": "", "ICCIF-species-notes": "", "FlowCytIntra-species-checked": "predicted", "FlowCytIntra-species-dilution-info": "", "FlowCytIntra-species-notes": "" } } }

Product details

ab250185 is the carrier-free version of ab180183.

Patented technology
Our RabMAb® technology is a patented hybridoma-based technology for making rabbit monoclonal antibodies. For details on our patents, please refer to RabMAb® patents.

What are the advantages of a recombinant monoclonal antibody?
This product is a recombinant monoclonal antibody, which offers several advantages including:

  • - High batch-to-batch consistency and reproducibility
  • - Improved sensitivity and specificity
  • - Long-term security of supply
  • - Animal-free batch production

For more information, read more on recombinant antibodies.

Conjugation ready
Our carrier-free antibodies are typically supplied in a PBS-only formulation, purified and free of BSA, sodium azide and glycerol. This conjugation-ready format is designed for use with fluorochromes, metal isotopes, oligonucleotides, and enzymes, which makes them ideal for antibody labelling, functional and cell-based assays, flow-based assays (e.g. mass cytometry) and Multiplex Imaging applications.

Use our conjugation kits for antibody conjugates that are ready-to-use in as little as 20 minutes with 1 minute hands-on-time and 100% antibody recovery: available for fluorescent dyes, HRP, biotin and gold.

Compatibility
This product is compatible with the Maxpar® Antibody Labeling Kit from Fluidigm, without the need for antibody preparation. Maxpar® is a trademark of Fluidigm Canada Inc.

Properties and storage information

Form
Liquid
Purification technique
Affinity purification
Storage buffer
pH: 7.2 - 7.4 Constituents: PBS
Shipped at conditions
Blue Ice
Appropriate short-term storage conditions
+4°C
Appropriate long-term storage conditions
+4°C
Storage information
Do Not Freeze

Supplementary information

This supplementary information is collated from multiple sources and compiled automatically.

The NDUFS8 protein also known as NADH:ubiquinone oxidoreductase core subunit S8 serves an important function in the mitochondrial electron transport chain. It weighs approximately 23 kDa and is expressed in many tissues due to its essential role in energy production. NDUFS8 is a part of the larger mitochondrial complex I where it plays a role in transferring electrons derived from NADH to ubiquinone. Through this process NDUFS8 contributes to the creation of a proton gradient used for ATP synthesis.
Biological function summary

The NDUFS8 protein functions as an integral component of the mitochondrial respiratory complex I. Complex I is essential for cellular respiration and contributes to the production of ATP which cells use as an energy source. NDUFS8 helps facilitate the electron transport chain as a subunit of this multi-protein complex ensuring effective electron transfer and energy conversion within the mitochondria.

Pathways

The NDUFS8 protein operates within the oxidative phosphorylation pathway a major energy-producing pathway in cells. It also has connections with the tricarboxylic acid (TCA) cycle where NADH is generated and enters the electron transport chain through NDUFS8. The NDUFS8 protein collaborates with other subunits of complex I such as NDUFV1 and NDUFV2 to ensure proper electron flow and energy production.

Mutations in the NDUFS8 protein can lead to mitochondrial disorders such as Leigh syndrome and mitochondrial encephalomyopathy. These conditions are characterized by severe energy production deficiencies due to impaired function of complex I. NDUFS8 mutations can interact with other proteins implicated in these disorders including NDUFAF2 which is involved in the assembly of complex I further disrupting normal mitochondrial activity and energy metabolism.

Product protocols

For this product, it's our understanding that no specific protocols are required. You can visit:

Target data

Core subunit of the mitochondrial membrane respiratory chain NADH dehydrogenase (Complex I) which catalyzes electron transfer from NADH through the respiratory chain, using ubiquinone as an electron acceptor (PubMed : 22499348). Essential for the catalytic activity and assembly of complex I (PubMed : 22499348).
See full target information NDUFS8

Publications (1)

Recent publications for all applications. Explore the full list and refine your search

Experimental and therapeutic medicine 23:157 PubMed35069838

2022

APPL1 ameliorates myocardial ischemia-reperfusion injury by regulating the AMPK signaling pathway.

Applications

Unspecified application

Species

Unspecified reactive species

Yunguang Cen,Wei Liao,Taihao Wang,Daimin Zhang
View all publications

Product promise

We are committed to supporting your work with high-quality reagents, and we're here for you every step of the way. In the unlikely event that one of our products does not perform as expected, you're protected by our Product Promise.
For full details, please see our Terms & Conditions

Please note: All products are 'FOR RESEARCH USE ONLY. NOT FOR USE IN DIAGNOSTIC OR THERAPEUTIC PROCEDURES'.

For licensing inquiries, please contact partnerships@abcam.com