JavaScript is disabled in your browser. Please enable JavaScript to view this website.
AB203208

Anti-NDUFV1 antibody

Be the first to review this product! Submit a review

|

(3 Publications)

Rabbit Polyclonal NDUFV1 antibody. Suitable for IHC-P and reacts with Rat samples. Cited in 3 publications. Immunogen corresponding to Synthetic Peptide within Human NDUFV1 aa 50-100 conjugated to Keyhole Limpet Haemocyanin.

View Alternative Names

UQOR1, NDUFV1, Complex I-51kD, NADH dehydrogenase flavoprotein 1, NADH-ubiquinone oxidoreductase 51 kDa subunit, CI-51kD

1 Images
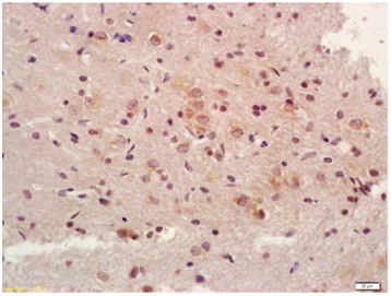
Immunohistochemistry (Formalin/PFA-fixed paraffin-embedded sections) - Anti-NDUFV1 antibody (AB203208)
  • IHC-P

Supplier Data

Immunohistochemistry (Formalin/PFA-fixed paraffin-embedded sections) - Anti-NDUFV1 antibody (AB203208)

Immunohistochemical analysis of formalin-fixed and paraffin embedded Rat brain tissue labeling NDUFV1 using ab203208 at 1/200 dilution, followed by conjugation to the secondary antibody and DAB staining.

Key facts

Host species

Rabbit

Clonality

Polyclonal

Isotype

IgG

Carrier free

No

Reacts with

Rat

Applications

IHC-P

applications

Immunogen

Synthetic Peptide within Human NDUFV1 aa 50-100 conjugated to Keyhole Limpet Haemocyanin. The exact immunogen used to generate this antibody is proprietary information.

P49821

Reactivity data

{ "title": "Reactivity Data", "filters": { "stats": ["", "Species", "Dilution Info", "Notes"], "tabs": { "all-applications": {"fullname" : "All Applications", "shortname": "All Applications"}, "IHCP" : {"fullname" : "Immunohistochemistry (Formalin/PFA-fixed paraffin-embedded sections)", "shortname":"IHC-P"} }, "product-promise": { "all": "all", "testedAndGuaranteed": "tested", "guaranteed": "expected", "predicted": "predicted", "notRecommended": "not-recommended" } }, "values": { "Rat": { "IHCP-species-checked": "testedAndGuaranteed", "IHCP-species-dilution-info": "1/100 - 1/500", "IHCP-species-notes": "<p>Use at 1/50 - 1/200 with fluorescent detection methods.</p> Perform heat-mediated antigen retrieval with citrate buffer pH 6 before commencing with IHC staining protocol." } } }

Properties and storage information

Form
Liquid
Purification technique
Affinity purification Protein A
Storage buffer
pH: 7.4 Preservative: 0.02% Proclin 300 Constituents: 50% Glycerol (glycerin, glycerine), 48.98% TBS, 1X, 1% BSA
Shipped at conditions
Blue Ice
Appropriate short-term storage duration
1-2 weeks
Appropriate short-term storage conditions
+4°C
Appropriate long-term storage conditions
-20°C
Aliquoting information
Upon delivery aliquot
Storage information
Avoid freeze / thaw cycle

Supplementary information

This supplementary information is collated from multiple sources and compiled automatically.

NDUFV1 also known as NADH-ubiquinone oxidoreductase 51 kDa subunit plays a mechanical role in the electron transport chain. It has a molecular mass of approximately 51 kDa. The protein is an integral part of Complex I or NADH:ubiquinone oxidoreductase located in the inner mitochondrial membrane. NDUFV1 shows expression across various tissues with higher levels found in metabolically active tissues like skeletal muscle and heart.
Biological function summary

NDUFV1 participates in oxidative phosphorylation within cells. This protein functions as a core subunit of Complex I which is the first enzyme in the mitochondrial respiratory chain. NDUFV1 has a role in transferring electrons from NADH to ubiquinone an essential step for energy production. The efficient operation of Complex I affects ATP synthesis which is necessary for many cellular processes.

Pathways

NDUFV1 is central to the energy production in mitochondria. It is important for the oxidative phosphorylation pathway and is involved in maintaining the proton gradient across the inner mitochondrial membrane. This protein closely interacts with other subunits of Complex I like NDUFS1 and has significant synergy with them in electron transfer processes. Its activity is indispensable for proper cellular respiration and energy metabolism.

NDUFV1 mutations link to mitochondrial diseases such as Leigh syndrome and some cases of Complex I deficiency. In patients with these conditions there are disruptions in ATP production due to impaired electron transport chain function. The protein may also be involved in some forms of neurodegenerative diseases where mitochondrial dysfunction plays a role. NDUFS1 and other Complex I subunits often show associations with these disorders highlighting the importance of NDUFV1 in neuromuscular and metabolic health.

Product protocols

For this product, it's our understanding that no specific protocols are required. You can visit:

Target data

Core subunit of the mitochondrial membrane respiratory chain NADH dehydrogenase (Complex I) which catalyzes electron transfer from NADH through the respiratory chain, using ubiquinone as an electron acceptor (PubMed : 28844695). Part of the peripheral arm of the enzyme, where the electrons from NADH are accepted by flavin mononucleotide (FMN) and then passed along a chain of iron-sulfur clusters by electron tunnelling to the final acceptor ubiquinone (PubMed : 28844695). Contains FMN, which is the initial electron acceptor as well as one iron-sulfur cluster (PubMed : 28844695).
See full target information NDUFV1

Publications (3)

Recent publications for all applications. Explore the full list and refine your search

Genes & diseases 12:101507 PubMed40641524

2025

XPR1 promotes ovarian cancer growth and regulates MHC-I through autophagy.

Applications

Unspecified application

Species

Unspecified reactive species

Hui Wang,Xiaodong Luo,Bo Yang,Furong Tang,Xingwei Jiang,Hongtao Zhu,Jianguo Hu

Molecular medicine reports 23: PubMed33355377

2020

Mitochondrial proteomics alterations in rat hearts following ischemia/reperfusion and diazoxide post‑conditioning.

Applications

Unspecified application

Species

Unspecified reactive species

Yunchao Pan,Yuan Wang,Wenyan Shi,Yun Liu,Song Cao,Tian Yu

Proteomics. Clinical applications 12:e1700165 PubMed29676857

2018

Proteomics Analysis Reveals Abnormal Electron Transport and Excessive Oxidative Stress Cause Mitochondrial Dysfunction in Placental Tissues of Early-Onset Preeclampsia.

Applications

Unspecified application

Species

Unspecified reactive species

Zhongwei Xu,Xiaohan Jin,Wei Cai,Maobin Zhou,Ping Shao,Zhen Yang,Rong Fu,Jin Cao,Yan Liu,Fang Yu,Rong Fan,Yan Zhang,Shuang Zou,Xin Zhou,Ning Yang,Xu Chen,Yuming Li
View all publications

Product promise

We are committed to supporting your work with high-quality reagents, and we're here for you every step of the way. In the unlikely event that one of our products does not perform as expected, you're protected by our Product Promise.
For full details, please see our Terms & Conditions

Please note: All products are 'FOR RESEARCH USE ONLY. NOT FOR USE IN DIAGNOSTIC OR THERAPEUTIC PROCEDURES'.

For licensing inquiries, please contact partnerships@abcam.com