JavaScript is disabled in your browser. Please enable JavaScript to view this website.
AB214377

Anti-Nebulette antibody

Be the first to review this product! Submit a review

|

(0 Publication)

Rabbit Polyclonal Nebulette antibody. Suitable for IHC-P and reacts with Mouse samples. Immunogen corresponding to Synthetic Peptide within Human NEBL aa 350-450 conjugated to Keyhole Limpet Haemocyanin.

View Alternative Names

C10orf113, LNEBL, NEBL, Nebulette, Actin-binding Z-disk protein

1 Images
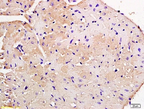
Immunohistochemistry (Formalin/PFA-fixed paraffin-embedded sections) - Anti-Nebulette antibody (AB214377)
  • IHC-P

Supplier Data

Immunohistochemistry (Formalin/PFA-fixed paraffin-embedded sections) - Anti-Nebulette antibody (AB214377)

Immunohistochemical analysis of formalin-fixed, paraffin embedded mouse heart tissue labeling Nebulette with ab214377 at 1/200 followed by conjugation to the secondary antibody and DAB staining.

Key facts

Host species

Rabbit

Clonality

Polyclonal

Isotype

IgG

Carrier free

No

Reacts with

Mouse

Applications

IHC-P

applications

Immunogen

Synthetic Peptide within Human NEBL aa 350-450 conjugated to Keyhole Limpet Haemocyanin. The exact immunogen used to generate this antibody is proprietary information.

O76041

Reactivity data

{ "title": "Reactivity Data", "filters": { "stats": ["", "Species", "Dilution Info", "Notes"], "tabs": { "all-applications": {"fullname" : "All Applications", "shortname": "All Applications"}, "IHCP" : {"fullname" : "Immunohistochemistry (Formalin/PFA-fixed paraffin-embedded sections)", "shortname":"IHC-P"} }, "product-promise": { "all": "all", "testedAndGuaranteed": "tested", "guaranteed": "expected", "predicted": "predicted", "notRecommended": "not-recommended" } }, "values": { "Human": { "IHCP-species-checked": "predicted", "IHCP-species-dilution-info": "", "IHCP-species-notes": "" }, "Mouse": { "IHCP-species-checked": "testedAndGuaranteed", "IHCP-species-dilution-info": "1/100 - 1/500", "IHCP-species-notes": "<p></p>" }, "Rat": { "IHCP-species-checked": "predicted", "IHCP-species-dilution-info": "", "IHCP-species-notes": "" } } }

Properties and storage information

Form
Liquid
Purification technique
Affinity purification Protein A
Storage buffer
pH: 7.4 Preservative: 0.02% Proclin 300 Constituents: 50% Glycerol (glycerin, glycerine), 48.98% TBS, 1X, 1% BSA
Shipped at conditions
Blue Ice
Appropriate short-term storage duration
1-2 weeks
Appropriate short-term storage conditions
+4°C
Appropriate long-term storage conditions
-20°C
Aliquoting information
Upon delivery aliquot
Storage information
Avoid freeze / thaw cycle

Supplementary information

This supplementary information is collated from multiple sources and compiled automatically.

Nebulette also known as NEBL is a cardiac protein with a molecular mass of approximately 109 kDa. It structurally anchors actin filaments in muscle cells. This protein is mainly expressed in cardiac muscle and to a lesser degree in skeletal muscle. Nebulette contributes to the maintenance of the sarcomere especially within the Z-line where it helps stabilize actin filament length and integrity.
Biological function summary

Nebulette plays a pivotal role in organizing the actin cytoskeleton within cardiac myocytes. It forms part of the Z-disc complex and works closely with other structural proteins such as α-actinin and titin. Through these interactions Nebulette supports the mechanical stability of myofibrils. Its organization function is necessary to sustain proper muscle fiber contraction and overall cardiac function.

Pathways

Actin filament regulation and organization are influenced significantly by Nebulette. It integrates into the Calmodulin binding pathway where it interacts with proteins such as calmodulin itself to modulate cardiac muscle contraction. Moreover Nebulette is involved in the cardiac muscle contraction pathway where it collaborates with proteins such as MYH7 myosin heavy chain beta to support contractile unit performance.

Mutations or changes in Nebulette expression have been linked to dilated cardiomyopathy a condition characterized by weakened and enlarged heart muscles. Nebulette also interacts with desmin another important protein linked to muscle diseases involving the cardiac and skeletal muscles. Both of these alterations can lead to compromised cardiac function showing the essential role Nebulette plays in heart health.

Product protocols

For this product, it's our understanding that no specific protocols are required. You can visit:

Target data

Binds to actin and plays an important role in the assembly of the Z-disk. May functionally link sarcomeric actin to the desmin intermediate filaments in the heart muscle sarcomeres (PubMed : 27733623).. Isoform 2. May play a role in the assembly of focal adhesions.
See full target information NEBL

Product promise

We are committed to supporting your work with high-quality reagents, and we're here for you every step of the way. In the unlikely event that one of our products does not perform as expected, you're protected by our Product Promise.
For full details, please see our Terms & Conditions

Please note: All products are 'FOR RESEARCH USE ONLY. NOT FOR USE IN DIAGNOSTIC OR THERAPEUTIC PROCEDURES'.

For licensing inquiries, please contact partnerships@abcam.com