JavaScript is disabled in your browser. Please enable JavaScript to view this website.
AB239346

Anti-Nectin 2 antibody [EPR21124] - BSA and Azide free

Be the first to review this product! Submit a review

|

(1 Publication)

Rabbit Recombinant Monoclonal Nectin 2 antibody. Carrier free. Suitable for WB, IHC-P and reacts with Human samples. Cited in 1 publication.

View Alternative Names

CD112, HVEB, PRR2, PVRL2, NECTIN2, Nectin-2, Herpes virus entry mediator B, Nectin cell adhesion molecule 2, Poliovirus receptor-related protein 2, Herpesvirus entry mediator B, HveB

3 Images
Immunohistochemistry (Formalin/PFA-fixed paraffin-embedded sections) - Anti-Nectin 2 antibody [EPR21124] - BSA and Azide free (AB239346)
  • IHC-P

Supplier Data

Immunohistochemistry (Formalin/PFA-fixed paraffin-embedded sections) - Anti-Nectin 2 antibody [EPR21124] - BSA and Azide free (AB239346)

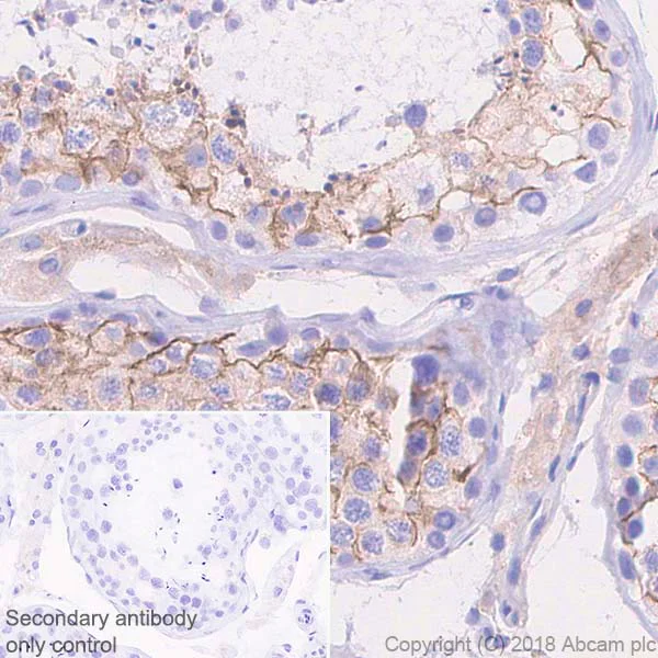
Immunohistochemical analysis of paraffin-embedded human testis tissue labeling Nectin 2 with ab233384 at 1/250 dilution, followed by Goat Anti-Rabbit IgG H&L (HRP) Ready to use. Membranous and cytoplasmic staining in human testis (PMID : 23758976) is observed. Counter stained with hematoxylin.

Secondary antibody only control : Used PBS instead of primary antibody, secondary antibody is Goat Anti-Rabbit IgG H&L (HRP) Ready to use.

This data was developed using the same antibody clone in a different buffer formulation containing PBS, BSA, glycerol, and sodium azide (ab233384).

Heat mediated antigen retrieval was performed with Tris/EDTA buffer pH 9.0 before commencing with IHC staining protocol.

Immunohistochemistry (Formalin/PFA-fixed paraffin-embedded sections) - Anti-Nectin 2 antibody [EPR21124] - BSA and Azide free (AB239346)
  • IHC-P

Supplier Data

Immunohistochemistry (Formalin/PFA-fixed paraffin-embedded sections) - Anti-Nectin 2 antibody [EPR21124] - BSA and Azide free (AB239346)

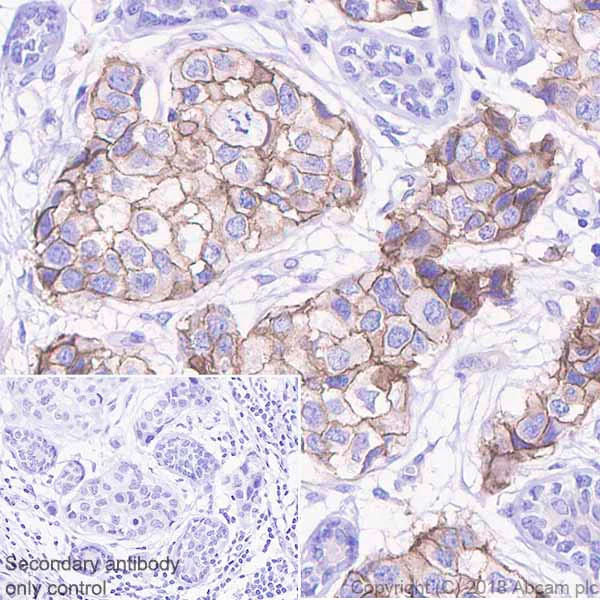
Immunohistochemical analysis of paraffin-embedded human breast cancer tissue labeling Nectin 2 with ab233384 at 1/250 dilution, followed by Goat Anti-Rabbit IgG H&L (HRP) Ready to use. Membranous and cytoplasmic staining in human breast cancer (PMID : 23758976) is observed. Counter stained with hematoxylin.

Secondary antibody only control : Used PBS instead of primary antibody, secondary antibody is Goat Anti-Rabbit IgG H&L (HRP) Ready to use.

This data was developed using the same antibody clone in a different buffer formulation containing PBS, BSA, glycerol, and sodium azide (ab233384).

Heat mediated antigen retrieval was performed with Tris/EDTA buffer pH 9.0 before commencing with IHC staining protocol.

Immunohistochemistry (Formalin/PFA-fixed paraffin-embedded sections) - Anti-Nectin 2 antibody [EPR21124] - BSA and Azide free (AB239346)
  • IHC-P

Supplier Data

Immunohistochemistry (Formalin/PFA-fixed paraffin-embedded sections) - Anti-Nectin 2 antibody [EPR21124] - BSA and Azide free (AB239346)

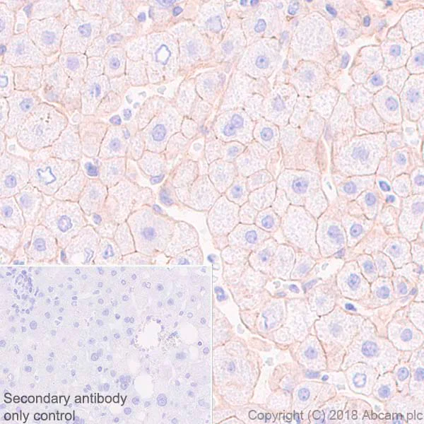
Immunohistochemical analysis of paraffin-embedded human liver tissue labeling Nectin 2 with ab233384 at 1/250 dilution, followed by Goat Anti-Rabbit IgG H&L (HRP) Ready to use. Membranous and cytoplasmic staining in human liver (PMID : 23758976) is observed. Counter stained with hematoxylin.

Secondary antibody only control : Used PBS instead of primary antibody, secondary antibody is Goat Anti-Rabbit IgG H&L (HRP) Ready to use.

This data was developed using the same antibody clone in a different buffer formulation containing PBS, BSA, glycerol, and sodium azide (ab233384).

Heat mediated antigen retrieval was performed with Tris/EDTA buffer pH 9.0 before commencing with IHC staining protocol.

Key facts

Host species

Rabbit

Clonality

Monoclonal

Clone number

EPR21124

Isotype

IgG

Carrier free

Yes

Reacts with

Human

Applications

IHC-P, WB

applications

Immunogen

The exact immunogen used to generate this antibody is proprietary information.

Reactivity data

{ "title": "Reactivity Data", "filters": { "stats": ["", "Species", "Dilution Info", "Notes"], "tabs": { "all-applications": {"fullname" : "All Applications", "shortname": "All Applications"}, "WB" : {"fullname" : "Western blot", "shortname":"WB"}, "IHCP" : {"fullname" : "Immunohistochemistry (Formalin/PFA-fixed paraffin-embedded sections)", "shortname":"IHC-P"} }, "product-promise": { "all": "all", "testedAndGuaranteed": "tested", "guaranteed": "expected", "predicted": "predicted", "notRecommended": "not-recommended" } }, "values": { "Human": { "WB-species-checked": "guaranteed", "WB-species-dilution-info": "", "WB-species-notes": "<p></p> Perform heat-mediated antigen retrieval with Tris/EDTA buffer pH 9.0 before commencing with IHC staining protocol.", "IHCP-species-checked": "testedAndGuaranteed", "IHCP-species-dilution-info": "", "IHCP-species-notes": "<p></p> Perform heat-mediated antigen retrieval with Tris/EDTA buffer pH 9.0 before commencing with IHC staining protocol." } } }

Product details

ab239346 is the carrier-free version of ab233384.

Patented technology
Our RabMAb® technology is a patented hybridoma-based technology for making rabbit monoclonal antibodies. For details on our patents, please refer to RabMAb® patents.

What are the advantages of a recombinant monoclonal antibody?
This product is a recombinant monoclonal antibody, which offers several advantages including:

  • - High batch-to-batch consistency and reproducibility
  • - Improved sensitivity and specificity
  • - Long-term security of supply
  • - Animal-free batch production

For more information, read more on recombinant antibodies.

Conjugation ready
Our carrier-free antibodies are typically supplied in a PBS-only formulation, purified and free of BSA, sodium azide and glycerol. This conjugation-ready format is designed for use with fluorochromes, metal isotopes, oligonucleotides, and enzymes, which makes them ideal for antibody labelling, functional and cell-based assays, flow-based assays (e.g. mass cytometry) and Multiplex Imaging applications.

Use our conjugation kits for antibody conjugates that are ready-to-use in as little as 20 minutes with 1 minute hands-on-time and 100% antibody recovery: available for fluorescent dyes, HRP, biotin and gold.

Compatibility
This product is compatible with the Maxpar® Antibody Labeling Kit from Fluidigm, without the need for antibody preparation. Maxpar® is a trademark of Fluidigm Canada Inc.

Properties and storage information

Form
Liquid
Purification technique
Affinity purification Protein A
Storage buffer
pH: 7.2 - 7.4 Constituents: PBS
Shipped at conditions
Blue Ice
Appropriate short-term storage conditions
+4°C
Appropriate long-term storage conditions
+4°C
Storage information
Do Not Freeze

Supplementary information

This supplementary information is collated from multiple sources and compiled automatically.

Nectin 2 also known as CD112 is a transmembrane cell adhesion molecule belonging to the immunoglobulin superfamily. It plays a critical role in mediating cell-cell adhesion by forming homophilic and heterophilic interactions with other nectins. The protein has a mass of approximately 65 kDa and shows high expression in epithelial and endothelial cells. Nectin 2 has been identified in various tissues including the skin lung and kidney reflecting its importance in maintaining tissue integrity.
Biological function summary

Nectin 2 facilitates cell adhesion and communication playing an important role in the formation of adherens junctions. It serves as part of a larger biological complex with proteins such as afadin linking it to the actin cytoskeleton. Through these interactions Nectin 2 influences the signaling pathways that regulate tissue development and maintenance. Its ability to bind herpes virus entry mediator A (HVEM) further demonstrates its function in viral entry highlighting its diverse biological roles.

Pathways

Nectin 2 participates in the cell adhesion and immune response pathways. It works closely with Nectin 1 and Cadherins within these pathways to mediate cell-cell junction formation and signaling. The interaction of Nectin 2 with intracellular proteins like afadin facilitates its role in the immunological synapse a critical zone for immune cell signaling. These pathways highlight its significance in both maintaining cellular architecture and modulating immune responses.

Nectin 2 relates to cancer and viral infections. Its altered expression or dysfunction has links with tumor progression and metastasis particularly in epithelial-origin cancers like colorectal cancer. Through its role as a herpesvirus entry receptor it also connects to herpes simplex virus (HSV) infections. The interactions between Nectin 2 and other nectins such as Nectin 3 may affect cell proliferation and viral entry expanding the understanding of its involvement in disease mechanisms.

Product protocols

For this product, it's our understanding that no specific protocols are required. You can visit:

Target data

Modulator of T-cell signaling. Can be either a costimulator of T-cell function, or a coinhibitor, depending on the receptor it binds to. Upon binding to CD226, stimulates T-cell proliferation and cytokine production, including that of IL2, IL5, IL10, IL13, and IFNG. Upon interaction with PVRIG, inhibits T-cell proliferation. These interactions are competitive (PubMed : 26755705). Probable cell adhesion protein (PubMed : 9657005).. (Microbial infection) Acts as a receptor for herpes simplex virus 1 (HHV-1) mutant Rid1, herpes simplex virus 1 (HHV-2) and pseudorabies virus (PRV).
See full target information NECTIN2

Publications (1)

Recent publications for all applications. Explore the full list and refine your search

Frontiers in physiology 11:441 PubMed32528301

2020

Exosomal MicroRNA-320a Derived From Mesenchymal Stem Cells Regulates Rheumatoid Arthritis Fibroblast-Like Synoviocyte Activation by Suppressing CXCL9 Expression.

Applications

Unspecified application

Species

Unspecified reactive species

Qing Meng,Bing Qiu
View all publications

Product promise

We are committed to supporting your work with high-quality reagents, and we're here for you every step of the way. In the unlikely event that one of our products does not perform as expected, you're protected by our Product Promise.
For full details, please see our Terms & Conditions

Please note: All products are 'FOR RESEARCH USE ONLY. NOT FOR USE IN DIAGNOSTIC OR THERAPEUTIC PROCEDURES'.

For licensing inquiries, please contact partnerships@abcam.com