JavaScript is disabled in your browser. Please enable JavaScript to view this website.
AB314219

Anti-Nectin 3 antibody [EPR26326-22]

Be the first to review this product! Submit a review

|

(0 Publication)

Rabbit Recombinant Monoclonal Nectin 3 antibody. Suitable for IHC-P, WB, IP and reacts with Human samples.

View Alternative Names

CD113, PRR3, PVRL3, NECTIN3, Nectin-3, CDw113, Nectin cell adhesion molecule 3, Poliovirus receptor-related protein 3

7 Images
Immunohistochemistry (Formalin/PFA-fixed paraffin-embedded sections) - Anti-Nectin 3 antibody [EPR26326-22] (AB314219)
  • IHC-P

Supplier Data

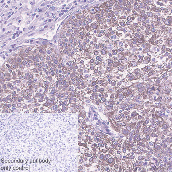
Immunohistochemistry (Formalin/PFA-fixed paraffin-embedded sections) - Anti-Nectin 3 antibody [EPR26326-22] (AB314219)

Immunohistochemical analysis of paraffin-embedded Human lung carcinoma tissue labeling Nectin 3 with ab314219 at 1/500 (1.008 ug/ml) followed by a ready to use Goat Anti-Rabbit IgG H&L (HRP polymer) (ab214880). Positive staining on human lung carcinoma. The section was incubated with ab314219 at 4°C overnight. Counterstained with Hematoxylin. Secondary antibody only control : Secondary antibody is a ready to use Goat Anti-Rabbit IgG H&L (HRP polymer) (ab214880). Heat mediated antigen retrieval was performed using ab93678 (citrate buffer, pH 6.0)

Immunohistochemistry (Formalin/PFA-fixed paraffin-embedded sections) - Anti-Nectin 3 antibody [EPR26326-22] (AB314219)
  • IHC-P

Supplier Data

Immunohistochemistry (Formalin/PFA-fixed paraffin-embedded sections) - Anti-Nectin 3 antibody [EPR26326-22] (AB314219)

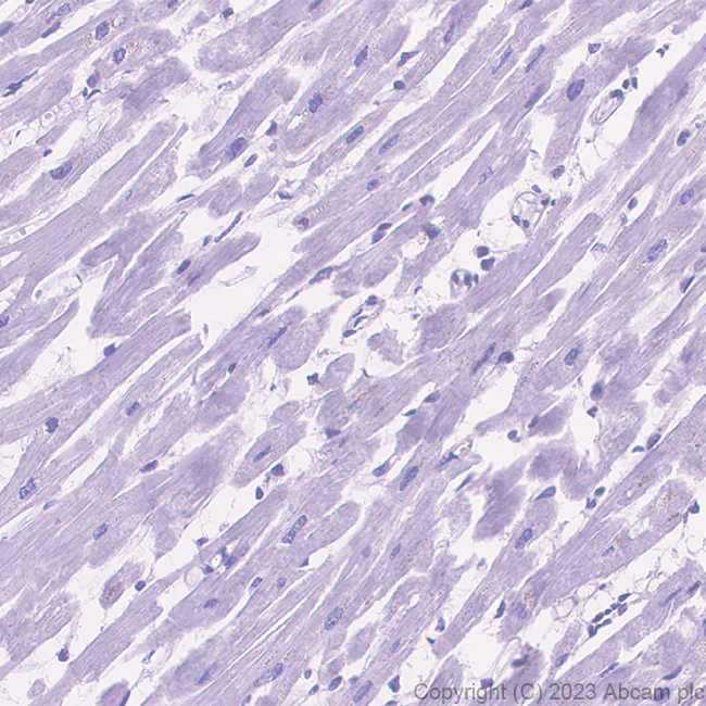
Immunohistochemical analysis of paraffin-embedded Human cardiac muscle tissue labeling Nectin 3 with ab314219 at 1/500 (1.008 ug/ml) followed by a ready to use Goat Anti-Rabbit IgG H&L (HRP polymer) (ab214880). Negative control : no staining on human cardiac muscle. The section was incubated with ab314219 at 4°C overnight. Counterstained with Hematoxylin. Secondary antibody only control : Secondary antibody is a ready to use Goat Anti-Rabbit IgG H&L (HRP polymer) (ab214880). Heat mediated antigen retrieval was performed using ab93678 (citrate buffer, pH 6.0)

Immunohistochemistry (Formalin/PFA-fixed paraffin-embedded sections) - Anti-Nectin 3 antibody [EPR26326-22] (AB314219)
  • IHC-P

Supplier Data

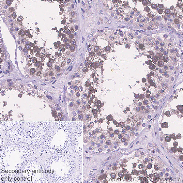
Immunohistochemistry (Formalin/PFA-fixed paraffin-embedded sections) - Anti-Nectin 3 antibody [EPR26326-22] (AB314219)

Immunohistochemical analysis of paraffin-embedded Human testis tissue labeling Nectin 3 with ab314219 at 1/500 (1.008 ug/ml) followed by a ready to use Goat Anti-Rabbit IgG H&L (HRP polymer) (ab214880). Positive staining on human testis. The section was incubated with ab314219 at 4°C overnight. Counterstained with Hematoxylin. Secondary antibody only control : Secondary antibody is a ready to use Goat Anti-Rabbit IgG H&L (HRP polymer) (ab214880). Heat mediated antigen retrieval was performed using ab93678 (citrate buffer, pH 6.0)

Immunohistochemistry (Formalin/PFA-fixed paraffin-embedded sections) - Anti-Nectin 3 antibody [EPR26326-22] (AB314219)
  • IHC-P

Supplier Data

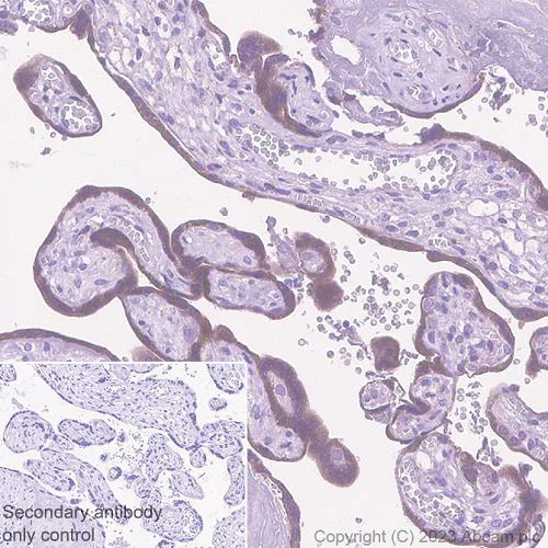
Immunohistochemistry (Formalin/PFA-fixed paraffin-embedded sections) - Anti-Nectin 3 antibody [EPR26326-22] (AB314219)

Immunohistochemical analysis of paraffin-embedded Human placenta tissue labeling Nectin 3 with ab314219 at 1/500 (1.008 ug/ml) followed by a ready to use Goat Anti-Rabbit IgG H&L (HRP polymer) (ab214880). Positive staining on human placenta. The section was incubated with ab314219 at 4°C overnight. Counterstained with Hematoxylin. Secondary antibody only control : Secondary antibody is a ready to use Goat Anti-Rabbit IgG H&L (HRP polymer) (ab214880). Heat mediated antigen retrieval was performed using ab93678 (citrate buffer, pH 6.0)

Immunoprecipitation - Anti-Nectin 3 antibody [EPR26326-22] (AB314219)
  • IP

Supplier Data

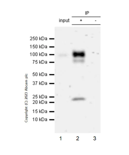
Immunoprecipitation - Anti-Nectin 3 antibody [EPR26326-22] (AB314219)

Nectin 3 was immunoprecipitated from 0.35 mg HCT116 (human colorectal carcinoma epithelial cell) whole cell lysate with ab314219 at 1/30 dilution (2ug in 0.35mg lysates). Western blot was performed on the immunoprecipitate using ab314219 at 1/1000 dilution. VeriBlot for IP secondary antibody(HRP)(ab131366) was used at 1/5000 dilution. Lane 1 : HCT116 (human colorectal carcinoma epithelial cell) whole cell lysate Lane 2 : ab314219 IP in HCT116 (human colorectal carcinoma epithelial cell) whole cell lysate Lane 3 : Rabbit monoclonal IgG (ab172730) instead of ab314219 in HCT116 whole cell lysate Blocking and dilution buffer and concentration : 5% NFDM/TBST. Exposure time : 137 seconds The identity of the lower MW band at approximately 25 kDa (in lane 2) is unknown.

All lanes:

Immunoprecipitation - Anti-Nectin 3 antibody [EPR26326-22] (ab314219) at 1/30 dilution

All lanes:

HCT116 (human colorectal carcinoma epithelial cell) whole cell lysate

Secondary

All lanes:

Immunoprecipitation - VeriBlot for IP Detection Reagent (HRP) (<a href='/en-us/products/reagents/veriblot-for-ip-detection-reagent-hrp-ab131366'>ab131366</a>) at 1/5000 dilution

false

Exposure time: 137s

Western blot - Anti-Nectin 3 antibody [EPR26326-22] (AB314219)
  • WB

Supplier Data

Western blot - Anti-Nectin 3 antibody [EPR26326-22] (AB314219)

Blocking and diluting buffer and concentration : 5% NFDM/TBST Negative control : U-937 (PMID : 11024295). Nectin 3 is a glycoprotein of approximately 100 kDa and detected as a 60 kDa band after treated with Protein Deglycosylation MIX II. In Western blot, Anti-GAPDH antibody [EPR16891] - Loading Control (ab181602) staining at 1/200000 dilution. Exposure time : Lane 1-2 : 10 seconds, Lane 3-5 : 5 seconds.

All lanes:

Western blot - Anti-Nectin 3 antibody [EPR26326-22] (ab314219) at 1/1000 dilution

Lane 1:

Untreated HCT 116 (human colorectal carcinoma epithelial cell) whole cell lysate at 15 µg

Lane 2:

HCT 116 whole cell lysate treated with Protein Deglycosylation MIX II at 15 µg

Lane 3:

HeLa (human cervical adenocarcinoma epithelial cell) whole cell lysate at 20 µg

Lane 4:

HUVEC (human umbilical vein endothelial cell) whole cell lysate at 20 µg

Lane 5:

U-937 (human histiocytic lymphoma monocyte) whole cell lysate at 20 µg

Secondary

All lanes:

Goat Anti-Rabbit IgG (HRP) with minimal cross-reactivity with human IgG at 1/2000 dilution

Observed band size: 60-100 kDa

false

Western blot - Anti-Nectin 3 antibody [EPR26326-22] (AB314219)
  • WB

Supplier Data

Western blot - Anti-Nectin 3 antibody [EPR26326-22] (AB314219)

Blocking and diluting buffer and concentration : 5% NFDM/TBST Low expression : heart (PMID : 11024295), colon (PMID : 11024295). In Western blot, Anti-GAPDH antibody [EPR16891] - Loading Control (ab181602) staining at 1/200000 dilution. Exposure time : 10 seconds

All lanes:

Western blot - Anti-Nectin 3 antibody [EPR26326-22] (ab314219) at 1/1000 dilution

Lane 1:

Human testis tissue lysate at 20 µg

Lane 2:

Human heart tissue lysate at 20 µg

Lane 3:

Human colon tissue lysate at 20 µg

Secondary

All lanes:

Goat Anti-Rabbit IgG (HRP) with minimal cross-reactivity with human IgG at 1/2000 dilution

Observed band size: 60-100 kDa

false

Exposure time: 10s

Key facts

Host species

Rabbit

Clonality

Monoclonal

Clone number

EPR26326-22

Isotype

IgG

Carrier free

No

Reacts with

Human

Applications

IHC-P, IP, WB

applications

Immunogen

The exact immunogen used to generate this antibody is proprietary information.

Reactivity data

{ "title": "Reactivity Data", "filters": { "stats": ["", "Species", "Dilution Info", "Notes"], "tabs": { "all-applications": {"fullname" : "All Applications", "shortname": "All Applications"}, "IHCP" : {"fullname" : "Immunohistochemistry (Formalin/PFA-fixed paraffin-embedded sections)", "shortname":"IHC-P"}, "WB" : {"fullname" : "Western blot", "shortname":"WB"}, "IP" : {"fullname" : "Immunoprecipitation", "shortname":"IP"}, "FlowCytIntra" : {"fullname" : "Flow Cytometry (Intracellular)", "shortname":"Flow Cyt (Intra)"}, "ICCIF" : {"fullname" : "Immunocytochemistry/ Immunofluorescence", "shortname":"ICC/IF"} }, "product-promise": { "all": "all", "testedAndGuaranteed": "tested", "guaranteed": "expected", "predicted": "predicted", "notRecommended": "not-recommended" } }, "values": { "Human": { "IHCP-species-checked": "testedAndGuaranteed", "IHCP-species-dilution-info": "1/500", "IHCP-species-notes": "<p></p>", "WB-species-checked": "testedAndGuaranteed", "WB-species-dilution-info": "1/1000", "WB-species-notes": "<p></p>", "IP-species-checked": "testedAndGuaranteed", "IP-species-dilution-info": "1/30", "IP-species-notes": "<p></p>", "FlowCytIntra-species-checked": "notRecommended", "FlowCytIntra-species-dilution-info": "", "FlowCytIntra-species-notes": "<p></p>", "ICCIF-species-checked": "notRecommended", "ICCIF-species-dilution-info": "", "ICCIF-species-notes": "<p></p>" }, "Mouse": { "IHCP-species-checked": "notRecommended", "IHCP-species-dilution-info": "", "IHCP-species-notes": "<p></p>", "WB-species-checked": "notRecommended", "WB-species-dilution-info": "", "WB-species-notes": "<p></p>", "IP-species-checked": "notRecommended", "IP-species-dilution-info": "", "IP-species-notes": "", "FlowCytIntra-species-checked": "notRecommended", "FlowCytIntra-species-dilution-info": "", "FlowCytIntra-species-notes": "", "ICCIF-species-checked": "notRecommended", "ICCIF-species-dilution-info": "", "ICCIF-species-notes": "" }, "Rat": { "IHCP-species-checked": "notRecommended", "IHCP-species-dilution-info": "", "IHCP-species-notes": "<p></p>", "WB-species-checked": "notRecommended", "WB-species-dilution-info": "", "WB-species-notes": "<p></p>", "IP-species-checked": "notRecommended", "IP-species-dilution-info": "", "IP-species-notes": "", "FlowCytIntra-species-checked": "notRecommended", "FlowCytIntra-species-dilution-info": "", "FlowCytIntra-species-notes": "", "ICCIF-species-checked": "notRecommended", "ICCIF-species-dilution-info": "", "ICCIF-species-notes": "" } } }

Product details

Patented technology
Our RabMAb® technology is a patented hybridoma-based technology for making rabbit monoclonal antibodies. For details on our patents, please refer to RabMAb® patents.

What are the advantages of a recombinant monoclonal antibody?
This product is a recombinant monoclonal antibody, which offers several advantages including:

  • - High batch-to-batch consistency and reproducibility
  • - Improved sensitivity and specificity
  • - Long-term security of supply
  • - Animal-free batch production

For more information, read more on recombinant antibodies.

Properties and storage information

Form
Liquid
Purification technique
Affinity purification Protein A
Storage buffer
pH: 7.2 - 7.4 Preservative: 0.01% Sodium azide Constituents: PBS, 40% Glycerol (glycerin, glycerine), 0.05% BSA
Shipped at conditions
Blue Ice
Appropriate short-term storage duration
1-2 weeks
Appropriate short-term storage conditions
+4°C
Appropriate long-term storage conditions
-20°C
Aliquoting information
Upon delivery aliquot
Storage information
Avoid freeze / thaw cycle

Supplementary information

This supplementary information is collated from multiple sources and compiled automatically.

Nectin-3 also known as CD113 or PVRL3 is an immunoglobulin-like cell adhesion molecule. It plays an important role in cell-cell adhesion by forming homo- and heterophilic trans-dimers with other nectins and nectin-like molecules. Nectin-3 has a molecular mass of approximately 83 kDa. Its expression is generally observed in neural tissues such as the brain as well as in testis and various epithelial tissues. This distribution allows it to contribute to diverse cellular interactions critical for tissue organization and development.
Biological function summary

Nectin-3 participates in the formation and maintenance of adherens junctions by interacting with cadherins and actin filaments. It is a member of the Nectin family which includes Nectin-1 Nectin-2 and Nectin-4 known for their roles in cell adhesion. The function of Nectin-3 is integral to the establishment of tight junctions contributing to the structural integrity and function of epithelial and endothelial cells. It often works as part of a complex with afadin which supports its connection to the actin cytoskeleton.

Pathways

Nectin-3 acts in the formation of synapses and is involved in signaling pathways related to cell adhesion such as the actin cytoskeleton regulation pathway. It plays a significant role in the activation of the Ras and Rac small GTPase signaling pathways facilitating changes in cytoskeletal dynamics during cell movement and morphogenesis. Nectin-3 closely associates with other proteins in the Nectin family such as Nectin-1 and Nectin-2 in these pathways enhancing intercellular communication.

Mutations or dysregulation of Nectin-3 have been linked to conditions like mental retardation and developmental abnormalities. It is particularly relevant in the context of intellectual disability where alterations in cell adhesion and signaling can impair proper neuronal connectivity and brain function. Furthermore Nectin-3 interacts with PVRL proteins highlighting its possible involvement in cancer progression and metastasis through altered cell adhesion properties.

Product protocols

For this product, it's our understanding that no specific protocols are required. You can visit:

Target data

Cell adhesion molecule that promotes cell-cell adhesion through heterophilic trans-interactions with nectins-like or other nectins, such as trans-interaction with NECTIN2 at Sertoli-spermatid junctions (PubMed : 16216929). Trans-interaction with PVR induces activation of CDC42 and RAC small G proteins through common signaling molecules such as SRC and RAP1 (PubMed : 16216929). Induces endocytosis-mediated down-regulation of PVR from the cell surface, resulting in reduction of cell movement and proliferation (PubMed : 16216929). Involved in axon guidance by promoting contacts between the commissural axons and the floor plate cells (By similarity). Also involved in the formation of cell-cell junctions, including adherens junctions and synapses (By similarity). Promotes formation of checkerboard-like cellular pattern of hair cells and supporting cells in the auditory epithelium via heterophilic interaction with NECTIN1 : NECTIN1 is present in the membrane of hair cells and associates with NECTIN3 on supporting cells, thereby mediating heterotypic adhesion between these two cell types (By similarity). Plays a role in the morphology of the ciliary body (By similarity).
See full target information NECTIN3

Product promise

We are committed to supporting your work with high-quality reagents, and we're here for you every step of the way. In the unlikely event that one of our products does not perform as expected, you're protected by our Product Promise.
For full details, please see our Terms & Conditions

Please note: All products are 'FOR RESEARCH USE ONLY. NOT FOR USE IN DIAGNOSTIC OR THERAPEUTIC PROCEDURES'.

For licensing inquiries, please contact partnerships@abcam.com