JavaScript is disabled in your browser. Please enable JavaScript to view this website.
AB192033

Anti-Nectin-4 antibody [EPR15613-68]

Be the first to review this product! Submit a review

|

(25 Publications)

Anti-Nectin-4 antibody [EPR15613-68] (ab192033) is a rabbit monoclonal antibody detecting Nectin-4 in Western Blot, IHC-P. Suitable for Human.

- Biophysical QC for unrivalled batch-batch consistency
- Over 10 publications

View Alternative Names

LNIR, PRR4, PVRL4, NECTIN4, Nectin-4, Ig superfamily receptor LNIR, Nectin cell adhesion molecule 4, Poliovirus receptor-related protein 4

4 Images
Western blot - Anti-Nectin-4 antibody [EPR15613-68] (AB192033)
  • WB

Lab

Western blot - Anti-Nectin-4 antibody [EPR15613-68] (AB192033)

Blocking and diluting buffer and concentration : 5% NFDM/TBST.

ab181602 was used as a GAPDH loading control.

The antibody detected a 50kDa and 70kDa non-specific band in the negative sample MDA-MB-231, which are close to the target band. Therefore, we recommend including a negative sample when performing Western Blot analysis.

We suggest using the whole cell and cell supernatant lysate side by side to observe the expression of different form of Nectin-4. The cell supernatant can detect soluble Nectin-4 mainly (PMID : 15784625).

Negative control : MDA-MB-231 (15784625, PMID : 31617074, PMID : 24386110, PMID : 17474988).

All lanes:

Western blot - Anti-Nectin-4 antibody [EPR15613-68] (ab192033) at 1/1000 dilution

Lane 1:

T-47D (Human ductal breast epithelial tumor epithelial cell) starved for 24 hours, whole cell lysate at 20 µg

Lane 2:

T-47D (Human ductal breast epithelial tumor epithelial cell) starved for 24 hours, Concentrated cell supernatant at 20 µg

Lane 3:

MDA-MB-231 (Human breast adenocarcinoma epithelial cell) whole cell lysate at 20 µg

Secondary

All lanes:

Western blot - Goat Anti-Rabbit IgG H&L (HRP) (<a href='/en-us/products/secondary-antibodies/goat-rabbit-igg-h-l-hrp-ab97051'>ab97051</a>) at 1/20000 dilution

Predicted band size: 55 kDa

Observed band size: 40-70 kDa

false

Exposure time: 7s

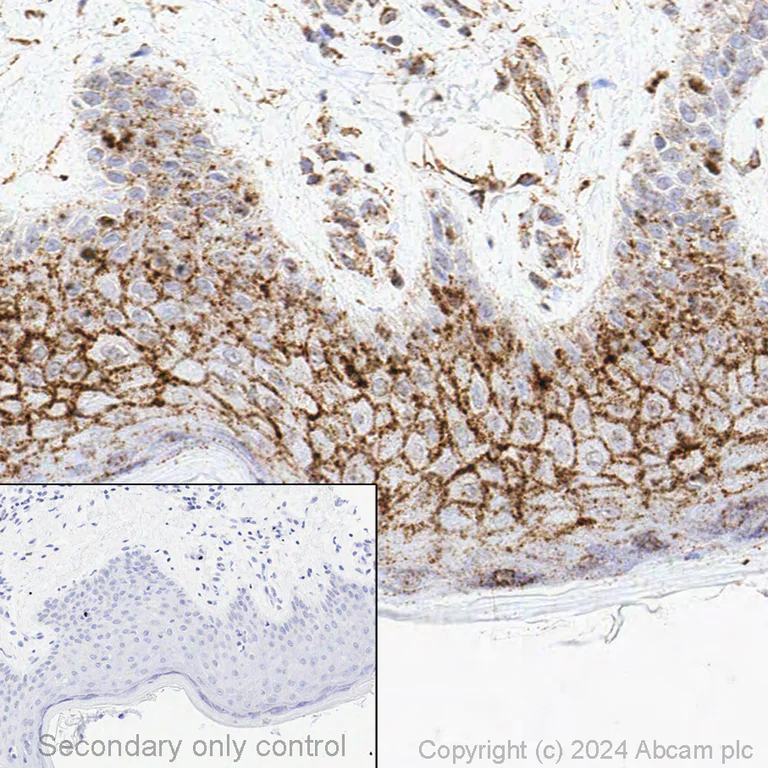
Immunohistochemistry (Formalin/PFA-fixed paraffin-embedded sections) - Anti-Nectin-4 antibody [EPR15613-68] (AB192033)
  • IHC-P

Supplier Data

Immunohistochemistry (Formalin/PFA-fixed paraffin-embedded sections) - Anti-Nectin-4 antibody [EPR15613-68] (AB192033)

Immunohistochemical analysis of formalin fixed paraffin (FFPE) embedded normal human skin labelling Nectin-4 with ab192033 at a concentration of 0.3μg/ml. The immunostaining was performed on a Ventana DISCOVERY ULTRA (Roche Tissue Diagnostics) instrument with an OptiView DAB IHC Detection Kit followed by OptiView Amplification kit. Heat mediated antigen retrieval was conducted for 64min with DISCOVERY cell conditioning solution (CC1) 100°C, pH8.5. ab192033 was incubated at 37°C for 40min. Sections were counterstained with Hematoxylin II. Image inset shows absence of staining in secondary antibody only control.

Customers should note, the current antibody has been examined with alternative automated IHC staining platforms and optimal results were obtained using the Ventana DISCOVERY ULTRA with associated kits and reagents. We were not able to obtain optimal results with Leica BOND platform when using the Polymer Refine detection kit, 20min ER1 antigen retrieval and 16min antibody incubation at room temperature. Further optimisation may be needed when using the Leica BOND platform.

Some nuclear non-specific staining can be observed in Ventana when antibody concentration >1 ug/mL.

Western blot - Anti-Nectin-4 antibody [EPR15613-68] (AB192033)
  • WB

Supplier Data

Western blot - Anti-Nectin-4 antibody [EPR15613-68] (AB192033)

All lanes:

Western blot - Anti-Nectin-4 antibody [EPR15613-68] (ab192033) at 1/1000 dilution

Lane 1:

T47D lysate at 20 µg

Lane 2:

MCF7 lysate at 20 µg

Lane 3:

Human placenta lysate at 20 µg

Secondary

All lanes:

Goat Anti-Rabbit IgG, (H+L), Peroxidase conjugated at 1/1000 dilution

Predicted band size: 55 kDa

false

Western blot - Anti-Nectin-4 antibody [EPR15613-68] (AB192033)
  • WB

Supplier Data

Western blot - Anti-Nectin-4 antibody [EPR15613-68] (AB192033)

Blocking and diluting buffer and concentration : 5% NFDM/TBST. The expression profile observed in MDA-MB-231 is consistent with the literatures (PMID : 31617074, PMID : 24386110, PMID : 17474988). Negative control : MDA-MB-231 (PMID : 31617074, PMID : 24386110, PMID : 17474988).

All lanes:

Western blot - Anti-Nectin-4 antibody [EPR15613-68] (ab192033) at 1/1000 dilution

Lane 1:

T-47D (Human ductal breast epithelial tumor epithelial cell) whole cell lysate at 20 µg

Lane 2:

MDA-MB-231 (Human breast adenocarcinoma epithelial cell) whole cell lysate at 20 µg

Lane 3:

Human placenta tissue lysate at 20 µg

Secondary

All lanes:

Goat Anti-Rabbit IgG (HRP) with minimal cross-reactivity with human IgG at 1/2000 dilution

Predicted band size: 55 kDa

Observed band size: 40-70 kDa

false

Exposure time: 20s

  • Carrier free

    Anti-Nectin-4 antibody [EPR15613-68] - BSA and Azide free

Key facts

Host species

Rabbit

Clonality

Monoclonal

Clone number

EPR15613-68

Isotype

IgG

Carrier free

No

Reacts with

Human

Applications

IHC-P, WB

applications

Immunogen

The exact immunogen used to generate this antibody is proprietary information.

Specificity

Customers should note, the current antibody has been examined with alternative automated IHC staining platforms and optimal results were obtained using the Ventana DISCOVERY ULTRA with associated kits and reagents. We were not able to obtain optimal results with Leica BOND platform when using the Polymer Refine detection kit, 20min ER1 antigen retrieval and 16min antibody incubation at room temperature. Further optimisation may be needed when using the Leica BOND platform.

The antibody detected a 50kDa and 70kDa non-specific band in the negative sample MDA-MB-231, which are close to the target band. Therefore, we recommend including a negative sample when performing Western Blot analysis.

We suggest using the whole cell and cell supernatant lysate side by side to observe the expression of different form of Nectin-4. The cell supernatant can detect soluble Nectin-4 mainly (PMID: 15784625).

Negative control: MDA-MB-231 (15784625, PMID: 31617074, PMID: 24386110, PMID: 17474988).

Reactivity data

{ "title": "Reactivity Data", "filters": { "stats": ["", "Species", "Dilution Info", "Notes"], "tabs": { "all-applications": {"fullname" : "All Applications", "shortname": "All Applications"}, "WB" : {"fullname" : "Western blot", "shortname":"WB"}, "IHCP" : {"fullname" : "Immunohistochemistry (Formalin/PFA-fixed paraffin-embedded sections)", "shortname":"IHC-P"} }, "product-promise": { "all": "all", "testedAndGuaranteed": "tested", "guaranteed": "expected", "predicted": "predicted", "notRecommended": "not-recommended" } }, "values": { "Human": { "WB-species-checked": "testedAndGuaranteed", "WB-species-dilution-info": "1/1000 - 1/2000", "WB-species-notes": "<p>The antibody detected a 50kDa and 70kDa non-specific band in the negative sample MDA-MB-231, which are close to the target band. Therefore, we recommend including a negative sample when performing Western Blot analysis.</p><p>We suggest using the whole cell and cell supernatant lysate side by side to observe the expression of different form of Nectin-4. The cell supernatant can detect soluble Nectin-4 mainly (PMID: 15784625).</p><p>Negative control: MDA-MB-231 (15784625, PMID: 31617074, PMID: 24386110, PMID: 17474988).</p>", "IHCP-species-checked": "testedAndGuaranteed", "IHCP-species-dilution-info": "0.3 µg/mL", "IHCP-species-notes": "<p></p>" } } }

Product details

Product Specifications
Anti-Nectin-4 antibody [EPR15613-68] (ab192033) was developed by Abcam using patented rabbit monoclonal antibody technology and is validated for use in IHC-P, WB in human samples.
Anti-Nectin-4 antibody [EPR15613-68] (ab192033) specifically detects Nectin-4 (UniProt ID: Q96NY8; Molecular weight: 52kDa) and is sold in 100 µL and 1 mL selling sizes.

Quality and Validation
Abcam's high quality manufacturing and validation processes ensure Anti-Nectin-4 antibody [EPR15613-68] (ab192033) has high sensitivity and specificity alongside high lot-to-lot consistency and reproducibility.
Anti-Nectin-4 antibody [EPR15613-68] (ab192033) has been cited over 14 times in peer reviewed journals and is trusted by the scientific community.

Patented technology
Our RabMAb® technology is a patented hybridoma-based technology for making rabbit monoclonal antibodies. For details on our patents, please refer to RabMAb® patents.

What are the advantages of a recombinant monoclonal antibody?
This product is a recombinant monoclonal antibody, which offers several advantages including:

  • - High batch-to-batch consistency and reproducibility
  • - Improved sensitivity and specificity
  • - Long-term security of supply
  • - Animal-free batch production

For more information, read more on recombinant antibodies.

Properties and storage information

Form
Liquid
Purification technique
Affinity purification Protein A
Storage buffer
pH: 7.2 - 7.4 Preservative: 0.01% Sodium azide Constituents: PBS, 40% Glycerol (glycerin, glycerine), 0.05% BSA
Shipped at conditions
Blue Ice
Appropriate short-term storage duration
1-2 weeks
Appropriate short-term storage conditions
+4°C
Appropriate long-term storage conditions
-20°C
Aliquoting information
Upon delivery aliquot
Storage information
Avoid freeze / thaw cycle

Product protocols

For this product, it's our understanding that no specific protocols are required. You can visit:

Target data

Seems to be involved in cell adhesion through trans-homophilic and -heterophilic interactions, the latter including specifically interactions with NECTIN1. Does not act as receptor for alpha-herpesvirus entry into cells.. (Microbial infection) Acts as a receptor for measles virus.
See full target information NECTIN4

Publications (25)

Recent publications for all applications. Explore the full list and refine your search

Journal of cancer research and clinical oncology 151:280 PubMed41055665

2025

Deficient DNA mismatch repair and Nectin-4 expression in upper tract urothelial carcinoma (UTUC).

Applications

Unspecified application

Species

Unspecified reactive species

Peichen Duan,Le Yu,Yichang Hao,Shaohui Deng,Peng Hong,Min Lu,Shudong Zhang

Virchows Archiv : an international journal of pathology : PubMed40571752

2025

Nectin-4 expression in upper and lower tract urothelial carcinoma: correlation with early-stage disease and prognostic relevance.

Applications

Unspecified application

Species

Unspecified reactive species

Go Kobayashi,Yohei Sekino,Tetsutaro Hayashi,Hikaru Nakahara,Kazuma Yukihiro,Kohei Kobatake,Hiroyuki Kitano,Keisuke Goto,Hiroaki Niitsu,Takao Hinoi,Kazuhiro Sentani,Nobuyuki Hinata

International journal of molecular sciences 26: PubMed40507807

2025

Mechanistic Insights into Anti-Nectin4-VcMMAE-Induced Ocular Toxicity: From Cellular Uptake Pathways to Molecular Modification.

Applications

Unspecified application

Species

Unspecified reactive species

Jialing Zhang,Meng Li,Weiyu Li,Yuxuan Yang,Gang Wu,Peng Guo,Chuanfei Yu,Lan Wang

Cancer immunology, immunotherapy : CII 74:211 PubMed40392373

2025

NECTIN4 regulates the cell surface expression of CD155 in non-small cell lung cancer cells and induces tumor resistance to PD-1 inhibitors.

Applications

Unspecified application

Species

Unspecified reactive species

Shun Mizusaki,Yasuto Yoneshima,Eiji Iwama,Tadayuki Nakashima,Ritsu Ibusuki,Daisuke Shibahara,Kohei Otsubo,Kentaro Tanaka,Isamu Okamoto

Journal of cancer research and clinical oncology 151:73 PubMed39928161

2025

Durable response to treatment of an atypical desmoplastic small round cell tumor with enfortumab-vedotin.

Applications

Unspecified application

Species

Unspecified reactive species

John S Wang,Jack C Shapiro,Sarah Orlando,Rusul Al-Marayaty,Farres Obeidin,David VanderWeele,Haris Charalambous,Seth M Pollack,Pedro Hermida de Viveiros

Histology and histopathology 40:785-796 PubMed39582282

2024

Assessing the expression of Nectin-4 in solid tumors by immunohistochemistry - what do we know?

Applications

Unspecified application

Species

Unspecified reactive species

Christine Sanders,Glen Kristiansen

Clinical cancer research : an official journal of the American Association for Cancer Research 31:387-402 PubMed39513959

2024

Utilizing Patient-Derived Xenografts to Model Precision Oncology for Biliary Tract Cancer.

Applications

Unspecified application

Species

Unspecified reactive species

Timothy P DiPeri,Kurt W Evans,Stephen Scott,Xiaofeng Zheng,Kaushik Varadarajan,Lawrence N Kwong,Michael Kahle,Hop S Tran Cao,Ching-Wei Tzeng,Thuy Vu,Sunhee Kim,Fei Su,Maria Gabriela Raso,Yasmeen Rizvi,Ming Zhao,Huamin Wang,Sunyoung S Lee,Timothy A Yap,Jordi Rodon,Milind Javle,Funda Meric-Bernstam

Cancer research communications 4:2998-3012 PubMed39440991

2024

ETx-22, a Novel Nectin-4-Directed Antibody-Drug Conjugate, Demonstrates Safety and Potent Antitumor Activity in Low-Nectin-4-Expressing Tumors.

Applications

Unspecified application

Species

Unspecified reactive species

Marc Lopez,Emerence Crompot,Emmanuelle Josselin,Anne Farina,Marion Rubis,Remy Castellano,Joanna Fares,Maria Wehbe,Yves Collette,Emmanuelle Charafe,Stéphanie Blanchin,François Romagne,Anikó Pálfi,Torsten Hechler,Andreas Pahl,Hatem A Azim,Florence Lhospice,Emilie Mamessier,François Bertucci,Jack Elands,Xavier Préville,Daniel Olive

International journal of molecular sciences 25: PubMed39408678

2024

Immunohistochemical Expression of p53 and FGFR3 Predicts Response to Enfortumab Vedotin in Metastatic Urothelial Carcinoma.

Applications

IHC-P

Species

Human

Yujiro Nagata,Akinori Minato,Hisami Aono,Rieko Kimuro,Katsuyoshi Higashijima,Ikko Tomisaki,Kenichi Harada,Hiroshi Miyamoto,Naohiro Fujimoto

Scientific reports 13:21602 PubMed38062106

2023

Nectin-4 regulates cellular senescence-associated enlargement of cell size.

Applications

Unspecified application

Species

Unspecified reactive species

Ryoko Katasho,Taiki Nagano,Tetsushi Iwasaki,Shinji Kamada
View all publications

Product promise

We are committed to supporting your work with high-quality reagents, and we're here for you every step of the way. In the unlikely event that one of our products does not perform as expected, you're protected by our Product Promise.
For full details, please see our Terms & Conditions

Please note: All products are 'FOR RESEARCH USE ONLY. NOT FOR USE IN DIAGNOSTIC OR THERAPEUTIC PROCEDURES'.

For licensing inquiries, please contact partnerships@abcam.com