JavaScript is disabled in your browser. Please enable JavaScript to view this website.
AB251110

Anti-Nectin-4 antibody [EPR15613-68] - BSA and Azide free

Be the first to review this product! Submit a review

|

(1 Publication)

Anti-Nectin-4 antibody [EPR15613-68] - BSA and Azide free (ab251110) is a rabbit recombinant monoclonal antibody provided in a PBS only buffer for easy conjugation detecting Nectin-4 in Western Blot, IHC-P. Suitable for Human.

- BSA, sodium azide, and glycerol-free for easy conjugation
- Biophysical QC for unrivalled batch-batch consistency

View Alternative Names

LNIR, PRR4, PVRL4, NECTIN4, Nectin-4, Ig superfamily receptor LNIR, Nectin cell adhesion molecule 4, Poliovirus receptor-related protein 4

4 Images
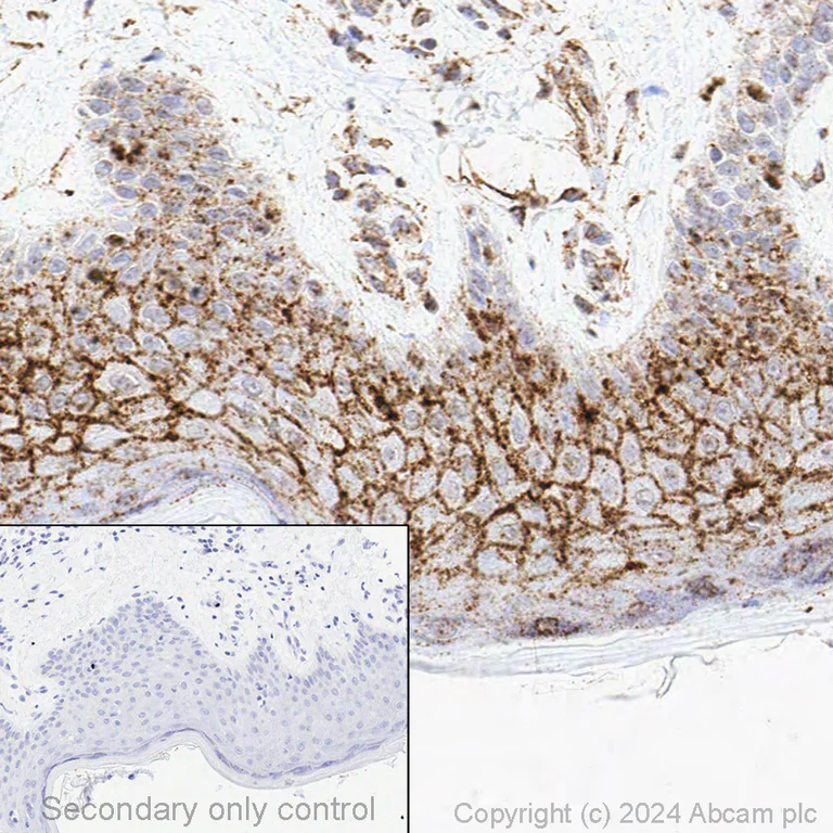
Immunohistochemistry (Formalin/PFA-fixed paraffin-embedded sections) - Anti-Nectin-4 antibody [EPR15613-68] - BSA and Azide free (AB251110)
  • IHC-P

Supplier Data

Immunohistochemistry (Formalin/PFA-fixed paraffin-embedded sections) - Anti-Nectin-4 antibody [EPR15613-68] - BSA and Azide free (AB251110)

This data was developed using ab192033, the same antibody clone in a different buffer formulation.

Immunohistochemical analysis of formalin fixed paraffin (FFPE) embedded normal human skin labelling Nectin-4 with ab192033 at a concentration of 0.3μg/ml. The immunostaining was performed on a Ventana DISCOVERY ULTRA (Roche Tissue Diagnostics) instrument with an OptiView DAB IHC Detection Kit followed by OptiView Amplification kit. Heat mediated antigen retrieval was conducted for 64min with DISCOVERY cell conditioning solution (CC1) 100°C, pH8.5. ab192033 was incubated at 37°C for 40min. Sections were counterstained with Hematoxylin II. Image inset shows absence of staining in secondary antibody only control.

Customers should note, the current antibody has been examined with alternative automated IHC staining platforms and optimal results were obtained using the Ventana DISCOVERY ULTRA with associated kits and reagents. We were not able to obtain optimal results with Leica BOND platform when using the Polymer Refine detection kit, 20min ER1 antigen retrieval and 16min antibody incubation at room temperature. Further optimisation may be needed when using the Leica BOND platform.

Some nuclear non-specific staining can be observed in Ventana when antibody concentration >1 ug/mL.

Western blot - Anti-Nectin-4 antibody [EPR15613-68] - BSA and Azide free (AB251110)
  • WB

Supplier Data

Western blot - Anti-Nectin-4 antibody [EPR15613-68] - BSA and Azide free (AB251110)

This data was developed using ab192033, the same antibody clone in a different buffer formulation. Blocking and diluting buffer and concentration : 5% NFDM/TBST. The expression profile observed in MDA-MB-231 is consistent with the literatures (PMID : 31617074, PMID : 24386110, PMID : 17474988). Negative control : MDA-MB-231 (PMID : 31617074, PMID : 24386110, PMID : 17474988).

All lanes:

Western blot - Anti-Nectin-4 antibody [EPR15613-68] (<a href='/en-us/products/primary-antibodies/nectin-4-antibody-epr15613-68-ab192033'>ab192033</a>) at 1/1000 dilution

Lane 1:

T-47D (Human ductal breast epithelial tumor epithelial cell) whole cell lysate at 20 µg

Lane 2:

MDA-MB-231 (Human breast adenocarcinoma epithelial cell) whole cell lysate at 20 µg

Lane 3:

Human placenta tissue lysate at 20 µg

Secondary

All lanes:

Goat Anti-Rabbit IgG (HRP) with minimal cross-reactivity with human IgG at 1/2000 dilution

Predicted band size: 55 kDa

Observed band size: 40-70 kDa

false

Exposure time: 20s

Western blot - Anti-Nectin-4 antibody [EPR15613-68] - BSA and Azide free (AB251110)
  • WB

Lab

Western blot - Anti-Nectin-4 antibody [EPR15613-68] - BSA and Azide free (AB251110)

This data was developed using ab192033, the same antibody clone in a different buffer formulation.

Blocking and diluting buffer and concentration : 5% NFDM/TBST.

ab181602 was used as a GAPDH loading control.

The antibody detected a 50kDa and 70kDa non-specific band in the negative sample MDA-MB-231, which are close to the target band. Therefore, we recommend including a negative sample when performing Western Blot analysis.

We suggest using the whole cell and cell supernatant lysate side by side to observe the expression of different form of Nectin-4. The cell supernatant can detect soluble Nectin-4 mainly (PMID : 15784625).

Negative control : MDA-MB-231 (15784625, PMID : 31617074, PMID : 24386110, PMID : 17474988).

All lanes:

Western blot - Anti-Nectin-4 antibody [EPR15613-68] (<a href='/en-us/products/primary-antibodies/nectin-4-antibody-epr15613-68-ab192033'>ab192033</a>) at 1/1000 dilution

Lane 1:

T-47D (Human ductal breast epithelial tumor epithelial cell) starved for 24 hours, whole cell lysate at 20 µg

Lane 2:

T-47D (Human ductal breast epithelial tumor epithelial cell) starved for 24 hours, Concentrated cell supernatant at 20 µg

Lane 3:

MDA-MB-231 (Human breast adenocarcinoma epithelial cell) whole cell lysate at 20 µg

Secondary

All lanes:

Western blot - Goat Anti-Rabbit IgG H&L (HRP) (<a href='/en-us/products/secondary-antibodies/goat-rabbit-igg-h-l-hrp-ab97051'>ab97051</a>) at 1/20000 dilution

Predicted band size: 55 kDa

Observed band size: 40-70 kDa

false

Exposure time: 7s

Western blot - Anti-Nectin-4 antibody [EPR15613-68] - BSA and Azide free (AB251110)
  • WB

Supplier Data

Western blot - Anti-Nectin-4 antibody [EPR15613-68] - BSA and Azide free (AB251110)

This data was developed using ab192033, the same antibody clone in a different buffer formulation.

All lanes:

Western blot - Anti-Nectin-4 antibody [EPR15613-68] (<a href='/en-us/products/primary-antibodies/nectin-4-antibody-epr15613-68-ab192033'>ab192033</a>) at 1/1000 dilution

Lane 1:

T47D lysate at 20 µg

Lane 2:

MCF7 lysate at 20 µg

Lane 3:

Human placenta lysate at 20 µg

Secondary

All lanes:

Goat Anti-Rabbit IgG, (H+L), Peroxidase conjugated at 1/1000 dilution

Predicted band size: 55 kDa

false

Key facts

Host species

Rabbit

Clonality

Monoclonal

Clone number

EPR15613-68

Isotype

IgG

Carrier free

Yes

Reacts with

Human

Applications

WB, IHC-P

applications

Immunogen

The exact immunogen used to generate this antibody is proprietary information.

Specificity

Customers should note, the current antibody has been examined with alternative automated IHC staining platforms and optimal results were obtained using the Ventana DISCOVERY ULTRA with associated kits and reagents. We were not able to obtain optimal results with Leica BOND platform when using the Polymer Refine detection kit, 20min ER1 antigen retrieval and 16min antibody incubation at room temperature. Further optimisation may be needed when using the Leica BOND platform.

The antibody detected a 50kDa and 70kDa non-specific band in the negative sample MDA-MB-231, which are close to the target band. Therefore, we recommend including a negative sample when performing Western Blot analysis.

We suggest using the whole cell and cell supernatant lysate side by side to observe the expression of different form of Nectin-4. The cell supernatant can detect soluble Nectin-4 mainly (PMID: 15784625).

Negative control: MDA-MB-231 (15784625, PMID: 31617074, PMID: 24386110, PMID: 17474988).

Reactivity data

{ "title": "Reactivity Data", "filters": { "stats": ["", "Species", "Dilution Info", "Notes"], "tabs": { "all-applications": {"fullname" : "All Applications", "shortname": "All Applications"}, "WB" : {"fullname" : "Western blot", "shortname":"WB"}, "IHCP" : {"fullname" : "Immunohistochemistry (Formalin/PFA-fixed paraffin-embedded sections)", "shortname":"IHC-P"} }, "product-promise": { "all": "all", "testedAndGuaranteed": "tested", "guaranteed": "expected", "predicted": "predicted", "notRecommended": "not-recommended" } }, "values": { "Human": { "WB-species-checked": "testedAndGuaranteed", "WB-species-dilution-info": "", "WB-species-notes": "<p>The antibody detected a 50kDa and 70kDa non-specific band in the negative sample MDA-MB-231, which are close to the target band. Therefore, we recommend including a negative sample when performing Western Blot analysis.</p><p>We suggest using the whole cell and cell supernatant lysate side by side to observe the expression of different form of Nectin-4. The cell supernatant can detect soluble Nectin-4 mainly (PMID: 15784625).</p><p>Negative control: MDA-MB-231 (15784625, PMID: 31617074, PMID: 24386110, PMID: 17474988).</p>", "IHCP-species-checked": "testedAndGuaranteed", "IHCP-species-dilution-info": "", "IHCP-species-notes": "<p></p>" } } }

Product details

What is this antibody validated in?
Anti-Nectin-4 antibody [EPR15613-68] - BSA and Azide free (ab251110) is a rabbit recombinant monoclonal antibody and is validated for use in Western Blot (WB), Immunohistochemistry (IHC-P) in Human samples.

What is the molecular weight of Nectin-4?
Anti-Nectin-4 [EPR15613-68] - BSA and Azide free (ab251110) specifically detects a band for Nectin-4 (UniProt: Q96NY8) at a molecular weight of 55kDa.

Other related products
We have a range of other formats of antibody clone [EPR15613-68] also available for your convenience: ab192033, Carrier free - ab251110

Patented technology
Our RabMAb® technology is a patented hybridoma-based technology for making rabbit monoclonal antibodies. For details on our patents, please refer to RabMAb® patents.

What are the advantages of a recombinant monoclonal antibody?
This product is a recombinant monoclonal antibody, which offers several advantages including:

  • - High batch-to-batch consistency and reproducibility
  • - Improved sensitivity and specificity
  • - Long-term security of supply
  • - Animal-free batch production

For more information, read more on recombinant antibodies.

Conjugation ready
Our carrier-free antibodies are typically supplied in a PBS-only formulation, purified and free of BSA, sodium azide and glycerol. This conjugation-ready format is designed for use with fluorochromes, metal isotopes, oligonucleotides, and enzymes, which makes them ideal for antibody labelling, functional and cell-based assays, flow-based assays (e.g. mass cytometry) and Multiplex Imaging applications.

Use our conjugation kits for antibody conjugates that are ready-to-use in as little as 20 minutes with 1 minute hands-on-time and 100% antibody recovery: available for fluorescent dyes, HRP, biotin and gold.

Compatibility
This product is compatible with the Maxpar® Antibody Labeling Kit from Fluidigm, without the need for antibody preparation. Maxpar® is a trademark of Fluidigm Canada Inc.

Properties and storage information

Form
Liquid
Purification technique
Affinity purification Protein A
Storage buffer
pH: 7.2 - 7.4 Constituents: PBS
Shipped at conditions
Blue Ice
Appropriate short-term storage conditions
+4°C
Appropriate long-term storage conditions
+4°C
Storage information
Do Not Freeze

Supplementary information

This supplementary information is collated from multiple sources and compiled automatically.

Nectin-4 also known as PVRL4 is a member of the immunoglobulin-like adhesion molecule family. It has a molecular weight of approximately 66 kDa. Nectin-4 plays an important role in cell-cell adhesion by forming trans-dimers promoting cellular cohesion. It is expressed in tissues such as placenta embryonic tissues and several epithelial cancers indicating its potential involvement in developmental processes and pathological conditions. When utilizing methods such as 'nectin-4 ELISA' and 'nectin-4 IHC' researchers can study its expression extensively across different tissue samples.
Biological function summary

Nectin-4 functions as an important adhesion molecule that contributes to the maintenance and organization of cell junctions. It is often part of larger adhesive complexes that include afadin which links nectin proteins to the actin cytoskeleton stabilizing cell structure. Besides its role in maintaining cell-cell adhesion nectin-4 is significant in processes like cellular polarization and migration. These properties make it an important target for understanding tissue development and integrity as well as cancer metastasis.

Pathways

Nectin-4 belongs to the pathways regulating cell adhesion and the cytoskeletal organization. It is closely associated with the cadherin and integrin signaling pathways where it collaborates with other nectin family members and afadin to regulate these networks. These interactions impact cellular processes such as signal transduction and intercellular communication critical for tissue maintenance. Studies involving 'nectin expression' help further elucidate these pathway connections and their implications in healthy and diseased tissues.

Nectin-4 shows significant correlation with certain cancers such as breast and lung carcinoma. Its elevated expression in tumor tissues suggests a role in tumorigenesis and cancer progression. The protein's interaction with oncogenes like HER2 indicates a possible pathway by which nectin-4 affects cancer cell proliferation and survival. Understanding 'nectin-4 expression' in the context of these diseases aids in identifying potential biomarkers and therapeutic targets for cancer diagnosis and treatment.

Product protocols

For this product, it's our understanding that no specific protocols are required. You can visit:

Target data

Seems to be involved in cell adhesion through trans-homophilic and -heterophilic interactions, the latter including specifically interactions with NECTIN1. Does not act as receptor for alpha-herpesvirus entry into cells.. (Microbial infection) Acts as a receptor for measles virus.
See full target information NECTIN4

Publications (1)

Recent publications for all applications. Explore the full list and refine your search

Clinical cancer research : an official journal of the American Association for Cancer Research 29:1496-1505 PubMed36534531

2022

Membranous NECTIN-4 Expression Frequently Decreases during Metastatic Spread of Urothelial Carcinoma and Is Associated with Enfortumab Vedotin Resistance.

Applications

Unspecified application

Species

Unspecified reactive species

Niklas Klümper,Damian J Ralser,Jörg Ellinger,Florian Roghmann,Julia Albrecht,Eduard Below,Abdullah Alajati,Danijel Sikic,Johannes Breyer,Christian Bolenz,Friedemann Zengerling,Philipp Erben,Kristina Schwamborn,Ralph M Wirtz,Thomas Horn,Dora Nagy,Marieta Toma,Glen Kristiansen,Thomas Büttner,Oliver Hahn,Viktor Grünwald,Christopher Darr,Eva Erne,Steffen Rausch,Jens Bedke,Katrin Schlack,Mahmoud Abbas,Stefanie Zschäbitz,Constantin Schwab,Alexander Mustea,Patrick Adam,Andreas Manseck,Bernd Wullich,Manuel Ritter,Arndt Hartmann,Jürgen Gschwend,Wilko Weichert,Franziska Erlmeier,Michael Hölzel,Markus Eckstein
View all publications

Product promise

We are committed to supporting your work with high-quality reagents, and we're here for you every step of the way. In the unlikely event that one of our products does not perform as expected, you're protected by our Product Promise.
For full details, please see our Terms & Conditions

Please note: All products are 'FOR RESEARCH USE ONLY. NOT FOR USE IN DIAGNOSTIC OR THERAPEUTIC PROCEDURES'.

For licensing inquiries, please contact partnerships@abcam.com