JavaScript is disabled in your browser. Please enable JavaScript to view this website.
AB322927

Anti-Nectin-4 antibody [RM1257]

  • BOND RX™ Validated
  • Recombinant
  • RabMAb
  • 20ul selling size
  • What is this?

Be the first to review this product! Submit a review

|

(0 Publication)

Rabbit Recombinant Multiclonal Nectin-4 antibody. Suitable for Flow Cyt, WB, IHC-P, IP and reacts with Human samples.

View Alternative Names

LNIR, PRR4, PVRL4, NECTIN4, Nectin-4, Ig superfamily receptor LNIR, Nectin cell adhesion molecule 4, Poliovirus receptor-related protein 4

10 Images
Immunohistochemistry (Formalin/PFA-fixed paraffin-embedded sections) - Anti-Nectin-4 antibody [RM1257] (AB322927)
  • IHC-P

Supplier Data

Immunohistochemistry (Formalin/PFA-fixed paraffin-embedded sections) - Anti-Nectin-4 antibody [RM1257] (AB322927)

Immunohistochemical analysis of paraffin-embedded Human cardiac muscle tissue labeling Nectin-4 with ab322927 at 1/2000 (0.265 ug/ml) dilution, followed by a ready to use LeicaDS9800 (Bond™ Polymer Refine Detection).

Negative control : no staining on human cardiac muscle.
The section was incubated with ab322927 for 30 mins at room temperature.
The immunostaining was performed on a Leica Biosystems BOND® RX instrument

Counterstained with Hematoxylin.

Secondary antibody only control : Secondary antibody is a ready to use LeicaDS9800 (Bond™ Polymer Refine Detection).

Heat mediated antigen retrieval was performed with Tris-EDTA buffer (pH 9.0, Epitope Retrieval Solution2) for 20 mins

Immunohistochemistry (Formalin/PFA-fixed paraffin-embedded sections) - Anti-Nectin-4 antibody [RM1257] (AB322927)
  • IHC-P

Supplier Data

Immunohistochemistry (Formalin/PFA-fixed paraffin-embedded sections) - Anti-Nectin-4 antibody [RM1257] (AB322927)

Immunohistochemical analysis of paraffin-embedded Human spleen tissue labeling Nectin-4 with ab322927 at 1/2000 (0.265 ug/ml) dilution, followed by a ready to use LeicaDS9800 (Bond™ Polymer Refine Detection).

Negative control : no staining on human spleen.
The section was incubated with ab322927 for 30 mins at room temperature.
The immunostaining was performed on a Leica Biosystems BOND® RX instrument

Counterstained with Hematoxylin.

Secondary antibody only control : Secondary antibody is a ready to use LeicaDS9800 (Bond™ Polymer Refine Detection).

Heat mediated antigen retrieval was performed with Tris-EDTA buffer (pH 9.0, Epitope Retrieval Solution2) for 20 mins

Flow Cytometry - Anti-Nectin-4 antibody [RM1257] (AB322927)
  • Flow Cyt

Supplier Data

Flow Cytometry - Anti-Nectin-4 antibody [RM1257] (AB322927)

Flow cytometric analysis of T-47D (human ductal breast epithelial tumor epithelial cell) (Right) / A549 (human lung carcinoma epithelial cell) (Left) cells labelling Nectin-4 with ab322927 at 1/50 dilution (1ug) / Right compared with a Rabbit monoclonal IgG (ab172730) (Black) isotype control and an unlabelled control (cells without incubation with primary antibody and secondary antibody).

Goat anti-Rabbit IgG (Alexa Fluor® 647, ab150083) at 1/5000 dilution was used as the secondary antibody.

Gated on viable cells.
Low expression : A549 (PMID : 21901103).

Flow Cytometry - Anti-Nectin-4 antibody [RM1257] (AB322927)
  • Flow Cyt

Supplier Data

Flow Cytometry - Anti-Nectin-4 antibody [RM1257] (AB322927)

Flow cytometric analysis of DLD-1 (human colorectal adenocarcinoma epithelial cell) (Right) / HeLa (human cervical adenocarcinoma epithelial cell) (Left) cells labelling Nectin-4 with ab322927 at 1/50 dilution (1ug) / Right compared with a Rabbit monoclonal IgG (ab172730) (Black) isotype control and an unlabelled control (cells without incubation with primary antibody and secondary antibody).

Goat anti-Rabbit IgG (Alexa Fluor® 647, ab150083) at 1/5000 dilution was used as the secondary antibody.

Gated on viable cells.
Low expression : HeLa (PMID : 21901103).

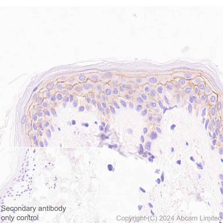
Immunohistochemistry (Formalin/PFA-fixed paraffin-embedded sections) - Anti-Nectin-4 antibody [RM1257] (AB322927)
  • IHC-P

Supplier Data

Immunohistochemistry (Formalin/PFA-fixed paraffin-embedded sections) - Anti-Nectin-4 antibody [RM1257] (AB322927)

Immunohistochemical analysis of paraffin-embedded Human skin tissue labeling Nectin-4 with ab322927 at 1/2000 (0.265 ug/ml) dilution, followed by a ready to use LeicaDS9800 (Bond™ Polymer Refine Detection).

Positive staining on human skin.
The section was incubated with ab322927 for 30 mins at room temperature.
The immunostaining was performed on a Leica Biosystems BOND® RX instrument

Counterstained with Hematoxylin.

Secondary antibody only control : Secondary antibody is a ready to use LeicaDS9800 (Bond™ Polymer Refine Detection).

Heat mediated antigen retrieval was performed with Tris-EDTA buffer (pH 9.0, Epitope Retrieval Solution2) for 20 mins

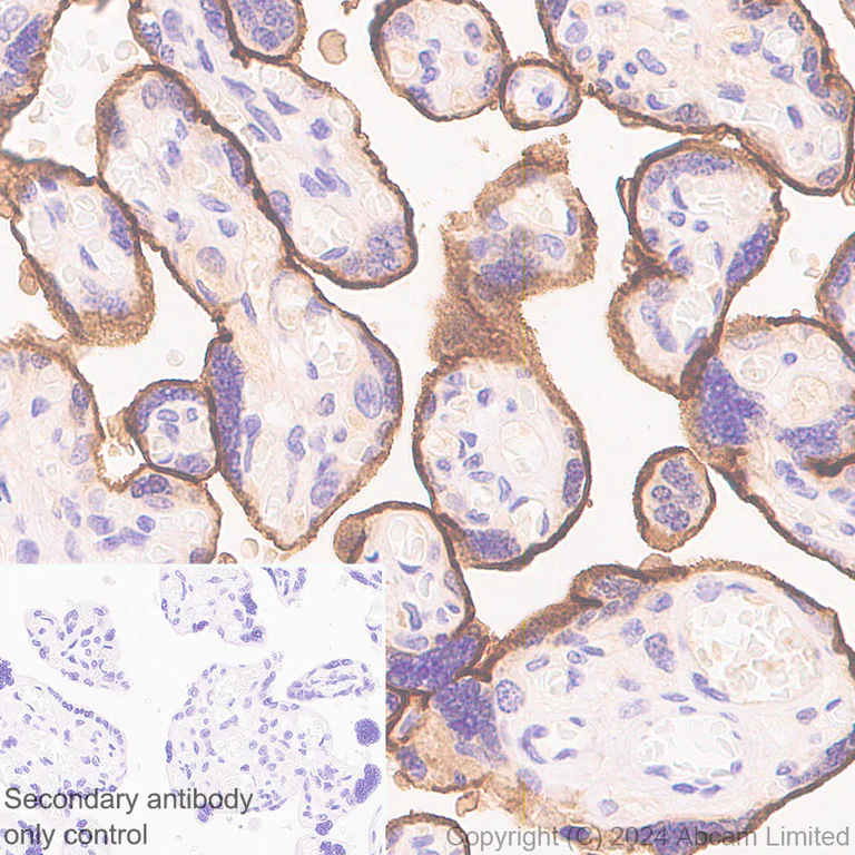
Immunohistochemistry (Formalin/PFA-fixed paraffin-embedded sections) - Anti-Nectin-4 antibody [RM1257] (AB322927)
  • IHC-P

Supplier Data

Immunohistochemistry (Formalin/PFA-fixed paraffin-embedded sections) - Anti-Nectin-4 antibody [RM1257] (AB322927)

Immunohistochemical analysis of paraffin-embedded Human placenta tissue labeling Nectin-4 with ab322927 at 1/2000 (0.265 ug/ml) dilution, followed by a ready to use LeicaDS9800 (Bond™ Polymer Refine Detection).

Positive staining on human placenta.
The section was incubated with ab322927 for 30 mins at room temperature.
The immunostaining was performed on a Leica Biosystems BOND® RX instrument

Counterstained with Hematoxylin.

Secondary antibody only control : Secondary antibody is a ready to use LeicaDS9800 (Bond™ Polymer Refine Detection).

Heat mediated antigen retrieval was performed with Tris-EDTA buffer (pH 9.0, Epitope Retrieval Solution2) for 20 mins

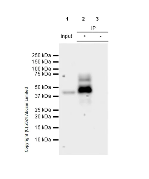
Immunoprecipitation - Anti-Nectin-4 antibody [RM1257] (AB322927)
  • IP

Supplier Data

Immunoprecipitation - Anti-Nectin-4 antibody [RM1257] (AB322927)

Nectin-4 was immunoprecipitated from 0.35 mg DLD-1 (human colorectal adenocarcinoma epithelial cell) whole cell lysate with ab322927 at 1/30 dilution (2ug in 0.35mg lysates). Western blot was performed on the immunoprecipitate using ab322927 at 1/1000 dilution. VeriBlot for IP secondary antibody(HRP)(ab131366) was used at 1/5000 dilution.

Lane 1 : DLD-1 (human colorectal adenocarcinoma epithelial cell) whole cell lysate
Lane 2 : ab322927 IP in DLD-1 (human colorectal adenocarcinoma epithelial cell) whole cell lysate
Lane 3 : Rabbit monoclonal IgG (ab172730) instead of ab322927 in DLD-1 whole cell lysate

Blocking and dilution buffer and concentration : 5% NFDM/TBST

All lanes:

Immunoprecipitation - Anti-Nectin-4 antibody [RM1257] (ab322927) at 1/30 dilution

All lanes:

DLD-1 (human colorectal adenocarcinoma epithelial cell) whole cell lysate

Secondary

All lanes:

Immunoprecipitation - VeriBlot for IP Detection Reagent (HRP) (<a href='/en-us/products/reagents/veriblot-for-ip-detection-reagent-hrp-ab131366'>ab131366</a>) at 1/5000 dilution

false

Exposure time: 50s

Immunoprecipitation - Anti-Nectin-4 antibody [RM1257] (AB322927)
  • IP

Supplier Data

Immunoprecipitation - Anti-Nectin-4 antibody [RM1257] (AB322927)

Nectin-4 was immunoprecipitated from 0.35 mg T-47D whole cell lysate with ab322927 at 1/30 dilution (2ug in 0.35mg lysates). Western blot was performed on the immunoprecipitate using ab322927 at 1/1000 dilution. VeriBlot for IP secondary antibody(HRP)(ab131366) was used at 1/5000 dilution.

Lane 1 : T-47D (human ductal breast epithelial tumor epithelial cell) whole cell lysate
Lane 2 : ab322927 IP in T-47D whole cell lysate
Lane 3 : Rabbit monoclonal IgG (ab172730) instead of ab322927 in T-47D whole cell lysate

Blocking and dilution buffer and concentration : 5% NFDM/TBST

All lanes:

Immunoprecipitation - Anti-Nectin-4 antibody [RM1257] (ab322927) at 1/30 dilution

All lanes:

T-47D (human ductal breast epithelial tumor epithelial cell) whole cell lysate

Secondary

All lanes:

Immunoprecipitation - VeriBlot for IP Detection Reagent (HRP) (<a href='/en-us/products/reagents/veriblot-for-ip-detection-reagent-hrp-ab131366'>ab131366</a>) at 1/5000 dilution

false

Exposure time: 15s

Western blot - Anti-Nectin-4 antibody [RM1257] (AB322927)
  • WB

Supplier Data

Western blot - Anti-Nectin-4 antibody [RM1257] (AB322927)

Blocking and diluting buffer and concentration : 5% NFDM/TBST.

Low expression : Spleen (PMID : 11544254).

In Western blot, Anti-GAPDH antibody [EPR16891] - Loading Control (ab181602) staining at 1/200000 dilution.

All lanes:

Western blot - Anti-Nectin-4 antibody [RM1257] (ab322927) at 1/1000 dilution

Lane 1:

Human placenta tissue lysate at 20 µg

Lane 2:

Human spleen tissue lysate at 20 µg

Secondary

All lanes:

Goat Anti-Rabbit IgG (HRP) with minimal cross-reactivity with human IgG at 1/2000 dilution

Observed band size: 40-70 kDa,36 kDa

false

Exposure time: 180s

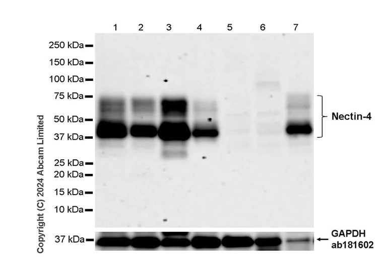
Western blot - Anti-Nectin-4 antibody [RM1257] (AB322927)
  • WB

Supplier Data

Western blot - Anti-Nectin-4 antibody [RM1257] (AB322927)

Blocking and diluting buffer and concentration : 5% NFDM/TBST.

Low expression : HeLa and A549 (PMID : 21901103).

The expression profile/ molecular weight observed is consistent with what has been described in the literature (PMID : 15784625).

In Western blot, Anti-GAPDH antibody [EPR16891] - Loading Control (ab181602) staining at 1/200000 dilution.

All lanes:

Western blot - Anti-Nectin-4 antibody [RM1257] (ab322927) at 1/1000 dilution

Lane 1:

HT-29 (human colorectal adenocarcinoma epithelial cell) whole cell lysate at 20 µg

Lane 2:

DLD-1 (human colorectal adenocarcinoma epithelial cell) whole cell lysate at 20 µg

Lane 3:

T-47D (human ductal breast epithelial tumor epithelial cell) whole cell lysate at 20 µg

Lane 4:

MCF7 (human breast adenocarcinoma epithelial cell) whole cell lysate at 20 µg

Lane 5:

HeLa (human cervical adenocarcinoma epithelial cell) whole cell lysate at 20 µg

Lane 6:

A549 (human lung carcinoma epithelial cell) whole cell lysate at 20 µg

Lane 7:

A431 (human epidermoid carcinoma epithelial cell) whole cell lysate at 20 µg

Secondary

All lanes:

Western blot - Goat Anti-Rabbit IgG H&L (HRP) (<a href='/en-us/products/secondary-antibodies/goat-rabbit-igg-h-l-hrp-ab97051'>ab97051</a>) at 1/100000 dilution

Observed band size: 40-70 kDa,36 kDa

true

Exposure time: 147s

Key facts

Host species

Rabbit

Clonality

Multiclonal

Clone number

RM1257

Isotype

IgG

Carrier free

No

Reacts with

Human

Applications

WB, IHC-P, Flow Cyt, IP

applications

Immunogen

The exact immunogen used to generate this antibody is proprietary information.

Reactivity data

{ "title": "Reactivity Data", "filters": { "stats": ["", "Species", "Dilution Info", "Notes"], "tabs": { "all-applications": {"fullname" : "All Applications", "shortname": "All Applications"}, "FlowCyt" : {"fullname" : "Flow Cytometry", "shortname":"Flow Cyt"}, "WB" : {"fullname" : "Western blot", "shortname":"WB"}, "IHCP" : {"fullname" : "Immunohistochemistry (Formalin/PFA-fixed paraffin-embedded sections)", "shortname":"IHC-P"}, "IP" : {"fullname" : "Immunoprecipitation", "shortname":"IP"}, "ICCIF" : {"fullname" : "Immunocytochemistry/ Immunofluorescence", "shortname":"ICC/IF"} }, "product-promise": { "all": "all", "testedAndGuaranteed": "tested", "guaranteed": "expected", "predicted": "predicted", "notRecommended": "not-recommended" } }, "values": { "Human": { "FlowCyt-species-checked": "testedAndGuaranteed", "FlowCyt-species-dilution-info": "1/50", "FlowCyt-species-notes": "<p></p>", "WB-species-checked": "testedAndGuaranteed", "WB-species-dilution-info": "1/1000", "WB-species-notes": "<p></p>", "IHCP-species-checked": "testedAndGuaranteed", "IHCP-species-dilution-info": "1/2000", "IHCP-species-notes": "<p></p> Perform heat-mediated antigen retrieval with Tris/EDTA buffer pH 9.0 before commencing with IHC staining protocol.", "IP-species-checked": "testedAndGuaranteed", "IP-species-dilution-info": "1/30", "IP-species-notes": "<p></p>", "ICCIF-species-checked": "notRecommended", "ICCIF-species-dilution-info": "", "ICCIF-species-notes": "<p></p>" }, "Mouse": { "FlowCyt-species-checked": "notRecommended", "FlowCyt-species-dilution-info": "", "FlowCyt-species-notes": "", "WB-species-checked": "notRecommended", "WB-species-dilution-info": "", "WB-species-notes": "<p></p>", "IHCP-species-checked": "notRecommended", "IHCP-species-dilution-info": "", "IHCP-species-notes": "<p></p>", "IP-species-checked": "notRecommended", "IP-species-dilution-info": "", "IP-species-notes": "", "ICCIF-species-checked": "notRecommended", "ICCIF-species-dilution-info": "", "ICCIF-species-notes": "" }, "Rat": { "FlowCyt-species-checked": "notRecommended", "FlowCyt-species-dilution-info": "", "FlowCyt-species-notes": "", "WB-species-checked": "notRecommended", "WB-species-dilution-info": "", "WB-species-notes": "<p></p>", "IHCP-species-checked": "notRecommended", "IHCP-species-dilution-info": "", "IHCP-species-notes": "<p></p>", "IP-species-checked": "notRecommended", "IP-species-dilution-info": "", "IP-species-notes": "", "ICCIF-species-checked": "notRecommended", "ICCIF-species-dilution-info": "", "ICCIF-species-notes": "" } } }

Product details

What are recombinant multiclonals?
Recombinant multiclonals are a mixture of recombinant antibodies co-expressed from a library of heavy and light chains. They offer several advantages including:

  • - The sensitivity of polyclonal antibodies by recognising multiple epitopes
  • - High batch-to-batch consistency and reproducibility
  • - Improved sensitivity and specificity
  • - Long-term security of supply
  • - Animal-free batch production

View our range of recombinant multiclonal antibodies.

Patented technology
Our RabMAb® technology is a patented hybridoma-based technology for making rabbit monoclonal antibodies. For details on our patents, please refer to RabMAb® patents.

Properties and storage information

Form
Liquid
Purification technique
Affinity purification Protein A
Storage buffer
pH: 7.2 - 7.4 Preservative: 0.01% Sodium azide Constituents: PBS, 40% Glycerol (glycerin, glycerine), 0.05% BSA
Shipped at conditions
Blue Ice
Appropriate short-term storage duration
1-2 weeks
Appropriate short-term storage conditions
+4°C
Appropriate long-term storage conditions
-20°C
Aliquoting information
Upon delivery aliquot
Storage information
Avoid freeze / thaw cycle

Product protocols

For this product, it's our understanding that no specific protocols are required. You can visit:

Target data

Seems to be involved in cell adhesion through trans-homophilic and -heterophilic interactions, the latter including specifically interactions with NECTIN1. Does not act as receptor for alpha-herpesvirus entry into cells.. (Microbial infection) Acts as a receptor for measles virus.
See full target information NECTIN4

Product promise

We are committed to supporting your work with high-quality reagents, and we're here for you every step of the way. In the unlikely event that one of our products does not perform as expected, you're protected by our Product Promise.
For full details, please see our Terms & Conditions

Please note: All products are 'FOR RESEARCH USE ONLY. NOT FOR USE IN DIAGNOSTIC OR THERAPEUTIC PROCEDURES'.

For licensing inquiries, please contact partnerships@abcam.com