JavaScript is disabled in your browser. Please enable JavaScript to view this website.
AB240753

Anti-NEDD4-2 antibody

Be the first to review this product! Submit a review

|

(10 Publications)

Rabbit Polyclonal NEDD4-2 antibody. Suitable for IHC-P, IP, WB and reacts with Human, Mouse samples. Cited in 10 publications. Immunogen corresponding to Synthetic Peptide within Human NEDD4L aa 250-350.

View Alternative Names

KIAA0439, NEDL3, NEDD4L, E3 ubiquitin-protein ligase NEDD4-like, HECT-type E3 ubiquitin transferase NED4L, NEDD4.2, Nedd4-2

3 Images
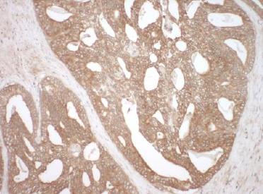
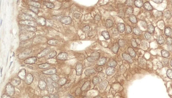
Immunohistochemistry (Formalin/PFA-fixed paraffin-embedded sections) - Anti-NEDD4-2 antibody (AB240753)
  • IHC-P

Supplier Data

Immunohistochemistry (Formalin/PFA-fixed paraffin-embedded sections) - Anti-NEDD4-2 antibody (AB240753)

Formalin-fixed, paraffin-embedded human prostate carcinoma tissue stained for NEDD4-2 using ab240753 at 1 μg/ml in immunohistochemical analysis. DAB staining.

Immunoprecipitation - Anti-NEDD4-2 antibody (AB240753)
  • IP

Supplier Data

Immunoprecipitation - Anti-NEDD4-2 antibody (AB240753)

NEDD4-2 was immunoprecipitated from HeLa (human epithelial cell line from cervix adenocarcinoma) whole cell lysate (1 mg for IP, 20% of IP loaded) with ab240753 at 3 μg/mg lysate. Western blot was performed from the immunoprecipitate using ab240753 at 0.4 μg/ml.

Lane 1 : ab240753 IP in HeLa whole cell lysate.
Lane 2 : Control IgG IP in HeLa whole cell lysate.

Detection : Chemiluminescence with exposure time of 3 seconds.

All lanes:

Immunoprecipitation - Anti-NEDD4-2 antibody (ab240753)

Predicted band size: 112 kDa

false

Western blot - Anti-NEDD4-2 antibody (AB240753)
  • WB

Supplier Data

Western blot - Anti-NEDD4-2 antibody (AB240753)

All lanes:

Western blot - Anti-NEDD4-2 antibody (ab240753) at 0.04 µg/mL

Lane 1:

HeLa (human epithelial cell line from cervix adenocarcinoma) whole cell lysate at 50 µg

Lane 2:

HeLa whole cell lysate at 15 µg

Lane 3:

HeLa whole cell lysate at 5 µg

Lane 4:

HEK-293T (human epithelial cell line from embryonic kidney transformed with large T antigen) whole cell lysate at 50 µg

Lane 5:

NIH/3T3 (mouse embryo fibroblast cell line) whole cell lysate at 50 µg

Predicted band size: 112 kDa

false

Exposure time: 10s

Key facts

Host species

Rabbit

Clonality

Polyclonal

Isotype

IgG

Carrier free

No

Reacts with

Mouse, Human

Applications

WB, IP, IHC-P

applications

Immunogen

Synthetic Peptide within Human NEDD4L aa 250-350. The exact immunogen used to generate this antibody is proprietary information.

Q96PU5

Reactivity data

{ "title": "Reactivity Data", "filters": { "stats": ["", "Species", "Dilution Info", "Notes"], "tabs": { "all-applications": {"fullname" : "All Applications", "shortname": "All Applications"}, "IHCP" : {"fullname" : "Immunohistochemistry (Formalin/PFA-fixed paraffin-embedded sections)", "shortname":"IHC-P"}, "IP" : {"fullname" : "Immunoprecipitation", "shortname":"IP"}, "WB" : {"fullname" : "Western blot", "shortname":"WB"} }, "product-promise": { "all": "all", "testedAndGuaranteed": "tested", "guaranteed": "expected", "predicted": "predicted", "notRecommended": "not-recommended" } }, "values": { "Human": { "IHCP-species-checked": "testedAndGuaranteed", "IHCP-species-dilution-info": "1/100 - 1/500", "IHCP-species-notes": "<p></p> Perform heat-mediated antigen retrieval with citrate buffer pH 6 before commencing with IHC staining protocol.", "IP-species-checked": "testedAndGuaranteed", "IP-species-dilution-info": "2-5 µg/mg of lysate", "IP-species-notes": "<p></p>", "WB-species-checked": "testedAndGuaranteed", "WB-species-dilution-info": "1/2000 - 1/10000", "WB-species-notes": "<p></p>" }, "Mouse": { "IHCP-species-checked": "guaranteed", "IHCP-species-dilution-info": "", "IHCP-species-notes": "", "IP-species-checked": "guaranteed", "IP-species-dilution-info": "", "IP-species-notes": "", "WB-species-checked": "testedAndGuaranteed", "WB-species-dilution-info": "1/2000 - 1/10000", "WB-species-notes": "<p></p>" }, "Orangutan": { "IHCP-species-checked": "predicted", "IHCP-species-dilution-info": "", "IHCP-species-notes": "", "IP-species-checked": "predicted", "IP-species-dilution-info": "", "IP-species-notes": "", "WB-species-checked": "predicted", "WB-species-dilution-info": "", "WB-species-notes": "" } } }

Properties and storage information

Form
Liquid
Purification technique
Affinity purification Immunogen
Storage buffer
pH: 6.8 - 7.4 Preservative: 0.09% Sodium azide Constituents: Tris buffered saline, 0.1% BSA
Shipped at conditions
Blue Ice
Appropriate short-term storage duration
1-2 weeks
Appropriate short-term storage conditions
+4°C
Appropriate long-term storage conditions
-20°C
Aliquoting information
Upon delivery aliquot
Storage information
Avoid freeze / thaw cycle

Supplementary information

This supplementary information is collated from multiple sources and compiled automatically.

NEDD4-2 also known as NEDD4L is a HECT domain-containing ubiquitin E3 ligase with a mass of approximately 120 kDa. It is expressed in various tissues especially in the kidney lung and colon. NEDD4-2 is involved in tagging proteins with ubiquitin marking them for degradation via the proteasome pathway. This protein helps regulate protein turnover by attaching ubiquitin chains to specific substrate proteins.
Biological function summary

NEDD4-2 regulates key cellular processes by controlling the abundance of membrane proteins like ion channels and receptors. It binds and ubiquitinates specific targets like ENaC (epithelial sodium channel) significantly influencing electrolyte and fluid balance. NEDD4-2 often functions as part of multiprotein complexes that modulate cellular homeostasis. Efficient function of these complexes ensures cells maintain balance in their environment.

Pathways

NEDD4-2 integrates into the MAPK and Wnt signaling pathways influencing diverse cellular outcomes like proliferation and apoptosis. Acting within these pathways NEDD4-2 associates with proteins such as Ras and β-catenin. This interaction influences cellular responses to external stimuli playing roles in cellular growth regulation and fate decisions.

Abnormalities in NEDD4-2 function are linked to conditions like Liddle's syndrome and hypertension. Mutations or dysregulation in NEDD4-2 can alter ENaC activity leading to increased sodium retention and contribute to high blood pressure. Moreover it connects to disorders like epithelial cancers through pathways involving β-catenin indicating its potential role in tumorigenesis. Research continues to explore these interactions to identify therapeutic targets.

Product protocols

For this product, it's our understanding that no specific protocols are required. You can visit:

Target data

E3 ubiquitin-protein ligase that mediates the polyubiquitination of lysine and cysteine residues on target proteins and is thereby implicated in the regulation of various signaling pathways including autophagy, innate immunity or DNA repair (PubMed : 20064473, PubMed : 31959741, PubMed : 33608556). Inhibits TGF-beta signaling by triggering SMAD2 and TGFBR1 ubiquitination and proteasome-dependent degradation (PubMed : 15496141). Downregulates autophagy and cell growth by ubiquitinating and reducing cellular ULK1 or ASCT2 levels (PubMed : 28820317, PubMed : 31959741). Promotes ubiquitination and internalization of various plasma membrane channels such as ENaC, SCN2A/Nav1.2, SCN3A/Nav1.3, SCN5A/Nav1.5, SCN9A/Nav1.7, SCN10A/Nav1.8, KCNA3/Kv1.3, KCNH2, EAAT1, KCNQ2/Kv7.2, KCNQ3/Kv7.3 or CLC5 (PubMed : 26363003, PubMed : 27445338). Promotes ubiquitination and degradation of SGK1 and TNK2. Ubiquitinates BRAT1 and this ubiquitination is enhanced in the presence of NDFIP1 (PubMed : 25631046). Plays a role in dendrite formation by melanocytes (PubMed : 23999003). Involved in the regulation of TOR signaling (PubMed : 27694961). Ubiquitinates and regulates protein levels of NTRK1 once this one is activated by NGF (PubMed : 27445338). Plays a role in antiviral innate immunity by catalyzing 'Lys-29'-linked cysteine ubiquitination of TRAF3, resulting in enhanced 'Lys-48' and 'Lys-63'-linked ubiquitination of TRAF3 (PubMed : 33608556). Ubiquitinates TTYH2 and TTYH3 and regulates protein levels of TTYH2 (PubMed : 18577513).
See full target information NEDD4L

Publications (10)

Recent publications for all applications. Explore the full list and refine your search

Acta biochimica et biophysica Sinica 57:1391-1405 PubMed40589411

2025

Modulation of ferroptosis via YY1-SLC7A11 axis in hepatic ischemia-reperfusion injury pathogenesis.

Applications

Unspecified application

Species

Unspecified reactive species

Shaochuang Wang,Baofei Jiang,Jun Cao,Ting Xu,Chengming Zhou,Xiangyou Yu,Yi Wang,Yu Xie,Lindong Ji,Guangrong Zhou,Hao Wen,Long Ma,Kun Wu

Investigative ophthalmology & visual science 65:19 PubMed38190128

2024

FOXM1 Participates in Scleral Remodeling in Myopia by Upregulating APOA1 Expression Through METTL3/YTHDF2.

Applications

Unspecified application

Species

Unspecified reactive species

Min Xue,Boai Li,Yao Lu,Luyuan Zhang,Bing Yang,Lei Shi

Cell death discovery 9:150 PubMed37156809

2023

GATA4-activated lncRNA MALAT1 promotes osteogenic differentiation through inhibiting NEDD4-mediated RUNX1 degradation.

Applications

Unspecified application

Species

Unspecified reactive species

Xianzhe Huang,Shuo Jie,Wenzhao Li,Chan Liu

Cell death and differentiation 30:369-382 PubMed36443440

2022

SPY1 inhibits neuronal ferroptosis in amyotrophic lateral sclerosis by reducing lipid peroxidation through regulation of GCH1 and TFR1.

Applications

Unspecified application

Species

Unspecified reactive species

Di Wang,Weiwei Liang,Di Huo,Hongyong Wang,Ying Wang,Chaohua Cong,Chunting Zhang,Shi Yan,Ming Gao,Xiaoli Su,Xingli Tan,Wenmo Zhang,Ling Han,Dongmei Zhang,Honglin Feng

PeerJ 10:e13402 PubMed35646490

2022

Down-regulated NEDD4L facilitates tumor progression through activating Notch signaling in lung adenocarcinoma.

Applications

Unspecified application

Species

Unspecified reactive species

Liping Lin,Xuan Wu,Yuanxue Jiang,Caijiu Deng,Xi Luo,Jianjun Han,Jiazhu Hu,Xiaolong Cao

Acta biochimica et biophysica Sinica 54:716-724 PubMed35593463

2022

NEDD4L inhibits cell viability, cell cycle progression, and glutamine metabolism in esophageal squamous cell carcinoma via ubiquitination of c-Myc.

Applications

Unspecified application

Species

Unspecified reactive species

Wei Cheng,Guiyuan Li,Zhou Ye,Jun Hu,Lixia Gao,Xiaoling Jia,Suping Zhao,Yan Wang,Qin Zhou

Cancer biology & therapy 23:243-253 PubMed35316145

2022

NEDD4L inhibits glycolysis and proliferation of cancer cells in oral squamous cell carcinoma by inducing ENO1 ubiquitination and degradation.

Applications

Unspecified application

Species

Unspecified reactive species

Guangping Zhang,Xin Zhao,Weixian Liu

International journal of biological sciences 17:3320-3330 PubMed34512149

2021

NEDD4L-induced β-catenin ubiquitination suppresses the formation and progression of interstitial pulmonary fibrosis inhibiting the CTHRC1/HIF-1α axis.

Applications

Unspecified application

Species

Unspecified reactive species

Lin Chen,Yang Yang,Haiying Yan,Xiaying Peng,Jun Zou

Frontiers in cell and developmental biology 8:620603 PubMed33748098

2021

Exosomes Derived From Macrophages Enhance Aerobic Glycolysis and Chemoresistance in Lung Cancer by Stabilizing c-Myc via the Inhibition of NEDD4L.

Applications

Unspecified application

Species

Unspecified reactive species

Huan Wang,Lie Wang,Haiyan Pan,Yaona Wang,Miao Shi,Hang Yu,Chaoye Wang,Xinfu Pan,Zhijun Chen

Aging 11:6053-6068 PubMed31469661

2019

LINC01198 promotes proliferation and temozolomide resistance in a NEDD4-1-dependent manner, repressing PTEN expression in glioma.

Applications

Unspecified application

Species

Unspecified reactive species

Wei-Lin Chen,Hong-Jin Chen,Guo-Qiang Hou,Xiao-Hua Zhang,Jian-Wei Ge
View all publications

Product promise

We are committed to supporting your work with high-quality reagents, and we're here for you every step of the way. In the unlikely event that one of our products does not perform as expected, you're protected by our Product Promise.
For full details, please see our Terms & Conditions

Please note: All products are 'FOR RESEARCH USE ONLY. NOT FOR USE IN DIAGNOSTIC OR THERAPEUTIC PROCEDURES'.

For licensing inquiries, please contact partnerships@abcam.com