JavaScript is disabled in your browser. Please enable JavaScript to view this website.
AB46521

Anti-NEDD4-2 antibody

3

(6 Reviews)

|

(38 Publications)

Rabbit Polyclonal NEDD4-2 antibody. Suitable for WB, ICC/IF, IHC-P and reacts with Human samples. Cited in 38 publications.

View Alternative Names

KIAA0439, NEDL3, NEDD4L, E3 ubiquitin-protein ligase NEDD4-like, HECT-type E3 ubiquitin transferase NED4L, NEDD4.2, Nedd4-2

3 Images
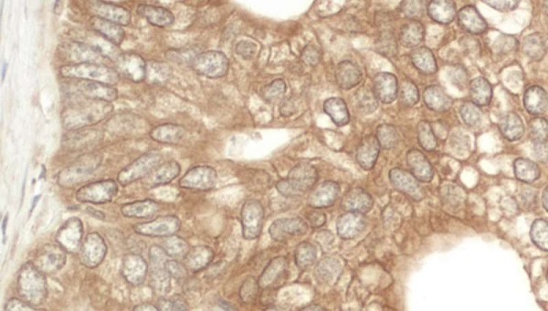
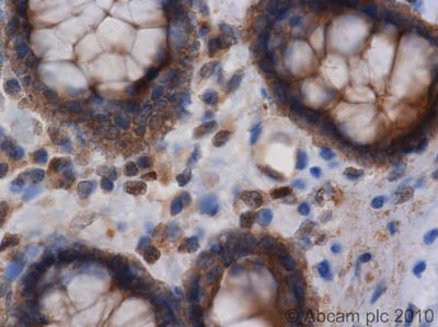
Immunohistochemistry (Formalin/PFA-fixed paraffin-embedded sections) - Anti-NEDD4-2 antibody (AB46521)
  • IHC-P

Unknown

Immunohistochemistry (Formalin/PFA-fixed paraffin-embedded sections) - Anti-NEDD4-2 antibody (AB46521)

ab46251 (1/1000) staining NEDD4-2 in human colon using an automated system (DAKO Autostainer Plus). Using this protocol there is strong cytoplasmic and membrane staining of the intestinal glands cells.
Sections were rehydrated and antigen retrieved with the Dako 3 in 1 AR buffer EDTA pH 9.0 in a DAKO PT link. Slides were peroxidase blocked in 3% H2O2 in methanol for 10 mins. They were then blocked with Dako Protein block for 10 minutes (containing casein 0.25% in PBS) then incubated with primary antibody for 20 min and detected with Dako envision flex amplification kit for 30 minutes. Colorimetric detection was completed with Diaminobenzidine for 5 minutes. Slides were counterstained with Haematoxylin and coverslipped under DePeX. Please note that, for manual staining, optimization of primary antibody concentration and incubation time is recommended. Signal amplification may be required.

Immunocytochemistry/ Immunofluorescence - Anti-NEDD4-2 antibody (AB46521)
  • ICC/IF

Unknown

Immunocytochemistry/ Immunofluorescence - Anti-NEDD4-2 antibody (AB46521)

ICC/IF image of ab46521 stained HeLa cells. The cells were 100% methanol fixed (5 min) and then incubated in 1%BSA / 10% normal goat serum / 0.3M glycine in 0.1% PBS-Tween for 1h to permeabilise the cells and block non-specific protein-protein interactions. The cells were then incubated with ab46521 at 1/200 dilution overnight at +4°C. The secondary antibody (green) was Alexa Fluor® 488 goat anti-rabbit IgG (H+L) used at a 1/1000 dilution for 1h. Alexa Fluor® 594 WGA was used to label plasma membranes (red) at a 1/200 dilution for 1h. DAPI was used to stain the cell nuclei (blue) at a concentration of 1.43μM.

Western blot - Anti-NEDD4-2 antibody (AB46521)
  • WB

Unknown

Western blot - Anti-NEDD4-2 antibody (AB46521)

All lanes:

Western blot - Anti-NEDD4-2 antibody (ab46521)

Lane 1:

Extract from non-transfected HEK293 cells

Lane 2:

Extract from HEK293 cells transfected with NEDD4-2

Predicted band size: 112 kDa

Observed band size: 120 kDa

false

Key facts

Host species

Rabbit

Clonality

Polyclonal

Isotype

IgG

Carrier free

No

Reacts with

Human

Applications

WB, ICC/IF, IHC-P

applications

Immunogen

The exact immunogen used to generate this antibody is proprietary information.

Reactivity data

{ "title": "Reactivity Data", "filters": { "stats": ["", "Species", "Dilution Info", "Notes"], "tabs": { "all-applications": {"fullname" : "All Applications", "shortname": "All Applications"}, "WB" : {"fullname" : "Western blot", "shortname":"WB"}, "ICCIF" : {"fullname" : "Immunocytochemistry/ Immunofluorescence", "shortname":"ICC/IF"}, "IHCP" : {"fullname" : "Immunohistochemistry (Formalin/PFA-fixed paraffin-embedded sections)", "shortname":"IHC-P"} }, "product-promise": { "all": "all", "testedAndGuaranteed": "tested", "guaranteed": "expected", "predicted": "predicted", "notRecommended": "not-recommended" } }, "values": { "Human": { "WB-species-checked": "testedAndGuaranteed", "WB-species-dilution-info": "1/1000", "WB-species-notes": "<p></p>", "ICCIF-species-checked": "testedAndGuaranteed", "ICCIF-species-dilution-info": "1/200", "ICCIF-species-notes": "<p></p>", "IHCP-species-checked": "testedAndGuaranteed", "IHCP-species-dilution-info": "1/1000", "IHCP-species-notes": "<p></p>" } } }

Properties and storage information

Form
Liquid
Purity
Whole antiserum
Shipped at conditions
Blue Ice
Appropriate short-term storage duration
1-2 weeks
Appropriate short-term storage conditions
+4°C
Appropriate long-term storage conditions
-20°C
Aliquoting information
Upon delivery aliquot
Storage information
Avoid freeze / thaw cycle

Supplementary information

This supplementary information is collated from multiple sources and compiled automatically.

NEDD4-2 also known as NEDD4L is a HECT domain-containing ubiquitin E3 ligase with a mass of approximately 120 kDa. It is expressed in various tissues especially in the kidney lung and colon. NEDD4-2 is involved in tagging proteins with ubiquitin marking them for degradation via the proteasome pathway. This protein helps regulate protein turnover by attaching ubiquitin chains to specific substrate proteins.
Biological function summary

NEDD4-2 regulates key cellular processes by controlling the abundance of membrane proteins like ion channels and receptors. It binds and ubiquitinates specific targets like ENaC (epithelial sodium channel) significantly influencing electrolyte and fluid balance. NEDD4-2 often functions as part of multiprotein complexes that modulate cellular homeostasis. Efficient function of these complexes ensures cells maintain balance in their environment.

Pathways

NEDD4-2 integrates into the MAPK and Wnt signaling pathways influencing diverse cellular outcomes like proliferation and apoptosis. Acting within these pathways NEDD4-2 associates with proteins such as Ras and β-catenin. This interaction influences cellular responses to external stimuli playing roles in cellular growth regulation and fate decisions.

Abnormalities in NEDD4-2 function are linked to conditions like Liddle's syndrome and hypertension. Mutations or dysregulation in NEDD4-2 can alter ENaC activity leading to increased sodium retention and contribute to high blood pressure. Moreover it connects to disorders like epithelial cancers through pathways involving β-catenin indicating its potential role in tumorigenesis. Research continues to explore these interactions to identify therapeutic targets.

Product protocols

For this product, it's our understanding that no specific protocols are required. You can visit:

Target data

E3 ubiquitin-protein ligase that mediates the polyubiquitination of lysine and cysteine residues on target proteins and is thereby implicated in the regulation of various signaling pathways including autophagy, innate immunity or DNA repair (PubMed : 20064473, PubMed : 31959741, PubMed : 33608556). Inhibits TGF-beta signaling by triggering SMAD2 and TGFBR1 ubiquitination and proteasome-dependent degradation (PubMed : 15496141). Downregulates autophagy and cell growth by ubiquitinating and reducing cellular ULK1 or ASCT2 levels (PubMed : 28820317, PubMed : 31959741). Promotes ubiquitination and internalization of various plasma membrane channels such as ENaC, SCN2A/Nav1.2, SCN3A/Nav1.3, SCN5A/Nav1.5, SCN9A/Nav1.7, SCN10A/Nav1.8, KCNA3/Kv1.3, KCNH2, EAAT1, KCNQ2/Kv7.2, KCNQ3/Kv7.3 or CLC5 (PubMed : 26363003, PubMed : 27445338). Promotes ubiquitination and degradation of SGK1 and TNK2. Ubiquitinates BRAT1 and this ubiquitination is enhanced in the presence of NDFIP1 (PubMed : 25631046). Plays a role in dendrite formation by melanocytes (PubMed : 23999003). Involved in the regulation of TOR signaling (PubMed : 27694961). Ubiquitinates and regulates protein levels of NTRK1 once this one is activated by NGF (PubMed : 27445338). Plays a role in antiviral innate immunity by catalyzing 'Lys-29'-linked cysteine ubiquitination of TRAF3, resulting in enhanced 'Lys-48' and 'Lys-63'-linked ubiquitination of TRAF3 (PubMed : 33608556). Ubiquitinates TTYH2 and TTYH3 and regulates protein levels of TTYH2 (PubMed : 18577513).
See full target information NEDD4L

Publications (38)

Recent publications for all applications. Explore the full list and refine your search

Acta biochimica et biophysica Sinica : PubMed40567051

2025

Therapeutic potential of targeting the NEDD4L-eEF1A1 axis in cancer therapy.

Applications

Unspecified application

Species

Unspecified reactive species

Yan Qin,Xinyue Wang,Minghui Zhao,Yuehui Liu,Huiyi Hou,Tingting Wang,Yuhe Pei,Jingxin Zhang,Zhou Shen,Feixiang Wu,Lishuang Zheng,Jinghua Li,Zhiyu Ni,Jianhong Shi

International journal of molecular sciences 26: PubMed40244257

2025

The Effects of the Natriuretic Peptide System on Alveolar Epithelium in Heart Failure.

Applications

Unspecified application

Species

Unspecified reactive species

Yara Knany,Safa Kinaneh,Emad E Khoury,Yaniv Zohar,Zaid Abassi,Zaher S Azzam

Scientific reports 15:3444 PubMed39870856

2025

Identification of ubiquitination-related key biomarkers and immune infiltration in Crohn's disease by bioinformatics analysis and machine learning.

Applications

Unspecified application

Species

Unspecified reactive species

Wei Chen,Zeyan Xu,Haitao Sun,Wen Feng,Zhenhua Huang

Cell death discovery 10:473 PubMed39557844

2024

NEDD4L contributes to ferroptosis and cell growth inhibition in esophageal squamous cell carcinoma by facilitating xCT ubiquitination.

Applications

Unspecified application

Species

Unspecified reactive species

Zhen Chen,Weilong Wang,Jinghan Hou,Can Gao,Meili Song,Zijun Zhao,Ruirui Guan,Jingsheng Chen,Huicheng Wu,Siti Razila Abdul Razak,Tao Han,Junbo Zhang,Lidong Wang,Nor Hazwani Ahmad,Xiumin Li

Respiratory research 25:326 PubMed39210401

2024

Ubiquitination of angiotensin-converting enzyme 2 contributes to the development of pulmonary arterial hypertension mediated by neural precursor cell-expressed developmentally down-regulated gene 4-Like.

Applications

Unspecified application

Species

Unspecified reactive species

Rui Wang,Rui Wang,Siqi Zhou,Tianya Liu,Jingjing Dang,Qianmin Chen,Jingyu Chen,Zhiping Wang

Oncology research 29:331-349 PubMed37305161

2023

Macrophage-derived exosomal miR-342-3p promotes the progression of renal cell carcinoma through the NEDD4L/CEP55 axis.

Applications

Unspecified application

Species

Unspecified reactive species

Jiafu Feng,Bei Xu,Chunmei Dai,Yaodong Wang,Gang Xie,Wenyu Yang,Bin Zhang,Xiaohan Li,Jun Wang

Annals of translational medicine 11:4 PubMed36760249

2023

Involvement of miR-495 overexpression in the pathogenesis of bronchopulmonary dysplasia in preterm infants via the targeting of pathway.

Applications

Unspecified application

Species

Unspecified reactive species

Yi-Fan Sun,Li Ma,Jian-Hui Li,Yuan Yang,Xiao-Hui Gong,Cheng Cai

Journal of oncology 2022:6093216 PubMed36618071

2022

Paeoniflorin Regulates NEDD4L/STAT3 Pathway to Induce Ferroptosis in Human Glioma Cells.

Applications

Unspecified application

Species

Unspecified reactive species

Xiao-Hu Nie,Sheng Qiu,Ying Xing,Jie Xu,Bin Lu,Shu-Fa Zhao,Yun-Tao Li,Zhong-Zhou Su

Journal of cell science 135: PubMed36373794

2022

WNK1 is a chloride-stimulated scaffold that regulates mTORC2 activity and ion transport.

Applications

Unspecified application

Species

Unspecified reactive species

Bidisha Saha,Deise C A Leite-Dellova,John Demko,Mads Vaarby Sørensen,Enzo Takagi,Catherine E Gleason,Waheed Shabbir,David Pearce

CNS neuroscience & therapeutics 28:1733-1747 PubMed36052751

2022

Hypoxic glioma-derived extracellular vesicles harboring MicroRNA-10b-5p enhance M2 polarization of macrophages to promote the development of glioma.

Applications

Unspecified application

Species

Unspecified reactive species

Bingzhen Li,Cheng Yang,Zhanpeng Zhu,Hao Chen,Bin Qi
View all publications

Product promise

We are committed to supporting your work with high-quality reagents, and we're here for you every step of the way. In the unlikely event that one of our products does not perform as expected, you're protected by our Product Promise.
For full details, please see our Terms & Conditions

Please note: All products are 'FOR RESEARCH USE ONLY. NOT FOR USE IN DIAGNOSTIC OR THERAPEUTIC PROCEDURES'.

For licensing inquiries, please contact partnerships@abcam.com