JavaScript is disabled in your browser. Please enable JavaScript to view this website.
AB217948

Anti-NEDD4 antibody

Be the first to review this product! Submit a review

|

(2 Publications)

Rabbit Polyclonal NEDD4 antibody. Suitable for IHC-P and reacts with Rat samples. Cited in 2 publications. Immunogen corresponding to Synthetic Peptide within Human NEDD4 aa 850-900 conjugated to Keyhole Limpet Haemocyanin.

View Alternative Names

KIAA0093, NEDD4-1, RPF1, PIG53, NEDD4, E3 ubiquitin-protein ligase NEDD4, Cell proliferation-inducing gene 53 protein, HECT-type E3 ubiquitin transferase NEDD4, Neural precursor cell expressed developmentally down-regulated protein 4, NEDD-4

1 Images
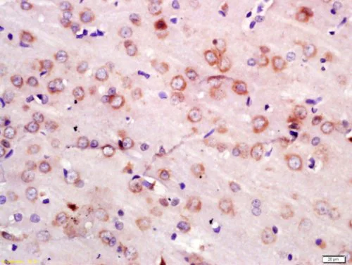
Immunohistochemistry (Formalin/PFA-fixed paraffin-embedded sections) - Anti-NEDD4 antibody (AB217948)
  • IHC-P

Supplier Data

Immunohistochemistry (Formalin/PFA-fixed paraffin-embedded sections) - Anti-NEDD4 antibody (AB217948)

Immunohistochemical analysis of formalin-fixed paraffin-embedded rat brain tissue, labeling NEDD4 using ab217948 at a 1/200 dilution, followed by conjugation to the secondary antibody and DAB staining.

Key facts

Host species

Rabbit

Clonality

Polyclonal

Isotype

IgG

Carrier free

No

Reacts with

Rat

Applications

IHC-P

applications

Immunogen

Synthetic Peptide within Human NEDD4 aa 850-900 conjugated to Keyhole Limpet Haemocyanin. The exact immunogen used to generate this antibody is proprietary information.

P46934

Reactivity data

{ "title": "Reactivity Data", "filters": { "stats": ["", "Species", "Dilution Info", "Notes"], "tabs": { "all-applications": {"fullname" : "All Applications", "shortname": "All Applications"}, "IHCP" : {"fullname" : "Immunohistochemistry (Formalin/PFA-fixed paraffin-embedded sections)", "shortname":"IHC-P"} }, "product-promise": { "all": "all", "testedAndGuaranteed": "tested", "guaranteed": "expected", "predicted": "predicted", "notRecommended": "not-recommended" } }, "values": { "Human": { "IHCP-species-checked": "predicted", "IHCP-species-dilution-info": "", "IHCP-species-notes": "" }, "Rat": { "IHCP-species-checked": "testedAndGuaranteed", "IHCP-species-dilution-info": "1/100 - 1/500", "IHCP-species-notes": "<p></p> Perform heat-mediated antigen retrieval with citrate buffer pH 6 before commencing with IHC staining protocol." } } }

Properties and storage information

Form
Liquid
Purification technique
Affinity purification Protein A
Storage buffer
pH: 7.4 Preservative: 0.02% Proclin 300 Constituents: 50% Glycerol (glycerin, glycerine), 48.98% TBS, 1X, 1% BSA
Shipped at conditions
Blue Ice
Appropriate short-term storage duration
1-2 weeks
Appropriate short-term storage conditions
+4°C
Appropriate long-term storage conditions
-20°C
Aliquoting information
Upon delivery aliquot
Storage information
Avoid freeze / thaw cycle

Supplementary information

This supplementary information is collated from multiple sources and compiled automatically.

NEDD4 protein also called NEDD4-1 is an E3 ubiquitin-protein ligase. It has a role in tagging proteins with ubiquitin molecules marking them for degradation by the proteasome. This protein has a molecular mass of approximately 120 kDa. High expression of NEDD4 occurs in tissues like the brain heart and skeletal muscle. The activity of NEDD4 impacts various processes ensuring protein quality control and regulation within cells.
Biological function summary

The impact of NEDD4 protein extends beyond its basic mechanical function. It plays an important role in cell signaling development and even adjusting cell volume. NEDD4 participates in forming a ubiquitin-protein ligase complex engaging with multiple substrates to transfer ubiquitin. It modulates key signaling pathways influencing cellular responses and maintaining healthy cell functioning.

Pathways

NEDD4 activity is embedded in key cellular processes. It is especially integral in the PI3K/AKT signaling and Wnt signaling pathways where it can influence signal transduction and cellular growth. NEDD4 ubiquitin ligase family members like NEDD4-2 are often seen working alongside it. These pathways involve other proteins such as PTEN which NEDD4 regulates affecting cell proliferation and survival.

NEDD4 holds significant connections to cancer and neurodegenerative diseases. Elevated levels of NEDD4 can contribute to oncogenesis particularly in cancers where dysregulation in protein degradation occurs. The aberrant activity of NEDD4 links to neurodegenerative diseases as it affects the turnover of neuronal proteins. It shares a complex relationship with PTEN in diseases considering their interaction can alter cellular pathways often distorted in pathological conditions.

Product protocols

For this product, it's our understanding that no specific protocols are required. You can visit:

Target data

E3 ubiquitin-protein ligase which accepts ubiquitin from an E2 ubiquitin-conjugating enzyme in the form of a thioester and then directly transfers the ubiquitin to targeted substrates. Specifically ubiquitinates 'Lys-63' in target proteins (PubMed : 19920177, PubMed : 21399620, PubMed : 23644597). Involved in the pathway leading to the degradation of VEGFR-2/KDFR, independently of its ubiquitin-ligase activity. Monoubiquitinates IGF1R at multiple sites, thus leading to receptor internalization and degradation in lysosomes (By similarity). Ubiquitinates FGFR1, leading to receptor internalization and degradation in lysosomes (PubMed : 21765395). Promotes ubiquitination of RAPGEF2 (PubMed : 11598133). According to PubMed : 18562292 the direct link between NEDD4 and PTEN regulation through polyubiquitination described in PubMed : 17218260 is questionable. Involved in ubiquitination of ERBB4 intracellular domain E4ICD (By similarity). Part of a signaling complex composed of NEDD4, RAP2A and TNIK which regulates neuronal dendrite extension and arborization during development (By similarity). Ubiquitinates TNK2 and regulates EGF-induced degradation of EGFR and TNF2 (PubMed : 20086093). Ubiquitinates BRAT1 and this ubiquitination is enhanced in the presence of NDFIP1 (PubMed : 25631046). Ubiquitinates DAZAP2, leading to its proteasomal degradation (PubMed : 11342538). Ubiquitinates POLR2A (PubMed : 19920177). Functions as a platform to recruit USP13 to form an NEDD4-USP13 deubiquitination complex that plays a critical role in cleaving the 'Lys-48'-linked ubiquitin chains of VPS34 and then stabilizing VPS34, thus promoting the formation of autophagosomes (PubMed : 32101753).. (Microbial infection) Involved in the ubiquitination of Ebola virus protein VP40 which plays a role in viral budding.
See full target information NEDD4

Publications (2)

Recent publications for all applications. Explore the full list and refine your search

Experimental & molecular medicine 54:47-60 PubMed35031788

2022

Oncogenic E3 ubiquitin ligase NEDD4 binds to KLF8 and regulates the microRNA-132/NRF2 axis in bladder cancer.

Applications

Unspecified application

Species

Unspecified reactive species

Minghuan Mao,Liang Yang,Jingyao Hu,Bing Liu,Xiling Zhang,Yili Liu,Ping Wang,Hangyu Li

American journal of cancer research 11:773-792 PubMed33791153

2021

Establishment of patient-derived xenograft models of adenoid cystic carcinoma to assess pre-clinical efficacy of combination therapy of a PI3K inhibitor and retinoic acid.

Applications

Unspecified application

Species

Unspecified reactive species

Bao Sun,Yu Wang,Jingjing Sun,Chunye Zhang,Ronghui Xia,Shengming Xu,Shuyang Sun,Jiang Li
View all publications

Product promise

We are committed to supporting your work with high-quality reagents, and we're here for you every step of the way. In the unlikely event that one of our products does not perform as expected, you're protected by our Product Promise.
For full details, please see our Terms & Conditions

Please note: All products are 'FOR RESEARCH USE ONLY. NOT FOR USE IN DIAGNOSTIC OR THERAPEUTIC PROCEDURES'.

For licensing inquiries, please contact partnerships@abcam.com