JavaScript is disabled in your browser. Please enable JavaScript to view this website.
AB324563

Anti-NEDD4 antibody [EPR30127-570]

  • BOND RX™ Validated
  • RabMAb
  • Recombinant
  • 20ul selling size
  • KO Validated
  • What is this?

Be the first to review this product! Submit a review

|

(0 Publication)

Rabbit Recombinant Monoclonal NEDD4 antibody. Suitable for WB, IHC-Fr, IHC-P and reacts with Recombinant fragment - Human, Human, Mouse samples.

View Alternative Names

KIAA0093, NEDD4-1, RPF1, PIG53, NEDD4, E3 ubiquitin-protein ligase NEDD4, Cell proliferation-inducing gene 53 protein, HECT-type E3 ubiquitin transferase NEDD4, Neural precursor cell expressed developmentally down-regulated protein 4, NEDD-4

13 Images
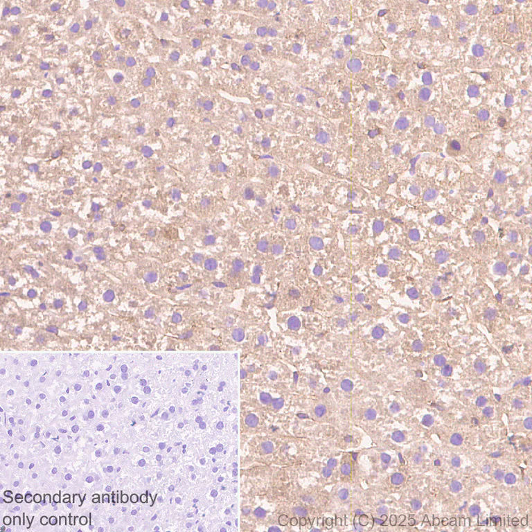
Immunohistochemistry (Formalin/PFA-fixed paraffin-embedded sections) - Anti-NEDD4 antibody [EPR30127-570] (AB324563)
  • IHC-P

Supplier Data

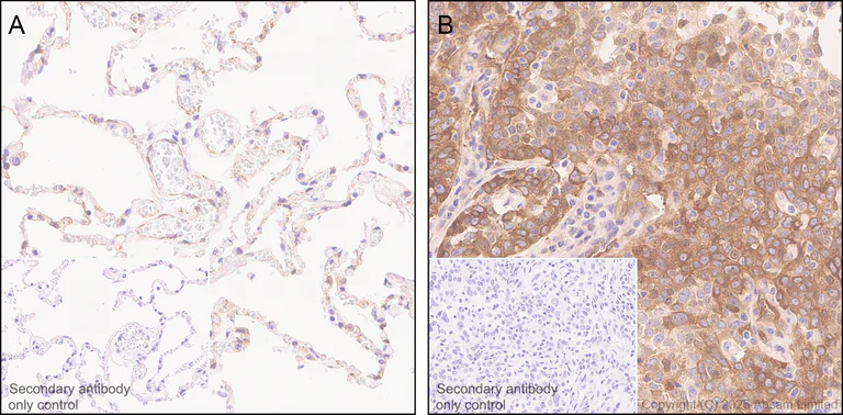
Immunohistochemistry (Formalin/PFA-fixed paraffin-embedded sections) - Anti-NEDD4 antibody [EPR30127-570] (AB324563)

Immunohistochemical analysis of paraffin-embedded (A) Normal human lung. (B) Human lung carcinoma. tissue labeling NEDD4 with ab324563 at 1/200 (2.57 ug/ml) dilution, followed by a ready to use LeicaDS9800 (Bond™ Polymer Refine Detection).

Positive staining observed in (A) normal human lung, with increased expression of NEDD4 in (B) lung carcinoma tissue (PMID : 20889565).
The primary antibody was incubated for 30 mins at room temperature.
The immunostaining was performed on a Leica Biosystems BOND® RX instrument

Counterstained with Hematoxylin.

Secondary antibody only control : Secondary antibody is a ready to use LeicaDS9800 (Bond™ Polymer Refine Detection).

Heat mediated antigen retrieval was performed with Tris-EDTA buffer (pH 9.0, Epitope Retrieval Solution2) for 20 mins

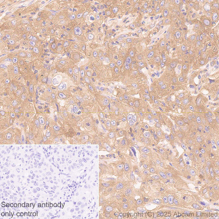
Immunohistochemistry (Formalin/PFA-fixed paraffin-embedded sections) - Anti-NEDD4 antibody [EPR30127-570] (AB324563)
  • IHC-P

Supplier Data

Immunohistochemistry (Formalin/PFA-fixed paraffin-embedded sections) - Anti-NEDD4 antibody [EPR30127-570] (AB324563)

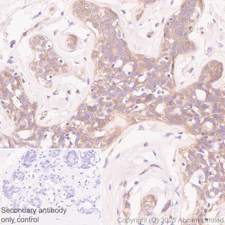
Immunohistochemical analysis of paraffin-embedded Human mammary gland tissue labeling NEDD4 with ab324563 at 1/200 (2.57 ug/ml) dilution, followed by a ready to use LeicaDS9800 (Bond™ Polymer Refine Detection).

Positive staining on human mammary gland (PMID : 31856858).
The primary antibody was incubated for 30 mins at room temperature.
The immunostaining was performed on a Leica Biosystems BOND® RX instrument

Counterstained with Hematoxylin.

Secondary antibody only control : Secondary antibody is a ready to use LeicaDS9800 (Bond™ Polymer Refine Detection).

Heat mediated antigen retrieval was performed with Tris-EDTA buffer (pH 9.0, Epitope Retrieval Solution2) for 20 mins

Immunohistochemistry (Formalin/PFA-fixed paraffin-embedded sections) - Anti-NEDD4 antibody [EPR30127-570] (AB324563)
  • IHC-P

Supplier Data

Immunohistochemistry (Formalin/PFA-fixed paraffin-embedded sections) - Anti-NEDD4 antibody [EPR30127-570] (AB324563)

Immunohistochemical analysis of paraffin-embedded (A) Wild-type HAP1 (human chronic myelogenous leukemia near-haploid cell) cell pellet. (B) NEDD4 knockout HAP1 cell pellet. tissue labeling NEDD4 with ab324563 at 1/200 (2.57 ug/ml) dilution, followed by a ready to use LeicaDS9800 (Bond™ Polymer Refine Detection).

Positive staining on (A) Wild-type HAP1 cell pellet, no staining on (B) NEDD4 knockout HAP1 cell pellet.
The primary antibody was incubated for 30 mins at room temperature.
The immunostaining was performed on a Leica Biosystems BOND® RX instrument

Counterstained with Hematoxylin.

Secondary antibody only control : Secondary antibody is a ready to use LeicaDS9800 (Bond™ Polymer Refine Detection).

Heat mediated antigen retrieval was performed with Tris-EDTA buffer (pH 9.0, Epitope Retrieval Solution2) for 20 mins

Immunohistochemistry (Formalin/PFA-fixed paraffin-embedded sections) - Anti-NEDD4 antibody [EPR30127-570] (AB324563)
  • IHC-P

Supplier Data

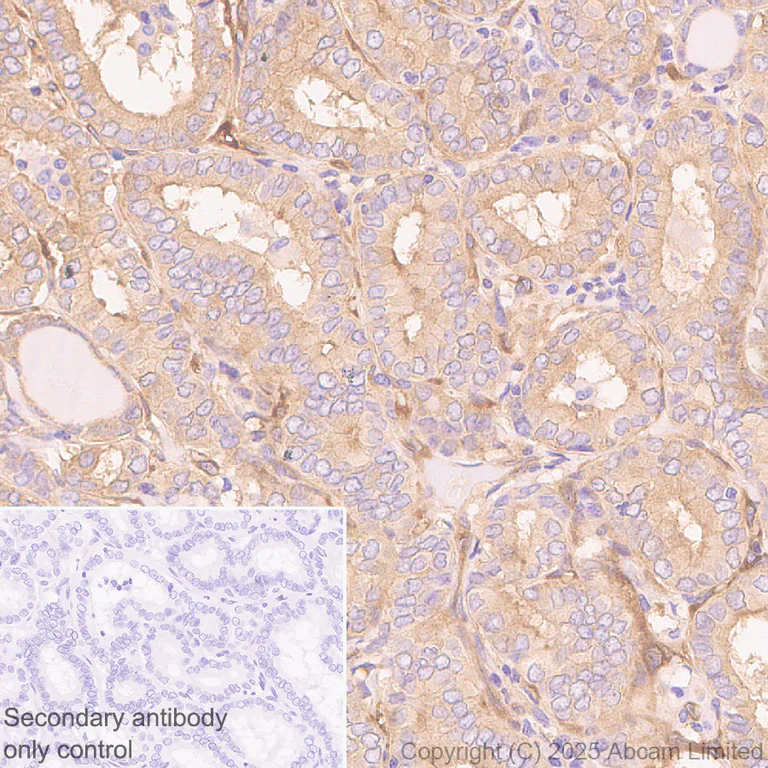
Immunohistochemistry (Formalin/PFA-fixed paraffin-embedded sections) - Anti-NEDD4 antibody [EPR30127-570] (AB324563)

Immunohistochemical analysis of paraffin-embedded Human thyroid carcinoma tissue labeling NEDD4 with ab324563 at 1/200 (2.57 ug/ml) dilution, followed by a ready to use LeicaDS9800 (Bond™ Polymer Refine Detection).

Positive staining on human thyroid carcinoma.
The primary antibody was incubated for 30 mins at room temperature.
The immunostaining was performed on a Leica Biosystems BOND® RX instrument

Counterstained with Hematoxylin.

Secondary antibody only control : Secondary antibody is a ready to use LeicaDS9800 (Bond™ Polymer Refine Detection).

Heat mediated antigen retrieval was performed with Tris-EDTA buffer (pH 9.0, Epitope Retrieval Solution2) for 20 mins

Immunohistochemistry (Formalin/PFA-fixed paraffin-embedded sections) - Anti-NEDD4 antibody [EPR30127-570] (AB324563)
  • IHC-P

Supplier Data

Immunohistochemistry (Formalin/PFA-fixed paraffin-embedded sections) - Anti-NEDD4 antibody [EPR30127-570] (AB324563)

Immunohistochemical analysis of paraffin-embedded Human cervical carcinoma tissue labeling NEDD4 with ab324563 at 1/200 (2.57 ug/ml) dilution, followed by a ready to use LeicaDS9800 (Bond™ Polymer Refine Detection).

Positive staining on human cervical carcinoma.
The primary antibody was incubated for 30 mins at room temperature.
The immunostaining was performed on a Leica Biosystems BOND® RX instrument

Counterstained with Hematoxylin.

Secondary antibody only control : Secondary antibody is a ready to use LeicaDS9800 (Bond™ Polymer Refine Detection).

Heat mediated antigen retrieval was performed with Tris-EDTA buffer (pH 9.0, Epitope Retrieval Solution2) for 20 mins

Immunohistochemistry (Frozen sections) - Anti-NEDD4 antibody [EPR30127-570] (AB324563)
  • IHC-Fr

Supplier Data

Immunohistochemistry (Frozen sections) - Anti-NEDD4 antibody [EPR30127-570] (AB324563)

Immunohistochemical analysis of 4% PFA-fixed, 0.2% Triton X-100 permeabilized frozen Mouse cerebrum (perfused fixed) tissue labeling NEDD4 with ab324563 at 1/50 (10.28 ug/ml) dilution followed by ab150081 Goat Anti-Rabbit IgG H&L (Alexa Fluor® 488) preadsorbed at 1/1000 2 ug/mL dilution (Green).

Confocal image showing positive staining on mouse cerebrum.
Panel A : merged staining of anti-NEDD4 (ab324563, green), anti-NeuN (ab190565, magenta) on mouse cerebrum.
Panel B : anti-NEDD4 stained on mouse cerebrum.
Panel C : anti-NeuN stained in neurons of mouse cerebrum.
The section was incubated in two rounds of staining : in the order of ab324563 and ab190565, for 1 hr at room temperature. The nuclear counterstain was DAPI (Blue). The section was then mounted using Fluoromount®.The immunostaining was performed on a Leica Biosystems BOND® RX instrument. Image was taken with a confocal microscope (Leica-Microsystems, TCS SP8).

Secondary antibody control : Secondary antibody is ab150081 Goat Anti-Rabbit IgG H&L (Alexa Fluor® 488) preadsorbedat 1/1000 2 ug/mL dilution.

Heat mediated antigen retrieval using sodium citrate buffer (10mM citrate pH 6.0 + 0.05% Tween-20)

Immunohistochemistry (Formalin/PFA-fixed paraffin-embedded sections) - Anti-NEDD4 antibody [EPR30127-570] (AB324563)
  • IHC-P

Supplier Data

Immunohistochemistry (Formalin/PFA-fixed paraffin-embedded sections) - Anti-NEDD4 antibody [EPR30127-570] (AB324563)

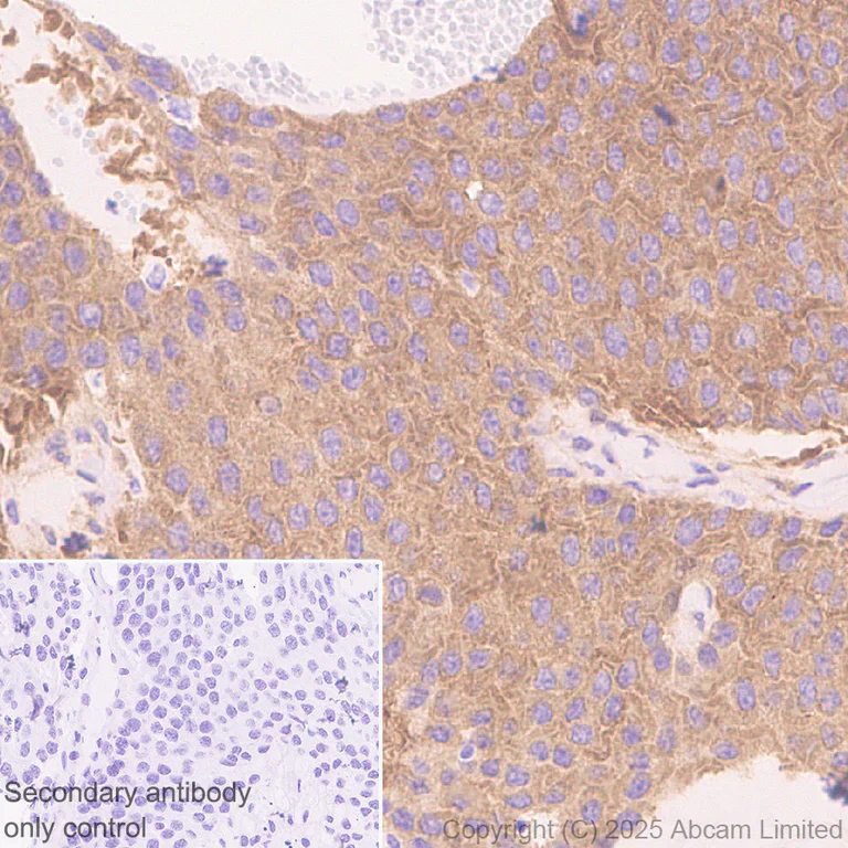
Immunohistochemical analysis of paraffin-embedded Mouse lung adenocarcinoma tissue labeling NEDD4 with ab324563 at 1/4000 (0.129 ug/ml) dilution, followed by a ready to use LeicaDS9800 (Bond™ Polymer Refine Detection).

Positive staining on mouse lung adenocarcinoma.
The primary antibody was incubated for 10 mins at room temperature.
The immunostaining was performed on a Leica Biosystems BOND® RX instrument
Slides were incubated with 3% Hydrogen Peroxide for 10 mins at room temperature after secondary antibody incubation to reduce the background

Counterstained with Hematoxylin.

Secondary antibody only control : Secondary antibody is a ready to use LeicaDS9800 (Bond™ Polymer Refine Detection).

Heat mediated antigen retrieval was performed with Tris-EDTA buffer (pH 9.0, Epitope Retrieval Solution2) for 20 mins

Immunohistochemistry (Formalin/PFA-fixed paraffin-embedded sections) - Anti-NEDD4 antibody [EPR30127-570] (AB324563)
  • IHC-P

Supplier Data

Immunohistochemistry (Formalin/PFA-fixed paraffin-embedded sections) - Anti-NEDD4 antibody [EPR30127-570] (AB324563)

Immunohistochemical analysis of paraffin-embedded Mouse liver tissue labeling NEDD4 with ab324563 at 1/4000 (0.129 ug/ml) dilution, followed by a ready to use LeicaDS9800 (Bond™ Polymer Refine Detection).

Positive staining on mouse liver (PMID : 9073511).
The primary antibody was incubated for 10 mins at room temperature.
The immunostaining was performed on a Leica Biosystems BOND® RX instrument
Slides were incubated with 3% Hydrogen Peroxide for 10 mins at room temperature after secondary antibody incubation to reduce the background

Counterstained with Hematoxylin.

Secondary antibody only control : Secondary antibody is a ready to use LeicaDS9800 (Bond™ Polymer Refine Detection).

Heat mediated antigen retrieval was performed with Tris-EDTA buffer (pH 9.0, Epitope Retrieval Solution2) for 20 mins

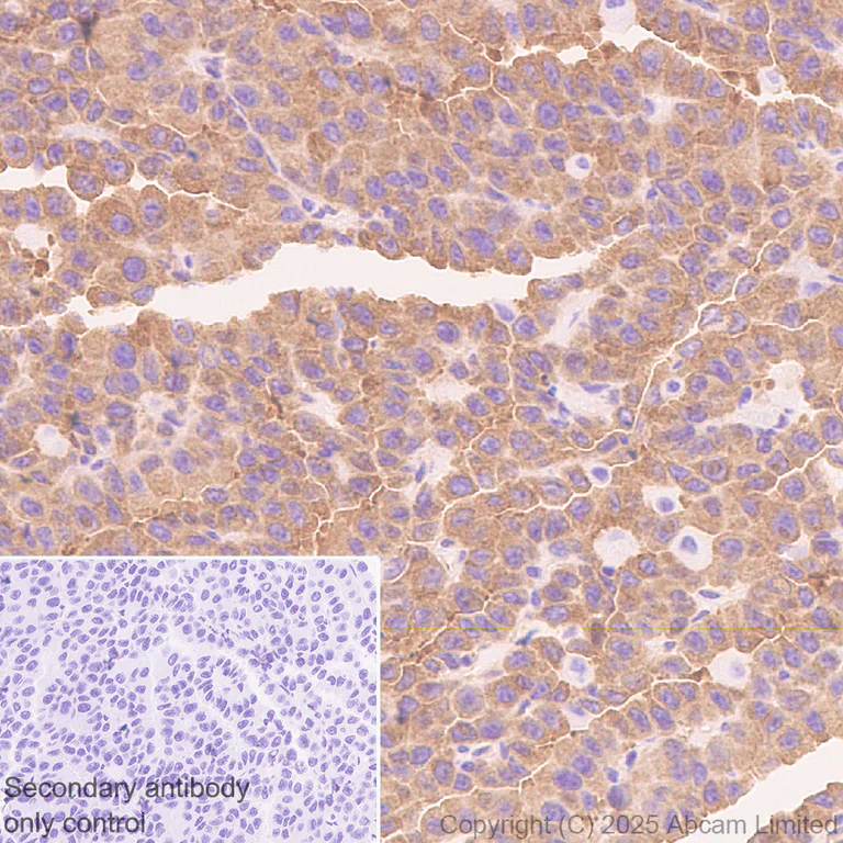
Immunohistochemistry (Formalin/PFA-fixed paraffin-embedded sections) - Anti-NEDD4 antibody [EPR30127-570] (AB324563)
  • IHC-P

Supplier Data

Immunohistochemistry (Formalin/PFA-fixed paraffin-embedded sections) - Anti-NEDD4 antibody [EPR30127-570] (AB324563)

Immunohistochemical analysis of paraffin-embedded Mouse breast carcinoma tissue labeling NEDD4 with ab324563 at 1/4000 (0.129 ug/ml) dilution, followed by a ready to use LeicaDS9800 (Bond™ Polymer Refine Detection).

Positive staining on mouse breast carcinoma.
The primary antibody was incubated for 10 mins at room temperature.
The immunostaining was performed on a Leica Biosystems BOND® RX instrument
Slides were incubated with 3% Hydrogen Peroxide for 10 mins at room temperature after secondary antibody incubation to reduce the background

Counterstained with Hematoxylin.

Secondary antibody only control : Secondary antibody is a ready to use LeicaDS9800 (Bond™ Polymer Refine Detection).

Heat mediated antigen retrieval was performed with Tris-EDTA buffer (pH 9.0, Epitope Retrieval Solution2) for 20 mins

Western blot - Anti-NEDD4 antibody [EPR30127-570] (AB324563)
  • WB

Supplier Data

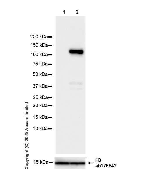
Western blot - Anti-NEDD4 antibody [EPR30127-570] (AB324563)

Blocking and diluting buffer and concentration : 5% NFDM/TBST.

The samples are unboiled.

The bands beneath the target band (115 kDa) are likey to be degradation products.

In Western blot, Anti-GAPDH antibody [EPR16891] - Loading Control (ab181602) staining at 1/200000 dilution.

All lanes:

Western blot - Anti-NEDD4 antibody [EPR30127-570] (ab324563) at 1/1000 dilution

Lane 1:

Human breast tissue lysate at 40 µg

Lane 2:

Human tonsil tissue lysate at 40 µg

Secondary

All lanes:

Goat anti-Mouse IgG Fc Cross-Adsorbed Secondary Antibody, HRP (ThermoFisher, 31439) at 1/2000 dilution

false

Exposure time: 37s

Western blot - Anti-NEDD4 antibody [EPR30127-570] (AB324563)
  • WB

Supplier Data

Western blot - Anti-NEDD4 antibody [EPR30127-570] (AB324563)

Blocking and diluting buffer and concentration : 5% NFDM/TBST.

Performed under reducing conditions.

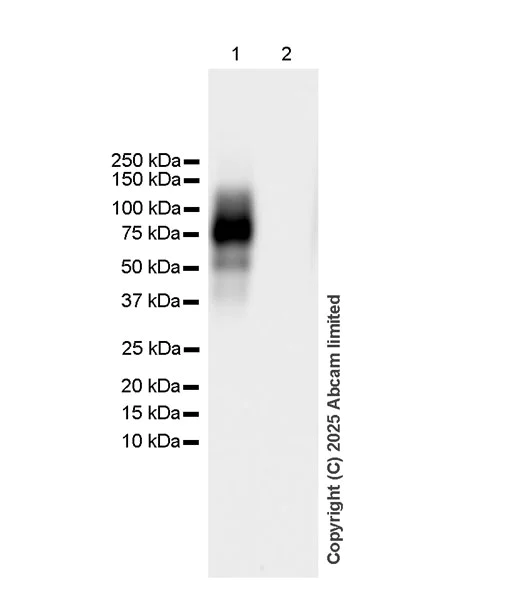
In Western blot, ab324563 was shown to bind specifically to NEDD4. Target of interest was observed at 115 kDa in wild-type HAP1 cell lysates (lane 2) with no signal observed at this size in NEDD4 knockout cell line (lane 1) (lane 1, knockout cell line ab

ab256783).

To minimize protein degradation, cells/tissues were lysed immediately after harvest and then applied to a gel and transfer membrane for Western blotting as soon as possible.

The samples are unboiled.

All lanes:

Western blot - Anti-NEDD4 antibody [EPR30127-570] (ab324563) at 1/1000 dilution

Lane 1:

NEDD4 knockout parental HAP1 (human chronic myelogenous leukemia near-haploid cell ) whole cell lysate at 20 µg

Lane 2:

Parental HAP1 whole cell lysate at 20 µg

Secondary

All lanes:

Western blot - Goat Anti-Rabbit IgG H&L (HRP) (<a href='/en-us/products/secondary-antibodies/goat-rabbit-igg-h-l-hrp-ab97051'>ab97051</a>) at 1/100000 dilution

false

Exposure time: 37s

Western blot - Anti-NEDD4 antibody [EPR30127-570] (AB324563)
  • WB

Supplier Data

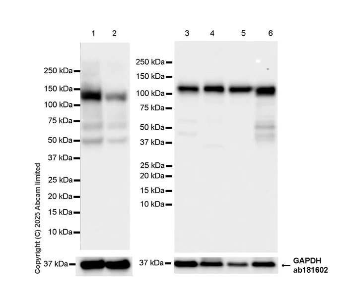
Western blot - Anti-NEDD4 antibody [EPR30127-570] (AB324563)

Blocking and diluting buffer and concentration : 5% NFDM/TBST.

To minimize protein degradation, cells/tissues were lysed immediately after harvest and then applied to a gel and transfer membrane for Western blotting as soon as possible.

The samples are unboiled.

In Western blot, Anti-GAPDH antibody [EPR16891] - Loading Control (ab181602) staining at 1/200000 dilution.

All lanes:

Western blot - Anti-NEDD4 antibody [EPR30127-570] (ab324563) at 1/1000 dilution

Lane 1:

NIH/3T3 (mouse embryonic fibroblast) transfected with scrambled siRNA control whole cell lysate at 20 µg

Lane 2:

NIH/3T3 transfected with siRNA specifically targeting NEDD4 whole cell lysate at 20 µg

Lane 3:

Mouse brain tissue lysate at 20 µg

Lane 4:

Mouse liver tissue lysate at 20 µg

Lane 5:

Mouse testis tissue lysate at 20 µg

Lane 6:

Mouse spleen tissue lysate at 20 µg

Secondary

All lanes:

Western blot - Goat Anti-Rabbit IgG H&L (HRP) (<a href='/en-us/products/secondary-antibodies/goat-rabbit-igg-h-l-hrp-ab97051'>ab97051</a>) at 1/100000 dilution

false

Exposure time: 37s

Western blot - Anti-NEDD4 antibody [EPR30127-570] (AB324563)
  • WB

Supplier Data

Western blot - Anti-NEDD4 antibody [EPR30127-570] (AB324563)

Blocking and diluting buffer and concentration : 5% NFDM/TBST.

This antibody does not cross-react with NEDD4L 4 by western blot.

All lanes:

Western blot - Anti-NEDD4 antibody [EPR30127-570] (ab324563) at 1/1000 dilution

Lane 1:

His-tagged human NEDD4 fragment at 10 ng

Lane 2:

No-tagged human NEDD4L fragment at 10 ng

Secondary

All lanes:

Goat anti-Mouse IgG Fc Cross-Adsorbed Secondary Antibody, HRP (ThermoFisher, 31439) at 1/2000 dilution

false

Exposure time: 26s

Key facts

Host species

Rabbit

Clonality

Monoclonal

Clone number

EPR30127-570

Isotype

IgG

Carrier free

No

Reacts with

Mouse, Human

Applications

IHC-P, IHC-Fr, WB

applications

Immunogen

The exact immunogen used to generate this antibody is proprietary information.

Reactivity data

{ "title": "Reactivity Data", "filters": { "stats": ["", "Species", "Dilution Info", "Notes"], "tabs": { "all-applications": {"fullname" : "All Applications", "shortname": "All Applications"}, "WB" : {"fullname" : "Western blot", "shortname":"WB"}, "IHCFr" : {"fullname" : "Immunohistochemistry (Frozen sections)", "shortname":"IHC-Fr"}, "IHCP" : {"fullname" : "Immunohistochemistry (Formalin/PFA-fixed paraffin-embedded sections)", "shortname":"IHC-P"} }, "product-promise": { "all": "all", "testedAndGuaranteed": "tested", "guaranteed": "expected", "predicted": "predicted", "notRecommended": "not-recommended" } }, "values": { "Human": { "WB-species-checked": "testedAndGuaranteed", "WB-species-dilution-info": "1/1000", "WB-species-notes": "<p></p>", "IHCFr-species-checked": "guaranteed", "IHCFr-species-dilution-info": "", "IHCFr-species-notes": "", "IHCP-species-checked": "testedAndGuaranteed", "IHCP-species-dilution-info": "1/200", "IHCP-species-notes": "<p></p> Perform heat-mediated antigen retrieval with Tris/EDTA buffer pH 9.0 before commencing with IHC staining protocol." }, "Mouse": { "WB-species-checked": "testedAndGuaranteed", "WB-species-dilution-info": "1/1000", "WB-species-notes": "<p></p>", "IHCFr-species-checked": "testedAndGuaranteed", "IHCFr-species-dilution-info": "1/50", "IHCFr-species-notes": "<p></p> Perform heat-mediated antigen retrieval with citrate buffer pH 6 before commencing with IHC staining protocol.", "IHCP-species-checked": "testedAndGuaranteed", "IHCP-species-dilution-info": "1/4000", "IHCP-species-notes": "<p></p> Perform heat-mediated antigen retrieval with Tris/EDTA buffer pH 9.0 before commencing with IHC staining protocol." }, "Recombinant fragment - Human": { "WB-species-checked": "testedAndGuaranteed", "WB-species-dilution-info": "1/1000", "WB-species-notes": "<p></p>", "IHCFr-species-checked": "notRecommended", "IHCFr-species-dilution-info": "", "IHCFr-species-notes": "", "IHCP-species-checked": "notRecommended", "IHCP-species-dilution-info": "", "IHCP-species-notes": "" } } }

Product details

Patented technology
Our RabMAb® technology is a patented hybridoma-based technology for making rabbit monoclonal antibodies. For details on our patents, please refer to RabMAb® patents.

What are the advantages of a recombinant monoclonal antibody?
This product is a recombinant monoclonal antibody, which offers several advantages including:

  • - High batch-to-batch consistency and reproducibility
  • - Improved sensitivity and specificity
  • - Long-term security of supply
  • - Animal-free batch production

For more information, read more on recombinant antibodies.

Properties and storage information

Form
Liquid
Purification technique
Affinity purification Protein A
Storage buffer
pH: 7.2 - 7.4 Preservative: 0.01% Sodium azide Constituents: PBS, 40% Glycerol (glycerin, glycerine), 0.05% BSA
Shipped at conditions
Blue Ice
Appropriate short-term storage duration
1-2 weeks
Appropriate short-term storage conditions
+4°C
Appropriate long-term storage conditions
-20°C
Aliquoting information
Upon delivery aliquot
Storage information
Avoid freeze / thaw cycle

Product protocols

For this product, it's our understanding that no specific protocols are required. You can visit:

Target data

E3 ubiquitin-protein ligase which accepts ubiquitin from an E2 ubiquitin-conjugating enzyme in the form of a thioester and then directly transfers the ubiquitin to targeted substrates. Specifically ubiquitinates 'Lys-63' in target proteins (PubMed : 19920177, PubMed : 21399620, PubMed : 23644597). Involved in the pathway leading to the degradation of VEGFR-2/KDFR, independently of its ubiquitin-ligase activity. Monoubiquitinates IGF1R at multiple sites, thus leading to receptor internalization and degradation in lysosomes (By similarity). Ubiquitinates FGFR1, leading to receptor internalization and degradation in lysosomes (PubMed : 21765395). Promotes ubiquitination of RAPGEF2 (PubMed : 11598133). According to PubMed : 18562292 the direct link between NEDD4 and PTEN regulation through polyubiquitination described in PubMed : 17218260 is questionable. Involved in ubiquitination of ERBB4 intracellular domain E4ICD (By similarity). Part of a signaling complex composed of NEDD4, RAP2A and TNIK which regulates neuronal dendrite extension and arborization during development (By similarity). Ubiquitinates TNK2 and regulates EGF-induced degradation of EGFR and TNF2 (PubMed : 20086093). Ubiquitinates BRAT1 and this ubiquitination is enhanced in the presence of NDFIP1 (PubMed : 25631046). Ubiquitinates DAZAP2, leading to its proteasomal degradation (PubMed : 11342538). Ubiquitinates POLR2A (PubMed : 19920177). Functions as a platform to recruit USP13 to form an NEDD4-USP13 deubiquitination complex that plays a critical role in cleaving the 'Lys-48'-linked ubiquitin chains of VPS34 and then stabilizing VPS34, thus promoting the formation of autophagosomes (PubMed : 32101753).. (Microbial infection) Involved in the ubiquitination of Ebola virus protein VP40 which plays a role in viral budding.
See full target information NEDD4

Product promise

We are committed to supporting your work with high-quality reagents, and we're here for you every step of the way. In the unlikely event that one of our products does not perform as expected, you're protected by our Product Promise.
For full details, please see our Terms & Conditions

Please note: All products are 'FOR RESEARCH USE ONLY. NOT FOR USE IN DIAGNOSTIC OR THERAPEUTIC PROCEDURES'.

For licensing inquiries, please contact partnerships@abcam.com