JavaScript is disabled in your browser. Please enable JavaScript to view this website.
AB81264

Anti-NEDD8 antibody [Y297]

3

(4 Reviews)

|

(61 Publications)

Anti-NEDD8 antibody [Y297] (ab81264) is a rabbit monoclonal antibody detecting NEDD8 in Western Blot, Flow Cytometry (Intra), Flow Cytometry, IP, IHC-P, ICC/IF. Suitable for Human, Mouse, Rat.

- Biophysical QC for unrivalled batch-batch consistency
- Over 40 publications
- Trusted since 2009

View Alternative Names

Ubiquitin-like protein NEDD8, Neddylin, Neural precursor cell expressed developmentally down-regulated protein 8, NEDD-8, NEDD8

11 Images
Immunohistochemistry (Formalin/PFA-fixed paraffin-embedded sections) - Anti-NEDD8 antibody [Y297] (AB81264)
  • IHC-P

Unknown

Immunohistochemistry (Formalin/PFA-fixed paraffin-embedded sections) - Anti-NEDD8 antibody [Y297] (AB81264)

Unpurified ab81264, at 1/100 dilution, staining NEDD8 in human lung carcinoma tissue by Immunohistochemistry using formalin-fixed, paraffin-embedded section.

Immunohistochemistry (Formalin/PFA-fixed paraffin-embedded sections) - Anti-NEDD8 antibody [Y297] (AB81264)
  • IHC-P

Unknown

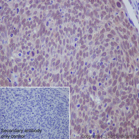
Immunohistochemistry (Formalin/PFA-fixed paraffin-embedded sections) - Anti-NEDD8 antibody [Y297] (AB81264)

Immunohistochemical staining of paraffin embedded human cervical carcinoma with purified ab81264 at a working dilution of 1/400. The secondary antibody used is ab97051, a goat anti-rabbit IgG (H&L) at a dilution of 1/500. The sample is counter-stained with hematoxylin. Antigen retrieval was perfomed using Tris-EDTA buffer, pH 9.0. PBS was used instead of the primary antibody as the negative control, and is shown in the inset.

Immunocytochemistry/ Immunofluorescence - Anti-NEDD8 antibody [Y297] (AB81264)
  • ICC/IF

Unknown

Immunocytochemistry/ Immunofluorescence - Anti-NEDD8 antibody [Y297] (AB81264)

Immunofluorescence staining of HeLa cells with purified ab81264 at a working dilution of 1/100, counter-stained with DAPI. The secondary antibody was Alexa Fluor® 488 goat anti-rabbit (ab150077), used at a dilution of 1/1000. ab7291, a mouse anti-tubulin antibody (1/1000), was used to stain tubulin along with ab150120 (Alexa Fluor® 594 goat anti-mouse, 1/1000), shown in the top right hand panel. The cells were fixed in 4% PFA and permeabilized using 0.1% Triton X 100. The negative controls are shown in bottom middle and right hand panels - for negative control 1, purified ab81264 was used at a dilution of 1/500 followed by an Alexa Fluor® 594 goat anti-mouse antibody (ab150120) at a dilution of 1/500. For negative control 2, ab7291 (mouse anti-tubulin) was used at a dilution of 1/500 followed by an Alexa Fluor® 488 goat anti-rabbit antibody (ab150077) at a dilution of 1/400.

Immunoprecipitation - Anti-NEDD8 antibody [Y297] (AB81264)
  • IP

Unknown

Immunoprecipitation - Anti-NEDD8 antibody [Y297] (AB81264)

Western blot analysis of immunoprecipitation pellet from HeLa cell lysate using unpurified ab81264 at 1/500 dilution. Band at 90 kDa shows Neddylated cullins, 50 kDa the IgG fraaction and 9 kDa Free NEDD8.

All lanes:

Immunoprecipitation - Anti-NEDD8 antibody [Y297] (ab81264)

Predicted band size: 9 kDa

false

Immunoprecipitation - Anti-NEDD8 antibody [Y297] (AB81264)
  • IP

Unknown

Immunoprecipitation - Anti-NEDD8 antibody [Y297] (AB81264)

ab81264 (purified) at 1/20 immunoprecipitating NEDD8 in 10 μg K562 cell lysate (Lanes 1 and 2, observed at 10 and 90 kDa). Lane 3 - Rabbit monoclonal IgG (ab172730). For western blotting, VeriBlot for IP Detection Reagent (HRP) (ab131366), was used for detection at 1/10,000 dilution. Blocking buffer and concentration : 5% NFDM/TBST Dilution buffer and concentration : 5% NFDM/TBST

All lanes:

Immunoprecipitation - Anti-NEDD8 antibody [Y297] (ab81264)

Predicted band size: 9 kDa

false

Western blot - Anti-NEDD8 antibody [Y297] (AB81264)
  • WB

Lab

Western blot - Anti-NEDD8 antibody [Y297] (AB81264)

Blocking buffer : 5% NFDM/TBST
Dilution buffer : 5% NFDM/TBST

The band at 12kDa is free NEDD8, and at 90kDa is Neddylated cullins.

All lanes:

Western blot - Anti-NEDD8 antibody [Y297] (ab81264) at 1/1000 dilution

All lanes:

K562 whole cell lysate at 10 µg

Secondary

All lanes:

Western blot - Goat Anti-Rabbit IgG H&L (HRP) (<a href='/en-us/products/secondary-antibodies/goat-rabbit-igg-h-l-hrp-ab97051'>ab97051</a>) at 1/20000 dilution

Predicted band size: 9 kDa

Observed band size: 12 kDa,90 kDa

false

Western blot - Anti-NEDD8 antibody [Y297] (AB81264)
  • WB

Lab

Western blot - Anti-NEDD8 antibody [Y297] (AB81264)

Blocking buffer : 5% NFDM/TBST
Dilution buffer : 5% NFDM/TBST

The band at 12kDa is free NEDD8, and at 90kDa is Neddylated cullins.

All lanes:

Western blot - Anti-NEDD8 antibody [Y297] (ab81264) at 1/1000 dilution

All lanes:

HEK293 cell lysate at 10 µg

Secondary

All lanes:

Western blot - Goat Anti-Rabbit IgG H&L (HRP) (<a href='/en-us/products/secondary-antibodies/goat-rabbit-igg-h-l-hrp-ab97051'>ab97051</a>) at 1/20000 dilution

Predicted band size: 9 kDa

Observed band size: 12 kDa,90 kDa

false

Western blot - Anti-NEDD8 antibody [Y297] (AB81264)
  • WB

Unknown

Western blot - Anti-NEDD8 antibody [Y297] (AB81264)

Other Bands : 90kDa Neddylated cullins

All lanes:

Western blot - Anti-NEDD8 antibody [Y297] (ab81264) at 1/500 dilution

Lane 1:

HeLa cell lysate at 10 µg

Lane 2:

K562 cell lysate at 10 µg

Secondary

All lanes:

HRP labelled goat anti-rabbit at 1/2000 dilution

Predicted band size: 9 kDa

Observed band size: 9 kDa

false

Western blot - Anti-NEDD8 antibody [Y297] (AB81264)
  • WB

Lab

Western blot - Anti-NEDD8 antibody [Y297] (AB81264)

Blocking buffer : 5% NFDM/TBST
Dilution buffer : 5% NFDM/TBST

The band at 12kDa is free NEDD8, and at 90kDa is Neddylated cullins.

All lanes:

Western blot - Anti-NEDD8 antibody [Y297] (ab81264) at 1/1000 dilution

All lanes:

PC-12 whole cell lysate at 10 µg

Secondary

All lanes:

Western blot - Goat Anti-Rabbit IgG H&L (HRP) (<a href='/en-us/products/secondary-antibodies/goat-rabbit-igg-h-l-hrp-ab97051'>ab97051</a>) at 1/20000 dilution

Predicted band size: 9 kDa

Observed band size: 12 kDa,90 kDa

false

Flow Cytometry (Intracellular) - Anti-NEDD8 antibody [Y297] (AB81264)
  • Flow Cyt (Intra)

Unknown

Flow Cytometry (Intracellular) - Anti-NEDD8 antibody [Y297] (AB81264)

Intracellular Flow Cytometry analysis of A-673 (Human muscle Ewing's Sarcoma) cells labeling NEDD8 (red) with purified ab81264 at a 1/300 dilution (1ug/mL). Cells were fixed with 4% paraformaldehyde and permeabilized with 90% methanol. A goat anti rabbit IgG (Alexa Fluorr®488) (ab150077) was used as the secondary antibody at a 1/2000 dilution. Black - Rabbit monoclonal IgG (Black) (ab172730). Blue (unlabeled control) - Cell without incubation with primary antibody and secondary antibody (Blue).

Western blot - Anti-NEDD8 antibody [Y297] (AB81264)
  • WB

Supplier Data

Western blot - Anti-NEDD8 antibody [Y297] (AB81264)

All lanes:

Western blot - Anti-NEDD8 antibody [Y297] (ab81264) at 1/1000 dilution

Lane 1:

C6 Cell Lysate at 20 µg

Lane 2:

Raw264.7 Cell Lysate at 20 µg

Lane 3:

PC-12 Cell Lysate at 20 µg

Lane 4:

3T3 Cell Lysate at 20 µg

Secondary

All lanes:

Goat Anti-Rabbit IgG, (H+L), Peroxidase conjugated at 1/1000 dilution

Predicted band size: 9 kDa

false

Key facts

Host species

Rabbit

Clonality

Monoclonal

Clone number

Y297

Isotype

IgG

Carrier free

No

Reacts with

Mouse, Rat, Human

Applications

Flow Cyt (Intra), IHC-P, IP, WB, ICC/IF

applications

Immunogen

The exact immunogen used to generate this antibody is proprietary information.

Specificity

This antibody detects NEDD8 bound to cullins proteins (neddylated cullins) as well as free NEDD8.

Reactivity data

{ "title": "Reactivity Data", "filters": { "stats": ["", "Species", "Dilution Info", "Notes"], "tabs": { "all-applications": {"fullname" : "All Applications", "shortname": "All Applications"}, "IP" : {"fullname" : "Immunoprecipitation", "shortname":"IP"}, "WB" : {"fullname" : "Western blot", "shortname":"WB"}, "ICCIF" : {"fullname" : "Immunocytochemistry/ Immunofluorescence", "shortname":"ICC/IF"}, "FlowCytIntra" : {"fullname" : "Flow Cytometry (Intracellular)", "shortname":"Flow Cyt (Intra)"}, "IHCP" : {"fullname" : "Immunohistochemistry (Formalin/PFA-fixed paraffin-embedded sections)", "shortname":"IHC-P"} }, "product-promise": { "all": "all", "testedAndGuaranteed": "tested", "guaranteed": "expected", "predicted": "predicted", "notRecommended": "not-recommended" } }, "values": { "Human": { "IP-species-checked": "testedAndGuaranteed", "IP-species-dilution-info": "1/20 - 1/50", "IP-species-notes": "<p></p>", "WB-species-checked": "testedAndGuaranteed", "WB-species-dilution-info": "1/1000 - 1/10000", "WB-species-notes": "<p></p>", "ICCIF-species-checked": "testedAndGuaranteed", "ICCIF-species-dilution-info": "1/100 - 1/250", "ICCIF-species-notes": "<p></p>", "FlowCytIntra-species-checked": "testedAndGuaranteed", "FlowCytIntra-species-dilution-info": "1/300", "FlowCytIntra-species-notes": "<p></p>", "IHCP-species-checked": "testedAndGuaranteed", "IHCP-species-dilution-info": "1/100 - 1/500", "IHCP-species-notes": "<p></p> Perform heat-mediated antigen retrieval with Tris/EDTA buffer pH 9.0 before commencing with IHC staining protocol." }, "Mouse": { "IP-species-checked": "guaranteed", "IP-species-dilution-info": "", "IP-species-notes": "", "WB-species-checked": "testedAndGuaranteed", "WB-species-dilution-info": "1/1000 - 1/10000", "WB-species-notes": "<p></p>", "ICCIF-species-checked": "guaranteed", "ICCIF-species-dilution-info": "", "ICCIF-species-notes": "", "FlowCytIntra-species-checked": "guaranteed", "FlowCytIntra-species-dilution-info": "", "FlowCytIntra-species-notes": "", "IHCP-species-checked": "guaranteed", "IHCP-species-dilution-info": "", "IHCP-species-notes": "" }, "Rat": { "IP-species-checked": "guaranteed", "IP-species-dilution-info": "", "IP-species-notes": "", "WB-species-checked": "testedAndGuaranteed", "WB-species-dilution-info": "1/1000 - 1/10000", "WB-species-notes": "<p></p>", "ICCIF-species-checked": "guaranteed", "ICCIF-species-dilution-info": "", "ICCIF-species-notes": "", "FlowCytIntra-species-checked": "guaranteed", "FlowCytIntra-species-dilution-info": "", "FlowCytIntra-species-notes": "", "IHCP-species-checked": "guaranteed", "IHCP-species-dilution-info": "", "IHCP-species-notes": "" } } }

Product details

What is this antibody validated in?
Anti-NEDD8 antibody [Y297] (ab81264) is a rabbit recombinant monoclonal antibody and is validated for use in Western Blot (WB), Flow Cytometry (Intra), Flow Cytometry (Flow Cyt), Immunoprecipitation (IP), Immunohistochemistry (IHC-P), Immunocytochemistry/immunofluorescence (ICC/IF) in Human, Mouse, Rat samples.

What is the molecular weight of NEDD8?
Anti-NEDD8 [Y297] (ab81264) specifically detects a band for NEDD8 (UniProt: Q15843) at a molecular weight of 9kDa.

Trusted by the scientific community
Anti-NEDD8 [Y297] (ab81264) was first used in a scientific publication in 2009 and has been cited over 40 times in peer-reviewed journals.

Trial sizes available!
Test your antibody or perform pre-screening before committing to a larger quantity. Sold in 10µl. Discover our selection of trial-size antibodies.

Other related products
We have a range of other formats of antibody clone [Y297] also available for your convenience: ab81264, Alexa Fluor® 647 - ab200849, Alexa Fluor® 488 - ab201249, Alexa Fluor® 594 - ab207247, Alexa Fluor® 405 - ab207248, Alexa Fluor® 555 - ab207249, Carrier free - ab220816, PE - ab305725, APC - ab305726, HRP - ab305727, Alkaline Phosphatase - ab308828, Alexa Fluor® 568 - ab312568, Alexa Fluor® 750 - ab321737

Patented technology
Our RabMAb® technology is a patented hybridoma-based technology for making rabbit monoclonal antibodies. For details on our patents, please refer to RabMAb® patents.

What are the advantages of a recombinant monoclonal antibody?
This product is a recombinant monoclonal antibody, which offers several advantages including:

  • - High batch-to-batch consistency and reproducibility
  • - Improved sensitivity and specificity
  • - Long-term security of supply
  • - Animal-free batch production

For more information, read more on recombinant antibodies.

Properties and storage information

Form
Liquid
Purification technique
Affinity purification Protein A
Storage buffer
pH: 7.2 - 7.4 Preservative: 0.01% Sodium azide Constituents: PBS, 50% Glycerol (glycerin, glycerine), 0.05% BSA
Shipped at conditions
Blue Ice
Appropriate short-term storage duration
1-2 weeks
Appropriate short-term storage conditions
+4°C
Appropriate long-term storage conditions
-20°C
Aliquoting information
Upon delivery aliquot
Storage information
Stable for 12 months at -20°C

Supplementary information

This supplementary information is collated from multiple sources and compiled automatically.

NEDD8 also known as neural precursor cell expressed developmentally downregulated protein 8 is a small ubiquitin-like protein with a molecular weight of approximately 9 kDa. It is expressed in various tissues prominently in the brain and muscles. NEDD8 conjugates to target proteins modifying their functions by altering their stability activity or location. It plays a role in the regulation of protein degradation.
Biological function summary

The NEDD8 protein is part of a modification system that activates cullin-RING ligase complexes. This activation promotes the ubiquitination and subsequent proteasomal degradation of targeted proteins. As a post-translational modification system similar to ubiquitin NEDD8 is important for maintaining protein homeostasis by ensuring timely degradation and turnover of cellular proteins. These processes impact cell cycle progression signal transduction and stress responses.

Pathways

NEDD8 is a central player in the ubiquitin-proteasome system an essential pathway for protein turnover. It is particularly important in the NEDDylation pathway where it regulates protein functions by transiently attaching to substrate proteins. Through these processes NEDD8 interacts closely with proteins like cullins and ubiquitin affecting cellular responses and maintaining cellular integrity under different conditions.

NEDD8 influences several pathological states. Aberrant NEDD8 conjugation can lead to cancer by disrupting the controlled degradation of proteins involved in cell cycle regulation such as p27 and p21. Additionally improper NEDDylation has links to neurodegenerative diseases like Alzheimer's as it affects proteins related to synaptic function and neuronal survival. Understanding the role of NEDD8 in these diseases aids in the development of potential therapeutic strategies.

Product protocols

For this product, it's our understanding that no specific protocols are required. You can visit:

Target data

Ubiquitin-like protein which plays an important role in cell cycle control and embryogenesis via its conjugation to a limited number of cellular proteins, such as cullins or p53/TP53 (PubMed : 10318914, PubMed : 10597293, PubMed : 11953428, PubMed : 14690597, PubMed : 15242646, PubMed : 9694792, PubMed : 38605244). Attachment of NEDD8 to cullins is critical for the recruitment of E2 to the cullin-RING-based E3 ubiquitin-protein ligase complex, thus facilitating polyubiquitination and proteasomal degradation of cyclins and other regulatory proteins (PubMed : 10318914, PubMed : 10597293, PubMed : 11953428, PubMed : 20688984, PubMed : 9694792, PubMed : 38605244). Attachment of NEDD8 to p53/TP53 inhibits p53/TP53 transcriptional activity (PubMed : 15242646). Covalent attachment to its substrates requires prior activation by the E1 complex UBE1C-APPBP1 and linkage to the E2 enzyme UBE2M (PubMed : 14690597).
See full target information NEDD8

Publications (61)

Recent publications for all applications. Explore the full list and refine your search

Inflammation : PubMed40021543

2025

Inhibition of Cullin3 Neddylation Alleviates Diabetic Retinopathy by Activating Nrf2 Signaling to Combat ROS-Induced Oxidative Stress and Inflammation.

Applications

Unspecified application

Species

Unspecified reactive species

Yueqin Chen,Cong Liu,Jun Tong,Chang He,Xinru Ling,Jinjin Xiang,Chunyan Xue,Genhong Yao,Lingyun Sun,Zhenggao Xie

Infection and immunity 93:e0055924 PubMed39976440

2025

alters the intranuclear balance of cullin-1 and c-MYC to inhibit apoptosis.

Applications

Unspecified application

Species

Unspecified reactive species

Paige E Allen,Haley E Adcox,Thomas E Siff,Sarika Gupta,Jason R Hunt,Jason A Carlyon

Cell communication and signaling : CCS 23:101 PubMed39972349

2025

Cullin-RING ligase BioE3 reveals molecular-glue-induced neosubstrates and rewiring of the endogenous Cereblon ubiquitome.

Applications

Unspecified application

Species

Unspecified reactive species

Laura Merino-Cacho,Orhi Barroso-Gomila,Mónica Pozo-Rodríguez,Veronica Muratore,Claudia Guinea-Pérez,Álvaro Serrano,Coralia Pérez,Sandra Cano-López,Ainhoa Urcullu,Mikel Azkargorta,Ibon Iloro,Carles Galdeano,Jordi Juárez-Jiménez,Ugo Mayor,Felix Elortza,Rosa Barrio,James D Sutherland

Clinical science (London, England : 1979) 139: PubMed39866066

2025

Blockade of neddylation through targeted inhibition of DCN1 alleviates renal fibrosis.

Applications

Unspecified application

Species

Unspecified reactive species

Jin-Ling Huo,Wenjia Fu,Qi Feng,Shaokang Pan,Dongwei Liu,Zhangsuo Liu

The EMBO journal 44:1185-1219 PubMed39762645

2025

RHEB neddylation by the UBE2F-SAG axis enhances mTORC1 activity and aggravates liver tumorigenesis.

Applications

Unspecified application

Species

Unspecified reactive species

Fengwu Zhang,Xiufang Xiong,Zhijian Li,Haibo Wang,Weilin Wang,Yongchao Zhao,Yi Sun

The EMBO journal 44:801-823 PubMed39690241

2024

A nuclear protein quality control system for elimination of nucleolus-related inclusions.

Applications

Unspecified application

Species

Unspecified reactive species

Lorène Brunello,Jolanta Polanowska,Léo Le Tareau,Chantal Maghames,Virginie Georget,Charlotte Guette,Karima Chaoui,Stéphanie Balor,Marie-Françoise O'Donohue,Marie-Pierre Bousquet,Pierre-Emmanuel Gleizes,Dimitris P Xirodimas

The Journal of biological chemistry 301:108085 PubMed39675717

2024

Inhibition of the neddylation E2 enzyme UBE2M in macrophages protects against E. coli-induced sepsis.

Applications

Unspecified application

Species

Unspecified reactive species

Xuehuan Wen,Songjie Bai,Guirun Xiong,Huiqing Xiu,Jiahui Li,Jie Yang,Qing Yu,Bingyu Li,Ruomeng Hu,Lanxin Cao,Zhijian Cai,Shufang Zhang,Gensheng Zhang

Nature communications 15:9820 PubMed39537588

2024

Succinate dehydrogenase deficiency-driven succinate accumulation induces drug resistance in acute myeloid leukemia via ubiquitin-cullin regulation.

Applications

Unspecified application

Species

Unspecified reactive species

Yifan Chen,Miao Xian,Wenwen Ying,Jiayi Liu,Shaowei Bing,Xiaomin Wang,Jiayi Yu,Xiaojun Xu,Senfeng Xiang,Xuejing Shao,Ji Cao,Qiaojun He,Bo Yang,Meidan Ying

Cell reports. Medicine 5:101653 PubMed39019009

2024

Neddylation inhibition prevents acetaminophen-induced liver damage by enhancing the anabolic cardiolipin pathway.

Applications

Unspecified application

Species

Unspecified reactive species

Clàudia Gil-Pitarch,Marina Serrano-Maciá,Jorge Simon,Laura Mosca,Carolina Conter,Claudia M Rejano-Gordillo,L Estefanía Zapata-Pavas,Patricia Peña-Sanfélix,Mikel Azkargorta,Rubén Rodríguez-Agudo,Sofía Lachiondo-Ortega,Maria Mercado-Gómez,Teresa C Delgado,Marina Porcelli,Igor Aurrekoetxea,James D Sutherland,Rosa Barrio,Dimitris Xirodimas,Patricia Aspichueta,Felix Elortza,Luis Alfonso Martínez-Cruz,Rubén Nogueiras,Paula Iruzubieta,Javier Crespo,Steven Masson,Misti Vanette McCain,Helen L Reeves,Raul J Andrade,M Isabel Lucena,Ugo Mayor,Naroa Goikoetxea-Usandizaga,Irene González-Recio,María L Martínez-Chantar

PLoS biology 22:e3002716 PubMed39008526

2024

KCTD proteins regulate morphine dependence via heterologous sensitization of adenylyl cyclase 1 in mice.

Applications

Unspecified application

Species

Unspecified reactive species

Zhong Ding,Chunsheng Zhang,Huicui Yang,Jiaojiao Chen,Zhiruo Sun,Xuechu Zhen
View all publications

Product promise

We are committed to supporting your work with high-quality reagents, and we're here for you every step of the way. In the unlikely event that one of our products does not perform as expected, you're protected by our Product Promise.
For full details, please see our Terms & Conditions

Please note: All products are 'FOR RESEARCH USE ONLY. NOT FOR USE IN DIAGNOSTIC OR THERAPEUTIC PROCEDURES'.

For licensing inquiries, please contact partnerships@abcam.com