JavaScript is disabled in your browser. Please enable JavaScript to view this website.
AB317042

Anti-NEFH antibody [EPR20020] - Neuronal Marker - Chicken IgY (Chimeric)

  • BOND RX™ Validated
  • 20ul selling size
  • Recombinant
  • What is this?

Be the first to review this product! Submit a review

|

(0 Publication)

Chicken Recombinant Monoclonal Neurofilament heavy polypeptide antibody. Suitable for WB, IHC-P, ICC/IF and reacts with Human, Mouse, Rat samples.

View Alternative Names

KIAA0845, NFH, NEFH, Neurofilament heavy polypeptide, NF-H, 200 kDa neurofilament protein, Neurofilament triplet H protein

9 Images
Immunocytochemistry/ Immunofluorescence - Anti-NEFH antibody [EPR20020] - Neuronal Marker - Chicken IgY (Chimeric) (AB317042)
  • ICC/IF

Supplier Data

Immunocytochemistry/ Immunofluorescence - Anti-NEFH antibody [EPR20020] - Neuronal Marker - Chicken IgY (Chimeric) (AB317042)

Immunofluorescent analysis of 4% Paraformaldehyde-fixed, 0.1% TritonX-100 permeabilized SH-SY5Y (human neuroblastoma epithelial cell) cells labelling NEFH with ab317042 at 1/500 (2.098 ug/ml) dilution, followed by ab150173 Goat Anti-Chicken IgY H&L (Alexa Fluor® 488) preadsorbed antibody at 1/1000 dilution (Green).

Confocal image showing cytoplasmic staining in SH-SY5Y cell line (shown in green). The counterstain was observed in magenta. Nuclear DNA was labeled with DAPI (shown in blue).
Negative control : MCF7 (PMID : 25985363).
Image was taken with a confocal microscope (Leica-Microsystems, TCS SP8).

ab195889 Anti-alpha Tubulin mouse monoclonal antibody - Microtubule Marker (Alexa Fluor® 594) was used to counterstain tubulin at 1/200 2.5 ug/ml dilution (Magenta). The Nuclear counterstain was DAPI (Blue).

Secondary antibody only control : Secondary antibody is ab150173 Goat Anti-Chicken IgY H&L (Alexa Fluor® 488) preadsorbed at 1/1000 dilution.

Immunohistochemistry (Formalin/PFA-fixed paraffin-embedded sections) - Anti-NEFH antibody [EPR20020] - Neuronal Marker - Chicken IgY (Chimeric) (AB317042)
  • IHC-P

Supplier Data

Immunohistochemistry (Formalin/PFA-fixed paraffin-embedded sections) - Anti-NEFH antibody [EPR20020] - Neuronal Marker - Chicken IgY (Chimeric) (AB317042)

Immunohistochemical analysis of paraffin-embedded Human prostatic hyperplasia tissue labeling NEFH with ab317042 at 1/10000 (0.105 ug/ml) dilution, followed by a ready to use LeicaDS9800 (Bond™ Polymer Refine Detection).

Positive staining on human prostatic hyperplasia.
The section was incubated with 317042 for 30 mins at room temperature.
The immunostaining was performed on a Leica Biosystems BOND® RX instrument

Counterstained with Hematoxylin.

Secondary antibody only control : Secondary antibody is a ready to use LeicaDS9800 (Bond™ Polymer Refine Detection).

Heat mediated antigen retrieval was performed with Tris-EDTA buffer (pH 9.0, Epitope Retrieval Solution2) for 40 mins

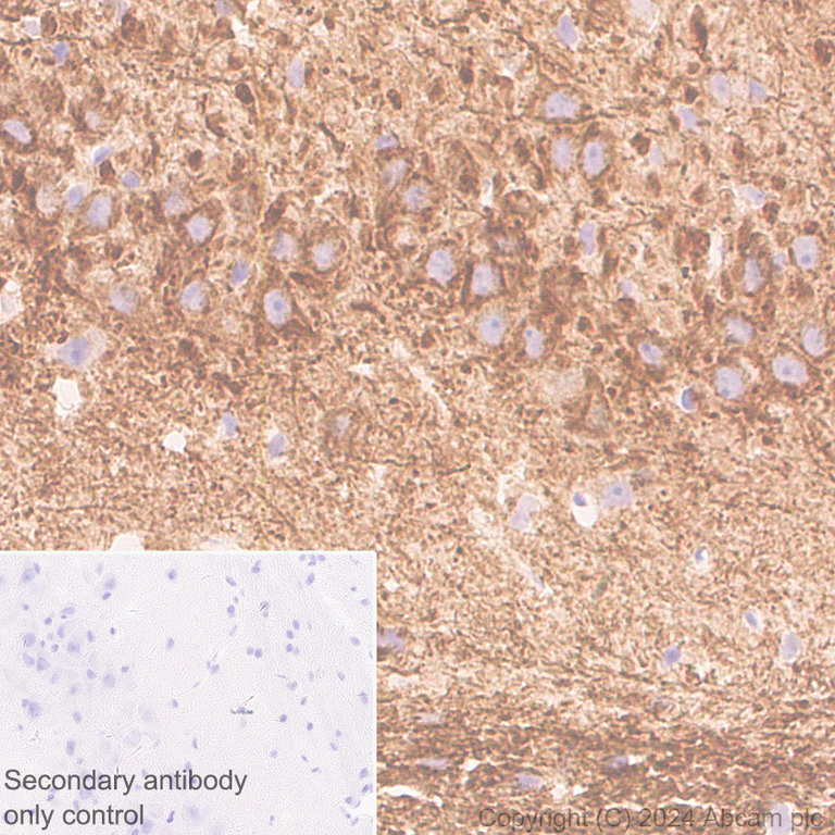
Immunohistochemistry (Formalin/PFA-fixed paraffin-embedded sections) - Anti-NEFH antibody [EPR20020] - Neuronal Marker - Chicken IgY (Chimeric) (AB317042)
  • IHC-P

Supplier Data

Immunohistochemistry (Formalin/PFA-fixed paraffin-embedded sections) - Anti-NEFH antibody [EPR20020] - Neuronal Marker - Chicken IgY (Chimeric) (AB317042)

Immunohistochemical analysis of paraffin-embedded Human cerebrum tissue labeling NEFH with ab317042 at 1/10000 (0.105 ug/ml) dilution, followed by a ready to use LeicaDS9800 (Bond™ Polymer Refine Detection).

Positive staining on human cerebrum.
The section was incubated with 317042 for 30 mins at room temperature.
The immunostaining was performed on a Leica Biosystems BOND® RX instrument

Counterstained with Hematoxylin.

Secondary antibody only control : Secondary antibody is a ready to use LeicaDS9800 (Bond™ Polymer Refine Detection).

Heat mediated antigen retrieval was performed with Tris-EDTA buffer (pH 9.0, Epitope Retrieval Solution2) for 40 mins

Immunohistochemistry (Formalin/PFA-fixed paraffin-embedded sections) - Anti-NEFH antibody [EPR20020] - Neuronal Marker - Chicken IgY (Chimeric) (AB317042)
  • IHC-P

Supplier Data

Immunohistochemistry (Formalin/PFA-fixed paraffin-embedded sections) - Anti-NEFH antibody [EPR20020] - Neuronal Marker - Chicken IgY (Chimeric) (AB317042)

Immunohistochemical analysis of paraffin-embedded Rat cerebrum tissue labeling NEFH with ab317042 at 1/10000 (0.105 ug/ml) dilution, followed by a ready to use LeicaDS9800 (Bond™ Polymer Refine Detection).

Positive staining on rat cerebrum.
The section was incubated with 317042 for 30 mins at room temperature.
The immunostaining was performed on a Leica Biosystems BOND® RX instrument

Counterstained with Hematoxylin.

Secondary antibody only control : Secondary antibody is a ready to use LeicaDS9800 (Bond™ Polymer Refine Detection).

Heat mediated antigen retrieval was performed with Tris-EDTA buffer (pH 9.0, Epitope Retrieval Solution2) for 40 mins

Immunocytochemistry/ Immunofluorescence - Anti-NEFH antibody [EPR20020] - Neuronal Marker - Chicken IgY (Chimeric) (AB317042)
  • ICC/IF

Supplier Data

Immunocytochemistry/ Immunofluorescence - Anti-NEFH antibody [EPR20020] - Neuronal Marker - Chicken IgY (Chimeric) (AB317042)

Immunofluorescent analysis of 4% Paraformaldehyde-fixed, 0.1% TritonX-100 permeabilized mouse primary neural/glia cell cells labelling NEFH with ab317042 at 1/500 (2.098 ug/ml) dilution, followed by ab150173 Goat Anti-Chicken IgY H&L (Alexa Fluor® 488) preadsorbed antibody at 1/1000 dilution (Green).

Confocal image showing positive staining in mouse primary neuron (shown in green). The counterstain was observed in magenta. Nuclear DNA was labeled with DAPI (shown in blue).
Image was taken with a confocal microscope (Leica-Microsystems, TCS SP8).

ab11267 Anti-MAP2 mouse monoclonal antibody was used to counterstain tubulin at 1/200 4ug/ml dilution (Magenta). The Nuclear counterstain was DAPI (Blue).

-ve control 1 : ab317042 at 1/50 dilution, followed by ab150120 Goat Anti-Mouse IgG H&L (Alexa Fluor® 594) antibody at 1/1000 dilution.

-ve control 2 : ab11267 at 1/200 dilution, followed by ab150173 Goat Anti-Chicken IgY H&L (Alexa Fluor® 488) preadsorbed antibody at 1/1000 dilution.

Immunohistochemistry (Formalin/PFA-fixed paraffin-embedded sections) - Anti-NEFH antibody [EPR20020] - Neuronal Marker - Chicken IgY (Chimeric) (AB317042)
  • IHC-P

Supplier Data

Immunohistochemistry (Formalin/PFA-fixed paraffin-embedded sections) - Anti-NEFH antibody [EPR20020] - Neuronal Marker - Chicken IgY (Chimeric) (AB317042)

Immunohistochemical analysis of paraffin-embedded Mouse cerebrum tissue labeling NEFH with ab317042 at 1/10000 (0.105 ug/ml) dilution, followed by a ready to use LeicaDS9800 (Bond™ Polymer Refine Detection).

Positive staining on mouse cerebrum.
The section was incubated with 317042 for 30 mins at room temperature.
The immunostaining was performed on a Leica Biosystems BOND® RX instrument

Counterstained with Hematoxylin.

Secondary antibody only control : Secondary antibody is a ready to use LeicaDS9800 (Bond™ Polymer Refine Detection).

Heat mediated antigen retrieval was performed with Tris-EDTA buffer (pH 9.0, Epitope Retrieval Solution2) for 40 mins

Immunocytochemistry/ Immunofluorescence - Anti-NEFH antibody [EPR20020] - Neuronal Marker - Chicken IgY (Chimeric) (AB317042)
  • ICC/IF

Lab

Immunocytochemistry/ Immunofluorescence - Anti-NEFH antibody [EPR20020] - Neuronal Marker - Chicken IgY (Chimeric) (AB317042)

Composite multiplex immunofluorescence staining of ab279297, ab317042 and ab308439 staining NeuN, NEFH and Tau (MBD region) in Mouse Primary Neurons DIV14 cells. The cells were fixed with 4% paraformaldehyde (10 min), permeabilized with 0.1% PBS-Triton X-100 for 5 minutes and then blocked with 1% BSA/10% normal goat serum/0.3M glycine in 0.1%PBS-Tween for 1h. The cells were then incubated overnight at 4°C with ab279297 (shown in green), ab317042 (shown in magenta) and ab308439 (shown in yellow) at 1µg/ml. Cells were then incubated with ab150161 Goat F(ab')2 Anti-Rat IgG Fc (Alexa Fluor® 488) preadsorbed, ab150175 Goat Anti-Chicken IgY H&L (Alexa Fluor® 647) preadsorbed and ab150084 Goat Anti-Rabbit IgG H&L (Alexa Fluor® 594) preadsorbed at 1/1000 dilution. Nuclear DNA was labelled with DAPI (shown in blue).

Image was acquired with a confocal microscope (Leica-Microsystems TCS SP8) and a single confocal section is shown.

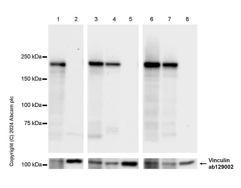
Western blot - Anti-NEFH antibody [EPR20020] - Neuronal Marker - Chicken IgY (Chimeric) (AB317042)
  • WB

Supplier Data

Western blot - Anti-NEFH antibody [EPR20020] - Neuronal Marker - Chicken IgY (Chimeric) (AB317042)

Negative control : kidney

In Western blot, Anti-Vinculin antibody [EPR8185] (ab129002) staining at 1/10000 dilution.

Exposure time : Lanes 1-2 : 10 seconds, Lanes 3-8 : 6 seconds

All lanes:

Western blot - Anti-NEFH antibody [EPR20020] - Neuronal Marker - Chicken IgY (Chimeric) (ab317042) at 1/1000 dilution

Lane 1:

Human Brainstem tissue lysate at 20 µg with NFDM/TBST

Lane 2:

Human kidney tissue lysate at 20 µg with NFDM/TBST

Lane 3:

Mouse cerebellum tissue lysate at 20 µg with NFDM/TBST

Lane 4:

Mouse brain tissue lysate at 20 µg with NFDM/TBST

Lane 5:

Mouse kidney tissue lysate at 20 µg with NFDM/TBST

Lane 6:

Rat cerebellum tissue lysate at 20 µg with NFDM/TBST

Lane 7:

Rat brain tissue lysate at 20 µg with NFDM/TBST

Lane 8:

Rat kidney tissue lysate at 20 µg with NFDM/TBST

Secondary

All lanes:

Western blot - Goat Anti-Chicken IgY H&L (HRP) (<a href='/en-us/products/secondary-antibodies/goat-chicken-igy-h-l-hrp-ab6877'>ab6877</a>) at 1/100000 dilution

Observed band size: 200-210 kDa,124 kDa

false

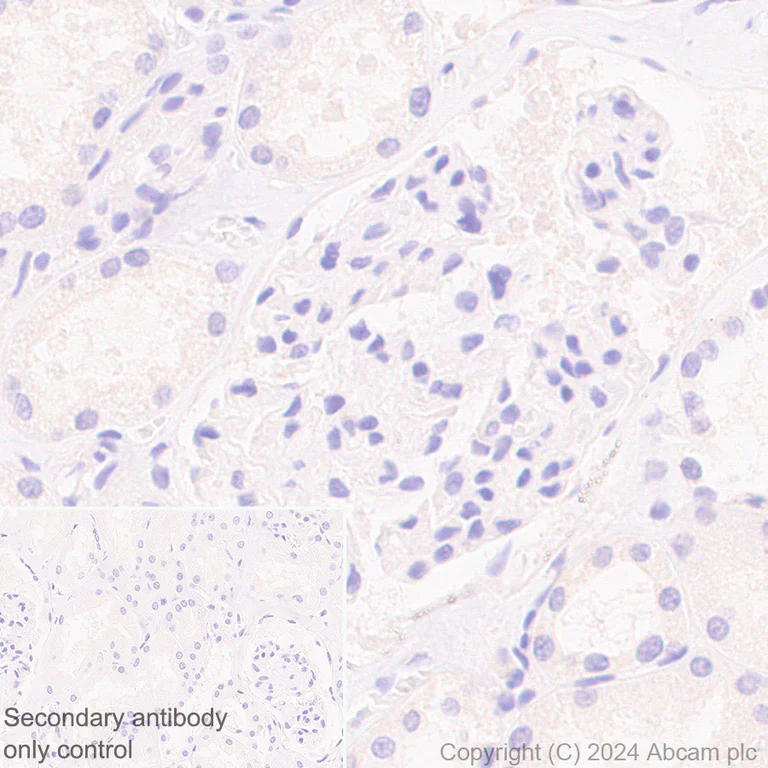
Immunohistochemistry (Formalin/PFA-fixed paraffin-embedded sections) - Anti-NEFH antibody [EPR20020] - Neuronal Marker - Chicken IgY (Chimeric) (AB317042)
  • IHC-P

Supplier Data

Immunohistochemistry (Formalin/PFA-fixed paraffin-embedded sections) - Anti-NEFH antibody [EPR20020] - Neuronal Marker - Chicken IgY (Chimeric) (AB317042)

Immunohistochemical analysis of paraffin-embedded Human kidney tissue labeling NEFH with ab317042 at 1/10000 (0.105 ug/ml) dilution, followed by a ready to use LeicaDS9800 (Bond™ Polymer Refine Detection).

Negative control : no staining on human kidney.
The section was incubated with 317042 for 30 mins at room temperature.
The immunostaining was performed on a Leica Biosystems BOND® RX instrument

Counterstained with Hematoxylin.

Secondary antibody only control : Secondary antibody is a ready to use LeicaDS9800 (Bond™ Polymer Refine Detection).

Heat mediated antigen retrieval was performed with Tris-EDTA buffer (pH 9.0, Epitope Retrieval Solution2) for 40 mins

  • Carrier free

    Anti-Neurofilament heavy polypeptide antibody [EPR20020] - BSA and Azide free

  • Unconjugated

    Anti-Neurofilament heavy polypeptide antibody [EPR20020]

  • Carrier free

    Anti-NEFH antibody [EPR20020] - Chicken IgY (Chimeric) - BSA and Azide free

  • 665 Alexa Fluor® 647

    Alexa Fluor® 647 Anti-Neurofilament heavy polypeptide antibody [EPR20020]

Key facts

Host species

Chicken

Clonality

Monoclonal

Clone number

EPR20020

Isotype

IgY

Carrier free

No

Reacts with

Human, Mouse, Rat

Applications

WB, IHC-P, ICC/IF

applications

Immunogen

The exact immunogen used to generate this antibody is proprietary information.

Specificity

Unsuitable for rat ICC. WB not recommend cell lysate.

Reactivity data

{ "title": "Reactivity Data", "filters": { "stats": ["", "Species", "Dilution Info", "Notes"], "tabs": { "all-applications": {"fullname" : "All Applications", "shortname": "All Applications"}, "WB" : {"fullname" : "Western blot", "shortname":"WB"}, "IHCP" : {"fullname" : "Immunohistochemistry (Formalin/PFA-fixed paraffin-embedded sections)", "shortname":"IHC-P"}, "ICCIF" : {"fullname" : "Immunocytochemistry/ Immunofluorescence", "shortname":"ICC/IF"}, "FlowCytIntra" : {"fullname" : "Flow Cytometry (Intracellular)", "shortname":"Flow Cyt (Intra)"} }, "product-promise": { "all": "all", "testedAndGuaranteed": "tested", "guaranteed": "expected", "predicted": "predicted", "notRecommended": "not-recommended" } }, "values": { "Human": { "WB-species-checked": "testedAndGuaranteed", "WB-species-dilution-info": "1/1000", "WB-species-notes": "<p></p>", "IHCP-species-checked": "testedAndGuaranteed", "IHCP-species-dilution-info": "1/10000", "IHCP-species-notes": "<p></p> Perform heat-mediated antigen retrieval with Tris/EDTA buffer pH 9.0 before commencing with IHC staining protocol.", "ICCIF-species-checked": "testedAndGuaranteed", "ICCIF-species-dilution-info": "1/500", "ICCIF-species-notes": "<p></p>", "FlowCytIntra-species-checked": "notRecommended", "FlowCytIntra-species-dilution-info": "", "FlowCytIntra-species-notes": "<p></p>" }, "Mouse": { "WB-species-checked": "testedAndGuaranteed", "WB-species-dilution-info": "1/1000", "WB-species-notes": "<p></p>", "IHCP-species-checked": "testedAndGuaranteed", "IHCP-species-dilution-info": "1/10000", "IHCP-species-notes": "<p></p> Perform heat-mediated antigen retrieval with Tris/EDTA buffer pH 9.0 before commencing with IHC staining protocol.", "ICCIF-species-checked": "testedAndGuaranteed", "ICCIF-species-dilution-info": "1/500", "ICCIF-species-notes": "<p></p>", "FlowCytIntra-species-checked": "notRecommended", "FlowCytIntra-species-dilution-info": "", "FlowCytIntra-species-notes": "<p></p>" }, "Rat": { "WB-species-checked": "testedAndGuaranteed", "WB-species-dilution-info": "1/1000", "WB-species-notes": "<p></p>", "IHCP-species-checked": "testedAndGuaranteed", "IHCP-species-dilution-info": "1/10000", "IHCP-species-notes": "<p></p> Perform heat-mediated antigen retrieval with Tris/EDTA buffer pH 9.0 before commencing with IHC staining protocol.", "ICCIF-species-checked": "notRecommended", "ICCIF-species-dilution-info": "", "ICCIF-species-notes": "<p></p>", "FlowCytIntra-species-checked": "notRecommended", "FlowCytIntra-species-dilution-info": "", "FlowCytIntra-species-notes": "<p></p>" } } }

Product details

This Chicken monoclonal chimeric antibody has been engineered from a RabMAb parent antibody (ab207176). By design, some rabbit sequence is retained as part of the variable domain. When multiplexing with other rabbit-derived antibodies, using cross absorbed FC-reactive secondary antibodies are recommended.

What are the advantages of a recombinant monoclonal antibody?
This product is a recombinant monoclonal antibody, which offers several advantages including:

  • - High batch-to-batch consistency and reproducibility
  • - Improved sensitivity and specificity
  • - Long-term security of supply
  • - Animal-free batch production

For more information, read more on recombinant antibodies.

Properties and storage information

Form
Liquid
Purification technique
Affinity purification Thiophilic Resin
Storage buffer
pH: 7.2 - 7.4 Preservative: 0.01% Sodium azide Constituents: PBS, 40% Glycerol (glycerin, glycerine), 0.05% BSA
Shipped at conditions
Blue Ice
Appropriate short-term storage duration
1-2 weeks
Appropriate short-term storage conditions
+4°C
Appropriate long-term storage conditions
-20°C
Aliquoting information
Upon delivery aliquot
Storage information
Avoid freeze / thaw cycle

Supplementary information

This supplementary information is collated from multiple sources and compiled automatically.

NEFH also known as Neurofilament Heavy Chain or NEF3 is a structural protein with a molecular mass of approximately 112 kDa. This protein is primarily expressed in neurons especially within the axons. NEFH plays a mechanical role in maintaining the structural stability and caliber of axons. It is a major constituent of the axoskeleton and contributes to the maintenance of neuronal shape. NEFH acts as a scaffold allowing other proteins to assemble onto it forming neurofilament complexes that provide support to neuronal cells.
Biological function summary

Neurofilament proteins like NEFH contribute to the development and maintenance of neuron shape. NEFH exists as part of a larger neurofilament complex which includes two other major neurofilament subunits: NEFL (neurofilament light) and NEFM (neurofilament medium). Together these protein components form long filaments giving neurons their tensile strength. NEFH is important in dictating the radial growth of axons facilitating efficient nerve conduction.

Pathways

Proteins involved in axonal transport and cytoskeletal organization engage with NEFH. In the axonal transport pathway NEFH associates with proteins such as dynein and kinesin necessary for the movement of organelles along the axonal microtubules. Furthermore NEFH's role in the cytoskeletal organization pathway involves interaction with actin and microtubule-associated proteins to ensure proper neuron function and structural integrity.

Neurodegenerative conditions such as Amyotrophic Lateral Sclerosis (ALS) and some forms of Charcot-Marie-Tooth disease link NEFH involvement. Accumulation of NEFH in motor neurons has been observed in ALS indicating disruption in axonal transport. In these diseases alterations in NEFH protein interactions such as with NEFL can lead to disrupted neurofilament integrity and axonal stability contributing to neuronal dysfunction and disease progression.

Product protocols

For this product, it's our understanding that no specific protocols are required. You can visit:

Target data

Neurofilaments usually contain three intermediate filament proteins : NEFL, NEFM, and NEFH which are involved in the maintenance of neuronal caliber. NEFH has an important function in mature axons that is not subserved by the two smaller NF proteins. May additionally cooperate with the neuronal intermediate filament proteins PRPH and INA to form neuronal filamentous networks (By similarity).
See full target information NEFH

Product promise

We are committed to supporting your work with high-quality reagents, and we're here for you every step of the way. In the unlikely event that one of our products does not perform as expected, you're protected by our Product Promise.
For full details, please see our Terms & Conditions

Please note: All products are 'FOR RESEARCH USE ONLY. NOT FOR USE IN DIAGNOSTIC OR THERAPEUTIC PROCEDURES'.

For licensing inquiries, please contact partnerships@abcam.com