JavaScript is disabled in your browser. Please enable JavaScript to view this website.
AB279717

Anti-NEK2 antibody [20/NEK2]

Be the first to review this product! Submit a review

|

(1 Publication)

Mouse Recombinant Monoclonal NEK2 antibody. Suitable for WB and reacts with Human samples. Cited in 1 publication.

View Alternative Names

NEK2A, NLK1, NEK2, Serine/threonine-protein kinase Nek2, HSPK 21, Never in mitosis A-related kinase 2, NimA-like protein kinase 1, NimA-related protein kinase 2

4 Images
Western blot - Anti-NEK2 antibody [20/NEK2] (AB279717)
  • WB

Lab

Western blot - Anti-NEK2 antibody [20/NEK2] (AB279717)

False colour image of Western blot : Anti-NEK2 antibody [20/NEK2] staining at 1/1000 dilution, shown in green; Rabbit Anti-GAPDH antibody [EPR16891] (ab181602) loading control staining at 1/20000 dilution, shown in red. In Western blot, ab279717 was shown to bind specifically to NEK2. A band was observed at 51 kDa in wild-type HeLa cell lysates with no signal observed at this size in NEK2 CRISPR-Cas9 edited cell line ab266027 (NEK2 CRISPR-Cas9 edited cell lysate ab258070). The band observed in the CRISPR-Cas9 edited lysate lane above 51 kDa is likely to represent NEK2 with an insertion. This has not been investigated further and the functional properties of the gene product have not been determined. To generate this image, wild-type and NEK2 CRISPR-Cas9 edited HeLa cell lysates were analysed. First, samples were run on an SDS-PAGE gel then transferred onto a nitrocellulose membrane. Membranes were blocked in 3% milk in TBS-0.1 % Tween® 20 (TBS-T) before incubation with primary antibodies overnight at 4°C. Blots were washed four times in TBS-T, incubated with secondary antibodies for 1 h at room temperature, washed again four times then imaged. Secondary antibodies used were Goat anti-Mouse IgG H&L (IRDye® 800CW) preabsorbed (ab216772) and Goat anti-Rabbit IgG H&L (IRDyeMCF7 cell lysateMCF7® 680RD) preabsorbed (ab216777) at 1/20000 dilution.

All lanes:

Western blot - Anti-NEK2 antibody [20/NEK2] (ab279717) at 1/1000 dilution

Lanes 1 and 3:

Wild-type HeLa cell lysate at 20 µg

Lanes 2 and 4:

NEK2 knockout HeLa cell lysate at 20 µg

Lane 5:

K562 cell lysate at 20 µg

Lane 6:

Jurkat cell lysate at 20 µg

Lane 7:

MCF7 cell lysate at 20 µg

Predicted band size: 52 kDa

Observed band size: 51 kDa

false

Western blot - Anti-NEK2 antibody [20/NEK2] (AB279717)
  • WB

Lab

Western blot - Anti-NEK2 antibody [20/NEK2] (AB279717)

False colour image of Western blot : Anti-NEK2 antibody [20/NEK2] staining at 1/1000 dilution, shown in green; Rabbit Anti-GAPDH antibody [EPR16891] (ab181602) loading control staining at 1/20000 dilution, shown in red. In Western blot, ab279717 was shown to bind specifically to NEK2. A band was observed at 50 kDa in wild-type HeLa cell lysates with no signal observed at this size in NEK2 knockout cell line ab273850 (knockout cell lysate ab273804). The band observed in the knockout lysate lane below 50 kDa is likely to represent a truncated form of NEK2. This has not been investigated further and the functional properties of the gene product have not been determined. To generate this image, wild-type and NEK2 knockout HeLa cell lysates were analysed.First, samples were run on an SDS-PAGE gel then transferred onto a nitrocellulose membrane. Membranes were blocked in 3 % milk in TBS-0.1 % Tween® 20 (TBS-T) before incubation with primary antibodies overnight at 4 °C. Blots were washed four times in TBS-T, incubated with secondary antibodies for 1 h at room temperature, washed again four times then imaged. Secondary antibodies used were Goat anti-Mouse IgG H&L (IRDye® 800CW) preabsorbed (ab216772) and Goat anti-Rabbit IgG H&L (IRDye® 680RD) preabsorbed (ab216777) at 1/20000 dilution.

All lanes:

Western blot - Anti-NEK2 antibody [20/NEK2] (ab279717) at 1/1000 dilution

Lane 1:

Wild-type HeLa cell lysate at 20 µg

Lane 2:

NEK2 knockout HeLa cell lysate at 20 µg

Lane 3:

K562 cell lysate at 20 µg

Lane 4:

Jurkat cell lysate at 20 µg

Predicted band size: 52 kDa

Observed band size: 50 kDa

false

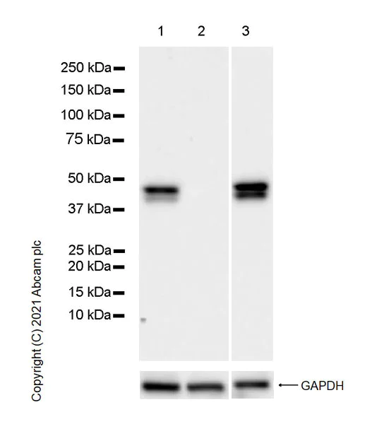
Western blot - Anti-NEK2 antibody [20/NEK2] (AB279717)
  • WB

Lab

Western blot - Anti-NEK2 antibody [20/NEK2] (AB279717)

False colour image of Western blot : Anti-NEK2 antibody [20/NEK2] staining at 1/1000 dilution, shown in green; Rabbit Anti-GAPDH antibody [EPR16891] (ab181602) loading control staining at 1/20000 dilution, shown in red. In Western blot, ab279717 was shown to bind specifically to NEK2. A band was observed at 50 kDa in wild-type HeLa cell lysates with no signal observed at this size in NEK2 CRISPR-Cas9 edited cell line ab273850 (CRISPR-Cas9 edited cell lysate ab260448). The band observed in the CRISPR-Cas9 edited lysate lane below 50 kDa is likely to represent a truncated form of NEK2. This has not been investigated further and the functional properties of the gene product have not been determined. To generate this image, wild-type and NEK2 CRISPR-Cas9 edited HeLa cell lysates were analysed. First, samples were run on an SDS-PAGE gel then transferred onto a nitrocellulose membrane. Membranes were blocked in 3 % milk in TBS-0.1 % Tween® 20 (TBS-T) before incubation with primary antibodies overnight at 4 °C. Blots were washed four times in TBS-T, incubated with secondary antibodies for 1 h at room temperature, washed again four times then imaged. Secondary antibodies used were Goat anti-Mouse IgG H&L (IRDye® 800CW) preabsorbed (ab216772) and Goat anti-Rabbit IgG H&L (IRDye® 680RD) preabsorbed (ab216777) at 1/20000 dilution.

All lanes:

Western blot - Anti-NEK2 antibody [20/NEK2] (ab279717) at 1/1000 dilution

Lane 1:

Wild-type HeLa cell lysate at 20 µg

Lane 2:

NEK2 CRISPR-Cas9 edited HeLa cell lysate at 20 µg

Lane 2:

Western blot - Human NEK2 knockout HeLa cell line (<a href='/en-us/products/cell-lines/human-nek2-knockout-hela-cell-line-ab273850'>ab273850</a>)

Lane 3:

K562 cell lysate at 20 µg

Lane 4:

Jurkat cell lysate at 20 µg

Predicted band size: 52 kDa

Observed band size: 50 kDa

false

Western blot - Anti-NEK2 antibody [20/NEK2] (AB279717)
  • WB

Supplier Data

Western blot - Anti-NEK2 antibody [20/NEK2] (AB279717)

Blocking and diluting buffer and concentration : 5% NFDM/TBST

The expression molecular weight observed is consistent with what has been described in the literature (PMID : 25043295).

Negative control : HFF-1 (PMID : 27509921).

Exposure time : 48 seconds

All lanes:

Western blot - Anti-NEK2 antibody [20/NEK2] (ab279717) at 1/1000 dilution

Lane 1:

Jurkat (human T cell leukemia T lymphocyte), whole cell lysate at 20 µg

Lane 2:

HFF-1 (human Skin fibroblast), whole cell lysate at 20 µg

Lane 3:

K-562 (human chronic myelogenous leukemia lymphoblast), whole cell lysate at 20 µg

Secondary

All lanes:

Peroxidase-Conjugated Goat anti-Mouse IgG (H+L) at 1/10000 dilution

Predicted band size: 52 kDa

Observed band size: 48 kDa

false

  • Carrier free

    Anti-NEK2 antibody [20/NEK2] - BSA and Azide free

Key facts

Host species

Mouse

Clonality

Monoclonal

Clone number

20/Nek2

Isotype

IgG1

Carrier free

No

Reacts with

Human

Applications

WB

applications

Immunogen

The exact immunogen used to generate this antibody is proprietary information.

Reactivity data

{ "title": "Reactivity Data", "filters": { "stats": ["", "Species", "Dilution Info", "Notes"], "tabs": { "all-applications": {"fullname" : "All Applications", "shortname": "All Applications"}, "WB" : {"fullname" : "Western blot", "shortname":"WB"}, "IHCP" : {"fullname" : "Immunohistochemistry (Formalin/PFA-fixed paraffin-embedded sections)", "shortname":"IHC-P"}, "ICCIF" : {"fullname" : "Immunocytochemistry/ Immunofluorescence", "shortname":"ICC/IF"} }, "product-promise": { "all": "all", "testedAndGuaranteed": "tested", "guaranteed": "expected", "predicted": "predicted", "notRecommended": "not-recommended" } }, "values": { "Human": { "WB-species-checked": "testedAndGuaranteed", "WB-species-dilution-info": "1/1000", "WB-species-notes": "<p></p>", "IHCP-species-checked": "notRecommended", "IHCP-species-dilution-info": "", "IHCP-species-notes": "<p></p>", "ICCIF-species-checked": "notRecommended", "ICCIF-species-dilution-info": "", "ICCIF-species-notes": "<p></p>" }, "Mouse": { "WB-species-checked": "notRecommended", "WB-species-dilution-info": "1/1000", "WB-species-notes": "<p></p>", "IHCP-species-checked": "notRecommended", "IHCP-species-dilution-info": "", "IHCP-species-notes": "<p></p>", "ICCIF-species-checked": "notRecommended", "ICCIF-species-dilution-info": "", "ICCIF-species-notes": "" }, "Rat": { "WB-species-checked": "notRecommended", "WB-species-dilution-info": "1/1000", "WB-species-notes": "<p></p>", "IHCP-species-checked": "notRecommended", "IHCP-species-dilution-info": "", "IHCP-species-notes": "<p></p>", "ICCIF-species-checked": "notRecommended", "ICCIF-species-dilution-info": "", "ICCIF-species-notes": "" } } }

Product details

What are the advantages of a recombinant monoclonal antibody?
This product is a recombinant monoclonal antibody, which offers several advantages including:

  • - High batch-to-batch consistency and reproducibility
  • - Improved sensitivity and specificity
  • - Long-term security of supply
  • - Animal-free batch production

For more information, read more on recombinant antibodies.

Properties and storage information

Form
Liquid
Purification technique
Affinity purification Protein A
Storage buffer
Preservative: 0.01% Sodium azide Constituents: PBS, 40% Glycerol (glycerin, glycerine), 0.05% BSA
Shipped at conditions
Blue Ice
Appropriate short-term storage duration
1-2 weeks
Appropriate short-term storage conditions
+4°C
Appropriate long-term storage conditions
-20°C
Aliquoting information
Upon delivery aliquot
Storage information
Avoid freeze / thaw cycle

Supplementary information

This supplementary information is collated from multiple sources and compiled automatically.

The cell cycle serine/threonine-protein kinase Nek2 also known as Never in Mitosis Gene A (NIMA)-related kinase 2 has a molecular weight of approximately 56 kDa. Expressed mainly in proliferating cells with high expression in the testes it primarily localizes to the centrosome and nucleus. This protein regulates centrosome separation and spindle formation. Such functions are essential for proper cell division contributing to the accurate segregation of chromosomes.
Biological function summary

Nek2 involves key roles in cell cycle progression especially from the G2 to the M phase. It integrates into a complex regulatory network interacting with various cell division controllers. Nek2 phosphorylates centrosomal proteins which ensures timely centrosome disjunction and bipolar spindle formation. This action establishes Nek2 as important for the maintenance of genomic stability preventing abnormal cell divisions.

Pathways

Nek2 fits into critical pathways that control cell division and mitosis. It operates within the PI3K/AKT pathway influencing cell growth and survival. Additionally Nek2 relates to other kinases like Aurora A kinase sharing pathway intersections that modulate centrosome dynamics and stability. These interactions reflect the significance of Nek2 in orchestrating precise mitotic events contributing to orderly cell cycle transitions.

Nek2 shows connections to cancers particularly breast and prostate cancer. Overexpression of Nek2 correlates with the pathogenesis of these cancers indicating its role in aberrant cellular proliferation. It also interacts with proteins like MAD2 which is a spindle checkpoint protein. This connection highlights Nek2's involvement in tumorigenesis through mitotic checkpoint control failure contributing to cancer cell survival and progression.

Product protocols

For this product, it's our understanding that no specific protocols are required. You can visit:

Target data

Protein kinase which is involved in the control of centrosome separation and bipolar spindle formation in mitotic cells and chromatin condensation in meiotic cells. Regulates centrosome separation (essential for the formation of bipolar spindles and high-fidelity chromosome separation) by phosphorylating centrosomal proteins such as CROCC, CEP250 and NINL, resulting in their displacement from the centrosomes. Regulates kinetochore microtubule attachment stability in mitosis via phosphorylation of NDC80. Involved in regulation of mitotic checkpoint protein complex via phosphorylation of CDC20 and MAD2L1. Plays an active role in chromatin condensation during the first meiotic division through phosphorylation of HMGA2. Phosphorylates : PPP1CC; SGO1; NECAB3 and NPM1. Essential for localization of MAD2L1 to kinetochore and MAPK1 and NPM1 to the centrosome. Phosphorylates CEP68 and CNTLN directly or indirectly (PubMed : 24554434). NEK2-mediated phosphorylation of CEP68 promotes CEP68 dissociation from the centrosome and its degradation at the onset of mitosis (PubMed : 25704143). Involved in the regulation of centrosome disjunction (PubMed : 26220856). Phosphorylates CCDC102B either directly or indirectly which causes CCDC102B to dissociate from the centrosome and allows for centrosome separation (PubMed : 30404835).. Isoform 1. Phosphorylates and activates NEK11 in G1/S-arrested cells.. Isoform 2. Not present in the nucleolus and, in contrast to isoform 1, does not phosphorylate and activate NEK11 in G1/S-arrested cells.
See full target information NEK2

Publications (1)

Recent publications for all applications. Explore the full list and refine your search

Molecular and cellular biochemistry 480:425-437 PubMed38503948

2024

NEK2 affects the ferroptosis sensitivity of gastric cancer cells by regulating the expression of HMOX1 through Keap1/Nrf2.

Applications

Unspecified application

Species

Unspecified reactive species

Jianyong Wu,Desheng Luo,Laizhen Tou,Hongtao Xu,Chuan Jiang,Dan Wu,Haifeng Que,Jingjing Zheng
View all publications

Product promise

We are committed to supporting your work with high-quality reagents, and we're here for you every step of the way. In the unlikely event that one of our products does not perform as expected, you're protected by our Product Promise.
For full details, please see our Terms & Conditions

Please note: All products are 'FOR RESEARCH USE ONLY. NOT FOR USE IN DIAGNOSTIC OR THERAPEUTIC PROCEDURES'.

For licensing inquiries, please contact partnerships@abcam.com