JavaScript is disabled in your browser. Please enable JavaScript to view this website.
AB95873

Anti-NEK7 antibody

Be the first to review this product! Submit a review

|

(4 Publications)

Rabbit Polyclonal NEK7 antibody. Suitable for IHC-P, IP, WB and reacts with Human samples. Cited in 4 publications. Immunogen corresponding to Synthetic Peptide within Human NEK7 aa 1-50.

View Alternative Names

Serine/threonine-protein kinase Nek7, Never in mitosis A-related kinase 7, NimA-related protein kinase 7, NEK7

3 Images
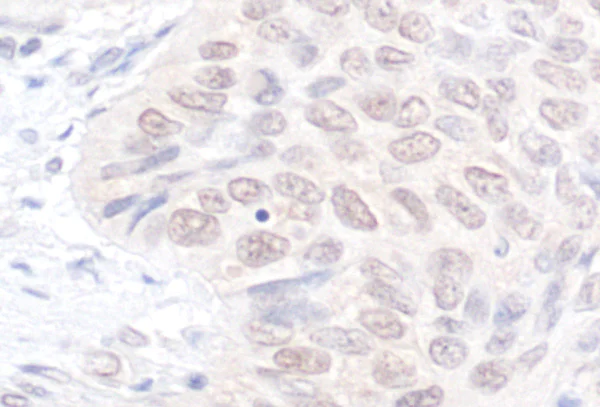
Immunohistochemistry (Formalin/PFA-fixed paraffin-embedded sections) - Anti-NEK7 antibody (AB95873)
  • IHC-P

Unknown

Immunohistochemistry (Formalin/PFA-fixed paraffin-embedded sections) - Anti-NEK7 antibody (AB95873)

Immunohistochemistry (Formalin/PFA-fixed paraffin-embedded sections) analysis of human lung carcinoma tissue labelling NEK7 with ab95873 at 1/1000 (1µg/ml). Detection : DAB.

Immunoprecipitation - Anti-NEK7 antibody (AB95873)
  • IP

Unknown

Immunoprecipitation - Anti-NEK7 antibody (AB95873)

Detection of NEK7 by Western Blot of Immunprecipitate. (1) ab95873 at 0.4µg/ml staining NEK7 which had been immunoprecipitated from HeLa whole cell lysate using ab95873 at 3µg/mg lysate (1 mg/IP; 20% of IP loaded/lane), (2) control IgG. Detection : Chemiluminescence with exposure time of 30 seconds.

All lanes:

Immunoprecipitation - Anti-NEK7 antibody (ab95873) at 1 µg/mL

Lane 1:

IP: ab95873 at 10µg/mg lysate

Lane 2:

IP: Controle IgG at 10µg/mg lysate

Predicted band size: 35 kDa

false

Western blot - Anti-NEK7 antibody (AB95873)
  • WB

Unknown

Western blot - Anti-NEK7 antibody (AB95873)

All lanes:

Western blot - Anti-NEK7 antibody (ab95873) at 0.4 µg/mL

Lane 1:

HeLa cell lysate at 50 µg

Lane 2:

HeLa cell lysate at 15 µg

Lane 3:

HeLa cell lysate at 5 µg

Lane 4:

293T cell lysate at 50 µg

Predicted band size: 35 kDa

false

Key facts

Host species

Rabbit

Clonality

Polyclonal

Isotype

IgG

Carrier free

No

Reacts with

Human

Applications

IP, WB, IHC-P

applications

Immunogen

Synthetic Peptide within Human NEK7 aa 1-50. The exact immunogen used to generate this antibody is proprietary information.

Q8TDX7

Reactivity data

{ "title": "Reactivity Data", "filters": { "stats": ["", "Species", "Dilution Info", "Notes"], "tabs": { "all-applications": {"fullname" : "All Applications", "shortname": "All Applications"}, "IHCP" : {"fullname" : "Immunohistochemistry (Formalin/PFA-fixed paraffin-embedded sections)", "shortname":"IHC-P"}, "IP" : {"fullname" : "Immunoprecipitation", "shortname":"IP"}, "WB" : {"fullname" : "Western blot", "shortname":"WB"} }, "product-promise": { "all": "all", "testedAndGuaranteed": "tested", "guaranteed": "expected", "predicted": "predicted", "notRecommended": "not-recommended" } }, "values": { "Human": { "IHCP-species-checked": "testedAndGuaranteed", "IHCP-species-dilution-info": "1/500 - 1/2000", "IHCP-species-notes": "<p></p> Perform heat-mediated antigen retrieval with citrate buffer pH 6 before commencing with IHC staining protocol.", "IP-species-checked": "testedAndGuaranteed", "IP-species-dilution-info": "5-15 µg/mg of lysate", "IP-species-notes": "<p></p>", "WB-species-checked": "testedAndGuaranteed", "WB-species-dilution-info": "1/2000 - 1/10000", "WB-species-notes": "<p></p>" }, "Chimpanzee": { "IHCP-species-checked": "predicted", "IHCP-species-dilution-info": "", "IHCP-species-notes": "", "IP-species-checked": "predicted", "IP-species-dilution-info": "", "IP-species-notes": "", "WB-species-checked": "predicted", "WB-species-dilution-info": "", "WB-species-notes": "" }, "Cow": { "IHCP-species-checked": "predicted", "IHCP-species-dilution-info": "", "IHCP-species-notes": "", "IP-species-checked": "predicted", "IP-species-dilution-info": "", "IP-species-notes": "", "WB-species-checked": "predicted", "WB-species-dilution-info": "", "WB-species-notes": "" }, "Dog": { "IHCP-species-checked": "predicted", "IHCP-species-dilution-info": "", "IHCP-species-notes": "", "IP-species-checked": "predicted", "IP-species-dilution-info": "", "IP-species-notes": "", "WB-species-checked": "predicted", "WB-species-dilution-info": "", "WB-species-notes": "" }, "Horse": { "IHCP-species-checked": "predicted", "IHCP-species-dilution-info": "", "IHCP-species-notes": "", "IP-species-checked": "predicted", "IP-species-dilution-info": "", "IP-species-notes": "", "WB-species-checked": "predicted", "WB-species-dilution-info": "", "WB-species-notes": "" }, "Orangutan": { "IHCP-species-checked": "predicted", "IHCP-species-dilution-info": "", "IHCP-species-notes": "", "IP-species-checked": "predicted", "IP-species-dilution-info": "", "IP-species-notes": "", "WB-species-checked": "predicted", "WB-species-dilution-info": "", "WB-species-notes": "" }, "Pig": { "IHCP-species-checked": "predicted", "IHCP-species-dilution-info": "", "IHCP-species-notes": "", "IP-species-checked": "predicted", "IP-species-dilution-info": "", "IP-species-notes": "", "WB-species-checked": "predicted", "WB-species-dilution-info": "", "WB-species-notes": "" }, "Rabbit": { "IHCP-species-checked": "predicted", "IHCP-species-dilution-info": "", "IHCP-species-notes": "", "IP-species-checked": "predicted", "IP-species-dilution-info": "", "IP-species-notes": "", "WB-species-checked": "predicted", "WB-species-dilution-info": "", "WB-species-notes": "" } } }

Properties and storage information

Form
Liquid
Purification technique
Affinity purification Immunogen
Purification notes
ab95873 was affinity purified using an epitope specific to NEK7 immobilized on solid support.
Storage buffer
pH: 7 - 8 Preservative: 0.09% Sodium azide Constituents: Tris citrate/phosphate
Shipped at conditions
Blue Ice
Appropriate short-term storage conditions
+4°C
Appropriate long-term storage conditions
+4°C
Aliquoting information
Upon delivery aliquot
Storage information
Avoid freeze / thaw cycle

Supplementary information

This supplementary information is collated from multiple sources and compiled automatically.

The NIMA-related kinase 7 (NEK7) is a member of the NEK family of serine/threonine kinases and plays an important role in cell division. With a molecular mass of approximately 34 kDa the NEK7 protein is involved in mitosis by regulating microtubule organization. It is primarily expressed in various tissues including human and marmoset thyroid tissues. It remains mainly inactive until mitotic entry where its activity becomes essential for proper spindle formation and completion of mitosis.
Biological function summary

Cell cycle progression heavily depends on NEK7's function. NEK7 interacts with NEDD1 in the microtubule-organizing center contributing to centrosome maturation and separation. This interaction makes NEK7 vital in the recruitment of γ-tubulin ring complex which is necessary for nucleating microtubules. NEK7 operates independently from the other NEK family members but shares involvement in centrosome-related activities.

Pathways

NEK7 is influential in the regulation of the mitotic spindle assembly pathway and the interleukin-1 (IL-1) signaling pathway. It is closely related to proteins like NEK6 and NEK9 which also play roles in mitotic progression and cytokinesis. NEK7's involvement in these pathways indicates its integrative function in ensuring normal cell division and response to inflammatory signals.

NEK7 has implications in cancer and inflammatory ailments. NEK7 overexpression or mutation is often linked to tumorigenesis particularly in lung and brain cancers. Additionally NEK7 contributes to the activation of the NLRP3 inflammasome connecting it to inflammatory conditions like rheumatoid arthritis. The interplay with NLRP3 highlights the significance of NEK7 in inflammation-related diseases.

Product protocols

For this product, it's our understanding that no specific protocols are required. You can visit:

Target data

Protein kinase which plays an important role in mitotic cell cycle progression (PubMed : 17101132, PubMed : 19941817, PubMed : 31409757). Required for microtubule nucleation activity of the centrosome, robust mitotic spindle formation and cytokinesis (PubMed : 17586473, PubMed : 19414596, PubMed : 19941817, PubMed : 26522158, PubMed : 31409757). Phosphorylates EML4 at 'Ser-146', promoting its dissociation from microtubules during mitosis which is required for efficient chromosome congression (PubMed : 31409757). Phosphorylates RPS6KB1 (By similarity). Acts as an essential activator of the NLRP3 inflammasome assembly independently of its kinase activity (PubMed : 26642356, PubMed : 36442502). Acts by unlocking NLRP3 following NLRP3 tranlocation into the microtubule organizing center (MTOC), relieving NLRP3 autoinhibition and promoting formation of the NLRP3 : PYCARD complex, and activation of CASP1 (PubMed : 26642356, PubMed : 31189953, PubMed : 36442502). Serves as a cellular switch that enforces mutual exclusivity of the inflammasome response and cell division : interaction with NEK9 prevents interaction with NLRP3 and activation of the inflammasome during mitosis (PubMed : 26642356, PubMed : 31189953).
See full target information NEK7

Publications (4)

Recent publications for all applications. Explore the full list and refine your search

Advanced science (Weinheim, Baden-Wurttemberg, Germany) 11:e2308786 PubMed38696610

2024

Inhibition of METTL3 Alleviates NLRP3 Inflammasome Activation via Increasing Ubiquitination of NEK7.

Applications

Unspecified application

Species

Unspecified reactive species

Xinyi Zhou,Xiaoyu Yang,Shenzhen Huang,Guifeng Lin,Kexin Lei,Qian Wang,Weimin Lin,Hanwen Li,Xingying Qi,Dutmanee Seriwatanachai,Shengyong Yang,Bin Shao,Quan Yuan

Frontiers in oncology 12:812655 PubMed35223495

2022

Inhibition of NEK7 Suppressed Hepatocellular Carcinoma Progression by Mediating Cancer Cell Pyroptosis.

Applications

Unspecified application

Species

Unspecified reactive species

Zilong Yan,Qingen Da,Zhangfu Li,Qirui Lin,Jing Yi,Yanze Su,Guanyin Yu,Qingqi Ren,Xu Liu,Zewei Lin,Jianhua Qu,Weihua Yin,Jikui Liu

Frontiers in oncology 11:705797 PubMed34295827

2021

NEK7 Promotes Pancreatic Cancer Progression And Its Expression Is Correlated With Poor Prognosis.

Applications

Unspecified application

Species

Unspecified reactive species

Zilong Yan,Jianhua Qu,Zhangfu Li,Jing Yi,Yanze Su,Qirui Lin,Guangyin Yu,Zewei Lin,Weihua Yin,Fengmin Lu,Jikui Liu

Scientific reports 6:24919 PubMed27118599

2016

Accumulation of isolevuglandin-modified protein in normal and fibrotic lung.

Applications

Unspecified application

Species

Unspecified reactive species

Stacey Mont,Sean S Davies,L Jackson Roberts Second,Raymond L Mernaugh,W Hayes McDonald,Brahm H Segal,William Zackert,Jonathan A Kropski,Timothy S Blackwell,Konjeti R Sekhar,James J Galligan,Pierre P Massion,Lawrence J Marnett,Elizabeth L Travis,Michael L Freeman
View all publications

Product promise

We are committed to supporting your work with high-quality reagents, and we're here for you every step of the way. In the unlikely event that one of our products does not perform as expected, you're protected by our Product Promise.
For full details, please see our Terms & Conditions

Please note: All products are 'FOR RESEARCH USE ONLY. NOT FOR USE IN DIAGNOSTIC OR THERAPEUTIC PROCEDURES'.

For licensing inquiries, please contact partnerships@abcam.com