JavaScript is disabled in your browser. Please enable JavaScript to view this website.
AB138488

Anti-NEK9 antibody [EP7361]

Be the first to review this product! Submit a review

|

(14 Publications)

Rabbit Recombinant Monoclonal NEK9 antibody. Suitable for WB, ICC/IF, Flow Cyt (Intra), IHC-P and reacts with Mouse, Rat, Human samples. Cited in 14 publications.

View Alternative Names

KIAA1995, NEK8, NERCC, NEK9, Serine/threonine-protein kinase Nek9, Nercc1 kinase, Never in mitosis A-related kinase 9, NimA-related kinase 8, NimA-related protein kinase 9, Nek8

9 Images
Immunocytochemistry/ Immunofluorescence - Anti-NEK9 antibody [EP7361] (AB138488)
  • ICC/IF

Unknown

Immunocytochemistry/ Immunofluorescence - Anti-NEK9 antibody [EP7361] (AB138488)

Immunofluorescent analysis of HeLa cells labelling NEK9 with unpurified ab138488 at 1/250 dilution.

Flow Cytometry (Intracellular) - Anti-NEK9 antibody [EP7361] (AB138488)
  • Flow Cyt (Intra)

Lab

Flow Cytometry (Intracellular) - Anti-NEK9 antibody [EP7361] (AB138488)

Intracellular Flow Cytometry analysis of HeLa (Human epithelial cell line from cervix adenocarcinoma) cells labeling Sonic Hedgehog with purified ab53281 at 1/20 dilution (10 ug/ml) (red). Cells were fixed with 4% Paraformaldehyde. A Goat anti rabbit IgG (Alexa Fluor® 488) secondary antibody was used at 1/2000 dilution. Isotype control - Rabbit monoclonal IgG (Black). Unlabeled control - cells without incubation with primary antibody and secondary antibody (Blue).

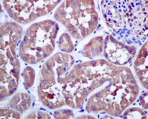
Immunohistochemistry (Formalin/PFA-fixed paraffin-embedded sections) - Anti-NEK9 antibody [EP7361] (AB138488)
  • IHC-P

Unknown

Immunohistochemistry (Formalin/PFA-fixed paraffin-embedded sections) - Anti-NEK9 antibody [EP7361] (AB138488)

Immunohistochemical analysis of paraffin-embedded Human kidney tissue labelling NEK9 with unpurified ab138488 at 1/50 dilution.

Immunohistochemistry (Formalin/PFA-fixed paraffin-embedded sections) - Anti-NEK9 antibody [EP7361] (AB138488)
  • IHC-P

Lab

Immunohistochemistry (Formalin/PFA-fixed paraffin-embedded sections) - Anti-NEK9 antibody [EP7361] (AB138488)

Immunohistochemistry (Formalin/PFA-fixed paraffin-embedded sections) analysis of human testis tissue sections labeling NEK9 with Purified ab138488 at 1 : 100 dilution (3.84 μg/ml). Heat mediated antigen retrieval was performed using ab93684 (Tris/EDTA buffer pH 9.0). Tissue was counterstained with Hematoxylin. ImmunoHistoProbe one step HRP Polymer (ready to use) secondary antibody was used at 1 : 0 dilution. PBS instead of the primary antibody was used as the negative control.

Immunocytochemistry/ Immunofluorescence - Anti-NEK9 antibody [EP7361] (AB138488)
  • ICC/IF

Lab

Immunocytochemistry/ Immunofluorescence - Anti-NEK9 antibody [EP7361] (AB138488)

Immunocytochemistry/ Immunofluorescence analysis of NIH/3T3 (Mouse embryonic fibroblast) cells labeling NEK9 with Purified ab138488 at 1 : 100 dilution (3.8μg/ml). Cells were fixed in 4% Paraformaldehyde and permeabilized with 0.1% tritonX-100. Cells were counterstained with ab195889 Anti-alpha Tubulin antibody [DM1A] - Microtubule Marker (Alexa Fluor® 594) 1 : 200 (2.5 μg/ml). ab150077 Goat anti rabbit IgG(Alexa Fluor® 488) was used as the secondary antibody at 1 : 1000 dilution. DAPI nuclear counterstain. PBS instead of the primary antibody was used as the secondary antibody only control.

Western blot - Anti-NEK9 antibody [EP7361] (AB138488)
  • WB

Lab

Western blot - Anti-NEK9 antibody [EP7361] (AB138488)

Blocking and diluting buffer : 5% NFDM/TBST

All lanes:

Western blot - Anti-NEK9 antibody [EP7361] (ab138488) at 1/5000 dilution

Lane 1:

NIH/3T3 (Mouse embryonic fibroblast) whole cell lysate at 15 µg

Lane 2:

THP-1 (Human monocytic leukemia monocyte) whole cell lysate at 15 µg

Secondary

All lanes:

Western blot - Goat Anti-Rabbit IgG H&L (HRP) (<a href='/en-us/products/secondary-antibodies/goat-rabbit-igg-h-l-hrp-ab97051'>ab97051</a>) at 1/20000 dilution

Predicted band size: 107 kDa

Observed band size: 120 kDa

false

Western blot - Anti-NEK9 antibody [EP7361] (AB138488)
  • WB

Lab

Western blot - Anti-NEK9 antibody [EP7361] (AB138488)

Lanes 1 - 4 : Merged signal (red and green). Green - ab138488 observed at 120 kDa. Red - loading control, ab7291 (Mouse anti-Alpha Tubulin [DM1A]) observed at 55kDa.

ab138488 was shown to react with NEK9 in wild-type A431 cells in western blot. Loss of signal was observed when NEK9 knockout sample was used. Wild-type and NEK9 knockout A431 cell lysates were subjected to SDS-PAGE. Membranes were blocked in 3% milk in TBS-T (0.1% Tween®) before incubation with ab138488 and ab7291 (Mouse anti-Alpha Tubulin [DM1A]) overnight at 4°C at a 1 in 1000 Dilution and a 1 in 20000 dilution respectively. Blots were incubated with Goat anti-Rabbit IgG H&L (IRDye® 800CW) preabsorbed (ab216773) and Goat anti-Mouse IgG H&L (IRDye® 680RD) preabsorbed (ab216776) secondary antibodies at 1 in 20000 dilution for 1 hour at room temperature before imaging.

All lanes:

Western blot - Anti-NEK9 antibody [EP7361] (ab138488) at 1/1000 dilution

Lane 1:

Wild-type A-431 (Human epidermoid carcinoma cell line) whole cell lysate at 20 µg

Lane 2:

NEK9 knockout A-431 (Human epidermoid carcinoma cell line) whole cell lysate at 20 µg

Lane 2:

Western blot - Human NEK9 knockout A-431 cell line (<a href='/en-us/products/cell-lines/human-nek9-knockout-a-431-cell-line-ab270474'>ab270474</a>)

Lane 3:

Hep G2 (Human liver hepatocellular carcinoma cell line) whole cell lysate at 20 µg

Lane 4:

MCF7 (Human breast adenocarcinoma cell line) whole cell lysate at 20 µg

Predicted band size: 107 kDa

Observed band size: 120 kDa

false

Western blot - Anti-NEK9 antibody [EP7361] (AB138488)
  • WB

Lab

Western blot - Anti-NEK9 antibody [EP7361] (AB138488)

Blocking and diluting buffer : 5% NFDM/TBST

All lanes:

Western blot - Anti-NEK9 antibody [EP7361] (ab138488) at 1000 Cells

All lanes:

Rat spleen lysates at 15 µg

Secondary

All lanes:

Western blot - Goat Anti-Rabbit IgG H&L (HRP) (<a href='/en-us/products/secondary-antibodies/goat-rabbit-igg-h-l-hrp-ab97051'>ab97051</a>) at 1/20000 dilution

Predicted band size: 107 kDa

Observed band size: 120 kDa

false

Western blot - Anti-NEK9 antibody [EP7361] (AB138488)
  • WB

Unknown

Western blot - Anti-NEK9 antibody [EP7361] (AB138488)

All lanes:

Western blot - Anti-NEK9 antibody [EP7361] (ab138488) at 1/1000 dilution

Lane 1:

NIH3T3 cell lysate at 10 µg

Lane 2:

HepG2 cell lysate at 10 µg

Lane 3:

HeLa cell lysate at 10 µg

Lane 4:

THP1 cell lysate at 10 µg

Secondary

All lanes:

HRP labelled goat anti-rabbit at 1/2000 dilution

Predicted band size: 107 kDa

false

Key facts

Host species

Rabbit

Clonality

Monoclonal

Clone number

EP7361

Isotype

IgG

Carrier free

No

Reacts with

Mouse, Rat, Human

Applications

WB, Flow Cyt (Intra), IHC-P, ICC/IF

applications

Immunogen

The exact immunogen used to generate this antibody is proprietary information.

Reactivity data

{ "title": "Reactivity Data", "filters": { "stats": ["", "Species", "Dilution Info", "Notes"], "tabs": { "all-applications": {"fullname" : "All Applications", "shortname": "All Applications"}, "IP" : {"fullname" : "Immunoprecipitation", "shortname":"IP"}, "WB" : {"fullname" : "Western blot", "shortname":"WB"}, "ICCIF" : {"fullname" : "Immunocytochemistry/ Immunofluorescence", "shortname":"ICC/IF"}, "FlowCytIntra" : {"fullname" : "Flow Cytometry (Intracellular)", "shortname":"Flow Cyt (Intra)"}, "IHCP" : {"fullname" : "Immunohistochemistry (Formalin/PFA-fixed paraffin-embedded sections)", "shortname":"IHC-P"} }, "product-promise": { "all": "all", "testedAndGuaranteed": "tested", "guaranteed": "expected", "predicted": "predicted", "notRecommended": "not-recommended" } }, "values": { "Human": { "IP-species-checked": "notRecommended", "IP-species-dilution-info": "", "IP-species-notes": "<p></p>", "WB-species-checked": "testedAndGuaranteed", "WB-species-dilution-info": "1/1000 - 1/10000", "WB-species-notes": "<p></p>", "ICCIF-species-checked": "testedAndGuaranteed", "ICCIF-species-dilution-info": "1/100", "ICCIF-species-notes": "<p><strong>For unpurified use at 1/250 - 1/500.</strong></p>", "FlowCytIntra-species-checked": "testedAndGuaranteed", "FlowCytIntra-species-dilution-info": "1/10 - 1/100", "FlowCytIntra-species-notes": "<p><a href='/en-us/products/primary-antibodies/rabbit-igg-monoclonal-epr25a-isotype-control-ab172730'>ab172730</a> - Rabbit monoclonal IgG, is suitable for use as an isotype control with this antibody.</p>", "IHCP-species-checked": "testedAndGuaranteed", "IHCP-species-dilution-info": "1/50 - 1/100", "IHCP-species-notes": "<p>The mouse and rat recommendation is based on the WB results. This antibody may not be suitable for IHC with mouse or rat samples.</p>" }, "Mouse": { "IP-species-checked": "notRecommended", "IP-species-dilution-info": "", "IP-species-notes": "<p></p>", "WB-species-checked": "testedAndGuaranteed", "WB-species-dilution-info": "1/1000 - 1/10000", "WB-species-notes": "<p></p>", "ICCIF-species-checked": "testedAndGuaranteed", "ICCIF-species-dilution-info": "1/100", "ICCIF-species-notes": "<p><strong>For unpurified use at 1/250 - 1/500.</strong></p>", "FlowCytIntra-species-checked": "guaranteed", "FlowCytIntra-species-dilution-info": "", "FlowCytIntra-species-notes": "", "IHCP-species-checked": "guaranteed", "IHCP-species-dilution-info": "", "IHCP-species-notes": "" }, "Rat": { "IP-species-checked": "notRecommended", "IP-species-dilution-info": "", "IP-species-notes": "<p></p>", "WB-species-checked": "testedAndGuaranteed", "WB-species-dilution-info": "1/1000 - 1/10000", "WB-species-notes": "<p></p>", "ICCIF-species-checked": "guaranteed", "ICCIF-species-dilution-info": "", "ICCIF-species-notes": "", "FlowCytIntra-species-checked": "guaranteed", "FlowCytIntra-species-dilution-info": "", "FlowCytIntra-species-notes": "", "IHCP-species-checked": "guaranteed", "IHCP-species-dilution-info": "", "IHCP-species-notes": "" } } }

Product details

Patented technology
Our RabMAb® technology is a patented hybridoma-based technology for making rabbit monoclonal antibodies. For details on our patents, please refer to RabMAb® patents.

What are the advantages of a recombinant monoclonal antibody?
This product is a recombinant monoclonal antibody, which offers several advantages including:

  • - High batch-to-batch consistency and reproducibility
  • - Improved sensitivity and specificity
  • - Long-term security of supply
  • - Animal-free batch production

For more information, read more on recombinant antibodies.

Properties and storage information

Form
Liquid
Purification technique
Affinity purification Protein A
Storage buffer
Preservative: 0.01% Sodium azide Constituents: PBS, 40% Glycerol (glycerin, glycerine), 0.05% BSA
Shipped at conditions
Blue Ice
Appropriate short-term storage duration
1-2 weeks
Appropriate short-term storage conditions
+4°C
Appropriate long-term storage conditions
-20°C
Aliquoting information
Upon delivery aliquot
Storage information
Avoid freeze / thaw cycle|Stable for 12 months at -20°C

Supplementary information

This supplementary information is collated from multiple sources and compiled automatically.

NEK9 also known as NIMA-related kinase 9 is a serine/threonine kinase with a molecular mass of approximately 118 kDa. It plays a role in the regulation of various cell cycle processes. NEK9 is active in both the cytoplasm and nucleus and expresses broadly in various tissues including the liver kidneys and pancreas. It also has homologs in other eukaryotic organisms indicating its conserved function across species.
Biological function summary

This protein modulates different aspects of mitosis particularly in spindle formation and chromosome segregation. NEK9 forms a part of a complex in conjunction with other kinases like NEK6 and NEK7 coordinating the early events of mitosis. Its activity supports centrosome separation and microtubule nucleation which are important for proper cell division.

Pathways

NEK9 is involved in the cell cycle and microtubule organization pathways. It works in conjunction with proteins such as PLK1 and Aurora A which regulate the entry and progression through mitosis. NEK9 activates NEK6 and NEK7 which further propagate signals necessary for mitotic spindle assembly ensuring efficient cell division.

NEK9 has links to cancer and neurological disorders. Abnormal NEK9 activity has associations with tumorigenesis particularly linked with the dysregulation of cell cycle checkpoints and malignant transformation. In neurological disorder contexts NEK9 interacts with proteins like tau perturbing normal cellular functions and potentially contributing to disease pathology.

Product protocols

For this product, it's our understanding that no specific protocols are required. You can visit:

Target data

Pleiotropic regulator of mitotic progression, participating in the control of spindle dynamics and chromosome separation (PubMed : 12101123, PubMed : 12840024, PubMed : 14660563, PubMed : 19941817). Phosphorylates different histones, myelin basic protein, beta-casein, and BICD2 (PubMed : 11864968). Phosphorylates histone H3 on serine and threonine residues and beta-casein on serine residues (PubMed : 11864968). Important for G1/S transition and S phase progression (PubMed : 12840024, PubMed : 14660563, PubMed : 19941817). Phosphorylates NEK6 and NEK7 and stimulates their activity by releasing the autoinhibitory functions of Tyr-108 and Tyr-97 respectively (PubMed : 12840024, PubMed : 14660563, PubMed : 19941817, PubMed : 26522158).
See full target information NEK9

Publications (14)

Recent publications for all applications. Explore the full list and refine your search

Cell death & disease 14:421 PubMed37443302

2023

Cancer associated fibroblast derived SLIT2 drives gastric cancer cell metastasis by activating NEK9.

Applications

Unspecified application

Species

Unspecified reactive species

Guofang Lu,Rui Du,Jiaqiang Dong,Yi Sun,Fenli Zhou,Fan Feng,Bin Feng,Ying Han,Yulong Shang

FEBS letters 597:1290-1299 PubMed36776133

2023

A Pellino-2 variant is associated with constitutive NLRP3 inflammasome activation in a family with ocular pterygium-digital keloid dysplasia.

Applications

Unspecified application

Species

Unspecified reactive species

Ileana Cristea,Hugo Abarca,Anne E Christensen Mellgren,Milana Trubnykova,Roya Mehrasa,Dorien J M Peters,Gunnar Houge,Raoul C M Hennekam,Eyvind Rødahl,Ove Bruland,Cecilie Bredrup

Nature communications 14:870 PubMed36797266

2023

Spatial proteomics reveals secretory pathway disturbances caused by neuropathy-associated TECPR2.

Applications

Unspecified application

Species

Unspecified reactive species

Karsten Nalbach,Martina Schifferer,Debjani Bhattacharya,Hung Ho-Xuan,Wei Chou Tseng,Luis A Williams,Alexandra Stolz,Stefan F Lichtenthaler,Zvulun Elazar,Christian Behrends

Scientific reports 13:342 PubMed36611072

2023

Overexpression of the NEK9-EG5 axis is a novel metastatic marker in pathologic stage T3 colon cancer.

Applications

Unspecified application

Species

Unspecified reactive species

Meejeong Kim,Hui Jeong Jeong,Hyun-Min Ju,Ji-Young Song,Se Jin Jang,Jene Choi

Journal of immunology (Baltimore, Md. : 1950) 208:2029-2036 PubMed35354613

2022

A Single Amino Acid Residue Defines the Difference in NLRP3 Inflammasome Activation between NEK7 and NEK6.

Applications

Unspecified application

Species

Unspecified reactive species

Devon Jeltema,Jihong Wang,Juan Cai,Nathan Kelley,Zhe Yang,Yuan He

Current research in chemical biology 1: PubMed40837099

2021

Synthesis and structure-activity relationships of targeted protein degraders for the understudied kinase NEK9.

Applications

Unspecified application

Species

Unspecified reactive species

SeongShick Ryu,Gillian E Gadbois,Andrew J Tao,Benjamin J Fram,Jie Jiang,Bridget Boyle,Katherine A Donovan,Noah M Krupnick,Bethany C Berry,Debabrata Bhunia,Injae Shin,Eric S Fischer,Nathanael S Gray,Taebo Sim,Fleur M Ferguson

Journal of cell science 133: PubMed32184261

2020

EML4-ALK V3 oncogenic fusion proteins promote microtubule stabilization and accelerated migration through NEK9 and NEK7.

Applications

Unspecified application

Species

Unspecified reactive species

Laura O'Regan,Giancarlo Barone,Rozita Adib,Chang Gok Woo,Hui Jeong Jeong,Emily L Richardson,Mark W Richards,Patricia A J Muller,Spencer J Collis,Dean A Fennell,Jene Choi,Richard Bayliss,Andrew M Fry

Pathology 52:329-335 PubMed32098687

2020

Decreased Nek9 expression correlates with aggressive behaviour and predicts unfavourable prognosis in breast cancer.

Applications

Unspecified application

Species

Unspecified reactive species

Ziru Xu,Wenping Shen,Aifeng Pan,Feifei Sun,Jing Zhang,Peng Gao,Li Li

The Journal of biological chemistry 295:1240-1260 PubMed31857374

2019

NIMA-related kinase 9-mediated phosphorylation of the microtubule-associated LC3B protein at Thr-50 suppresses selective autophagy of p62/sequestosome 1.

Applications

Unspecified application

Species

Unspecified reactive species

Birendra Kumar Shrestha,Mads Skytte Rasmussen,Yakubu Princely Abudu,Jack-Ansgar Bruun,Kenneth Bowitz Larsen,Endalkachew A Alemu,Eva Sjøttem,Trond Lamark,Terje Johansen

Nature communications 9:2330 PubMed29899413

2018

NEK7 regulates dendrite morphogenesis in neurons via Eg5-dependent microtubule stabilization.

Applications

Unspecified application

Species

Unspecified reactive species

Francisco Freixo,Paula Martinez Delgado,Yasmina Manso,Carlos Sánchez-Huertas,Cristina Lacasa,Eduardo Soriano,Joan Roig,Jens Lüders
View all publications

Product promise

We are committed to supporting your work with high-quality reagents, and we're here for you every step of the way. In the unlikely event that one of our products does not perform as expected, you're protected by our Product Promise.
For full details, please see our Terms & Conditions

Please note: All products are 'FOR RESEARCH USE ONLY. NOT FOR USE IN DIAGNOSTIC OR THERAPEUTIC PROCEDURES'.

For licensing inquiries, please contact partnerships@abcam.com