JavaScript is disabled in your browser. Please enable JavaScript to view this website.
AB167401

Anti-NELF-B antibody [EPR11200]

5

(1 Review)

|

(7 Publications)

Rabbit Recombinant Monoclonal NELF-B antibody. Suitable for IHC-P, WB, ICC/IF and reacts with Human samples. Cited in 7 publications.

View Alternative Names

COBRA1, KIAA1182, NELFB, Negative elongation factor B, NELF-B, Cofactor of BRCA1

6 Images
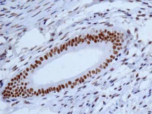
Immunohistochemistry (Formalin/PFA-fixed paraffin-embedded sections) - Anti-NELF-B antibody [EPR11200] (AB167401)
  • IHC-P

Unknown

Immunohistochemistry (Formalin/PFA-fixed paraffin-embedded sections) - Anti-NELF-B antibody [EPR11200] (AB167401)

Formalin-fixed, paraffin-embedded human colon tissue stained for NELF-B with ab167401 (1/100 dilution) in immunohistochemical analysis.

Perform heat mediated antigen retrieval with citrate buffer pH 6 before commencing with IHC staining protocol.

Immunohistochemistry (Formalin/PFA-fixed paraffin-embedded sections) - Anti-NELF-B antibody [EPR11200] (AB167401)
  • IHC-P

Unknown

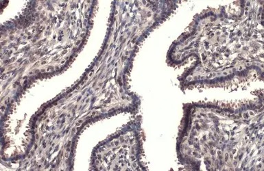
Immunohistochemistry (Formalin/PFA-fixed paraffin-embedded sections) - Anti-NELF-B antibody [EPR11200] (AB167401)

Formalin-fixed, paraffin-embedded human uterus tissue stained for NELF-B with ab167401 (1/100 dilution) in immunohistochemical analysis.

Perform heat mediated antigen retrieval with citrate buffer pH 6 before commencing with IHC staining protocol.

Immunohistochemistry (Formalin/PFA-fixed paraffin-embedded sections) - Anti-NELF-B antibody [EPR11200] (AB167401)
  • IHC-P

Unknown

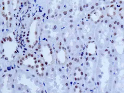
Immunohistochemistry (Formalin/PFA-fixed paraffin-embedded sections) - Anti-NELF-B antibody [EPR11200] (AB167401)

Formalin-fixed, paraffin-embedded human kidney tissue stained for NELF-B with ab167401 (1/100 dilution) in immunohistochemical analysis.

Perform heat mediated antigen retrieval with citrate buffer pH 6 before commencing with IHC staining protocol.

Immunocytochemistry/ Immunofluorescence - Anti-NELF-B antibody [EPR11200] (AB167401)
  • ICC/IF

Unknown

Immunocytochemistry/ Immunofluorescence - Anti-NELF-B antibody [EPR11200] (AB167401)

Immunofluorescent analysis of BxPC-3 cells labeling NELF-B with ab167401 at 1/100 dilution.

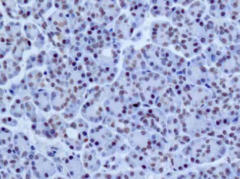
Immunohistochemistry (Formalin/PFA-fixed paraffin-embedded sections) - Anti-NELF-B antibody [EPR11200] (AB167401)
  • IHC-P

Unknown

Immunohistochemistry (Formalin/PFA-fixed paraffin-embedded sections) - Anti-NELF-B antibody [EPR11200] (AB167401)

Formalin-fixed, paraffin-embedded human pancreas tissue stained for NELF-B with ab167401 (1/100 dilution) in immunohistochemical analysis.

Perform heat mediated antigen retrieval with citrate buffer pH 6 before commencing with IHC staining protocol.

Western blot - Anti-NELF-B antibody [EPR11200] (AB167401)
  • WB

Unknown

Western blot - Anti-NELF-B antibody [EPR11200] (AB167401)

All lanes:

Western blot - Anti-NELF-B antibody [EPR11200] (ab167401) at 1/1000 dilution

Lane 1:

T47D cell lysate at 10 µg

Lane 2:

HeLa cell lysate at 10 µg

Lane 3:

BxPC-3 cell lysate at 10 µg

Lane 4:

HepG2 cell lysate at 10 µg

Secondary

All lanes:

Goat anti-rabbit HRP at 1/2000 dilution

Predicted band size: 66 kDa

false

  • Carrier free

    Anti-NELF-B antibody [EPR11200] - BSA and Azide free

Key facts

Host species

Rabbit

Clonality

Monoclonal

Clone number

EPR11200

Isotype

IgG

Carrier free

No

Reacts with

Human

Applications

IHC-P, WB, ICC/IF

applications

Immunogen

The exact immunogen used to generate this antibody is proprietary information.

Reactivity data

{ "title": "Reactivity Data", "filters": { "stats": ["", "Species", "Dilution Info", "Notes"], "tabs": { "all-applications": {"fullname" : "All Applications", "shortname": "All Applications"}, "IHCP" : {"fullname" : "Immunohistochemistry (Formalin/PFA-fixed paraffin-embedded sections)", "shortname":"IHC-P"}, "IP" : {"fullname" : "Immunoprecipitation", "shortname":"IP"}, "FlowCyt" : {"fullname" : "Flow Cytometry", "shortname":"Flow Cyt"}, "WB" : {"fullname" : "Western blot", "shortname":"WB"}, "ICCIF" : {"fullname" : "Immunocytochemistry/ Immunofluorescence", "shortname":"ICC/IF"} }, "product-promise": { "all": "all", "testedAndGuaranteed": "tested", "guaranteed": "expected", "predicted": "predicted", "notRecommended": "not-recommended" } }, "values": { "Human": { "IHCP-species-checked": "testedAndGuaranteed", "IHCP-species-dilution-info": "1/100 - 1/250", "IHCP-species-notes": "<p></p> Perform heat-mediated antigen retrieval with citrate buffer pH 6 before commencing with IHC staining protocol.", "IP-species-checked": "notRecommended", "IP-species-dilution-info": "", "IP-species-notes": "<p></p>", "FlowCyt-species-checked": "notRecommended", "FlowCyt-species-dilution-info": "", "FlowCyt-species-notes": "<p></p>", "WB-species-checked": "testedAndGuaranteed", "WB-species-dilution-info": "1/1000 - 1/10000", "WB-species-notes": "<p></p>", "ICCIF-species-checked": "testedAndGuaranteed", "ICCIF-species-dilution-info": "1/100 - 1/250", "ICCIF-species-notes": "<p></p>" }, "Mouse": { "IHCP-species-checked": "predicted", "IHCP-species-dilution-info": "", "IHCP-species-notes": "", "IP-species-checked": "notRecommended", "IP-species-dilution-info": "", "IP-species-notes": "", "FlowCyt-species-checked": "notRecommended", "FlowCyt-species-dilution-info": "", "FlowCyt-species-notes": "", "WB-species-checked": "predicted", "WB-species-dilution-info": "", "WB-species-notes": "", "ICCIF-species-checked": "predicted", "ICCIF-species-dilution-info": "", "ICCIF-species-notes": "" }, "Rat": { "IHCP-species-checked": "predicted", "IHCP-species-dilution-info": "", "IHCP-species-notes": "", "IP-species-checked": "notRecommended", "IP-species-dilution-info": "", "IP-species-notes": "", "FlowCyt-species-checked": "notRecommended", "FlowCyt-species-dilution-info": "", "FlowCyt-species-notes": "", "WB-species-checked": "predicted", "WB-species-dilution-info": "", "WB-species-notes": "", "ICCIF-species-checked": "predicted", "ICCIF-species-dilution-info": "", "ICCIF-species-notes": "" } } }

Product details

Patented technology
Our RabMAb® technology is a patented hybridoma-based technology for making rabbit monoclonal antibodies. For details on our patents, please refer to RabMAb® patents.

What are the advantages of a recombinant monoclonal antibody?
This product is a recombinant monoclonal antibody, which offers several advantages including:

  • - High batch-to-batch consistency and reproducibility
  • - Improved sensitivity and specificity
  • - Long-term security of supply
  • - Animal-free batch production

For more information, read more on recombinant antibodies.

Properties and storage information

Form
Liquid
Purity
Tissue culture supernatant
Storage buffer
pH: 7.2 - 7.4 Preservative: 0.01% Sodium azide Constituents: PBS, 50% Tissue culture supernatant, 40% Glycerol (glycerin, glycerine), 0.05% BSA
Shipped at conditions
Blue Ice
Appropriate short-term storage duration
1-2 weeks
Appropriate short-term storage conditions
+4°C
Appropriate long-term storage conditions
-20°C
Aliquoting information
Upon delivery aliquot

Supplementary information

This supplementary information is collated from multiple sources and compiled automatically.

NELF-B also known as Negative Elongation Factor B functions mechanically as part of the NELF complex that interacts with RNA polymerase II to pause transcription elongation. NELF-B's mass is about 66 kDa. This protein primarily expresses in the nucleus of cells particularly in tissue types where transcription regulation is essential like neurons and muscle cells which require precise gene expression control.
Biological function summary

NELF-B plays a role in regulating gene expression by pausing RNA polymerase II during early elongation. It operates as part of the larger NELF complex which also includes instigates the pausing mechanism. The NELF complex allows for the fine-tuning of transcription and is important for processes involving cell differentiation and response to external stimuli.

Pathways

NELF-B integrates within transcriptional regulation and RNA processing pathways. It directly affects the transcription cycle by contributing to the controlled release of RNA polymerase II from the paused state. NELF-B relates to proteins like DSIF (DRB Sensitivity-Inducing Factor) which collaborates with the NELF complex to modulate transcription dynamics and ensure proper gene expression regulation.

Aberrant function or expression of NELF-B links to cancer and cardiac hypertrophy. In cancer the dysregulation of transcriptional pausing by NELF-B can lead to unchecked cell proliferation. NELF-B also interacts with proteins like MYC where altered expression can amplify oncogenic pathways. In cardiac hypertrophy improper transcription regulation impacts heart muscle cell function emphasizing NELF-B's role in maintaining cellular homeostasis.

Product protocols

For this product, it's our understanding that no specific protocols are required. You can visit:

Target data

Essential component of the NELF complex, a complex that negatively regulates the elongation of transcription by RNA polymerase II (PubMed : 12612062). The NELF complex, which acts via an association with the DSIF complex and causes transcriptional pausing, is counteracted by the P-TEFb kinase complex (PubMed : 10199401). May be able to induce chromatin unfolding (PubMed : 11739404). Essential for early embryogenesis; plays an important role in maintaining the undifferentiated state of embryonic stem cells (ESCs) by preventing unscheduled expression of developmental genes (By similarity). Plays a key role in establishing the responsiveness of stem cells to developmental cues; facilitates plasticity and cell fate commitment in ESCs by establishing the appropriate expression level of signaling molecules (By similarity). Supports the transcription of genes involved in energy metabolism in cardiomyocytes; facilitates the association of transcription initiation factors with the promoters of the metabolism-related genes (By similarity).. (Microbial infection) The NELF complex is involved in HIV-1 latency possibly involving recruitment of PCF11 to paused RNA polymerase II (PubMed : 23884411). In vitro, binds weakly to the HIV-1 TAR RNA which is located in the long terminal repeat (LTR) of HIV-1 (PubMed : 23884411).
See full target information NELFB

Publications (7)

Recent publications for all applications. Explore the full list and refine your search

Cell 186:327-345.e28 PubMed36603581

2023

Functional partitioning of transcriptional regulators by patterned charge blocks.

Applications

Unspecified application

Species

Unspecified reactive species

Heankel Lyons,Reshma T Veettil,Prashant Pradhan,Christy Fornero,Nancy De La Cruz,Keiichi Ito,Mikayla Eppert,Robert G Roeder,Benjamin R Sabari

Cell reports 41:111865 PubMed36577375

2022

Distinct patterns of RNA polymerase II and transcriptional elongation characterize mammalian genome activation.

Applications

Unspecified application

Species

Unspecified reactive species

Kenichiro Abe,Tamas Schauer,Maria-Elena Torres-Padilla

Mucosal immunology 15:279-288 PubMed34697434

2021

Epithelial NELF guards intestinal barrier function to ameliorate colitis by maintaining junctional integrity.

Applications

Unspecified application

Species

Unspecified reactive species

Jiayao Ou,Xiaoxing Guan,Jiali Wang,Tianjiao Wang,Bin Zhang,Rong Li,Huji Xu,Xiaoyu Hu,Xue-Kun Guo

Oncology letters 22:761 PubMed34539865

2021

Role of NELF-B in supporting epithelial-mesenchymal transition and cell proliferation during hepatocellular carcinoma progression.

Applications

Unspecified application

Species

Unspecified reactive species

Mennatallah Hani Ghouraba,Razan Jamil Masad,Eric Zadok Mpingirika,Omnia Mahmoud Abdelraheem,Rached Zeghlache,Aya M Alserw,Asma Amleh

Nature communications 11:2286 PubMed32385332

2020

Negative elongation factor complex enables macrophage inflammatory responses by controlling anti-inflammatory gene expression.

Applications

Unspecified application

Species

Unspecified reactive species

Li Yu,Bin Zhang,Dinesh Deochand,Maria A Sacta,Maddalena Coppo,Yingli Shang,Ziyi Guo,Xiaomin Zeng,David A Rollins,Bowranigan Tharmalingam,Rong Li,Yurii Chinenov,Inez Rogatsky,Xiaoyu Hu

EMBO reports 18:745-764 PubMed28336775

2017

NELF-E is recruited to DNA double-strand break sites to promote transcriptional repression and repair.

Applications

Unspecified application

Species

Unspecified reactive species

Samah W Awwad,Enas R Abu-Zhayia,Noga Guttmann-Raviv,Nabieh Ayoub

Oncology reports 37:1896-1906 PubMed28112367

2017

Knockdown of COBRA1 decreases the proliferation and migration of hepatocellular carcinoma cells.

Applications

Unspecified application

Species

Unspecified reactive species

Eman El Zeneini,Sarah Kamel,Mahmoud El-Meteini,Asma Amleh
View all publications

Product promise

We are committed to supporting your work with high-quality reagents, and we're here for you every step of the way. In the unlikely event that one of our products does not perform as expected, you're protected by our Product Promise.
For full details, please see our Terms & Conditions

Please note: All products are 'FOR RESEARCH USE ONLY. NOT FOR USE IN DIAGNOSTIC OR THERAPEUTIC PROCEDURES'.

For licensing inquiries, please contact partnerships@abcam.com