JavaScript is disabled in your browser. Please enable JavaScript to view this website.
AB197315

Anti-NELL1 antibody

Be the first to review this product! Submit a review

|

(3 Publications)

Rabbit Polyclonal NELL1 antibody. Suitable for WB, IHC-P and reacts with Human samples. Cited in 3 publications. Immunogen corresponding to Recombinant Fragment Protein within Human NELL1 aa 150-450.

View Alternative Names

NRP1, NELL1, Protein kinase C-binding protein NELL1, NEL-like protein 1, Nel-related protein 1

2 Images
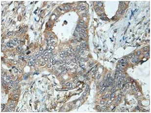
Immunohistochemistry (Formalin/PFA-fixed paraffin-embedded sections) - Anti-NELL1 antibody (AB197315)
  • IHC-P

Supplier Data

Immunohistochemistry (Formalin/PFA-fixed paraffin-embedded sections) - Anti-NELL1 antibody (AB197315)

Immunohistochemical analysis of formalin-fixed, paraffin-embedded Human colon carcinoma tissue labeling NELL1 with ab197315 at 1/100 dilution.

Western blot - Anti-NELL1 antibody (AB197315)
  • WB

Supplier Data

Western blot - Anti-NELL1 antibody (AB197315)

All lanes:

Western blot - Anti-NELL1 antibody (ab197315) at 1/500 dilution

All lanes:

HEK293 cell lysate

Predicted band size: 90 kDa

false

Key facts

Host species

Rabbit

Clonality

Polyclonal

Isotype

IgG

Carrier free

No

Reacts with

Human

Applications

IHC-P, WB

applications

Immunogen

Recombinant Fragment Protein within Human NELL1 aa 150-450. The exact immunogen used to generate this antibody is proprietary information.

Q92832

Reactivity data

{ "title": "Reactivity Data", "filters": { "stats": ["", "Species", "Dilution Info", "Notes"], "tabs": { "all-applications": {"fullname" : "All Applications", "shortname": "All Applications"}, "WB" : {"fullname" : "Western blot", "shortname":"WB"}, "IHCP" : {"fullname" : "Immunohistochemistry (Formalin/PFA-fixed paraffin-embedded sections)", "shortname":"IHC-P"} }, "product-promise": { "all": "all", "testedAndGuaranteed": "tested", "guaranteed": "expected", "predicted": "predicted", "notRecommended": "not-recommended" } }, "values": { "Human": { "WB-species-checked": "testedAndGuaranteed", "WB-species-dilution-info": "1/200 - 1/1000", "WB-species-notes": "<p></p>", "IHCP-species-checked": "testedAndGuaranteed", "IHCP-species-dilution-info": "1/100 - 1/500", "IHCP-species-notes": "<p></p>" }, "Mouse": { "WB-species-checked": "predicted", "WB-species-dilution-info": "", "WB-species-notes": "", "IHCP-species-checked": "predicted", "IHCP-species-dilution-info": "", "IHCP-species-notes": "" }, "Rat": { "WB-species-checked": "predicted", "WB-species-dilution-info": "", "WB-species-notes": "", "IHCP-species-checked": "predicted", "IHCP-species-dilution-info": "", "IHCP-species-notes": "" } } }

Properties and storage information

Form
Lyophilized
Reconstitution
Reconstitute in 200 ul sterile H2O.
Purification technique
Affinity purification Immunogen
Storage buffer
pH: 7.2 Preservative: 0.02% Sodium azide Constituents: PBS, 1% BSA
Shipped at conditions
Blue Ice
Appropriate short-term storage duration
1-2 weeks
Appropriate short-term storage conditions
+4°C
Appropriate long-term storage conditions
-20°C
Aliquoting information
Upon delivery aliquot
Storage information
Avoid freeze / thaw cycle

Supplementary information

This supplementary information is collated from multiple sources and compiled automatically.

NELL1 also known as Neural EGFL Like 1 is a protein primarily involved in cell signaling processes. Its molecular weight is approximately 87 kDa. NELL1 expresses in tissues such as bone cartilage blood vessels and the nervous system. It functions as a secreted glycoprotein and may play a role in mediating cellular communication.
Biological function summary

This protein influences cell growth differentiation and apoptosis. NELL1 is not known to be part of a multiprotein complex but it interacts with various factors that regulate tissue development. It has significant functions in osteogenesis and angiogenesis impacting bone formation and blood vessel formation. The presence of NELL1 is essential for normal skeletal development and repair.

Pathways

Multiple molecular interactions involve NELL1 in critical signaling pathways. NELL1 acts in the BMP signaling pathway an important player in bone and cartilage development. It also interacts with TGF-beta signaling pathways which regulate cell proliferation and differentiation. These interactions link NELL1 to proteins like BMP2 and TGF-beta receptors highlighting its role in cellular signaling dynamics.

NELL1 has associations with conditions like craniosynostosis and osteoporosis. Altered expression of NELL1 contributes to the premature fusion of skull bones in craniosynostosis. In osteoporosis NELL1 influences bone density and structure abnormalities. NELL1 also interacts with proteins such as RUNX2 which further contribute to the pathogenesis of these skeletal disorders.

Product protocols

For this product, it's our understanding that no specific protocols are required. You can visit:

Target data

Plays a role in the control of cell growth and differentiation. Promotes osteoblast cell differentiation and terminal mineralization.
See full target information NELL1

Publications (3)

Recent publications for all applications. Explore the full list and refine your search

Virchows Archiv : an international journal of pathology 486:991-1000 PubMed39249508

2024

Clinicopathological characteristics of neural epidermal growth factor-like 1 protein-associated membranous glomerulonephritis.

Applications

Unspecified application

Species

Unspecified reactive species

Toshiki Hyodo,Shigeo Hara,Shunsuke Goto,Hideki Fujii,Shinichi Nishi,Akihiro Yoshimoto,Tomoo Itoh

Oncology reports 41:1817-1826 PubMed30628703

2019

Effect of NELL1 on lung cancer stem‑like cell differentiation.

Applications

Unspecified application

Species

Unspecified reactive species

Yuanfen Zhai,Rongbin Wei,Shuang Sha,Chengzhao Lin,Heyong Wang,Xinquan Jiang,Gentao Liu

Brazilian journal of medical and biological resear 51:e6997 PubMed29694513

2018

miR-27a protects human mitral valve interstitial cell from TNF-α-induced inflammatory injury via up-regulation of NELL-1.

Applications

Unspecified application

Species

Unspecified reactive species

Honglei Chen,Zhixu Zhang,Li Zhang,Junzhi Wang,Minghui Zhang,Bin Zhu
View all publications

Product promise

We are committed to supporting your work with high-quality reagents, and we're here for you every step of the way. In the unlikely event that one of our products does not perform as expected, you're protected by our Product Promise.
For full details, please see our Terms & Conditions

Please note: All products are 'FOR RESEARCH USE ONLY. NOT FOR USE IN DIAGNOSTIC OR THERAPEUTIC PROCEDURES'.

For licensing inquiries, please contact partnerships@abcam.com