JavaScript is disabled in your browser. Please enable JavaScript to view this website.
AB240781

Anti-NELL2 antibody

Be the first to review this product! Submit a review

|

(1 Publication)

Rabbit Polyclonal NELL2 antibody. Suitable for IHC-P and reacts with Human samples. Cited in 1 publication. Immunogen corresponding to Recombinant Fragment Protein within Human NELL2 aa 350-450.

View Alternative Names

NRP2, NELL2, Protein kinase C-binding protein NELL2, NEL-like protein 2, Nel-related protein 2

4 Images
Immunohistochemistry (Formalin/PFA-fixed paraffin-embedded sections) - Anti-NELL2 antibody (AB240781)
  • IHC-P

Unknown

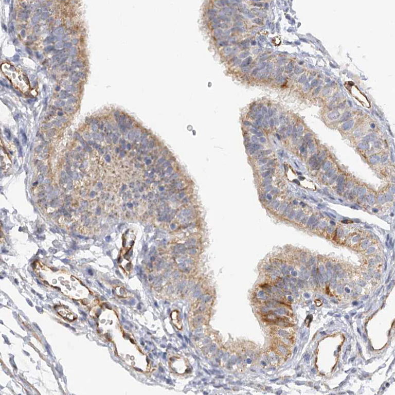
Immunohistochemistry (Formalin/PFA-fixed paraffin-embedded sections) - Anti-NELL2 antibody (AB240781)

Paraffin-embedded human fallopian tube tissue stained for NELL2 using ab240781 at 1/200 dilution in immunohistochemical analysis.

Immunohistochemistry (Formalin/PFA-fixed paraffin-embedded sections) - Anti-NELL2 antibody (AB240781)
  • IHC-P

Supplier Data

Immunohistochemistry (Formalin/PFA-fixed paraffin-embedded sections) - Anti-NELL2 antibody (AB240781)

Paraffin-embedded human cerebral cortex tissue stained for NELL2 using ab240781 at 1/200 dilution in immunohistochemical analysis.

Immunohistochemistry (Formalin/PFA-fixed paraffin-embedded sections) - Anti-NELL2 antibody (AB240781)
  • IHC-P

Supplier Data

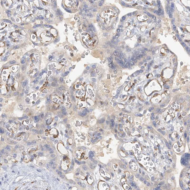
Immunohistochemistry (Formalin/PFA-fixed paraffin-embedded sections) - Anti-NELL2 antibody (AB240781)

Paraffin-embedded human placenta tissue stained for NELL2 using ab240781 at 1/200 dilution in immunohistochemical analysis.

Immunohistochemistry (Formalin/PFA-fixed paraffin-embedded sections) - Anti-NELL2 antibody (AB240781)
  • IHC-P

Supplier Data

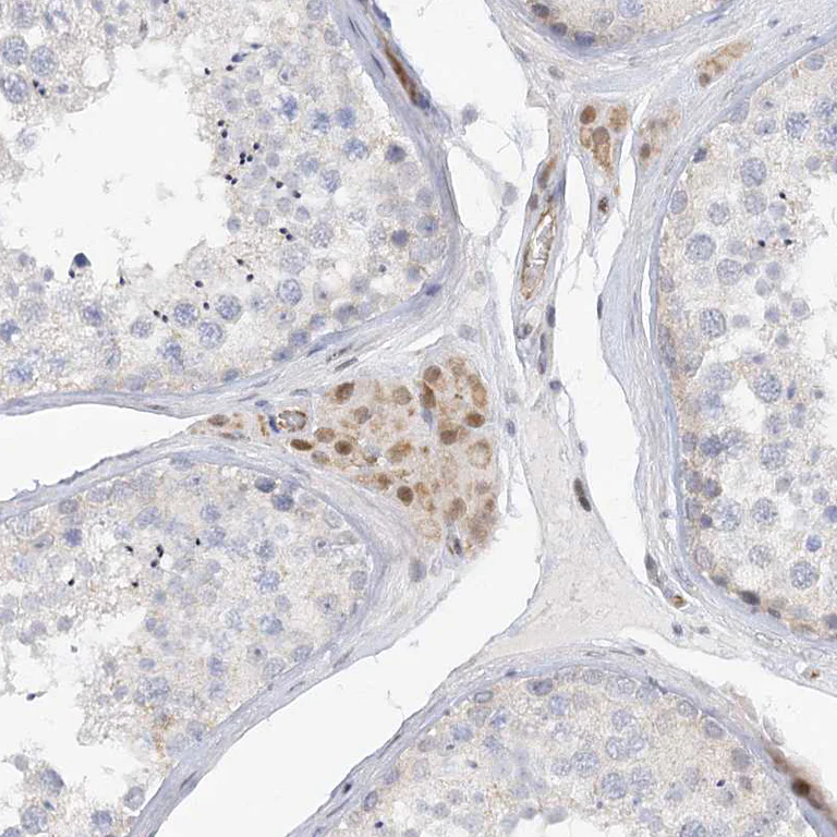
Immunohistochemistry (Formalin/PFA-fixed paraffin-embedded sections) - Anti-NELL2 antibody (AB240781)

Paraffin-embedded human testis tissue stained for NELL2 using ab240781 at 1/200 dilution in immunohistochemical analysis.

Key facts

Host species

Rabbit

Clonality

Polyclonal

Isotype

IgG

Carrier free

No

Reacts with

Human

Applications

IHC-P

applications

Immunogen

Recombinant Fragment Protein within Human NELL2 aa 350-450. The exact immunogen used to generate this antibody is proprietary information.

Q99435

Reactivity data

{ "title": "Reactivity Data", "filters": { "stats": ["", "Species", "Dilution Info", "Notes"], "tabs": { "all-applications": {"fullname" : "All Applications", "shortname": "All Applications"}, "IHCP" : {"fullname" : "Immunohistochemistry (Formalin/PFA-fixed paraffin-embedded sections)", "shortname":"IHC-P"} }, "product-promise": { "all": "all", "testedAndGuaranteed": "tested", "guaranteed": "expected", "predicted": "predicted", "notRecommended": "not-recommended" } }, "values": { "Human": { "IHCP-species-checked": "testedAndGuaranteed", "IHCP-species-dilution-info": "1/50 - 1/200", "IHCP-species-notes": "<p></p> Perform heat-mediated antigen retrieval with citrate buffer pH 6 before commencing with IHC staining protocol." }, "Mouse": { "IHCP-species-checked": "predicted", "IHCP-species-dilution-info": "", "IHCP-species-notes": "" }, "Rat": { "IHCP-species-checked": "predicted", "IHCP-species-dilution-info": "", "IHCP-species-notes": "" }, "Orangutan": { "IHCP-species-checked": "predicted", "IHCP-species-dilution-info": "", "IHCP-species-notes": "" } } }

Properties and storage information

Form
Liquid
Purification technique
Affinity purification Immunogen
Storage buffer
pH: 7.2 Preservative: 0.02% Sodium azide Constituents: PBS, 40% Glycerol (glycerin, glycerine)
Shipped at conditions
Blue Ice
Appropriate short-term storage duration
1-2 weeks
Appropriate short-term storage conditions
+4°C
Appropriate long-term storage conditions
-20°C
Aliquoting information
Upon delivery aliquot
Storage information
Avoid freeze / thaw cycle

Supplementary information

This supplementary information is collated from multiple sources and compiled automatically.

NELL2 also known as NEL-like protein 2 is a secreted glycoprotein with a molecular mass approximately 92 kDa. This protein shows high expression in neural tissues particularly in the brain and spinal cord. NELL2 possesses six EGF-like domains and other motifs suggesting a role in cell-cell signaling. NELL2 actively functions in mediating neuronal differentiation and synaptic plasticity which are important for brain function.
Biological function summary

NELL2 plays a significant role in the development and regeneration of the nervous system. It does not appear to form part of a larger complex but interacts with various receptors on cell surfaces. NELL2 contributes to axon guidance promoting the survival and differentiation of specific neuron populations. Additionally NELL2 contributes to processes like learning and memory through its impact on synaptic formation and stability.

Pathways

NELL2 influences neuronal signaling pathways. It impacts the Nogo receptor pathway where it potentially competes or coordinates with proteins like Nogo and NgR1. This pathway is important for axonal outgrowth and regeneration. Furthermore NELL2 has involvement in pathways regulating synaptic activity where it interacts with other proteins that modulate neurotransmission affecting overall neural circuit dynamics.

NELL2 is linked to neurodegenerative conditions such as Alzheimer's disease and certain neurodevelopmental disorders. It shows altered expression in disease states implicating its role in synaptic dysfunction and neuronal loss. In Alzheimer's disease NELL2 may interact with amyloid precursor protein (APP) or tau proteins which are critical in disease pathology. Additionally its dysregulation can associate with autism spectrum disorders impacting neural connections linked to cognitive functions.

Product protocols

For this product, it's our understanding that no specific protocols are required. You can visit:

Target data

Plays multiple roles in neural tissues, regulates neuronal proliferation, survival, differentiation, polarization, as well as axon guidance and synaptic functions. Plays an important role in axon development during neuronal differentiation through the MAPK intracellular signaling pathway (By similarity). Via binding to its receptor ROBO3, plays a role in axon guidance, functioning as a repulsive axon guidance cue that contributes to commissural axon guidance to the midline (PubMed : 32198364). Required for neuron survival through the modulation of MAPK signaling pathways too. Involved in the regulation of hypothalamic GNRH secretion and the control of puberty (By similarity).. Epididymal-secreted protein that signals through a ROS1-pathway to regulate the epididymal initial segment (IS) maturation, sperm maturation and male fertility.
See full target information NELL2

Publications (1)

Recent publications for all applications. Explore the full list and refine your search

Biomarkers in medicine 18:523-533 PubMed39082977

2024

High PLK3 levels are linked with less tumor invasion, lower FIGO stage and better prognosis of endometrial cancer.

Applications

Unspecified application

Species

Unspecified reactive species

Weiyue Zhou,Jurong Wang,Fen Tian,Ping Liu,Meiyan Li,Chunli Song,Yixin Zhang,Xiaoming Yang,Xiaohuan Nie,Yuanyuan Shi
View all publications

Product promise

We are committed to supporting your work with high-quality reagents, and we're here for you every step of the way. In the unlikely event that one of our products does not perform as expected, you're protected by our Product Promise.
For full details, please see our Terms & Conditions

Please note: All products are 'FOR RESEARCH USE ONLY. NOT FOR USE IN DIAGNOSTIC OR THERAPEUTIC PROCEDURES'.

For licensing inquiries, please contact partnerships@abcam.com