JavaScript is disabled in your browser. Please enable JavaScript to view this website.
AB302542

Anti-Neogenin antibody [EPR25220-56]

  • 20ul selling size
  • KO Validated
  • RabMAb
  • Recombinant
  • What is this?

Be the first to review this product! Submit a review

|

(0 Publication)

Knockout Tested Rabbit Recombinant Monoclonal Neogenin antibody. Suitable for WB, ICC/IF, IP and reacts with Human samples.

View Alternative Names

IGDCC2, NGN, NEO1, Neogenin, Immunoglobulin superfamily DCC subclass member 2

6 Images
Immunocytochemistry/ Immunofluorescence - Anti-Neogenin antibody [EPR25220-56] (AB302542)
  • ICC/IF

Supplier Data

Immunocytochemistry/ Immunofluorescence - Anti-Neogenin antibody [EPR25220-56] (AB302542)

Immunofluorescent analysis of 4% Paraformaldehyde-fixed, 0.1% TritonX-100 permeabilized A549 (human lung carcinoma epithelial cell) cells labelling Neogenin with ab302542 at 1/50 (10.08 ug/ml) dilution, followed by ab150081 Goat Anti-Rabbit IgG H&L (Alexa Fluor® 488) preadsorbed antibody at 1/1000 2 ug/mL dilution (Green). Confocal image showing membranal and cytoplasmic staining in A549 cell line is observed. ab195889 Anti-alpha Tubulin mouse monoclonal antibody - Microtubule Marker (Alexa Fluor® 594) was used to counterstain tubulin at 1/200 2.5ug/ml dilution (Red). The Nuclear counterstain was DAPI (Blue). Secondary antibody only control : Secondary antibody is ab150081 Goat Anti-Rabbit IgG H&L (Alexa Fluor® 488) preadsorbed at 1/1000 2 ug/mL dilution.

Immunocytochemistry/ Immunofluorescence - Anti-Neogenin antibody [EPR25220-56] (AB302542)
  • ICC/IF

Supplier Data

Immunocytochemistry/ Immunofluorescence - Anti-Neogenin antibody [EPR25220-56] (AB302542)

Immunofluorescent analysis of 4% Paraformaldehyde-fixed, 0.1% TritonX-100 permeabilized SW480 (human colorectal adenocarcinoma epithelial cell) cells labelling Neogenin with ab302542 at 1/50 (10.08 ug/ml) dilution, followed by ab150081 Goat Anti-Rabbit IgG H&L (Alexa Fluor® 488) preadsorbed antibody at 1/1000 2 ug/mL dilution (Green). Confocal image showing membranal and cytoplasmic staining in SW480 cell line is observed. ab195889 Anti-alpha Tubulin mouse monoclonal antibody - Microtubule Marker (Alexa Fluor® 594) was used to counterstain tubulin at 1/200 2.5ug/ml dilution (Red). The Nuclear counterstain was DAPI (Blue). Secondary antibody only control : Secondary antibody is ab150081 Goat Anti-Rabbit IgG H&L (Alexa Fluor® 488) preadsorbed at 1/1000 2 ug/mL dilution.

Western blot - Anti-Neogenin antibody [EPR25220-56] (AB302542)
  • WB

Lab

Western blot - Anti-Neogenin antibody [EPR25220-56] (AB302542)

Western blot : Anti-NEO1 antibody [EPR25220-56] (ab302542) staining at 1/1000 dilution, shown in green; Mouse anti-Alpha Tubulin [DM1A] (ab7291) loading control staining at 1/20000 dilution, shown in magenta. In Western blot, ab302542 was shown to bind specifically to NEO1. A band was observed at 110-200 kDa in wild-type A549 cell lysates with no signal observed at this size in NEO1 knockout cell line ab282825 (knockout cell lysate ab283049). To generate this image, wild-type and NEO1 knockout A549 cell lysates were analysed. First, samples were run on an SDS-PAGE gel then transferred onto a nitrocellulose membrane. Membranes were blocked in 3% milk in TBS-0.1% Tween® 20 (TBS-T) before incubation with primary antibodies overnight at 4°C. Blots were washed four times in TBS-T, incubated with secondary antibodies for 1 h at room temperature, washed again four times then imaged. Secondary antibodies used were Goat anti-Rabbit IgG H&L 800CW and Goat anti-Mouse IgG H&L 680RD at 1/20000 dilution

All lanes:

Western blot - Anti-Neogenin antibody [EPR25220-56] (ab302542)

Lane 1:

Wild-type A549 cell lysate at 20 µg

Lane 2:

NEO1 knockout A549 cell lysate at 20 µg

Lane 3:

SH-SY5Y cell lysate at 20 µg

Lane 4:

Western blot at 20 µg

Observed band size: 110-200 kDa

true

Western blot - Anti-Neogenin antibody [EPR25220-56] (AB302542)
  • WB

Supplier Data

Western blot - Anti-Neogenin antibody [EPR25220-56] (AB302542)

Blocking and diluting buffer and concentration : 5% NFDM/TBST

All lanes:

Western blot - Anti-Neogenin antibody [EPR25220-56] (ab302542) at 1/1000 dilution

Lane 1:

His-tagged human Neogenin recombinant protein 10 ng

Lane 2:

His-tagged human DCC recombinant protein 10 ng

Secondary

All lanes:

Western blot - Goat Anti-Rabbit IgG H&L (HRP) (<a href='/en-us/products/secondary-antibodies/goat-rabbit-igg-h-l-hrp-ab97051'>ab97051</a>) at 1/100000 dilution

Observed band size: 60 kDa

false

Exposure time: 3min

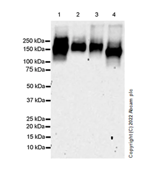
Western blot - Anti-Neogenin antibody [EPR25220-56] (AB302542)
  • WB

Supplier Data

Western blot - Anti-Neogenin antibody [EPR25220-56] (AB302542)

Blocking and diluting buffer and concentration : 5% NFDM/TBST The expression molecular weight observed is consistent with what has been described in the literature (PMID : 30858446, 33088218).

All lanes:

Western blot - Anti-Neogenin antibody [EPR25220-56] (ab302542) at 1/1000 dilution

Lane 1:

SW480 (human colorectal adenocarcinoma epithelial cell) whole cell lysate 20 µg

Lane 2:

Caco-2 (human colorectal adenocarcinoma epithelial cell) whole cell lysate 20 µg

Lane 3:

Untreated A549 (human lu carcinoma epithelial cell) whole cell lysate 20 µg

Lane 4:

A549 whole cell lysate treated with Protein Deglycosylation MIX II, 20 µg

Secondary

All lanes:

Western blot - Goat Anti-Rabbit IgG H&L (HRP) (<a href='/en-us/products/secondary-antibodies/goat-rabbit-igg-h-l-hrp-ab97051'>ab97051</a>) at 1/20000 dilution

Observed band size: 210 kDa,160 kDa

false

Exposure time: 3min

Western blot - Anti-Neogenin antibody [EPR25220-56] (AB302542)
  • WB

Supplier Data

Western blot - Anti-Neogenin antibody [EPR25220-56] (AB302542)

Blocking and diluting buffer and concentration : 5% NFDM/TBST

All lanes:

Western blot - Anti-Neogenin antibody [EPR25220-56] (ab302542) at 1/1000 dilution

Lane 1:

A549 (human lu carcinoma epithelial cell) transfected with scrambled siRNA control, whole cell lysate 20 µg

Lane 2:

A549 transfected with siRNA specifically targeting Neogenin), whole cell lysate 20 µg

Secondary

All lanes:

Western blot - Goat Anti-Rabbit IgG H&L (HRP) (<a href='/en-us/products/secondary-antibodies/goat-rabbit-igg-h-l-hrp-ab97051'>ab97051</a>) at 1/20000 dilution

Observed band size: 210 kDa

false

Exposure time: 26s

  • Carrier free

    Anti-Neogenin antibody [EPR25220-56] (BSA and Azide free)

Key facts

Host species

Rabbit

Clonality

Monoclonal

Clone number

EPR25220-56

Isotype

IgG

Carrier free

No

Reacts with

Human

Applications

ICC/IF, WB, IP

applications

Immunogen

The exact immunogen used to generate this antibody is proprietary information.

Reactivity data

{ "title": "Reactivity Data", "filters": { "stats": ["", "Species", "Dilution Info", "Notes"], "tabs": { "all-applications": {"fullname" : "All Applications", "shortname": "All Applications"}, "WB" : {"fullname" : "Western blot", "shortname":"WB"}, "IHCP" : {"fullname" : "Immunohistochemistry (Formalin/PFA-fixed paraffin-embedded sections)", "shortname":"IHC-P"}, "ICCIF" : {"fullname" : "Immunocytochemistry/ Immunofluorescence", "shortname":"ICC/IF"}, "IP" : {"fullname" : "Immunoprecipitation", "shortname":"IP"}, "FlowCyt" : {"fullname" : "Flow Cytometry", "shortname":"Flow Cyt"} }, "product-promise": { "all": "all", "testedAndGuaranteed": "tested", "guaranteed": "expected", "predicted": "predicted", "notRecommended": "not-recommended" } }, "values": { "Human": { "WB-species-checked": "testedAndGuaranteed", "WB-species-dilution-info": "1/1000", "WB-species-notes": "<p></p>", "IHCP-species-checked": "notRecommended", "IHCP-species-dilution-info": "1/100", "IHCP-species-notes": "<p></p>", "ICCIF-species-checked": "testedAndGuaranteed", "ICCIF-species-dilution-info": "1/50", "ICCIF-species-notes": "<p></p>", "IP-species-checked": "testedAndGuaranteed", "IP-species-dilution-info": "1/30", "IP-species-notes": "<p></p>", "FlowCyt-species-checked": "notRecommended", "FlowCyt-species-dilution-info": "", "FlowCyt-species-notes": "<p></p>" }, "Mouse": { "WB-species-checked": "notRecommended", "WB-species-dilution-info": "1/1000", "WB-species-notes": "<p></p>", "IHCP-species-checked": "notRecommended", "IHCP-species-dilution-info": "1/100", "IHCP-species-notes": "<p></p>", "ICCIF-species-checked": "notRecommended", "ICCIF-species-dilution-info": "1/50", "ICCIF-species-notes": "<p></p>", "IP-species-checked": "notRecommended", "IP-species-dilution-info": "1/30", "IP-species-notes": "<p></p>", "FlowCyt-species-checked": "notRecommended", "FlowCyt-species-dilution-info": "", "FlowCyt-species-notes": "<p></p>" }, "Rat": { "WB-species-checked": "notRecommended", "WB-species-dilution-info": "", "WB-species-notes": "", "IHCP-species-checked": "notRecommended", "IHCP-species-dilution-info": "1/100", "IHCP-species-notes": "<p></p>", "ICCIF-species-checked": "notRecommended", "ICCIF-species-dilution-info": "", "ICCIF-species-notes": "", "IP-species-checked": "notRecommended", "IP-species-dilution-info": "", "IP-species-notes": "", "FlowCyt-species-checked": "notRecommended", "FlowCyt-species-dilution-info": "", "FlowCyt-species-notes": "" } } }

Product details

Want a custom formulation?
This antibody clone is manufactured by Abcam. If you require a custom buffer formulation or conjugation for your experiments, please contact orders@abcam.com

Patented technology
Our RabMAb® technology is a patented hybridoma-based technology for making rabbit monoclonal antibodies. For details on our patents, please refer to RabMAb® patents.

What are the advantages of a recombinant monoclonal antibody?
This product is a recombinant monoclonal antibody, which offers several advantages including:

  • - High batch-to-batch consistency and reproducibility
  • - Improved sensitivity and specificity
  • - Long-term security of supply
  • - Animal-free batch production

For more information, read more on recombinant antibodies.

Properties and storage information

Form
Liquid
Purification technique
Affinity purification Protein A
Storage buffer
pH: 7.2 - 7.4 Preservative: 0.01% Sodium azide Constituents: PBS, 40% Glycerol (glycerin, glycerine), 0.05% BSA
Shipped at conditions
Blue Ice
Appropriate short-term storage duration
1-2 weeks
Appropriate short-term storage conditions
+4°C
Appropriate long-term storage conditions
-20°C
Aliquoting information
Upon delivery aliquot
Storage information
Avoid freeze / thaw cycle

Supplementary information

This supplementary information is collated from multiple sources and compiled automatically.

Neogenin also known as NEO1 acts as an important receptor involved in cell adhesion migration and neural development. It weighs approximately 186 kDa. Neogenin binds to netrins and repulsive guidance molecules (RGMs) playing a role in the organization of neural circuits. Expressed in tissues such as the developing nervous system muscle tissue and some cancer cells Neogenin collaborates with cellular structures to influence growth and directionality.
Biological function summary

Neogenin influences cell orientation and axon guidance. It forms part of receptor complexes that include proteins like RGM and attracts molecules involved in neural signal transmission. Through these complexes Neogenin impacts processes such as synaptic development and neuronal positioning. Its activity allows for proper nervous system formation and function contributing to precise cellular communication.

Pathways

Neogenin participates in the signaling pathways important for neural pattern formation and tissue structuring. The Netrin signaling pathway is important for neuron navigation where Neogenin interacts with proteins like DCC (Deleted in Colorectal Cancer). Neogenin also engages in the Bone Morphogenetic Protein (BMP) pathways regulating cellular differentiation and tissue architecture.

Neogenin mutations or irregular expressions often associate with neurological disorders and cancer. In particular its dysregulation links to conditions such as brain tumors and congenital brain malformations. In cancer pathways Neogenin connects with proteins like Netrin-1 influencing pathways that lead to tumorigenesis and tumor progression. Understanding Neogenin interactions can help in developing therapeutic strategies targeting these diseases.

Product protocols

For this product, it's our understanding that no specific protocols are required. You can visit:

Target data

Multi-functional cell surface receptor regulating cell adhesion in many diverse developmental processes, including neural tube and mammary gland formation, myogenesis and angiogenesis. Receptor for members of the BMP, netrin, and repulsive guidance molecule (RGM) families. Netrin-Neogenin interactions result in a chemoattractive axon guidance response and cell-cell adhesion, the interaction between NEO1/Neogenin and RGMa and RGMb induces a chemorepulsive response.
See full target information NEO1

Product promise

We are committed to supporting your work with high-quality reagents, and we're here for you every step of the way. In the unlikely event that one of our products does not perform as expected, you're protected by our Product Promise.
For full details, please see our Terms & Conditions

Please note: All products are 'FOR RESEARCH USE ONLY. NOT FOR USE IN DIAGNOSTIC OR THERAPEUTIC PROCEDURES'.

For licensing inquiries, please contact partnerships@abcam.com