JavaScript is disabled in your browser. Please enable JavaScript to view this website.
AB216341

Anti-Nephrin antibody [EPR20993]

4

(1 Review)

|

(48 Publications)

Anti-Nephrin antibody [EPR20993] (ab216341) is a rabbit monoclonal antibody detecting Nephrin in Western Blot, IP, IHC-P, IHC-Fr. Suitable for Human, Mouse, Rat.

- Biophysical QC for unrivalled batch-batch consistency
- Over 40 publications

View Alternative Names

NPHN, NPHS1, Nephrin, Renal glomerulus-specific cell adhesion receptor

10 Images
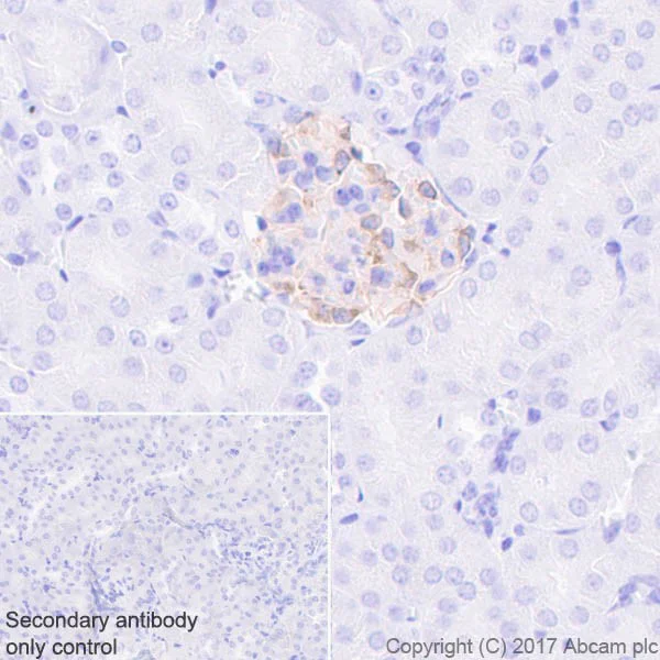
Immunohistochemistry (Formalin/PFA-fixed paraffin-embedded sections) - Anti-Nephrin antibody [EPR20993] (AB216341)
  • IHC-P

Supplier Data

Immunohistochemistry (Formalin/PFA-fixed paraffin-embedded sections) - Anti-Nephrin antibody [EPR20993] (AB216341)

Immunohistochemical analysis of paraffin-embedded rat kidney tissue labeling Nephrin with ab216341 at 1/2000 dilution, followed by Goat Anti-Rabbit IgG H&L (HRP) Ready to use. Membranous staining on rat renal glomerulus (PMID : 18599604; PMID : 25367693). Counter stained with hematoxylin. Heat mediated antigen retrieval was performed using Tris/EDTA buffer pH 9.0 before commencing with IHC staining protocol.

Secondary antibody only control : Used PBS instead of primary antibody, secondary antibody is Goat Anti-Rabbit IgG H&L (HRP) Ready to use.

Western blot - Anti-Nephrin antibody [EPR20993] (AB216341)
  • WB

Supplier Data

Western blot - Anti-Nephrin antibody [EPR20993] (AB216341)

Blocking/Dilution buffer : 5% NFDM/TBST.

The MW is consistent with the literature (PMID 11733379).

All lanes:

Western blot - Anti-Nephrin antibody [EPR20993] (ab216341) at 1/1000 dilution

Lane 1:

Mouse kidney lysate at 10 µg

Lane 2:

Mouse spleen lysate at 10 µg

Secondary

All lanes:

Western blot - Goat Anti-Rabbit IgG H&L (HRP) (<a href='/en-us/products/secondary-antibodies/goat-rabbit-igg-h-l-hrp-ab97051'>ab97051</a>) at 1/100000 dilution

Predicted band size: 134 kDa

Observed band size: 200 kDa

true

Exposure time: 3min

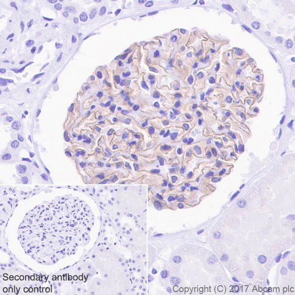
Immunohistochemistry (Formalin/PFA-fixed paraffin-embedded sections) - Anti-Nephrin antibody [EPR20993] (AB216341)
  • IHC-P

Supplier Data

Immunohistochemistry (Formalin/PFA-fixed paraffin-embedded sections) - Anti-Nephrin antibody [EPR20993] (AB216341)

Immunohistochemical analysis of paraffin-embedded human kidney tissue labeling Nephrin with ab216341 at 1/1000 dilution, followed by Goat Anti-Rabbit IgG H&L (HRP) Ready to use. Membranous staining on human renal glomerulus (PMID : 18599604; PMID : 25367693). Counter stained with hematoxylin. Heat mediated antigen retrieval was performed using Tris/EDTA buffer pH 9.0 before commencing with IHC staining protocol.

Secondary antibody only control : Used PBS instead of primary antibody, secondary antibody is Goat Anti-Rabbit IgG H&L (HRP) Ready to use.

Primary antibody incubation overnight at +4°C is recommended for human species

Immunohistochemistry (Frozen sections) - Anti-Nephrin antibody [EPR20993] (AB216341)
  • IHC-Fr

Supplier Data

Immunohistochemistry (Frozen sections) - Anti-Nephrin antibody [EPR20993] (AB216341)

Immunohistochemical analysis of 4% paraformaldehyde-fixed, 0.2% Triton X-100 permeabilized frozen mouse kidney tissue labeling Nephrin with ab216341 at 1/500 dilution, followed by Goat Anti-Rabbit IgG H&L (Alexa Fluor® 488) (ab150077) secondary antibody at 1/1000 dilution (green). Positive cytoplasmic staining in the glomerular podocytes (PMID : 26380915).

The nuclear counter stain is DAPI (blue).

Secondary antibody only control : Used PBS instead of primary antibody, secondary antibody is Goat Anti-Rabbit IgG H&L (Alexa Fluor® 488) (ab150077) secondary antibody at 1/1000 dilution.

Immunohistochemistry (Frozen sections) - Anti-Nephrin antibody [EPR20993] (AB216341)
  • IHC-Fr

Unknown

Immunohistochemistry (Frozen sections) - Anti-Nephrin antibody [EPR20993] (AB216341)

Immunohistochemical analysis of 4% paraformaldehyde-fixed, 0.2% Triton X-100 permeabilized frozen rat kidney tissue labeling Nephrin with ab216341 at 1/500 dilution, followed by Goat Anti-Rabbit IgG H&L (Alexa Fluor® 488) (ab150077) secondary antibody at 1/1000 dilution (green). Positive cytoplasmic staining in the glomerular podocytes (PMID : 26380915).

The nuclear counter stain is DAPI (blue).

Secondary antibody only control : Used PBS instead of primary antibody, secondary antibody is Goat Anti-Rabbit IgG H&L (Alexa Fluor® 488) (ab150077) secondary antibody at 1/1000 dilution.

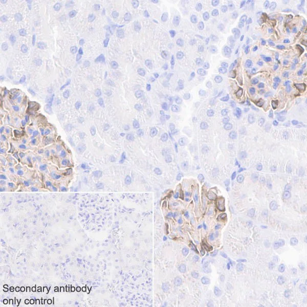
Immunohistochemistry (Formalin/PFA-fixed paraffin-embedded sections) - Anti-Nephrin antibody [EPR20993] (AB216341)
  • IHC-P

Supplier Data

Immunohistochemistry (Formalin/PFA-fixed paraffin-embedded sections) - Anti-Nephrin antibody [EPR20993] (AB216341)

Immunohistochemical analysis of paraffin-embedded mouse kidney tissue labeling Nephrin with ab216341 at 1/2000 dilution, followed by Goat Anti-Rabbit IgG H&L (HRP) Ready to use. Membranous staining on mouse renal glomerulus (PMID : 18599604; PMID : 25367693). Counter stained with hematoxylin. Heat mediated antigen retrieval was performed using Tris/EDTA buffer pH 9.0 before commencing with IHC staining protocol.

Secondary antibody only control : Used PBS instead of primary antibody, secondary antibody is Goat Anti-Rabbit IgG H&L (HRP) Ready to use.

Immunoprecipitation - Anti-Nephrin antibody [EPR20993] (AB216341)
  • IP

Supplier Data

Immunoprecipitation - Anti-Nephrin antibody [EPR20993] (AB216341)

Nephrin was immunoprecipitated from 0.35 mg of mouse kidney lysate with ab216341 at 1/30 dilution. Western blot was performed from the immunoprecipitate using ab216341 at 1/500 dilution. VeriBlot for IP Detection Reagent (HRP) (ab131366), was used for detection at 1/10,000 dilution

Lane 1 : Mouse kidney lysate 10 μg (Input).

Lane 2 : ab216341 IP in mouse kidney lysate.

Lane 3 : Rabbit monoclonal IgG (ab172730) instead of ab216341 in mouse kidney lysate.

Blocking and dilution buffer and concentration : 5% NFDM/TBST.

Exposure time : 30 seconds.

Perform heat mediated antigen retrieval with Tris/EDTA buffer pH 9.0 before commencing with IHC staining protocol.

Perform heat mediated antigen retrieval with Tris/EDTA buffer pH 9.0 before commencing with IHC staining protocol.

All lanes:

Immunoprecipitation - Anti-Nephrin antibody [EPR20993] (ab216341)

Predicted band size: 134 kDa

false

Western blot - Anti-Nephrin antibody [EPR20993] (AB216341)
  • WB

Supplier Data

Western blot - Anti-Nephrin antibody [EPR20993] (AB216341)

Blocking/Dilution buffer : 5% NFDM/TBST.

All lanes:

Western blot - Anti-Nephrin antibody [EPR20993] (ab216341) at 1/10000 dilution

All lanes:

His-tagged mouse nephrin (aa1001-1250) recombinant protein at 0.01 µg

Secondary

All lanes:

Western blot - Goat Anti-Rabbit IgG H&L (HRP) (<a href='/en-us/products/secondary-antibodies/goat-rabbit-igg-h-l-hrp-ab97051'>ab97051</a>) at 1/100000 dilution

Predicted band size: 134 kDa

Observed band size: 38 kDa

true

Exposure time: 15s

Western blot - Anti-Nephrin antibody [EPR20993] (AB216341)
  • WB

Supplier Data

Western blot - Anti-Nephrin antibody [EPR20993] (AB216341)

Blocking/Dilution buffer : 5% NFDM/TBST.

Use high sensitivity ECL to obtain a strong signal.

All lanes:

Western blot - Anti-Nephrin antibody [EPR20993] (ab216341) at 1/1000 dilution

All lanes:

Rat kidney lysate at 10 µg

Secondary

All lanes:

Western blot - Goat Anti-Rabbit IgG H&L (HRP) (<a href='/en-us/products/secondary-antibodies/goat-rabbit-igg-h-l-hrp-ab97051'>ab97051</a>) at 1/20000 dilution

Predicted band size: 134 kDa

Observed band size: 200 kDa

true

Exposure time: 15s

Western blot - Anti-Nephrin antibody [EPR20993] (AB216341)
  • WB

CiteAb

Western blot - Anti-Nephrin antibody [EPR20993] (AB216341)

Nephrin western blot using anti-Nephrin antibody [EPR20993] ab216341. Publication image and figure legend from Gong, Q., He, L. L., et al., 2019, Evid Based Complement Alternat Med, PubMed 31275420.

ab216341 was used in this publication in western blot. This may not be the same as the application(s) guaranteed by Abcam. For a full list of applications guaranteed by Abcam for ab216341 please see the product overview.

Fibrosis of kidney and expressions of the factors after the intravenous administration of B4. (a)–(f) Morphology of kidney (200×amplification). (a) normal; (b) model; (c) prednisolone (Predn.); (d) B4 (2.5 mg/kg); (e) B4 (1.25 mg/kg); (f) B4 (0.625 mg/kg); (g) the statistical analysis of the fibrosis in the kidney images by using grayscale scanning. (h)-(j) Protein expression of nephrin and podocin. The data were shown as mean ± SEM from 10 rats in each group. ##, compared with the normal control, p < 0.01. *, **, compared with model groups, p < 0.05 & p < 0.01. NS means no significance.

false

  • Carrier free

    Anti-Nephrin antibody [EPR20993] - BSA and Azide free

  • 617 Alexa Fluor® 594

    Alexa Fluor® 594 Anti-Nephrin antibody [EPR20993]

  • 565 Alexa Fluor® 555

    Alexa Fluor® 555 Anti-Nephrin antibody [EPR20993]

  • 519 Alexa Fluor® 488

    Alexa Fluor® 488 Anti-Nephrin antibody [EPR20993]

  • 660 APC

    APC Anti-Nephrin antibody [EPR20993]

  • 578 PE

    PE Anti-Nephrin antibody [EPR20993]

  • 775 Alexa Fluor® 750

    Alexa Fluor® 750 Anti-Nephrin antibody [EPR20993]

Key facts

Host species

Rabbit

Clonality

Monoclonal

Clone number

EPR20993

Isotype

IgG

Carrier free

No

Reacts with

Mouse, Rat, Human

Applications

WB, IHC-P, IHC-Fr, IP

applications

Immunogen

The exact immunogen used to generate this antibody is proprietary information.

Specificity

Human species is recommended based on IHC-P results, we do not guarantee WB and IHC-Frozen for human.

Reactivity data

{ "title": "Reactivity Data", "filters": { "stats": ["", "Species", "Dilution Info", "Notes"], "tabs": { "all-applications": {"fullname" : "All Applications", "shortname": "All Applications"}, "IP" : {"fullname" : "Immunoprecipitation", "shortname":"IP"}, "WB" : {"fullname" : "Western blot", "shortname":"WB"}, "IHCFr" : {"fullname" : "Immunohistochemistry (Frozen sections)", "shortname":"IHC-Fr"}, "IHCP" : {"fullname" : "Immunohistochemistry (Formalin/PFA-fixed paraffin-embedded sections)", "shortname":"IHC-P"} }, "product-promise": { "all": "all", "testedAndGuaranteed": "tested", "guaranteed": "expected", "predicted": "predicted", "notRecommended": "not-recommended" } }, "values": { "Human": { "IP-species-checked": "guaranteed", "IP-species-dilution-info": "", "IP-species-notes": "", "WB-species-checked": "guaranteed", "WB-species-dilution-info": "", "WB-species-notes": "", "IHCFr-species-checked": "guaranteed", "IHCFr-species-dilution-info": "", "IHCFr-species-notes": "", "IHCP-species-checked": "testedAndGuaranteed", "IHCP-species-dilution-info": "1/1000", "IHCP-species-notes": "<p>Use 1/2000 dilution for Mouse and Rat.</p><p>Primary antibody incubation overnight at +4°C is recommended for human species.</p>" }, "Mouse": { "IP-species-checked": "testedAndGuaranteed", "IP-species-dilution-info": "1/30", "IP-species-notes": "<p></p>", "WB-species-checked": "testedAndGuaranteed", "WB-species-dilution-info": "1/1000", "WB-species-notes": "<p></p>", "IHCFr-species-checked": "testedAndGuaranteed", "IHCFr-species-dilution-info": "1/500", "IHCFr-species-notes": "<p></p>", "IHCP-species-checked": "testedAndGuaranteed", "IHCP-species-dilution-info": "1/1000", "IHCP-species-notes": "<p>Use 1/2000 dilution for Mouse and Rat.</p><p>Primary antibody incubation overnight at +4°C is recommended for human species.</p>" }, "Rat": { "IP-species-checked": "guaranteed", "IP-species-dilution-info": "", "IP-species-notes": "", "WB-species-checked": "testedAndGuaranteed", "WB-species-dilution-info": "1/1000", "WB-species-notes": "<p></p>", "IHCFr-species-checked": "testedAndGuaranteed", "IHCFr-species-dilution-info": "1/500", "IHCFr-species-notes": "<p></p>", "IHCP-species-checked": "testedAndGuaranteed", "IHCP-species-dilution-info": "1/1000", "IHCP-species-notes": "<p>Use 1/2000 dilution for Mouse and Rat.</p><p>Primary antibody incubation overnight at +4°C is recommended for human species.</p>" } } }

You may be interested in:

AB241018

Albumin Creatinine Ratio Assay Kit

0

0 Reviews

View product

We recommend this product because it’s often used in the same experiment or related research.

We advise that you always check the datasheet to ensure it fits your experiments, or contact ourtechnical teamfor help.

Product details

What is this antibody validated in?
Anti-Nephrin antibody [EPR20993] (ab216341) is a rabbit recombinant monoclonal antibody and is validated for use in Western Blot (WB), Immunoprecipitation (IP), Immunohistochemistry (IHC-P), Immunohistochemistry (IHC-Fr) in Human, Mouse, Rat samples.

What is the molecular weight of Nephrin?
Anti-Nephrin [EPR20993] (ab216341) specifically detects a band for Nephrin (UniProt: Q9QZS7) at a molecular weight of 136kDa.

Trusted by the scientific community
Anti-Nephrin [EPR20993] (ab216341) was first used in a scientific publication in 2017 and has been cited over 40 times in peer-reviewed journals.

Trial sizes available!
Test your antibody or perform pre-screening before committing to a larger quantity. Sold in 10µl. Discover our selection of trial-size antibodies.

Other related products
We have a range of other formats of antibody clone [EPR20993] also available for your convenience: ab216341, Carrier free - ab227806, PE - ab318357, APC - ab318460, Alexa Fluor® 488 - ab318563, Alexa Fluor® 594 - ab318769, Alexa Fluor® 555 - ab318869, Alexa Fluor® 750 - ab321387

Patented technology
Our RabMAb® technology is a patented hybridoma-based technology for making rabbit monoclonal antibodies. For details on our patents, please refer to RabMAb® patents.

What are the advantages of a recombinant monoclonal antibody?
This product is a recombinant monoclonal antibody, which offers several advantages including:

  • - High batch-to-batch consistency and reproducibility
  • - Improved sensitivity and specificity
  • - Long-term security of supply
  • - Animal-free batch production

For more information, read more on recombinant antibodies.

Properties and storage information

Form
Liquid
Purification technique
Affinity purification Protein A
Storage buffer
pH: 7.2 - 7.4 Preservative: 0.01% Sodium azide Constituents: PBS, 40% Glycerol (glycerin, glycerine), 0.05% BSA
Shipped at conditions
Blue Ice
Appropriate short-term storage duration
1-2 weeks
Appropriate short-term storage conditions
+4°C
Appropriate long-term storage conditions
-20°C
Aliquoting information
Upon delivery aliquot
Storage information
Avoid freeze / thaw cycle

Supplementary information

This supplementary information is collated from multiple sources and compiled automatically.

Nephrin also known as NPHS1 is a transmembrane protein with a molecular weight of approximately 180 kDa. Researchers have predominantly observed nephrin in the podocytes of the kidney glomerulus. Nephrin plays a mechanical role as part of the slit diaphragm a structure critical for maintaining the filtration barrier of the kidney. Its structure includes multiple immunoglobulin-like domains which facilitate cell signaling and adhesion processes important for podocyte function.
Biological function summary

Nephrin is essential for the regulation of glomerular permeability and podocyte foot process architecture. It serves as a significant component of the slit diaphragm complex working alongside proteins like podocin and CD2AP. This protein complex helps regulate the integrity and selectivity of the glomerular filtration barrier ensuring that blood plasma contents are selectively filtered while preventing the loss of large proteins into urine.

Pathways

Nephrin is integral to the PI3K/Akt signaling pathway influencing cell survival and cytoskeletal organization in podocytes. Nephrin's interaction within this pathway involves related proteins such as GAPDH and PTPRO which impact cellular functions critical to maintaining kidney structure and function. Additionally nephrin participates in the synaptopodin pathway modulating actin dynamics and therefore playing a role in cellular contraction and movement.

Nephrin dysfunction is closely related to congenital nephrotic syndrome particularly Finnish-type nephrosis which results in significant proteinuria and kidney failure. Nephrin mutations or aberrant expression can also contribute to other glomerular diseases such as focal segmental glomerulosclerosis (FSGS). In these conditions nephrin's relationship with other proteins like neph1 and podocin becomes disrupted leading to loss of slit diaphragm integrity and impaired renal function.

Product protocols

For this product, it's our understanding that no specific protocols are required. You can visit:

Target data

Seems to play a role in the development or function of the kidney glomerular filtration barrier. Regulates glomerular vascular permeability. May anchor the podocyte slit diaphragm to the actin cytoskeleton. Plays a role in skeletal muscle formation through regulation of myoblast fusion (By similarity).
See full target information NPHS1

Publications (48)

Recent publications for all applications. Explore the full list and refine your search

International journal of molecular sciences 24: PubMed38139429

2023

ER Stress-Perturbed Intracellular Protein O-GlcNAcylation Aggravates Podocyte Injury in Diabetes Nephropathy.

Applications

Unspecified application

Species

Unspecified reactive species

Shicong Song,Tiantian Hu,Xu Shi,Yongjie Jin,Sirui Liu,Xuehong Li,Wei Zou,Cheng Wang

Endocrine connections 12: PubMed37522848

2023

Protective effect of GLP-1 analog liraglutide on podocytes in mice with diabetic nephropathy.

Applications

Unspecified application

Species

Unspecified reactive species

Shaomin Shi,Xinghua Chen,Wen Yu,Xiaolan Ke,Tean Ma

PloS one 18:e0288876 PubMed37467292

2023

Low-dose lipopolysaccharide inducing continuous and obvious increase in urinary protein in hyperglycemic rats and the underlying mechanism.

Applications

Unspecified application

Species

Unspecified reactive species

Mulan Wang,Qin Gong,Chenliang Zha,Song Xu,Dong Yu,Tianyu Huang,Yulin Feng,Hong Sun,Jun Li

Drug design, development and therapy 17:1847-1861 PubMed37360573

2023

Sanqi Qushi Granule Alleviates Proteinuria and Podocyte Damage in NS Rat: A Network Pharmacology Study and in vivo Experimental Validation.

Applications

Unspecified application

Species

Unspecified reactive species

Lijuan Wang,Huoliang Liu,Yi Wang,XiaoFan Hong,Xiaoyan Huang,Miaoru Han,Dan Wang,Wenjun Shan,Ping Li,Haowen Gu,Bo Liu,Kun Bao

Chinese medicine 18:32 PubMed36967383

2023

BaoShenTongLuo formula protects against podocyte injury by regulating AMPK-mediated mitochondrial biogenesis in diabetic kidney disease.

Applications

Unspecified application

Species

Unspecified reactive species

Yifan Guo,Mengdi Wang,Yufei Liu,Yanyu Pang,Lei Tian,Jingwen Zhao,Mengchao Liu,Cun Shen,Yuan Meng,Yuefen Wang,Zhen Cai,Wenjing Zhao

Cell biology international 47:1126-1135 PubMed36841942

2023

TRIM29 promotes podocyte pyroptosis in diabetic nephropathy through the NF-kB/NLRP3 inflammasome pathway.

Applications

Unspecified application

Species

Unspecified reactive species

Xiaohong Xu,Zihan Qin,Ce Zhang,Xia Mi,Chi Zhang,Feihong Zhou,Junsheng Wang,Liexiang Zhang,Fei Hua

Evidence-based complementary and alternative medicine : eCAM 2023:3357281 PubMed36760471

2023

Granules Modulate the Expression of LncRNA MALAT1 and Attenuate Epithelial-Mesenchymal Transition in Kidney of Diabetic Nephropathy Rats.

Applications

Unspecified application

Species

Unspecified reactive species

Li-Sha Yuan,Hua Du,Qiu-Yue Ren,Rong-Lu Yang,Shi-Wei Liu,Shi-Yi Liu,Kai-Feng Shi,Bo Wang,Xiang-Fei Meng,Tong-Xia Li,Ning Zhang

European journal of medical research 28:52 PubMed36707848

2023

Icariin synergizes therapeutic effect of dexamethasone on adriamycin-induced nephrotic syndrome.

Applications

Unspecified application

Species

Unspecified reactive species

Juan Lv,Guozhong Xue,Yunxia Zhang,Xinbin Wang,Enlai Dai

Journal of inflammation research 15:6657-6673 PubMed36532651

2022

TNF-α and IL-1β Promote Renal Podocyte Injury in T2DM Rats by Decreasing Glomerular VEGF/eNOS Expression Levels and Altering Hemodynamic Parameters.

Applications

Unspecified application

Species

Unspecified reactive species

Jufang Wang,Yating Feng,Yan Zhang,Jing Liu,Le Gong,Xiaohong Zhang,Hui Liao

Frontiers in endocrinology 13:914865 PubMed36568100

2022

ATP-citrate lyase inhibitor improves ectopic lipid accumulation in the kidney in a db/db mouse model.

Applications

Unspecified application

Species

Unspecified reactive species

Zishun Zhan,Aimei Li,Wei Zhang,Xueqin Wu,Jinrong He,Zhi Li,Yanchun Li,Jian Sun,Hao Zhang
View all publications

Product promise

We are committed to supporting your work with high-quality reagents, and we're here for you every step of the way. In the unlikely event that one of our products does not perform as expected, you're protected by our Product Promise.
For full details, please see our Terms & Conditions

Associated Products

Select an associated product type
Alternative Product
Primary Antibodies

AB183099

Anti-Nephrin antibody - C-terminal

primary-antibodies

nephrin-antibody-c-terminal-ab183099

5

(1 reviews)

Alternative Product
Primary Antibodies

AB216692

Anti-Nephrin antibody

primary-antibodies

nephrin-antibody-ab216692

0

(0 reviews)

Alternative Product
Primary Antibodies

AB239476

Anti-Nephrin antibody [C8]

primary-antibodies

nephrin-antibody-c8-ab239476

0

(0 reviews)

Alternative Product
Primary Antibodies

AB80298

Anti-Nephrin (phospho Y1217) antibody [EPTPG3]

primary-antibodies

nephrin-phospho-y1217-antibody-eptpg3-ab80298

0

(0 reviews)

Alternative Product
Primary Antibodies

AB80299

Anti-Nephrin (phospho Y1176 + Y1193) antibody [EPTPG1]

primary-antibodies

nephrin-phospho-y1176-y1193-antibody-eptpg1-ab80299

0

(0 reviews)

Alternative Product
Primary Antibodies

AB239895

Anti-Nephrin (phospho Y1176 + Y1193) antibody [EPTPG1] - BSA and Azide free

primary-antibodies

nephrin-phospho-y1176-y1193-antibody-eptpg1-bsa-and-azide-free-ab239895

0

(0 reviews)

Alternative Product
Primary Antibodies

AB235903

Anti-Nephrin antibody

primary-antibodies

nephrin-antibody-ab235903

0

(0 reviews)

Alternative Product
Primary Antibodies

AB136894

Anti-Nephrin antibody [Y17-R]

primary-antibodies

nephrin-antibody-y17-r-ab136894

4

(3 reviews)

Alternative Product
Primary Antibodies

AB239894

Anti-Nephrin (phospho Y1217) antibody [EPTPG3] - BSA and Azide free

primary-antibodies

nephrin-phospho-y1217-antibody-eptpg3-bsa-and-azide-free-ab239894

0

(0 reviews)

Please note: All products are 'FOR RESEARCH USE ONLY. NOT FOR USE IN DIAGNOSTIC OR THERAPEUTIC PROCEDURES'.

For licensing inquiries, please contact partnerships@abcam.com