JavaScript is disabled in your browser. Please enable JavaScript to view this website.
AB272549

Anti-nephronectin antibody

Be the first to review this product! Submit a review

|

(1 Publication)

Rabbit Polyclonal nephronectin antibody. Suitable for IHC-P and reacts with Human samples. Cited in 1 publication. Immunogen corresponding to Recombinant Fragment Protein within Human NPNT aa 150-350.

View Alternative Names

EGFL6L, POEM, UNQ295/PRO334, NPNT, Nephronectin, Preosteoblast EGF-like repeat protein with MAM domain, Protein EGFL6-like

1 Images
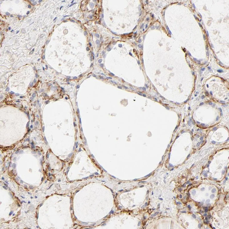
Immunohistochemistry (Formalin/PFA-fixed paraffin-embedded sections) - Anti-nephronectin antibody (AB272549)
  • IHC-P

Unknown

Immunohistochemistry (Formalin/PFA-fixed paraffin-embedded sections) - Anti-nephronectin antibody (AB272549)

Paraffin-embedded formalin-fixed human thyroid tissue stained for nephronectin using ab272549 at 1/20 dilution in immunohistochemical analysis.

Key facts

Host species

Rabbit

Clonality

Polyclonal

Isotype

IgG

Carrier free

No

Reacts with

Human

Applications

IHC-P

applications

Immunogen

Recombinant Fragment Protein within Human NPNT aa 150-350. The exact immunogen used to generate this antibody is proprietary information.

Q6UXI9

Reactivity data

{ "title": "Reactivity Data", "filters": { "stats": ["", "Species", "Dilution Info", "Notes"], "tabs": { "all-applications": {"fullname" : "All Applications", "shortname": "All Applications"}, "IHCP" : {"fullname" : "Immunohistochemistry (Formalin/PFA-fixed paraffin-embedded sections)", "shortname":"IHC-P"} }, "product-promise": { "all": "all", "testedAndGuaranteed": "tested", "guaranteed": "expected", "predicted": "predicted", "notRecommended": "not-recommended" } }, "values": { "Human": { "IHCP-species-checked": "testedAndGuaranteed", "IHCP-species-dilution-info": "1/20 - 1/50", "IHCP-species-notes": "<p></p> Perform heat-mediated antigen retrieval with citrate buffer pH 6 before commencing with IHC staining protocol." }, "Orangutan": { "IHCP-species-checked": "predicted", "IHCP-species-dilution-info": "", "IHCP-species-notes": "" } } }

Properties and storage information

Form
Liquid
Purification technique
Affinity purification Immunogen
Storage buffer
pH: 7.2 Preservative: 0.02% Sodium azide Constituents: PBS, 40% Glycerol (glycerin, glycerine)
Shipped at conditions
Blue Ice
Appropriate short-term storage duration
1-2 weeks
Appropriate short-term storage conditions
+4°C
Appropriate long-term storage conditions
-20°C
Aliquoting information
Upon delivery aliquot
Storage information
Avoid freeze / thaw cycle

Supplementary information

This supplementary information is collated from multiple sources and compiled automatically.

Nephronectin also known as NPNT is an extracellular matrix protein that functions mechanically as a ligand for integrin α8β1 and integrin α4β1. Nephronectin has a mass of approximately 70 kDa. It is mainly expressed in the kidneys specifically within the glomerular basement membrane and mesangium. Additionally it can be found in tissues such as the lungs heart and bone. Nephronectin plays a role in promoting cell adhesion and migration particularly in epithelial cells and osteoblasts.
Biological function summary

Nephronectin supports the structure and connectivity of tissues by facilitating cell-matrix interactions. It is part of the integrin-linked kinase signaling complex. Nephronectin supports the attachment of cells to the extracellular matrix helping in processes like tissue development and repair. It also interacts with other proteins including laminin and collagen to maintain the structural integrity and mechanical properties of tissues.

Pathways

Nephronectin participates in the integrin signaling pathways and influences kidney development and function. It works together with integrins to transmit signals important for cell shape motility and survival. The protein is connected with the signaling pathway involving fibronectin and laminin both necessary for forming and stabilizing basement membranes and intercellular networks.

Defects or dysregulation of nephronectin links to kidney developmental disorders and osteoarthritis. In kidney disorders specifically renal agenesis or dysgenesis the interaction between nephronectin and integrins impacts the normal development of nephrons. In osteoarthritis disruptions in nephronectin function might influence cartilage integrity due to its role in cell adhesion and matrix organization. Nephronectin's interaction with collagen within these contexts suggests its protective roles in maintaining musculoskeletal health.

Product protocols

For this product, it's our understanding that no specific protocols are required. You can visit:

Target data

Functional ligand of integrin alpha-8/beta-1 in kidney development. Regulates the expression of GDNF with integrin alpha-8/beta-1 which is essential for kidney development. May also play a role in the development and function of various tissues, regulating cell adhesion, spreading and survival through the binding of several integrins (By similarity).
See full target information NPNT

Publications (1)

Recent publications for all applications. Explore the full list and refine your search

Frontiers in cell and developmental biology 8:587502 PubMed33553140

2021

BRG1 Mediates Nephronectin Activation in Hepatocytes to Promote T Lymphocyte Infiltration in ConA-Induced Hepatitis.

Applications

Unspecified application

Species

Unspecified reactive species

Wenxuan Hong,Ming Kong,Mengwen Qi,Hui Bai,Zhiwen Fan,Ziyu Zhang,Aijun Sun,Xiangshan Fan,Yong Xu
View all publications

Product promise

We are committed to supporting your work with high-quality reagents, and we're here for you every step of the way. In the unlikely event that one of our products does not perform as expected, you're protected by our Product Promise.
For full details, please see our Terms & Conditions

Please note: All products are 'FOR RESEARCH USE ONLY. NOT FOR USE IN DIAGNOSTIC OR THERAPEUTIC PROCEDURES'.

For licensing inquiries, please contact partnerships@abcam.com