JavaScript is disabled in your browser. Please enable JavaScript to view this website.
AB150798

Anti-NESP55 antibody

Be the first to review this product! Submit a review

|

(1 Publication)

Rabbit Polyclonal NESP55 antibody. Suitable for IHC-P, WB and reacts with Human samples. Cited in 1 publication.

View Alternative Names

GNAS1, GNAS, Neuroendocrine secretory protein 55, NESP55

5 Images
Immunohistochemistry (Formalin/PFA-fixed paraffin-embedded sections) - Anti-NESP55 antibody (AB150798)
  • IHC-P

Supplier Data

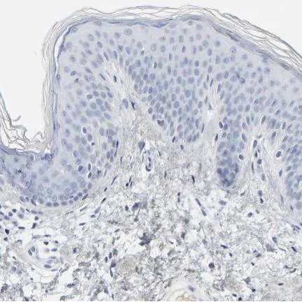
Immunohistochemistry (Formalin/PFA-fixed paraffin-embedded sections) - Anti-NESP55 antibody (AB150798)

Immunohistochemical analysis of human skin tissue labeling NESP55 with ab150798 at a 1/1000 dilution. No positivity as expected.

Performed heat mediated antigen retrieval with citrate buffer pH 6 before commencing with IHC staining protocol.

Immunohistochemistry (Formalin/PFA-fixed paraffin-embedded sections) - Anti-NESP55 antibody (AB150798)
  • IHC-P

Supplier Data

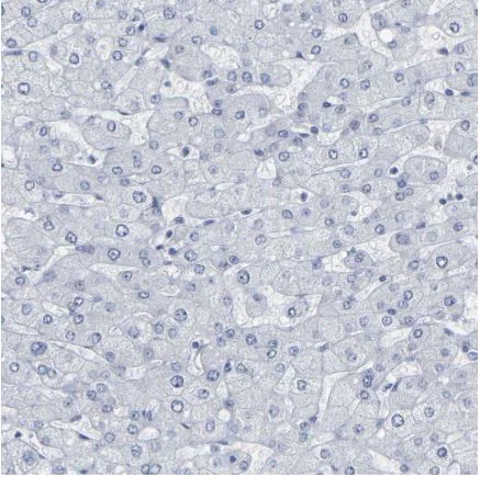
Immunohistochemistry (Formalin/PFA-fixed paraffin-embedded sections) - Anti-NESP55 antibody (AB150798)

Immunohistochemical analysis of human liver tissue labeling NESP55 with ab150798 at a 1/1000 dilution. No positivity as expected.

Performed heat mediated antigen retrieval with citrate buffer pH 6 before commencing with IHC staining protocol.

Immunohistochemistry (Formalin/PFA-fixed paraffin-embedded sections) - Anti-NESP55 antibody (AB150798)
  • IHC-P

Supplier Data

Immunohistochemistry (Formalin/PFA-fixed paraffin-embedded sections) - Anti-NESP55 antibody (AB150798)

Immunohistochemical analysis of human pancreas tissue labeling NESP55 in the cytoplasm of Langerhans islets with ab150798 at a 1/1000 dilution.

Performed heat mediated antigen retrieval with citrate buffer pH 6 before commencing with IHC staining protocol.

Immunohistochemistry (Formalin/PFA-fixed paraffin-embedded sections) - Anti-NESP55 antibody (AB150798)
  • IHC-P

Supplier Data

Immunohistochemistry (Formalin/PFA-fixed paraffin-embedded sections) - Anti-NESP55 antibody (AB150798)

Immunohistochemical analysis of human duodenum tissue labeling NESP55 in the mucus of glandular cells with ab150798 at a 1/1000 dilution.

Performed heat mediated antigen retrieval with citrate buffer pH 6 before commencing with IHC staining protocol.

Western blot - Anti-NESP55 antibody (AB150798)
  • WB

Supplier Data

Western blot - Anti-NESP55 antibody (AB150798)

All lanes:

Western blot - Anti-NESP55 antibody (ab150798) at 0.4 µg/mL

All lanes:

Human plasma

Predicted band size: 28 kDa

false

Key facts

Host species

Rabbit

Clonality

Polyclonal

Isotype

IgG

Carrier free

No

Reacts with

Human

Applications

IHC-P, WB

applications

Immunogen

The exact immunogen used to generate this antibody is proprietary information.

Reactivity data

{ "title": "Reactivity Data", "filters": { "stats": ["", "Species", "Dilution Info", "Notes"], "tabs": { "all-applications": {"fullname" : "All Applications", "shortname": "All Applications"}, "IHCP" : {"fullname" : "Immunohistochemistry (Formalin/PFA-fixed paraffin-embedded sections)", "shortname":"IHC-P"}, "WB" : {"fullname" : "Western blot", "shortname":"WB"} }, "product-promise": { "all": "all", "testedAndGuaranteed": "tested", "guaranteed": "expected", "predicted": "predicted", "notRecommended": "not-recommended" } }, "values": { "Human": { "IHCP-species-checked": "testedAndGuaranteed", "IHCP-species-dilution-info": "1/1000 - 1/2500", "IHCP-species-notes": "<p></p> Perform heat-mediated antigen retrieval with citrate buffer pH 6 before commencing with IHC staining protocol.", "WB-species-checked": "testedAndGuaranteed", "WB-species-dilution-info": "0.04-0.4 µg/mL", "WB-species-notes": "<p></p>" } } }

Properties and storage information

Form
Liquid
Purification technique
Affinity purification Immunogen
Storage buffer
pH: 7.2 Preservative: 0.02% Sodium azide Constituents: PBS, 40% Glycerol (glycerin, glycerine)
Shipped at conditions
Blue Ice
Appropriate short-term storage conditions
+4°C
Appropriate long-term storage conditions
-20°C
Aliquoting information
Upon delivery aliquot
Storage information
Avoid freeze / thaw cycle

Supplementary information

This supplementary information is collated from multiple sources and compiled automatically.

NESP55 also known as neuroendocrine secretory protein of 55 kDa functions as a secretory protein in the central nervous system and various neuroendocrine tissues. It is highly expressed in the adrenal medulla pituitary gland and certain brain regions. NESP55 forms a part of the granin protein family linked with dense core vesicles and influences hormonal release functions. While its exact mechanisms remain under investigation many studies focus on its interaction with various vesicular components.
Biological function summary

NESP55 interacts with cellular processes that influence neuroendocrine secretion and signal modulation. This protein is essential for the biogenesis of secretory granules participating in storage and regulated release of hormones and neuropeptides. It works in balance with other vesicular proteins like chromogranin A and B. Although it is not part of a major protein complex itself it collaborates closely with these secretory granule proteins to modulate vesicular content release.

Pathways

NESP55 plays important roles in neurotransmitter and hormonal pathways. It contributes significantly to the catecholamine pathway impacting dopamine processing and influencing behavior and stress response. Its interactions with proteins such as synaptophysin and vesicular monoamine transporter 1 facilitate vesicular trafficking and neurotransmitter uptake. This involvement in pathways highlights its role in managing cellular stress and emotional behavioral responses.

NESP55 has associations with mood disorders and neuroendocrine tumors. Altered expression levels have been linked with depression where changes in catecholamine metabolism play a critical part. Its connection to chromogranin proteins places NESP55 in the context of neuroendocrine tumors influencing tumor growth and hormone production. Research into these associations might uncover new therapeutic targets to modulate its activity in pathological conditions.

Product protocols

For this product, it's our understanding that no specific protocols are required. You can visit:

Publications (1)

Recent publications for all applications. Explore the full list and refine your search

International endodontic journal 56:1254-1269 PubMed37400946

2023

Heterogeneity of T cells in periapical lesions and in vitro validation of the proangiogenic effect of GZMA on HUVECs.

Applications

Unspecified application

Species

Unspecified reactive species

Xinwei Lin,Xiaomin Lv,Baoyu Li,Qingzhen Meng,Hongbin Lai,Qimei Gong,Zhongchun Tong
View all publications

Product promise

We are committed to supporting your work with high-quality reagents, and we're here for you every step of the way. In the unlikely event that one of our products does not perform as expected, you're protected by our Product Promise.
For full details, please see our Terms & Conditions

Please note: All products are 'FOR RESEARCH USE ONLY. NOT FOR USE IN DIAGNOSTIC OR THERAPEUTIC PROCEDURES'.

For licensing inquiries, please contact partnerships@abcam.com