JavaScript is disabled in your browser. Please enable JavaScript to view this website.
AB314872

Anti-Nesprin 2 antibody [EPR28137-54]

  • BOND RX™ Validated
  • 20ul selling size
  • KO Validated
  • RabMAb
  • Recombinant
  • What is this?

Be the first to review this product! Submit a review

|

(0 Publication)

Knockout Tested Rabbit Recombinant Monoclonal Nesprin 2 antibody. Suitable for WB, IHC-P, ICC/IF and reacts with Human samples.

View Alternative Names

KIAA1011, NUA, SYNE2, Nesprin-2, KASH domain-containing protein 2, Nuclear envelope spectrin repeat protein 2, Nucleus and actin connecting element protein, Synaptic nuclear envelope protein 2, KASH2, Protein NUANCE, Syne-2

7 Images
Immunohistochemistry (Formalin/PFA-fixed paraffin-embedded sections) - Anti-Nesprin 2 antibody [EPR28137-54] (AB314872)
  • IHC-P

Supplier Data

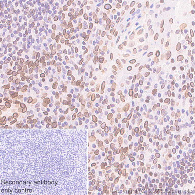
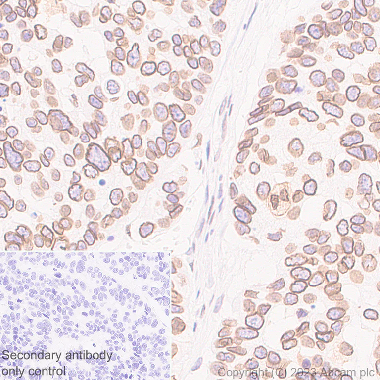
Immunohistochemistry (Formalin/PFA-fixed paraffin-embedded sections) - Anti-Nesprin 2 antibody [EPR28137-54] (AB314872)

Immunohistochemical analysis of paraffin-embedded Human tonsil tissue labeling Nesprin 2 with ab314872 at 1/200 (2.58 ug/ml) followed by a ready to use LeicaDS9800 (Bond™ Polymer Refine Detection). Positive staining on nuclear envelope in human tonsil. The section was incubated with ab314872 for 30 mins at room temperature. The immunostaining was performed on a Leica Biosystems BOND® RX instrument. Incubate slides with 3% Hydrogen Peroxide for 10 mins at room temperature after secondary antibody incubation to reduce the background. Counterstained with Hematoxylin. Secondary antibody only control : Secondary antibody is a ready to use LeicaDS9800 (Bond™ Polymer Refine Detection).Heat mediated antigen retrieval was performed with Tris-EDTA buffer (pH 9.0, Epitope Retrieval Solution2) for 10 mins.

Immunohistochemistry (Formalin/PFA-fixed paraffin-embedded sections) - Anti-Nesprin 2 antibody [EPR28137-54] (AB314872)
  • IHC-P

Supplier Data

Immunohistochemistry (Formalin/PFA-fixed paraffin-embedded sections) - Anti-Nesprin 2 antibody [EPR28137-54] (AB314872)

Immunohistochemical analysis of paraffin-embedded Human gastric adenocarcinoma tissue labeling Nesprin 2 with ab314872 at 1/200 (2.58 ug/ml) followed by a ready to use LeicaDS9800 (Bond™ Polymer Refine Detection). Positive staining on nuclear envelope in human gastric adenocarcinoma. The section was incubated with ab314872 for 30 mins at room temperature. The immunostaining was performed on a Leica Biosystems BOND® RX instrument. Incubate slides with 3% Hydrogen Peroxide for 10 mins at room temperature after secondary antibody incubation to reduce the background. Counterstained with Hematoxylin. Secondary antibody only control : Secondary antibody is a ready to use LeicaDS9800 (Bond™ Polymer Refine Detection).Heat mediated antigen retrieval was performed with Tris-EDTA buffer (pH 9.0, Epitope Retrieval Solution2) for 10 mins

Immunohistochemistry (Formalin/PFA-fixed paraffin-embedded sections) - Anti-Nesprin 2 antibody [EPR28137-54] (AB314872)
  • IHC-P

Supplier Data

Immunohistochemistry (Formalin/PFA-fixed paraffin-embedded sections) - Anti-Nesprin 2 antibody [EPR28137-54] (AB314872)

Immunohistochemical analysis of paraffin-embedded Human endometrial carcinoma tissue labeling Nesprin 2 with ab314872 at 1/200 (2.58 ug/ml) followed by a ready to use LeicaDS9800 (Bond™ Polymer Refine Detection). Positive staining on nuclear envelope in human endometrial carcinoma. The section was incubated with ab314872 for 30 mins at room temperature.The immunostaining was performed on a Leica Biosystems BOND® RX instrument. Incubate slides with 3% Hydrogen Peroxide for 10 mins at room temperature after secondary antibody incubation to reduce the background. Counterstained with Hematoxylin. Secondary antibody only control : Secondary antibody is a ready to use LeicaDS9800 (Bond™ Polymer Refine Detection). Heat mediated antigen retrieval was performed with Tris-EDTA buffer (pH 9.0, Epitope Retrieval Solution2) for 10 mins

Immunocytochemistry/ Immunofluorescence - Anti-Nesprin 2 antibody [EPR28137-54] (AB314872)
  • ICC/IF

Supplier Data

Immunocytochemistry/ Immunofluorescence - Anti-Nesprin 2 antibody [EPR28137-54] (AB314872)

Immunofluorescent analysis of 4% Paraformaldehyde-fixed, 0.1% TritonX-100 permeabilized 293T (human embryonic kidney epithelial cell) cells labelling Nesprin 2 with ab314872 at 1/50 (10.32 ug/ml) dilution, followed by ab150081 Goat Anti-Rabbit IgG H&L (Alexa Fluor® 488) preadsorbed antibody at 1/1000 2 ug/ml dilution (Green). Confocal image showing nuclear envelope staining in 293T cells and weak nuclear staining in THP-1 cells. Low expression : THP-1. Image was taken with a confocal microscope(Leica-Microsystems, TCS SP8). ab195889 Anti-alpha Tubulin mouse monoclonal antibody - Microtubule Marker (Alexa Fluor® 594) was used to counterstain tubulin at 1/200 2.5ug/ml dilution (Red). The Nuclear counterstain was DAPI (Blue). Secondary antibody only control : Secondary antibody is ab150081 Goat Anti-Rabbit IgG H&L (Alexa Fluor® 488) preadsorbed at 1/1000 2 ug/ml dilution.

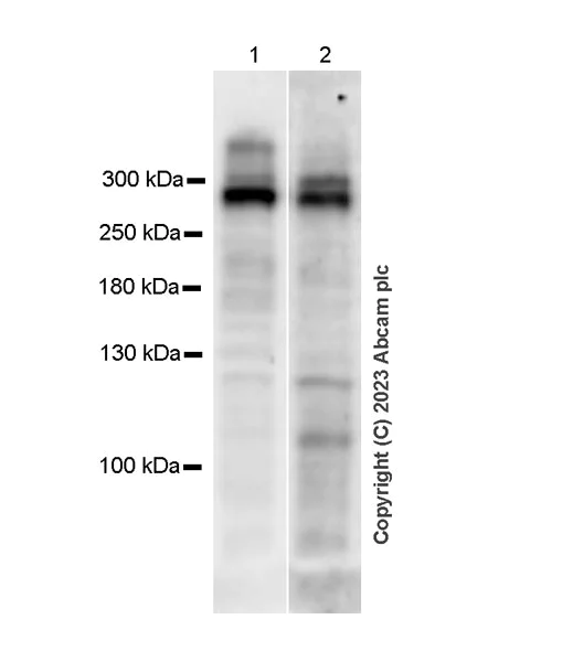
Western blot - Anti-Nesprin 2 antibody [EPR28137-54] (AB314872)
  • WB

Supplier Data

Western blot - Anti-Nesprin 2 antibody [EPR28137-54] (AB314872)

Blocking and diluting buffer and concentration : 5% NFDM/TBST. Nesprin 2 has several splicing variants. The molecular weights are consistent with what have been described in literatures(PMID : 15843432, PMID : 24718612, PMID : 18477613). Exposure time : Lane1 : 37 seconds, Lane2 : 125 seconds

All lanes:

Western blot - Anti-Nesprin 2 antibody [EPR28137-54] (ab314872) at 1/1000 dilution

Lane 1:

U-2 OS (human bone osteosarcoma epithelial cell) whole cell lysate at 20 µg

Lane 2:

HaCaT (human skin keratinocyte) whole cell lysate at 20 µg

Secondary

All lanes:

Western blot - Goat Anti-Rabbit IgG H&L (HRP) (<a href='/en-us/products/secondary-antibodies/goat-rabbit-igg-h-l-hrp-ab97051'>ab97051</a>) at 1/100000 dilution

Observed band size: 280 kDa

false

Western blot - Anti-Nesprin 2 antibody [EPR28137-54] (AB314872)
  • WB

Supplier Data

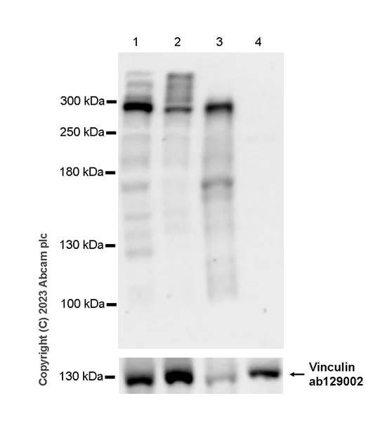
Western blot - Anti-Nesprin 2 antibody [EPR28137-54] (AB314872)

Blocking and diluting buffer and concentration : 5% NFDM/TBST Nesprin 2 has several splicing variants. The molecular weights are consistent with what have been described in literatures(PMID : 15843432, PMID : 24718612, PMID : 18477613). Low expression : THP-1 In Western blot, Anti-Vinculin antibody [EPR8185] (ab129002) staining at 1/10000 dilution.

All lanes:

Western blot - Anti-Nesprin 2 antibody [EPR28137-54] (ab314872) at 1/1000 dilution

Lane 1:

293T (human embryonic kidney epithelial cell) whole cell lysate at 20 µg

Lane 2:

HeLa (human cervical adenocarcinoma epithelial cell) whole cell lysate at 20 µg

Lane 3:

A431 (human epidermoid carcinoma epithelial cell) whole cell lysate at 20 µg

Lane 4:

THP-1 (human monocytic leukemia monocyte) whole cell lysate at 20 µg

Secondary

All lanes:

Western blot - Goat Anti-Rabbit IgG H&L (HRP) (<a href='/en-us/products/secondary-antibodies/goat-rabbit-igg-h-l-hrp-ab97051'>ab97051</a>) at 1/100000 dilution

Observed band size: 280 kDa

false

Exposure time: 59s

Western blot - Anti-Nesprin 2 antibody [EPR28137-54] (AB314872)
  • WB

Lab

Western blot - Anti-Nesprin 2 antibody [EPR28137-54] (AB314872)

Western blot : Anti-SYNE2 antibody [EPR28137-54] (ab314872) staining at 1/1000 dilution, shown in green; Mouse anti-CANX [CANX/1543] (ab238078) loading control staining at 1/20000 dilution, shown in magenta. In Western blot, ab314872 was shown to bind specifically to SYNE2. A band was observed at 796 kDa in wild-type A549 cell lysates with no signal observed at this size in SYNE2 knockout cell line. To generate this image, wild-type and SYNE2 knockout A549 cell lysates were analysed. First, samples were run on an SDS-PAGE gel then transferred onto a nitrocellulose membrane. Membranes were blocked in 3 % milk in TBS-0.1 % Tween® 20 (TBS-T) before incubation with primary antibodies overnight at 4 °C. Blots were washed four times in TBS-T, incubated with secondary antibodies for 1 h at room temperature, washed again four times then imaged. Secondary antibodies used were Goat anti-Rabbit IgG H&L 800CW and Goat anti-Mouse IgG H&L 680RD at 1/20000 dilution.

All lanes:

Western blot - Anti-Nesprin 2 antibody [EPR28137-54] (ab314872) at 1/1000 dilution

Lane 1:

Wild-type A549 cell lysate at 20 µg

Lane 2:

SYNE2 knockout A549 cell lysate at 20 µg

Lane 3:

U-2 OS cell lysate at 20 µg

Lane 4:

THP-1 cell lysate at 20 µg

Secondary

All lanes:

Goat anti-Rabbit IgG H&L 800CW and Goat anti-Mouse IgG H&L 680RD at 1/20000 dilution

Observed band size: 796 kDa

false

Key facts

Host species

Rabbit

Clonality

Monoclonal

Clone number

EPR28137-54

Isotype

IgG

Carrier free

No

Reacts with

Human

Applications

WB, ICC/IF, IHC-P

applications

Immunogen

The exact immunogen used to generate this antibody is proprietary information.

Reactivity data

{ "title": "Reactivity Data", "filters": { "stats": ["", "Species", "Dilution Info", "Notes"], "tabs": { "all-applications": {"fullname" : "All Applications", "shortname": "All Applications"}, "WB" : {"fullname" : "Western blot", "shortname":"WB"}, "IP" : {"fullname" : "Immunoprecipitation", "shortname":"IP"}, "IHCP" : {"fullname" : "Immunohistochemistry (Formalin/PFA-fixed paraffin-embedded sections)", "shortname":"IHC-P"}, "ICCIF" : {"fullname" : "Immunocytochemistry/ Immunofluorescence", "shortname":"ICC/IF"}, "FlowCytIntra" : {"fullname" : "Flow Cytometry (Intracellular)", "shortname":"Flow Cyt (Intra)"} }, "product-promise": { "all": "all", "testedAndGuaranteed": "tested", "guaranteed": "expected", "predicted": "predicted", "notRecommended": "not-recommended" } }, "values": { "Human": { "WB-species-checked": "testedAndGuaranteed", "WB-species-dilution-info": "1/1000", "WB-species-notes": "<p></p>", "IP-species-checked": "notRecommended", "IP-species-dilution-info": "", "IP-species-notes": "<p></p>", "IHCP-species-checked": "testedAndGuaranteed", "IHCP-species-dilution-info": "1/200", "IHCP-species-notes": "<p></p> Perform heat-mediated antigen retrieval with Tris/EDTA buffer pH 9.0 before commencing with IHC staining protocol.", "ICCIF-species-checked": "testedAndGuaranteed", "ICCIF-species-dilution-info": "1/50", "ICCIF-species-notes": "<p></p>", "FlowCytIntra-species-checked": "notRecommended", "FlowCytIntra-species-dilution-info": "", "FlowCytIntra-species-notes": "<p></p>" }, "Mouse": { "WB-species-checked": "notRecommended", "WB-species-dilution-info": "", "WB-species-notes": "<p></p>", "IP-species-checked": "notRecommended", "IP-species-dilution-info": "", "IP-species-notes": "", "IHCP-species-checked": "notRecommended", "IHCP-species-dilution-info": "", "IHCP-species-notes": "<p></p> Perform heat-mediated antigen retrieval with Tris/EDTA buffer pH 9.0 before commencing with IHC staining protocol.", "ICCIF-species-checked": "notRecommended", "ICCIF-species-dilution-info": "", "ICCIF-species-notes": "", "FlowCytIntra-species-checked": "notRecommended", "FlowCytIntra-species-dilution-info": "", "FlowCytIntra-species-notes": "" }, "Rat": { "WB-species-checked": "notRecommended", "WB-species-dilution-info": "", "WB-species-notes": "<p></p>", "IP-species-checked": "notRecommended", "IP-species-dilution-info": "", "IP-species-notes": "", "IHCP-species-checked": "notRecommended", "IHCP-species-dilution-info": "", "IHCP-species-notes": "<p></p> Perform heat-mediated antigen retrieval with Tris/EDTA buffer pH 9.0 before commencing with IHC staining protocol.", "ICCIF-species-checked": "notRecommended", "ICCIF-species-dilution-info": "", "ICCIF-species-notes": "", "FlowCytIntra-species-checked": "notRecommended", "FlowCytIntra-species-dilution-info": "", "FlowCytIntra-species-notes": "" } } }

Product details

Patented technology
Our RabMAb® technology is a patented hybridoma-based technology for making rabbit monoclonal antibodies. For details on our patents, please refer to RabMAb® patents.

What are the advantages of a recombinant monoclonal antibody?
This product is a recombinant monoclonal antibody, which offers several advantages including:

  • - High batch-to-batch consistency and reproducibility
  • - Improved sensitivity and specificity
  • - Long-term security of supply
  • - Animal-free batch production

For more information, read more on recombinant antibodies.

Properties and storage information

Form
Liquid
Purification technique
Affinity purification Protein A
Storage buffer
pH: 7.2 - 7.4 Preservative: 0.01% Sodium azide Constituents: PBS, 40% Glycerol (glycerin, glycerine), 0.05% BSA
Shipped at conditions
Blue Ice
Appropriate short-term storage duration
1-2 weeks
Appropriate short-term storage conditions
+4°C
Appropriate long-term storage conditions
-20°C
Aliquoting information
Upon delivery aliquot
Storage information
Avoid freeze / thaw cycle

Supplementary information

This supplementary information is collated from multiple sources and compiled automatically.

Nesprin-2 also known as Nesprin-2 or ABP-Rince2002 is a mechanical protein that plays an important role in the structure of cells. This protein is part of the spectrin repeat-containing nuclear envelope (KASH) proteins with a large mass. It is mainly expressed in tissues such as skeletal muscle the heart and brain. Nesprin-2 is found in the outer nuclear membrane where it functions as a mediator linking the nuclear envelope to the cytoskeleton facilitating mechanical coupling between the nucleus and the cytoplasm.
Biological function summary

Nesprin-2 is involved in various cellular processes that contribute to nuclear positioning and cell movement. It interacts with other nuclear envelope proteins like SUN proteins forming the LINC (Linker of Nucleoskeleton and Cytoskeleton) complex which ensures mechanical communication within cells. This complex supports the anchoring and movement of the nucleus during cytoskeletal changes. Nesprin-2's anchoring abilities make it essential for maintaining cellular integrity and adaptability during mechanical stress.

Pathways

Nesprin-2 participates in mechanotransduction pathways that convert mechanical stimuli into biochemical signals. It plays a critical role in the actin cytoskeleton organization and nuclear positioning pathways. Through these pathways Nesprin-2 interacts with proteins such as F-actin which are important for maintaining cell shape and mobility. The interactions between Nesprin-2 and cytoskeletal elements help facilitate cell signaling in response to mechanical forces.

Nesprin-2 is linked to muscular dystrophies and cardiomyopathies. In muscular dystrophies mutations in Nesprin-2 or its interacting partners like Emerin impair nuclear-cytoskeletal coupling leading to muscle weakness. In cardiomyopathies Nesprin-2 dysfunction affects cardiac muscle integrity and function where it may interact with proteins like Lamin A/C. Understanding these connections offers potential avenues for researching therapeutic interventions for these conditions.

Product protocols

For this product, it's our understanding that no specific protocols are required. You can visit:

Target data

Multi-isomeric modular protein which forms a linking network between organelles and the actin cytoskeleton to maintain the subcellular spatial organization. As a component of the LINC (LInker of Nucleoskeleton and Cytoskeleton) complex involved in the connection between the nuclear lamina and the cytoskeleton. The nucleocytoplasmic interactions established by the LINC complex play an important role in the transmission of mechanical forces across the nuclear envelope and in nuclear movement and positioning (PubMed : 34818527). Specifically, SYNE2 and SUN2 assemble in arrays of transmembrane actin-associated nuclear (TAN) lines which are bound to F-actin cables and couple the nucleus to retrograde actin flow during actin-dependent nuclear movement. May be involved in nucleus-centrosome attachment. During interkinetic nuclear migration (INM) at G2 phase and nuclear migration in neural progenitors its LINC complex association with SUN1/2 and probable association with cytoplasmic dynein-dynactin motor complexes functions to pull the nucleus toward the centrosome; SYNE1 and SYNE2 may act redundantly. During INM at G1 phase mediates respective LINC complex association with kinesin to push the nucleus away from the centrosome. Involved in nuclear migration in retinal photoreceptor progenitors. Required for centrosome migration to the apical cell surface during early ciliogenesis. Facilitates the relaxation of mechanical stress imposed by compressive actin fibers at the rupture site through its nteraction with SYN2 (PubMed : 34818527).
See full target information SYNE2

Product promise

We are committed to supporting your work with high-quality reagents, and we're here for you every step of the way. In the unlikely event that one of our products does not perform as expected, you're protected by our Product Promise.
For full details, please see our Terms & Conditions

Please note: All products are 'FOR RESEARCH USE ONLY. NOT FOR USE IN DIAGNOSTIC OR THERAPEUTIC PROCEDURES'.

For licensing inquiries, please contact partnerships@abcam.com