JavaScript is disabled in your browser. Please enable JavaScript to view this website.
AB317025

Anti-Nesprin 2 antibody [EPR28138-90] - BSA and Azide free

Be the first to review this product! Submit a review

|

(0 Publication)

Rabbit Recombinant Monoclonal Nesprin 2 antibody. Carrier free. Suitable for IHC-P, ICC/IF, IHC-Fr and reacts with Mouse samples.

View Alternative Names

Nesprin-2, KASH domain-containing protein 2, Nuclear envelope spectrin repeat protein 2, Nucleus and actin connecting element protein, Synaptic nuclear envelope protein 2, KASH2, Protein NUANCE, Syne-2

5 Images
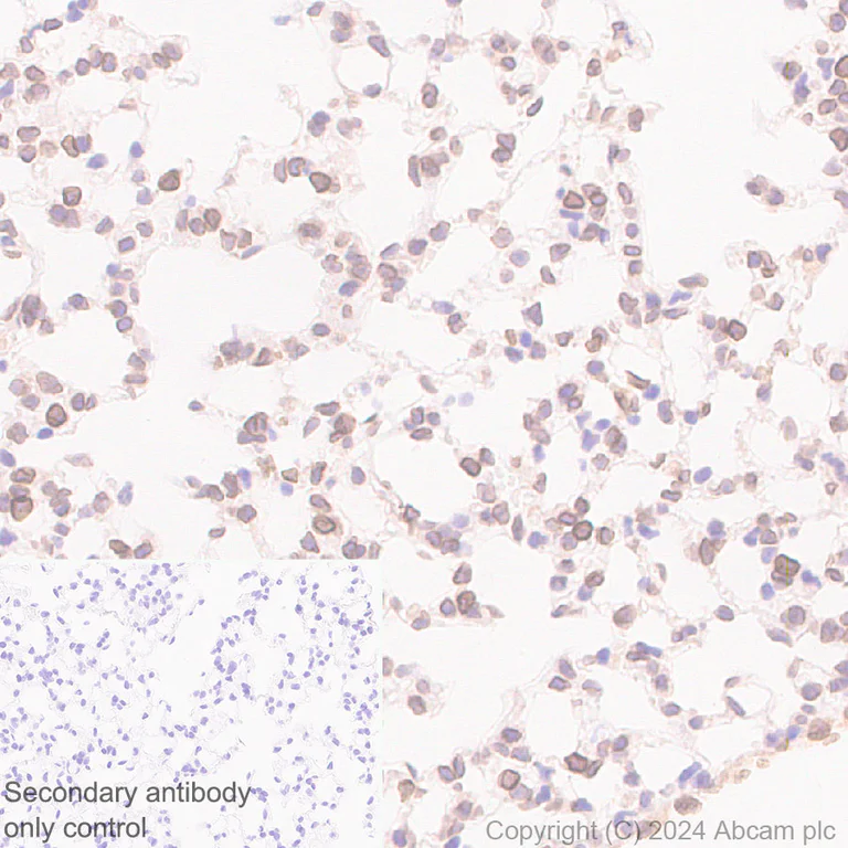
Immunohistochemistry (Formalin/PFA-fixed paraffin-embedded sections) - Anti-Nesprin 2 antibody [EPR28138-90] - BSA and Azide free (AB317025)
  • IHC-P

Supplier Data

Immunohistochemistry (Formalin/PFA-fixed paraffin-embedded sections) - Anti-Nesprin 2 antibody [EPR28138-90] - BSA and Azide free (AB317025)

This data was developed using ab317024, the same antibody clone in a different buffer formulation.

Immunohistochemical analysis of paraffin-embedded Mouse lung tissue labeling Nesprin 2 with ab317024 at 1/100 (5.13 ug/ml) dilution, followed by a ready to use LeicaDS9800 (Bond™ Polymer Refine Detection).

Positive staining on mouse lung.
The section was incubated with ab317024 for 30 mins at room temperature.
The immunostaining was performed on a Leica Biosystems BOND® RX instrument

Counterstained with Hematoxylin.

Secondary antibody only control : Secondary antibody is a ready to use LeicaDS9800 (Bond™ Polymer Refine Detection).

Heat mediated antigen retrieval was performed with Tris-EDTA buffer (pH 9.0, Epitope Retrieval Solution2) for 20 mins

Immunohistochemistry (Formalin/PFA-fixed paraffin-embedded sections) - Anti-Nesprin 2 antibody [EPR28138-90] - BSA and Azide free (AB317025)
  • IHC-P

Supplier Data

Immunohistochemistry (Formalin/PFA-fixed paraffin-embedded sections) - Anti-Nesprin 2 antibody [EPR28138-90] - BSA and Azide free (AB317025)

This data was developed using ab317024, the same antibody clone in a different buffer formulation.

Immunohistochemical analysis of paraffin-embedded Mouse testis tissue labeling Nesprin 2 with ab317024 at 1/100 (5.13 ug/ml) dilution, followed by a ready to use LeicaDS9800 (Bond™ Polymer Refine Detection).

Positive staining on mouse testis.
The section was incubated with ab317024 for 30 mins at room temperature.
The immunostaining was performed on a Leica Biosystems BOND® RX instrument

Counterstained with Hematoxylin.

Secondary antibody only control : Secondary antibody is a ready to use LeicaDS9800 (Bond™ Polymer Refine Detection).

Heat mediated antigen retrieval was performed with Tris-EDTA buffer (pH 9.0, Epitope Retrieval Solution2) for 20 mins

Immunohistochemistry (Frozen sections) - Anti-Nesprin 2 antibody [EPR28138-90] - BSA and Azide free (AB317025)
  • IHC-Fr

Supplier Data

Immunohistochemistry (Frozen sections) - Anti-Nesprin 2 antibody [EPR28138-90] - BSA and Azide free (AB317025)

This data was developed using ab317024, the same antibody clone in a different buffer formulation.

Immunohistochemical analysis of 4% PFA-fixed, 0.2% Triton X-100 permeabilized frozen Mouse testis (fresh frozen) tissue labeling Nesprin 2 with ab317024 at 1/1000 (0.513 ug/ml) dilution followed by ab150081 Goat Anti-Rabbit IgG H&L (Alexa Fluor® 488) preadsorbed at 1/1000 2 ug/mL dilution (Green).

Confocal image showing positive staining on mouse testis. The nuclear counterstain was DAPI (Blue). The section was incubated with ab317024 for 60 mins at room temperature. The section was then mounted using Fluoromount®.The immunostaining was performed on a Leica Biosystems BOND® RX instrument. Image was taken with a confocal microscope (Leica-Microsystems, TCS SP8).

Secondary antibody control : Secondary antibody is ab150081 Goat Anti-Rabbit IgG H&L (Alexa Fluor® 488) preadsorbedat 1/1000 2 ug/mL dilution.

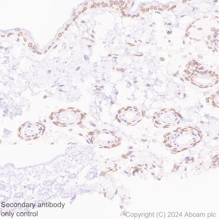
Immunohistochemistry (Formalin/PFA-fixed paraffin-embedded sections) - Anti-Nesprin 2 antibody [EPR28138-90] - BSA and Azide free (AB317025)
  • IHC-P

Supplier Data

Immunohistochemistry (Formalin/PFA-fixed paraffin-embedded sections) - Anti-Nesprin 2 antibody [EPR28138-90] - BSA and Azide free (AB317025)

This data was developed using ab317024, the same antibody clone in a different buffer formulation.

Immunohistochemical analysis of paraffin-embedded Mouse skin tissue labeling Nesprin 2 with ab317024 at 1/100 (5.13 ug/ml) dilution, followed by a ready to use LeicaDS9800 (Bond™ Polymer Refine Detection).

Positive staining on mouse skin.
The section was incubated with ab317024 for 30 mins at room temperature.
The immunostaining was performed on a Leica Biosystems BOND® RX instrument

Counterstained with Hematoxylin.

Secondary antibody only control : Secondary antibody is a ready to use LeicaDS9800 (Bond™ Polymer Refine Detection).

Heat mediated antigen retrieval was performed with Tris-EDTA buffer (pH 9.0, Epitope Retrieval Solution2) for 20 mins

Immunocytochemistry/ Immunofluorescence - Anti-Nesprin 2 antibody [EPR28138-90] - BSA and Azide free (AB317025)
  • ICC/IF

Supplier Data

Immunocytochemistry/ Immunofluorescence - Anti-Nesprin 2 antibody [EPR28138-90] - BSA and Azide free (AB317025)

This data was developed using ab317024, the same antibody clone in a different buffer formulation.

Immunofluorescent analysis of 100% methanol-fixed, 0.1% TritonX-100 permeabilized mIMCD3 (mouse inner medullary collecting duct epithelial cell) cells labelling Nesprin 2 with ab317024 at 1/500 (1.026 ug/ml) dilution, followed by ab150081 Goat Anti-Rabbit IgG H&L (Alexa Fluor® 488) preadsorbed antibody at 1/1000 2 ug/ml dilution (Green).

Confocal image showing nuclear envelope staining in mIMCD3 cell line (shown in green). The counterstain was observed in magenta. Nuclear DNA was labeled with DAPI (shown in blue).
Low expression : A20.
Image was taken with a confocal microscope(Leica-Microsystems, TCS SP8).

ab195889 Anti-alpha Tubulin mouse monoclonal antibody - Microtubule Marker (Alexa Fluor® 594) was used to counterstain tubulin at 1/200 2.5ug/ml dilution (Magenta). The Nuclear counterstain was DAPI (Blue).

Secondary antibody only control : Secondary antibody is ab150081 Goat Anti-Rabbit IgG H&L (Alexa Fluor® 488) preadsorbed at 1/1000 2 ug/ml dilution.

Key facts

Host species

Rabbit

Clonality

Monoclonal

Clone number

EPR28138-90

Isotype

IgG

Carrier free

Yes

Reacts with

Mouse

Applications

IHC-P, ICC/IF, IHC-Fr

applications

Immunogen

The exact immunogen used to generate this antibody is proprietary information.

Reactivity data

{ "title": "Reactivity Data", "filters": { "stats": ["", "Species", "Dilution Info", "Notes"], "tabs": { "all-applications": {"fullname" : "All Applications", "shortname": "All Applications"}, "IHCP" : {"fullname" : "Immunohistochemistry (Formalin/PFA-fixed paraffin-embedded sections)", "shortname":"IHC-P"}, "ICCIF" : {"fullname" : "Immunocytochemistry/ Immunofluorescence", "shortname":"ICC/IF"}, "IHCFr" : {"fullname" : "Immunohistochemistry (Frozen sections)", "shortname":"IHC-Fr"}, "FlowCytIntra" : {"fullname" : "Flow Cytometry (Intracellular)", "shortname":"Flow Cyt (Intra)"}, "IP" : {"fullname" : "Immunoprecipitation", "shortname":"IP"}, "WB" : {"fullname" : "Western blot", "shortname":"WB"} }, "product-promise": { "all": "all", "testedAndGuaranteed": "tested", "guaranteed": "expected", "predicted": "predicted", "notRecommended": "not-recommended" } }, "values": { "Human": { "IHCP-species-checked": "notRecommended", "IHCP-species-dilution-info": "", "IHCP-species-notes": "<p></p>", "ICCIF-species-checked": "notRecommended", "ICCIF-species-dilution-info": "", "ICCIF-species-notes": "", "IHCFr-species-checked": "notRecommended", "IHCFr-species-dilution-info": "", "IHCFr-species-notes": "", "FlowCytIntra-species-checked": "notRecommended", "FlowCytIntra-species-dilution-info": "", "FlowCytIntra-species-notes": "", "IP-species-checked": "notRecommended", "IP-species-dilution-info": "", "IP-species-notes": "", "WB-species-checked": "notRecommended", "WB-species-dilution-info": "", "WB-species-notes": "<p></p>" }, "Mouse": { "IHCP-species-checked": "testedAndGuaranteed", "IHCP-species-dilution-info": "", "IHCP-species-notes": "<p></p>", "ICCIF-species-checked": "testedAndGuaranteed", "ICCIF-species-dilution-info": "", "ICCIF-species-notes": "<p></p>", "IHCFr-species-checked": "testedAndGuaranteed", "IHCFr-species-dilution-info": "", "IHCFr-species-notes": "<p></p>", "FlowCytIntra-species-checked": "notRecommended", "FlowCytIntra-species-dilution-info": "", "FlowCytIntra-species-notes": "<p></p>", "IP-species-checked": "notRecommended", "IP-species-dilution-info": "", "IP-species-notes": "<p></p>", "WB-species-checked": "notRecommended", "WB-species-dilution-info": "", "WB-species-notes": "" }, "Rat": { "IHCP-species-checked": "notRecommended", "IHCP-species-dilution-info": "", "IHCP-species-notes": "<p></p>", "ICCIF-species-checked": "notRecommended", "ICCIF-species-dilution-info": "", "ICCIF-species-notes": "", "IHCFr-species-checked": "notRecommended", "IHCFr-species-dilution-info": "", "IHCFr-species-notes": "", "FlowCytIntra-species-checked": "notRecommended", "FlowCytIntra-species-dilution-info": "", "FlowCytIntra-species-notes": "", "IP-species-checked": "notRecommended", "IP-species-dilution-info": "", "IP-species-notes": "", "WB-species-checked": "notRecommended", "WB-species-dilution-info": "", "WB-species-notes": "" } } }

Product details

ab317025 is the carrier-free version of ab317024.

Patented technology
Our RabMAb® technology is a patented hybridoma-based technology for making rabbit monoclonal antibodies. For details on our patents, please refer to RabMAb® patents.

What are the advantages of a recombinant monoclonal antibody?
This product is a recombinant monoclonal antibody, which offers several advantages including:

  • - High batch-to-batch consistency and reproducibility
  • - Improved sensitivity and specificity
  • - Long-term security of supply
  • - Animal-free batch production

For more information, read more on recombinant antibodies.

Conjugation ready
Our carrier-free antibodies are typically supplied in a PBS-only formulation, purified and free of BSA, sodium azide and glycerol. This conjugation-ready format is designed for use with fluorochromes, metal isotopes, oligonucleotides, and enzymes, which makes them ideal for antibody labelling, functional and cell-based assays, flow-based assays (e.g. mass cytometry) and Multiplex Imaging applications.

Use our conjugation kits for antibody conjugates that are ready-to-use in as little as 20 minutes with 1 minute hands-on-time and 100% antibody recovery: available for fluorescent dyes, HRP, biotin and gold.

Compatibility
This product is compatible with the Maxpar® Antibody Labeling Kit from Fluidigm, without the need for antibody preparation. Maxpar® is a trademark of Fluidigm Canada Inc.

Properties and storage information

Form
Liquid
Purification technique
Affinity purification Protein A
Storage buffer
pH: 7.2 - 7.4 Constituents: PBS
Shipped at conditions
Blue Ice
Appropriate short-term storage conditions
+4°C
Appropriate long-term storage conditions
+4°C

Supplementary information

This supplementary information is collated from multiple sources and compiled automatically.

Nesprin-2 also known as Nesprin-2 or ABP-Rince2002 is a mechanical protein that plays an important role in the structure of cells. This protein is part of the spectrin repeat-containing nuclear envelope (KASH) proteins with a large mass. It is mainly expressed in tissues such as skeletal muscle the heart and brain. Nesprin-2 is found in the outer nuclear membrane where it functions as a mediator linking the nuclear envelope to the cytoskeleton facilitating mechanical coupling between the nucleus and the cytoplasm.
Biological function summary

Nesprin-2 is involved in various cellular processes that contribute to nuclear positioning and cell movement. It interacts with other nuclear envelope proteins like SUN proteins forming the LINC (Linker of Nucleoskeleton and Cytoskeleton) complex which ensures mechanical communication within cells. This complex supports the anchoring and movement of the nucleus during cytoskeletal changes. Nesprin-2's anchoring abilities make it essential for maintaining cellular integrity and adaptability during mechanical stress.

Pathways

Nesprin-2 participates in mechanotransduction pathways that convert mechanical stimuli into biochemical signals. It plays a critical role in the actin cytoskeleton organization and nuclear positioning pathways. Through these pathways Nesprin-2 interacts with proteins such as F-actin which are important for maintaining cell shape and mobility. The interactions between Nesprin-2 and cytoskeletal elements help facilitate cell signaling in response to mechanical forces.

Nesprin-2 is linked to muscular dystrophies and cardiomyopathies. In muscular dystrophies mutations in Nesprin-2 or its interacting partners like Emerin impair nuclear-cytoskeletal coupling leading to muscle weakness. In cardiomyopathies Nesprin-2 dysfunction affects cardiac muscle integrity and function where it may interact with proteins like Lamin A/C. Understanding these connections offers potential avenues for researching therapeutic interventions for these conditions.

Product protocols

For this product, it's our understanding that no specific protocols are required. You can visit:

Target data

Multi-isomeric modular protein which forms a linking network between organelles and the actin cytoskeleton to maintain the subcellular spatial organization. As a component of the LINC (LInker of Nucleoskeleton and Cytoskeleton) complex involved in the connection between the nuclear lamina and the cytoskeleton. The nucleocytoplasmic interactions established by the LINC complex play an important role in the transmission of mechanical forces across the nuclear envelope and in nuclear movement and positioning. Specifically, SYNE2 and SUN2 assemble in arrays of transmembrane actin-associated nuclear (TAN) lines which are bound to F-actin cables and couple the nucleus to retrograde actin flow during actin-dependent nuclear movement. May be involved in nucleus-centrosome attachment. During interkinetic nuclear migration (INM) at G2 phase and nuclear migration in neural progenitors its LINC complex association with SUN1/2 and probable association with cytoplasmic dynein-dynactin motor complexes functions to pull the nucleus toward the centrosome; SYNE1 and SYNE2 seem to act redundantly in cerebellum, midbrain, brain stem, and other brain regions except cerebral cortex and hippocampus. During INM at G1 phase mediates respective LINC complex association with kinesin to push the nucleus away from the centrosome. Involved in nuclear migration in retinal photoreceptor progenitors. Required for centrosome migration to the apical cell surface during early ciliogenesis.
See full target information Nesprin 2

Product promise

We are committed to supporting your work with high-quality reagents, and we're here for you every step of the way. In the unlikely event that one of our products does not perform as expected, you're protected by our Product Promise.
For full details, please see our Terms & Conditions

Please note: All products are 'FOR RESEARCH USE ONLY. NOT FOR USE IN DIAGNOSTIC OR THERAPEUTIC PROCEDURES'.

For licensing inquiries, please contact partnerships@abcam.com