JavaScript is disabled in your browser. Please enable JavaScript to view this website.
AB240327

Anti-Nesprin1/Syne-1 antibody [EPR14196] - BSA and Azide free

Be the first to review this product! Submit a review

|

(1 Publication)

Rabbit Recombinant Monoclonal Nesprin1/Syne-1 antibody. Carrier free. Suitable for WB, IHC-P and reacts with Mouse, Rat, Human samples. Cited in 1 publication.

View Alternative Names

C6orf98, KIAA0796, KIAA1262, KIAA1756, MYNE1, SYNE1, Nesprin-1, Enaptin, KASH domain-containing protein 1, Myocyte nuclear envelope protein 1, Nuclear envelope spectrin repeat protein 1, Synaptic nuclear envelope protein 1, KASH1, Myne-1, Syne-1

3 Images
Immunohistochemistry (Formalin/PFA-fixed paraffin-embedded sections) - Anti-Nesprin1/Syne-1 antibody [EPR14196] - BSA and Azide free (AB240327)
  • IHC-P

Supplier Data

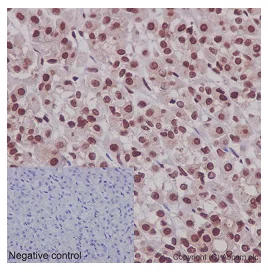
Immunohistochemistry (Formalin/PFA-fixed paraffin-embedded sections) - Anti-Nesprin1/Syne-1 antibody [EPR14196] - BSA and Azide free (AB240327)

Immunohistochemical analysis of paraffin-embedded Human kidney tissue labeling Nesprin1/Syne-1 with ab192234 at 1/250 dilution followed by pre-diluted HRP Polymer for Rabbit/Mouse IgG secondary antibody and counter-stained with Hematoxylin. (inset : negative control).

This data was developed using the same antibody clone in a different buffer formulation containing PBS, BSA, glycerol, and sodium azide (ab192234).

Perform heat mediated antigen retrieval with Tris/EDTA buffer pH 9.0 before commencing with IHC staining protocol.

Immunohistochemistry (Formalin/PFA-fixed paraffin-embedded sections) - Anti-Nesprin1/Syne-1 antibody [EPR14196] - BSA and Azide free (AB240327)
  • IHC-P

Unknown

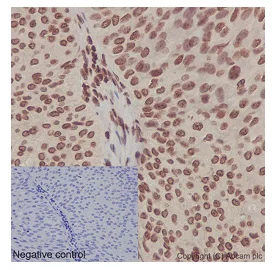
Immunohistochemistry (Formalin/PFA-fixed paraffin-embedded sections) - Anti-Nesprin1/Syne-1 antibody [EPR14196] - BSA and Azide free (AB240327)

Immunohistochemical analysis of paraffin-embedded Human bladder transitional cell carcinoma tissue labeling Nesprin1/Syne-1 with ab192234 at 1/250 dilution followed by pre-diluted HRP Polymer for Rabbit/Mouse IgG secondary antibody and counter-stained with Hematoxylin. (inset : negative control).

This data was developed using the same antibody clone in a different buffer formulation containing PBS, BSA, glycerol, and sodium azide (ab192234).

Perform heat mediated antigen retrieval with Tris/EDTA buffer pH 9.0 before commencing with IHC staining protocol.

Immunohistochemistry (Formalin/PFA-fixed paraffin-embedded sections) - Anti-Nesprin1/Syne-1 antibody [EPR14196] - BSA and Azide free (AB240327)
  • IHC-P

Unknown

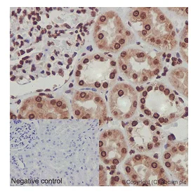
Immunohistochemistry (Formalin/PFA-fixed paraffin-embedded sections) - Anti-Nesprin1/Syne-1 antibody [EPR14196] - BSA and Azide free (AB240327)

Immunohistochemical analysis of paraffin-embedded Rat stomach tissue labeling Nesprin1/Syne-1 with ab192234 at 1/250 dilution followed by pre-diluted HRP Polymer for Rabbit/Mouse IgG secondary antibody and counter-stained with Hematoxylin. (inset : negative control).

This data was developed using the same antibody clone in a different buffer formulation containing PBS, BSA, glycerol, and sodium azide (ab192234).

Perform heat mediated antigen retrieval with Tris/EDTA buffer pH 9.0 before commencing with IHC staining protocol.

Key facts

Host species

Rabbit

Clonality

Monoclonal

Clone number

EPR14196

Isotype

IgG

Carrier free

Yes

Reacts with

Mouse, Rat, Human

Applications

WB, IHC-P

applications

Immunogen

The exact immunogen used to generate this antibody is proprietary information.

Specificity

This antibody is not suitable for using in tissue samples when testing in WB application.

Reactivity data

{ "title": "Reactivity Data", "filters": { "stats": ["", "Species", "Dilution Info", "Notes"], "tabs": { "all-applications": {"fullname" : "All Applications", "shortname": "All Applications"}, "WB" : {"fullname" : "Western blot", "shortname":"WB"}, "IHCP" : {"fullname" : "Immunohistochemistry (Formalin/PFA-fixed paraffin-embedded sections)", "shortname":"IHC-P"}, "ICCIF" : {"fullname" : "Immunocytochemistry/ Immunofluorescence", "shortname":"ICC/IF"}, "FlowCytIntra" : {"fullname" : "Flow Cytometry (Intracellular)", "shortname":"Flow Cyt (Intra)"} }, "product-promise": { "all": "all", "testedAndGuaranteed": "tested", "guaranteed": "expected", "predicted": "predicted", "notRecommended": "not-recommended" } }, "values": { "Human": { "WB-species-checked": "guaranteed", "WB-species-dilution-info": "", "WB-species-notes": "<p></p>", "IHCP-species-checked": "testedAndGuaranteed", "IHCP-species-dilution-info": "", "IHCP-species-notes": "<p></p>", "ICCIF-species-checked": "notRecommended", "ICCIF-species-dilution-info": "", "ICCIF-species-notes": "<p></p>", "FlowCytIntra-species-checked": "notRecommended", "FlowCytIntra-species-dilution-info": "", "FlowCytIntra-species-notes": "<p><a href='/en-us/products/primary-antibodies/rabbit-igg-monoclonal-epr25a-isotype-control-low-endotoxin-azide-free-ab199376'>ab199376</a> - Rabbit monoclonal IgG, is suitable for use as an isotype control with this antibody.</p>" }, "Mouse": { "WB-species-checked": "guaranteed", "WB-species-dilution-info": "", "WB-species-notes": "<p></p>", "IHCP-species-checked": "guaranteed", "IHCP-species-dilution-info": "", "IHCP-species-notes": "<p></p>", "ICCIF-species-checked": "notRecommended", "ICCIF-species-dilution-info": "", "ICCIF-species-notes": "<p></p>", "FlowCytIntra-species-checked": "notRecommended", "FlowCytIntra-species-dilution-info": "", "FlowCytIntra-species-notes": "<p><a href='/en-us/products/primary-antibodies/rabbit-igg-monoclonal-epr25a-isotype-control-low-endotoxin-azide-free-ab199376'>ab199376</a> - Rabbit monoclonal IgG, is suitable for use as an isotype control with this antibody.</p>" }, "Rat": { "WB-species-checked": "guaranteed", "WB-species-dilution-info": "", "WB-species-notes": "<p></p>", "IHCP-species-checked": "guaranteed", "IHCP-species-dilution-info": "", "IHCP-species-notes": "<p></p>", "ICCIF-species-checked": "notRecommended", "ICCIF-species-dilution-info": "", "ICCIF-species-notes": "<p></p>", "FlowCytIntra-species-checked": "notRecommended", "FlowCytIntra-species-dilution-info": "", "FlowCytIntra-species-notes": "<p><a href='/en-us/products/primary-antibodies/rabbit-igg-monoclonal-epr25a-isotype-control-low-endotoxin-azide-free-ab199376'>ab199376</a> - Rabbit monoclonal IgG, is suitable for use as an isotype control with this antibody.</p>" } } }

Product details

ab240327 is the carrier-free version of ab192234.

Patented technology
Our RabMAb® technology is a patented hybridoma-based technology for making rabbit monoclonal antibodies. For details on our patents, please refer to RabMAb® patents.

What are the advantages of a recombinant monoclonal antibody?
This product is a recombinant monoclonal antibody, which offers several advantages including:

  • - High batch-to-batch consistency and reproducibility
  • - Improved sensitivity and specificity
  • - Long-term security of supply
  • - Animal-free batch production

For more information, read more on recombinant antibodies.

Conjugation ready
Our carrier-free antibodies are typically supplied in a PBS-only formulation, purified and free of BSA, sodium azide and glycerol. This conjugation-ready format is designed for use with fluorochromes, metal isotopes, oligonucleotides, and enzymes, which makes them ideal for antibody labelling, functional and cell-based assays, flow-based assays (e.g. mass cytometry) and Multiplex Imaging applications.

Use our conjugation kits for antibody conjugates that are ready-to-use in as little as 20 minutes with 1 minute hands-on-time and 100% antibody recovery: available for fluorescent dyes, HRP, biotin and gold.

Compatibility
This product is compatible with the Maxpar® Antibody Labeling Kit from Fluidigm, without the need for antibody preparation. Maxpar® is a trademark of Fluidigm Canada Inc.

Properties and storage information

Form
Liquid
Purification technique
Affinity purification Protein A
Storage buffer
pH: 7.2 - 7.4 Constituents: PBS
Shipped at conditions
Blue Ice
Appropriate short-term storage conditions
+4°C
Appropriate long-term storage conditions
+4°C
Storage information
Do Not Freeze

Supplementary information

This supplementary information is collated from multiple sources and compiled automatically.

Nesprin1 also known as Syne-1 is a large spectrin repeat protein with a mass of approximately 1002 kDa. It is part of the plakin family of proteins and plays an important role in linking the nuclear envelope to the actin cytoskeleton. Nesprin1 is widely expressed in skeletal and cardiac muscle tissues where it helps maintain nuclear positioning and structural integrity. This protein has several isoforms resulting from alternative splicing which allows it to perform diverse functions in different cellular contexts.
Biological function summary

Nesprin1 acts as an important component of the LINC (Linker of Nucleoskeleton and Cytoskeleton) complex. The LINC complex connects the nuclear envelope to the cytoskeleton facilitating mechanical signal transduction and cellular communication. Nesprin1's interactions with other elements of the cytoskeleton and nuclear envelope help regulate nuclear anchoring and positioning essential for cellular dynamics and function. In muscle cells Nesprin1 stabilizes the nucleus and synchronizes cellular responses to mechanical stress.

Pathways

Nesprin1 participates in nuclear-cytoskeletal coupling pathways that are vital for cellular biomechanics. It associates with proteins such as SUN1 and SUN2 within the LINC complex to mediate structural continuity between the nucleus and the cytoskeleton. Furthermore it plays a role in the mechanotransduction pathway linking external mechanical signals to gene expression changes. This connection is significant for maintaining cellular homeostasis and adaptability in response to mechanical stress.

Nesprin1 mutations are associated with muscular dystrophies particularly Emery-Dreifuss muscular dystrophy (EDMD). This condition involves muscle weakness and cardiac issues highlighting the importance of Nesprin1 in muscle tissue integrity. Additionally Nesprin1 has been linked to cardiomyopathies where its interaction with proteins like emerin and lamin A/C is important for maintaining cardiac muscle health. Alterations in these interactions can lead to disrupted nuclear architecture and contribute to the pathogenesis of these disorders.

Product protocols

For this product, it's our understanding that no specific protocols are required. You can visit:

Target data

Multi-isomeric modular protein which forms a linking network between organelles and the actin cytoskeleton to maintain the subcellular spatial organization. As a component of the LINC (LInker of Nucleoskeleton and Cytoskeleton) complex involved in the connection between the nuclear lamina and the cytoskeleton. The nucleocytoplasmic interactions established by the LINC complex play an important role in the transmission of mechanical forces across the nuclear envelope and in nuclear movement and positioning. May be involved in nucleus-centrosome attachment and nuclear migration in neural progenitors implicating LINC complex association with SUN1/2 and probably association with cytoplasmic dynein-dynactin motor complexes; SYNE1 and SYNE2 may act redundantly. Required for centrosome migration to the apical cell surface during early ciliogenesis. May be involved in nuclear remodeling during sperm head formation in spermatogenesis; a probable SUN3 : SYNE1/KASH1 LINC complex may tether spermatid nuclei to posterior cytoskeletal structures such as the manchette.
See full target information SYNE1

Publications (1)

Recent publications for all applications. Explore the full list and refine your search

iScience 26:105723 PubMed36590169

2023

Assessment of stromal SCD-induced drug resistance of PDAC using 3D-printed zPDX model chips.

Applications

Unspecified application

Species

Unspecified reactive species

Chuntao Wu,Beiyuan Hu,Lei Wang,Xia Wu,Haitao Gu,Hanguang Dong,Jiuliang Yan,Zihao Qi,Qi Zhang,Huan Chen,Bo Yu,Sheng Hu,Yu Qian,Shuang Dong,Qiang Li,Xu Wang,Jiang Long
View all publications

Product promise

We are committed to supporting your work with high-quality reagents, and we're here for you every step of the way. In the unlikely event that one of our products does not perform as expected, you're protected by our Product Promise.
For full details, please see our Terms & Conditions

Please note: All products are 'FOR RESEARCH USE ONLY. NOT FOR USE IN DIAGNOSTIC OR THERAPEUTIC PROCEDURES'.

For licensing inquiries, please contact partnerships@abcam.com