JavaScript is disabled in your browser. Please enable JavaScript to view this website.
AB190010

Anti-Nesprin3 antibody

Be the first to review this product! Submit a review

|

(1 Publication)

Rabbit Polyclonal Nesprin3 antibody. Suitable for WB, IHC-P and reacts with Human samples. Cited in 1 publication. Immunogen corresponding to Synthetic Peptide within Human SYNE3 aa 150-250.

View Alternative Names

C14orf139, C14orf49, LINC00341, SYNE3, Nesprin-3, KASH domain-containing protein 3, Nuclear envelope spectrin repeat protein 3, KASH3

2 Images
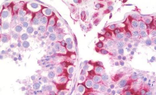
Immunohistochemistry (Formalin/PFA-fixed paraffin-embedded sections) - Anti-Nesprin3 antibody (AB190010)
  • IHC-P

Supplier Data

Immunohistochemistry (Formalin/PFA-fixed paraffin-embedded sections) - Anti-Nesprin3 antibody (AB190010)

Immunohistochemical analysis of Formalin-Fixed, Paraffin-Embedded Human testis tissue labeling Nesprin3 with ab190010 at 10 μg/ml.

Western blot - Anti-Nesprin3 antibody (AB190010)
  • WB

Supplier Data

Western blot - Anti-Nesprin3 antibody (AB190010)

All lanes:

Western blot - Anti-Nesprin3 antibody (ab190010) at 1/500 dilution

Lane 1:

Jurkat cell lysate

Lane 2:

Jurkat cell lysate with synthesized peptide

Predicted band size: 112 kDa

false

Key facts

Host species

Rabbit

Clonality

Polyclonal

Isotype

IgG

Carrier free

No

Reacts with

Human

Applications

IHC-P, WB

applications

Immunogen

Synthetic Peptide within Human SYNE3 aa 150-250. The exact immunogen used to generate this antibody is proprietary information.

Q6ZMZ3

Reactivity data

{ "title": "Reactivity Data", "filters": { "stats": ["", "Species", "Dilution Info", "Notes"], "tabs": { "all-applications": {"fullname" : "All Applications", "shortname": "All Applications"}, "WB" : {"fullname" : "Western blot", "shortname":"WB"}, "IHCP" : {"fullname" : "Immunohistochemistry (Formalin/PFA-fixed paraffin-embedded sections)", "shortname":"IHC-P"} }, "product-promise": { "all": "all", "testedAndGuaranteed": "tested", "guaranteed": "expected", "predicted": "predicted", "notRecommended": "not-recommended" } }, "values": { "Human": { "WB-species-checked": "testedAndGuaranteed", "WB-species-dilution-info": "1/500 - 1/1000", "WB-species-notes": "<p></p>", "IHCP-species-checked": "testedAndGuaranteed", "IHCP-species-dilution-info": "10 µg/mL", "IHCP-species-notes": "<p></p>" }, "Mouse": { "WB-species-checked": "predicted", "WB-species-dilution-info": "", "WB-species-notes": "", "IHCP-species-checked": "predicted", "IHCP-species-dilution-info": "", "IHCP-species-notes": "" } } }

Properties and storage information

Form
Liquid
Purification technique
Affinity purification Immunogen
Storage buffer
pH: 7.4 Preservative: 0.02% Sodium azide Constituents: PBS, 50% Glycerol (glycerin, glycerine), 0.87% Sodium chloride
Shipped at conditions
Blue Ice
Appropriate short-term storage duration
1-2 weeks
Appropriate short-term storage conditions
+4°C
Appropriate long-term storage conditions
-20°C
Aliquoting information
Upon delivery aliquot
Storage information
Avoid freeze / thaw cycle

Supplementary information

This supplementary information is collated from multiple sources and compiled automatically.

Nesprin-3 also known as SYNE3 is a mechanical adaptor protein of around 215 kDa. It belongs to the spectrin repeat family and is primarily expressed in the outer nuclear membrane. This protein anchors the nucleus to the cytoskeleton by interacting with cytoskeletal linkers like plectin. It plays a role in maintaining the structural integrity of the nucleus and cellular architecture due to these anchoring functions.
Biological function summary

Nesprin-3 is involved in the linking of the nuclear envelope to the cytoskeleton and it forms part of the LINC (Linker of Nucleoskeleton and Cytoskeleton) complex. This complex is important for nuclear movement within cells and has a role in signal transduction from the cell surface to the nucleus. Through its ability to bind to other cytoskeletal elements Nesprin-3 contributes to force transmission across the cell impacting cell polarity and migration.

Pathways

Nesprin-3 interacts with several cytoskeletal signaling pathways particularly the actin and intermediate filament pathways. It associates with proteins like plectin and vimentin playing significant parts in cellular mechanics and signaling. By engaging in these pathways Nesprin-3 helps control cellular responses to mechanical stress and influences various processes including cell migration and division.

Nesprin-3 has been linked to muscular dystrophies and certain cancers. In muscular dystrophies its interactions with plectin can become disrupted leading to compromised muscle integrity and function. In cancer changes in its expression or interactions may affect cell movement and invasion contributing to metastasis. Its role in these diseases highlights its importance in maintaining proper cell architecture and function.

Product protocols

For this product, it's our understanding that no specific protocols are required. You can visit:

Target data

As a component of the LINC (LInker of Nucleoskeleton and Cytoskeleton) complex involved in the connection between the nuclear lamina and the cytoskeleton. The nucleocytoplasmic interactions established by the LINC complex play an important role in the transmission of mechanical forces across the nuclear envelope and in nuclear movement and positioning. Probable anchoring protein which tethers the nucleus to the cytoskeleton by binding PLEC which can associate with the intermediate filament system. Plays a role in the regulation of aortic epithelial cell morphology, and is required for flow-induced centrosome polarization and directional migration in aortic endothelial cells.
See full target information SYNE3

Publications (1)

Recent publications for all applications. Explore the full list and refine your search

Frontiers in oncology 11:719564 PubMed34722263

2021

Single-Cell RNA Sequencing in Multiple Pathologic Types of Renal Cell Carcinoma Revealed Novel Potential Tumor-Specific Markers.

Applications

Unspecified application

Species

Unspecified reactive species

Cheng Su,Yufang Lv,Wenhao Lu,Zhenyuan Yu,Yu Ye,Bingqian Guo,Deyun Liu,Haibiao Yan,Tianyu Li,Qingyun Zhang,Jiwen Cheng,Zengnan Mo
View all publications

Product promise

We are committed to supporting your work with high-quality reagents, and we're here for you every step of the way. In the unlikely event that one of our products does not perform as expected, you're protected by our Product Promise.
For full details, please see our Terms & Conditions

Please note: All products are 'FOR RESEARCH USE ONLY. NOT FOR USE IN DIAGNOSTIC OR THERAPEUTIC PROCEDURES'.

For licensing inquiries, please contact partnerships@abcam.com