JavaScript is disabled in your browser. Please enable JavaScript to view this website.
AB18102

Anti-Nestin antibody [2C1.3A11] - Neural Stem Cell Marker

5

(1 Review)

|

(40 Publications)

Anti-Nestin antibody [2C1.3A11] (ab18102) is a mouse monoclonal antibody detecting Nestin in Western Blot, Flow Cytometry, IHC-P, ICC/IF. Suitable for Human.

- KO validated for confirmed specificity
- Over 20 publications
- Trusted since 2005

View Alternative Names

Nbla00170, NES, Nestin

7 Images
Western blot - Anti-Nestin antibody [2C1.3A11] - Neural Stem Cell Marker (AB18102)
  • WB

Lab

Western blot - Anti-Nestin antibody [2C1.3A11] - Neural Stem Cell Marker (AB18102)

Lanes 1 - 2 : Merged signal (red and green). Green - ab18102 observed at 300 kDa. Red - loading control, ab176560, observed at 50 kDa.

ab18102 was shown to recognize NES in wild-type HAP1 cells as signal was lost at the expected MW in NES knockout cells. Additional cross-reactive bands were observed in the wild-type and knockout cells. Wild-type and NES knockout samples were subjected to SDS-PAGE. ab18102 and ab176560 (Rabbit anti-alpha Tubulin loading control) were incubated overnight at 4°C at 1/5000 dilution and 1/20000 dilution respectively. Blots were developed with Goat anti-Mouse IgG H&L (IRDye® 800CW) preabsorbed ab216772 and Goat anti-Rabbit IgG H&L (IRDye® 680RD) preabsorbed ab216777 secondary antibodies at 1/20000 dilution for 1 hour at room temperature before imaging.

All lanes:

Western blot - Anti-Nestin antibody [2C1.3A11] - Neural Stem Cell Marker (ab18102) at 1/5000 dilution

Lane 1:

Wild-type HAP1 whole cell lysate at 20 µg

Lane 2:

NES knockout HAP1 whole cell lysate at 20 µg

Predicted band size: 177 kDa

false

Immunohistochemistry (Formalin/PFA-fixed paraffin-embedded sections) - Anti-Nestin antibody [2C1.3A11] - Neural Stem Cell Marker (AB18102)
  • IHC-P

Supplier Data

Immunohistochemistry (Formalin/PFA-fixed paraffin-embedded sections) - Anti-Nestin antibody [2C1.3A11] - Neural Stem Cell Marker (AB18102)

Immunohistochemistry (Formalin/PFA-fixed paraffin-embedded sections) analysis of migrating tumor cells labelling Nestin with ab18102 at 2μg/ml. Cytoplasm and membrane positive staining shown.

Immunohistochemistry (Formalin/PFA-fixed paraffin-embedded sections) - Anti-Nestin antibody [2C1.3A11] - Neural Stem Cell Marker (AB18102)
  • IHC-P

Unknown

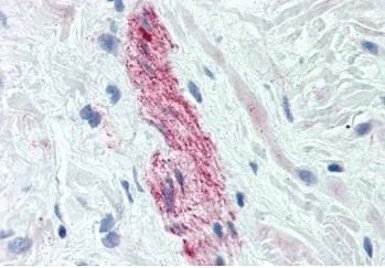
Immunohistochemistry (Formalin/PFA-fixed paraffin-embedded sections) - Anti-Nestin antibody [2C1.3A11] - Neural Stem Cell Marker (AB18102)

Immunohistochemistry of Anti-Nestin on formalin fixed paraffin embedded prostate nerve tissue using ab18102

Flow Cytometry - Anti-Nestin antibody [2C1.3A11] - Neural Stem Cell Marker (AB18102)
  • Flow Cyt

Unknown

Flow Cytometry - Anti-Nestin antibody [2C1.3A11] - Neural Stem Cell Marker (AB18102)

Overlay histogram showing SH-SY5Y cells stained with ab18102 (red line). The cells were fixed with 4% paraformaldehyde (10 min) and then permeabilized with 0.1% PBS-Tween for 20 min. The cells were then incubated in 1x PBS / 10% normal goat serum / 0.3M glycine to block non-specific protein-protein interactions followed by the antibody (ab18102, 1/200 dilution) for 30 min at 22°C. The secondary antibody used was DyLight® 488 goat anti-mouse IgG (H+L) (ab96879) at 1/500 dilution for 30 min at 22°C. Isotype control antibody (black line) was mouse IgG1 [ICIGG1] (ab91353, 2μg/1x106 cells) used under the same conditions. Acquisition of >5,000 events was performed.

Immunocytochemistry/ Immunofluorescence - Anti-Nestin antibody [2C1.3A11] - Neural Stem Cell Marker (AB18102)
  • ICC/IF

Unknown

Immunocytochemistry/ Immunofluorescence - Anti-Nestin antibody [2C1.3A11] - Neural Stem Cell Marker (AB18102)

Immunofluorescence staining of U251 cells (glioblastoma cell line) stained using ab18102(green) and bisbenzimide (blue)

Immunohistochemistry (Formalin/PFA-fixed paraffin-embedded sections) - Anti-Nestin antibody [2C1.3A11] - Neural Stem Cell Marker (AB18102)
  • IHC-P

Supplier Data

Immunohistochemistry (Formalin/PFA-fixed paraffin-embedded sections) - Anti-Nestin antibody [2C1.3A11] - Neural Stem Cell Marker (AB18102)

Immunohistochemistry (Formalin/PFA-fixed paraffin-embedded sections) analysis of xenograft tumor cells labelling Nestin with ab18102.

Western blot - Anti-Nestin antibody [2C1.3A11] - Neural Stem Cell Marker (AB18102)
  • WB

Supplier Data

Western blot - Anti-Nestin antibody [2C1.3A11] - Neural Stem Cell Marker (AB18102)

All lanes:

Western blot - Anti-Nestin antibody [2C1.3A11] - Neural Stem Cell Marker (ab18102) at 1/1000 dilution

Lane 1:

Total rat brain protein at 5 µg

Lane 2:

Human CNS progenitor cell protein at 1 µg

Lane 3:

Human CNS progenitor cell protein at 5 µg

Predicted band size: 177 kDa

false

  • 519 FITC

    FITC Anti-Nestin antibody [2C1.3A11] - Neural Stem Cell Marker

Key facts

Host species

Mouse

Clonality

Monoclonal

Clone number

2C1.3A11

Isotype

IgG1

Carrier free

No

Reacts with

Human

Applications

Flow Cyt, WB, IHC-P, ICC/IF

applications

Immunogen

Recombinant Fragment Protein within Human NES aa 1450 to C-terminus. The exact immunogen used to generate this antibody is proprietary information.

P48681

Reactivity data

{ "title": "Reactivity Data", "filters": { "stats": ["", "Species", "Dilution Info", "Notes"], "tabs": { "all-applications": {"fullname" : "All Applications", "shortname": "All Applications"}, "FlowCyt" : {"fullname" : "Flow Cytometry", "shortname":"Flow Cyt"}, "WB" : {"fullname" : "Western blot", "shortname":"WB"}, "IHCP" : {"fullname" : "Immunohistochemistry (Formalin/PFA-fixed paraffin-embedded sections)", "shortname":"IHC-P"}, "ICCIF" : {"fullname" : "Immunocytochemistry/ Immunofluorescence", "shortname":"ICC/IF"} }, "product-promise": { "all": "all", "testedAndGuaranteed": "tested", "guaranteed": "expected", "predicted": "predicted", "notRecommended": "not-recommended" } }, "values": { "Human": { "FlowCyt-species-checked": "testedAndGuaranteed", "FlowCyt-species-dilution-info": "1/200", "FlowCyt-species-notes": "<p><a href='/en-us/products/primary-antibodies/mouse-igg1-kappa-monoclonal-15-6e10a7-isotype-control-ab170190'>ab170190</a> - Mouse monoclonal IgG1, is suitable for use as an isotype control with this antibody.</p>", "WB-species-checked": "testedAndGuaranteed", "WB-species-dilution-info": "1/1000 - 1/5000", "WB-species-notes": "<p></p>", "IHCP-species-checked": "testedAndGuaranteed", "IHCP-species-dilution-info": "", "IHCP-species-notes": "<p></p>", "ICCIF-species-checked": "testedAndGuaranteed", "ICCIF-species-dilution-info": "1/100 - 1/500", "ICCIF-species-notes": "<p></p>" }, "Rat": { "FlowCyt-species-checked": "notRecommended", "FlowCyt-species-dilution-info": "1/200", "FlowCyt-species-notes": "<p><a href='/en-us/products/primary-antibodies/mouse-igg1-kappa-monoclonal-15-6e10a7-isotype-control-ab170190'>ab170190</a> - Mouse monoclonal IgG1, is suitable for use as an isotype control with this antibody.</p>", "WB-species-checked": "notRecommended", "WB-species-dilution-info": "", "WB-species-notes": "", "IHCP-species-checked": "notRecommended", "IHCP-species-dilution-info": "", "IHCP-species-notes": "<p></p>", "ICCIF-species-checked": "notRecommended", "ICCIF-species-dilution-info": "1/100 - 1/500", "ICCIF-species-notes": "<p></p>" } } }

Product details

What is this antibody validated in?
Anti-Nestin antibody [2C1.3A11] (ab18102) is a mouse monoclonal antibody and is validated for use in Western Blot (WB), Flow Cytometry (Flow Cyt), Immunohistochemistry (IHC-P), Immunocytochemistry/immunofluorescence (ICC/IF) in Human samples.

What is the molecular weight of Nestin?
Anti-Nestin [2C1.3A11] (ab18102) specifically detects a band for Nestin (UniProt: P48681) at a molecular weight of 177kDa.

Trusted by the scientific community
Anti-Nestin [2C1.3A11] (ab18102) was first used in a scientific publication in 2005 and has been cited over 20 times in peer-reviewed journals.

Specificity confirmed
The specificity of Anti-Nestin antibody [2C1.3A11] (ab18102) has been confirmed by Western blot testing in NES Knockout HAP1 cells.

Properties and storage information

Form
Liquid
Purification technique
Affinity purification Protein G
Storage buffer
Preservative: 0.1% Sodium azide Constituents: PBS
Shipped at conditions
Blue Ice
Appropriate short-term storage duration
1-2 weeks
Appropriate short-term storage conditions
+4°C
Appropriate long-term storage conditions
-20°C
Aliquoting information
Upon delivery aliquot
Storage information
Avoid freeze / thaw cycle

Supplementary information

This supplementary information is collated from multiple sources and compiled automatically.

Nestin also known as NES is an intermediate filament protein with a molecular weight of about 220 kDa. Nestin features prominently in cells related to the nervous system including neural stem cells and it serves as a structural component in these cells. Nestin also appears in substantial amounts during the development of the nervous system and is important for cell structural organization. It is often used as a Nestin marker in research particularly with Nestin antibodies for identifying the presence of neural stem cells and tracking their developmental course. Researchers frequently utilize techniques like Nestin IHC (immunohistochemistry) and Nestin western blot to stain and detect Nestin allowing detailed investigations into its expression in various tissues.
Biological function summary

Nestin plays a significant role in the dynamic remodeling of the cytoskeleton. It does not act as a solitary element but forms part of a larger protein complex involved in maintaining and organizing cellular structure. This property grants cells flexibility in shape and resilience during the rapid changes in development and specialization. The role of Nestin in the cellular architecture allows it to contribute to processes such as cell migration and proliferation critical during tissue development and repair.

Pathways

Nestin integrates into networks that regulate stem cell behavior and neurogenesis. It tightly interacts within the pathways involving cell cycle regulation and differentiation. For example the Wnt and Notch signaling pathways modulate its expression to influence neural stem cell fate and patterning during development. Protein interactions between Nestin and other cytoskeletal elements like vimentin facilitate its roles in these pathways adapting the cellular environment for specific developmental activities.

Nestin associates with various pathological conditions including brain tumors and muscular dystrophies. Its expression is aberrant in many forms of gliomas where it often signifies a higher grade of malignancy. Within these tumors Nestin connects to oncogenic signaling pathways involving proteins such as the epidermal growth factor receptor (EGFR). Moreover in muscular dystrophies Nestin's expression in regenerating muscle fibers illustrates its involvement in cellular repair mechanisms potentially interacting with dystrophin a protein important for muscle integrity. Research on anti-Nestin antibodies continues to clarify its role in these diseases potentially offering diagnostic or therapeutic insights.

Product protocols

For this product, it's our understanding that no specific protocols are required. You can visit:

Target data

Required for brain and eye development. Promotes the disassembly of phosphorylated vimentin intermediate filaments (IF) during mitosis and may play a role in the trafficking and distribution of IF proteins and other cellular factors to daughter cells during progenitor cell division. Required for survival, renewal and mitogen-stimulated proliferation of neural progenitor cells (By similarity).
See full target information NES

Publications (40)

Recent publications for all applications. Explore the full list and refine your search

International journal of molecular sciences 26: PubMed41009511

2025

Functional Recovery by Transplantation of Human iPSC-Derived A2B5 Positive Neural Progenitor Cell After Spinal Cord Injury in Mice.

Applications

Unspecified application

Species

Unspecified reactive species

Yiyan Zheng,Xiaohui Chen,Ping Bu,Haipeng Xue,Dong H Kim,Hongxia Zhou,Xugang Xia,Ying Liu,Qilin Cao

Nature communications 15:10885 PubMed39738017

2024

Turning attention to tumor-host interface and focus on the peritumoral heterogeneity of glioblastoma.

Applications

Unspecified application

Species

Unspecified reactive species

Fang Wang,Jiawei Dong,Yuyun Xu,Jiaqi Jin,Yan Xu,Xiuwei Yan,Zhihui Liu,Hongtao Zhao,Jiheng Zhang,Nan Wang,Xueyan Hu,Xin Gao,Lei Xu,Chengyun Yang,Shuai Ma,Jianyang Du,Ying Hu,Hang Ji,Shaoshan Hu

Stem cell research 79:103472 PubMed38889632

2024

Generation of a human induced pluripotent stem cell line (FSMi001-A) from fibroblasts of a patient carrying heterozygous mutation in the REEP1 gene.

Applications

Unspecified application

Species

Unspecified reactive species

Matteo Baggiani,Filippo Maria Santorelli,Serena Mero,Flavia Privitera,Devid Damiani,Alessandra Tessa

International journal of molecular sciences 25: PubMed38891784

2024

Constitutive Neurogenesis and Neuronal Plasticity in the Adult Cerebellum and Brainstem of Rainbow Trout, .

Applications

Unspecified application

Species

Unspecified reactive species

Evgeniya Vladislavovna Pushchina,Anatoly Alekseevich Varaksin

International journal of molecular sciences 25: PubMed38731839

2024

Reduced Expression of CLEC4G in Neurons Is Associated with Alzheimer's Disease.

Applications

Unspecified application

Species

Unspecified reactive species

Xinwei Feng,Fangfang Qi,Yuying Huang,Ge Zhang,Wenbin Deng

Cancers 16: PubMed38398205

2024

Transduction Efficiency of Zika Virus E Protein Pseudotyped HIV-1 and Its Oncolytic Activity Tested in Primary Glioblastoma Cell Cultures.

Applications

Unspecified application

Species

Unspecified reactive species

Jan Patrick Formanski,Hai Dang Ngo,Vivien Grunwald,Celine Pöhlking,Jana Sue Jonas,Dominik Wohlers,Birco Schwalbe,Michael Schreiber

Molecular psychiatry 29:809-819 PubMed38135757

2023

ABCA7 deficiency causes neuronal dysregulation by altering mitochondrial lipid metabolism.

Applications

Unspecified application

Species

Unspecified reactive species

Keiji Kawatani,Marie-Louise Holm,Skylar C Starling,Yuka A Martens,Jing Zhao,Wenyan Lu,Yingxue Ren,Zonghua Li,Peizhou Jiang,Yangying Jiang,Samantha K Baker,Ni Wang,Bhaskar Roy,Tammee M Parsons,Ralph B Perkerson,Hanmei Bao,Xianlin Han,Guojun Bu,Takahisa Kanekiyo

International journal of molecular sciences 24: PubMed37833934

2023

Development of Zika Virus E Variants for Pseudotyping Retroviral Vectors Targeting Glioblastoma Cells.

Applications

Unspecified application

Species

Unspecified reactive species

Vivien Grunwald,Hai Dang Ngo,Jan Patrick Formanski,Jana Sue Jonas,Celine Pöhlking,Birco Schwalbe,Michael Schreiber

Stem cell research & therapy 14:214 PubMed37605285

2023

APOE deficiency impacts neural differentiation and cholesterol biosynthesis in human iPSC-derived cerebral organoids.

Applications

Unspecified application

Species

Unspecified reactive species

Jing Zhao,Tadafumi C Ikezu,Wenyan Lu,Jesse R Macyczko,Yonghe Li,Laura J Lewis-Tuffin,Yuka A Martens,Yingxue Ren,Yiyang Zhu,Yan W Asmann,Nilüfer Ertekin-Taner,Takahisa Kanekiyo,Guojun Bu

Journal of proteome research 22:1843-1854 PubMed37097202

2023

Quantitative Proteomics for the Development and Manufacturing of Human-Induced Pluripotent Stem Cell-Derived Neural Stem Cells Using Data-Independent Acquisition Mass Spectrometry.

Applications

Unspecified application

Species

Unspecified reactive species

Takaya Urasawa,Takumi Koizumi,Kazumasa Kimura,Yuki Ohta,Nana Kawasaki
View all publications

Product promise

We are committed to supporting your work with high-quality reagents, and we're here for you every step of the way. In the unlikely event that one of our products does not perform as expected, you're protected by our Product Promise.
For full details, please see our Terms & Conditions

Please note: All products are 'FOR RESEARCH USE ONLY. NOT FOR USE IN DIAGNOSTIC OR THERAPEUTIC PROCEDURES'.

For licensing inquiries, please contact partnerships@abcam.com