JavaScript is disabled in your browser. Please enable JavaScript to view this website.
AB237036

Anti-Nestin antibody [EPR22023] - BSA and Azide free

0

(1 Review)

|

(3 Publications)

Rabbit Recombinant Monoclonal Nestin antibody. Carrier free. Suitable for WB, IHC-Fr, IHC-P and reacts with Mouse, Rat samples. Cited in 3 publications.

View Alternative Names

Nestin, Nes

5 Images
Immunohistochemistry (Frozen sections) - Anti-Nestin antibody [EPR22023] - BSA and Azide free (AB237036)
  • IHC-Fr

Supplier Data

Immunohistochemistry (Frozen sections) - Anti-Nestin antibody [EPR22023] - BSA and Azide free (AB237036)

Immunohistochemical analysis of 4% PFA-fixed, 0.2% Triton X-100 permeabilized frozen mouse kidney tissue labeling Nestin with ab221660 at 1/100 dilution (green), followed by ab150077 AlexaFluor®488 Goat anti-Rabbit secondary at a 1/1000 dilution. Cytoplasmic staining in glomeruli of mouse kidney (PMID : 17210924) is observed. Counter stained with DAPI (blue).
Secondary antibody only control : Used PBS instead of primary antibody, secondary antibody is ab150077 AlexaFluor®488 Goat anti-Rabbit at a 1/1000 dilution.

Perform heat-mediated antigen retrieval by using sodium citrate buffer (10mM citrate pH 6.0 + 0.05% Tween-20).

This data was developed using the same antibody clone in a different buffer formulation containing PBS, BSA, glycerol, and sodium azide (ab221660).

Immunohistochemistry (Frozen sections) - Anti-Nestin antibody [EPR22023] - BSA and Azide free (AB237036)
  • IHC-Fr

Unknown

Immunohistochemistry (Frozen sections) - Anti-Nestin antibody [EPR22023] - BSA and Azide free (AB237036)

Immunohistochemical analysis of 4% PFA-fixed, 0.2% Triton X-100 permeabilized frozen rat kidney tissue labeling Nestin with ab221660 at 1/100 dilution (green), followed by ab150077 AlexaFluor®488 Goat anti-Rabbit secondary at a 1/1000 dilution. Cytoplasmic staining in glomeruli of rat kidney (PMID : 17210924) is observed. Counter stained with DAPI (blue).
Secondary antibody only control : Used PBS instead of primary antibody, secondary antibody is ab150077 AlexaFluor®488 Goat anti-Rabbit at a 1/1000 dilution.

Perform heat-mediated antigen retrieval by using sodium citrate buffer (10mM citrate pH 6.0 + 0.05% Tween-20).

This data was developed using the same antibody clone in a different buffer formulation containing PBS, BSA, glycerol, and sodium azide (ab221660).

Immunohistochemistry (Formalin/PFA-fixed paraffin-embedded sections) - Anti-Nestin antibody [EPR22023] - BSA and Azide free (AB237036)
  • IHC-P

Unknown

Immunohistochemistry (Formalin/PFA-fixed paraffin-embedded sections) - Anti-Nestin antibody [EPR22023] - BSA and Azide free (AB237036)

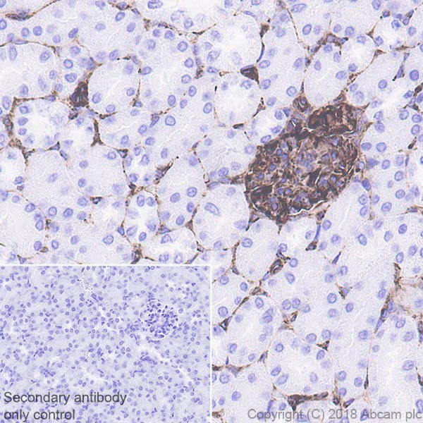
Immunohistochemical analysis of paraffin-embedded mouse kidney tissue labeling Nestin with ab221660 at 1/2000 dilution, followed by a ready to use Goat Anti-Rabbit IgG H&L (HRP). Positive staining of glomerulus and stromal cells in mouse kidney (PMID : 17210924) is observed. Counter stained with Hematoxylin.
Secondary antibody only control : Used PBS instead of primary antibody, secondary antibody is a ready to use Goat Anti-Rabbit IgG H&L (HRP).

This data was developed using the same antibody clone in a different buffer formulation containing PBS, BSA, glycerol, and sodium azide (ab221660).

Perform heat mediated antigen retrieval with Tris/EDTA buffer pH 9.0 before commencing with IHC staining protocol.

Immunohistochemistry (Formalin/PFA-fixed paraffin-embedded sections) - Anti-Nestin antibody [EPR22023] - BSA and Azide free (AB237036)
  • IHC-P

Unknown

Immunohistochemistry (Formalin/PFA-fixed paraffin-embedded sections) - Anti-Nestin antibody [EPR22023] - BSA and Azide free (AB237036)

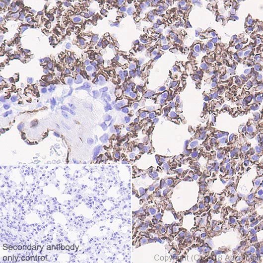
Immunohistochemical analysis of paraffin-embedded mouse lung tissue labeling Nestin with ab221660 at 1/2000 dilution, followed by a ready to use Goat Anti-Rabbit IgG H&L (HRP). Positive staining in mouse lung (PMID : 17210924) is observed. Counter stained with Hematoxylin.
Secondary antibody only control : Used PBS instead of primary antibody, secondary antibody is a ready to use Goat Anti-Rabbit IgG H&L (HRP).

This data was developed using the same antibody clone in a different buffer formulation containing PBS, BSA, glycerol, and sodium azide (ab221660).

Perform heat mediated antigen retrieval with Tris/EDTA buffer pH 9.0 before commencing with IHC staining protocol.

Immunohistochemistry (Formalin/PFA-fixed paraffin-embedded sections) - Anti-Nestin antibody [EPR22023] - BSA and Azide free (AB237036)
  • IHC-P

Unknown

Immunohistochemistry (Formalin/PFA-fixed paraffin-embedded sections) - Anti-Nestin antibody [EPR22023] - BSA and Azide free (AB237036)

Immunohistochemical analysis of paraffin-embedded mouse embryonic day 14.5 cerebrum tissue labeling Nestin with ab221660 at 1/2000 dilution, followed by a ready to use Goat Anti-Rabbit IgG H&L (HRP). Positive staining on cerebrum of embryonic day 14.5 mouse (PMID : 16728475) is observed. Counter stained with Hematoxylin.
Secondary antibody only control : Used PBS instead of primary antibody, secondary antibody is a ready to use Goat Anti-Rabbit IgG H&L (HRP).

This data was developed using the same antibody clone in a different buffer formulation containing PBS, BSA, glycerol, and sodium azide (ab221660).

Perform heat mediated antigen retrieval with Tris/EDTA buffer pH 9.0 before commencing with IHC staining protocol.

  • Unconjugated

    Anti-Nestin antibody [EPR22023] - Neural Stem Cell Marker

  • 603 Alexa Fluor® 568

    Alexa Fluor® 568 Anti-Nestin antibody [EPR22023] - Neural Stem Cell Marker

  • 665 Alexa Fluor® 647

    Alexa Fluor® 647 Anti-Nestin antibody [EPR22023] - Neural Stem Cell Marker

  • 519 Alexa Fluor® 488

    Alexa Fluor® 488 Anti-Nestin antibody [EPR22023] - Neural Stem Cell Marker

  • 617 Alexa Fluor® 594

    Alexa Fluor® 594 Anti-Nestin antibody [EPR22023] - Neural Stem Cell Marker

  • 565 Alexa Fluor® 555

    Alexa Fluor® 555 Anti-Nestin antibody [EPR22023] - Neural Stem Cell Marker

Key facts

Host species

Rabbit

Clonality

Monoclonal

Clone number

EPR22023

Isotype

IgG

Carrier free

Yes

Reacts with

Mouse, Rat

Applications

IHC-Fr, IHC-P, WB

applications

Immunogen

The exact immunogen used to generate this antibody is proprietary information.

Reactivity data

{ "title": "Reactivity Data", "filters": { "stats": ["", "Species", "Dilution Info", "Notes"], "tabs": { "all-applications": {"fullname" : "All Applications", "shortname": "All Applications"}, "WB" : {"fullname" : "Western blot", "shortname":"WB"}, "IHCFr" : {"fullname" : "Immunohistochemistry (Frozen sections)", "shortname":"IHC-Fr"}, "IHCP" : {"fullname" : "Immunohistochemistry (Formalin/PFA-fixed paraffin-embedded sections)", "shortname":"IHC-P"} }, "product-promise": { "all": "all", "testedAndGuaranteed": "tested", "guaranteed": "expected", "predicted": "predicted", "notRecommended": "not-recommended" } }, "values": { "Mouse": { "WB-species-checked": "guaranteed", "WB-species-dilution-info": "", "WB-species-notes": "<p></p>", "IHCFr-species-checked": "testedAndGuaranteed", "IHCFr-species-dilution-info": "", "IHCFr-species-notes": "<p>Perform heat-mediated antigen retrieval using sodium citrate buffer (10 mM citrate pH 6.0 + 0.05% Tween-20)</p>", "IHCP-species-checked": "testedAndGuaranteed", "IHCP-species-dilution-info": "", "IHCP-species-notes": "<p></p>" }, "Rat": { "WB-species-checked": "guaranteed", "WB-species-dilution-info": "", "WB-species-notes": "<p></p>", "IHCFr-species-checked": "predicted", "IHCFr-species-dilution-info": "", "IHCFr-species-notes": "", "IHCP-species-checked": "predicted", "IHCP-species-dilution-info": "", "IHCP-species-notes": "" } } }

Product details

ab237036 is the carrier-free version of ab221660.

Patented technology
Our RabMAb® technology is a patented hybridoma-based technology for making rabbit monoclonal antibodies. For details on our patents, please refer to RabMAb® patents.

What are the advantages of a recombinant monoclonal antibody?
This product is a recombinant monoclonal antibody, which offers several advantages including:

  • - High batch-to-batch consistency and reproducibility
  • - Improved sensitivity and specificity
  • - Long-term security of supply
  • - Animal-free batch production

For more information, read more on recombinant antibodies.

Conjugation ready
Our carrier-free antibodies are typically supplied in a PBS-only formulation, purified and free of BSA, sodium azide and glycerol. This conjugation-ready format is designed for use with fluorochromes, metal isotopes, oligonucleotides, and enzymes, which makes them ideal for antibody labelling, functional and cell-based assays, flow-based assays (e.g. mass cytometry) and Multiplex Imaging applications.

Use our conjugation kits for antibody conjugates that are ready-to-use in as little as 20 minutes with 1 minute hands-on-time and 100% antibody recovery: available for fluorescent dyes, HRP, biotin and gold.

Compatibility
This product is compatible with the Maxpar® Antibody Labeling Kit from Fluidigm, without the need for antibody preparation. Maxpar® is a trademark of Fluidigm Canada Inc.

Properties and storage information

Form
Liquid
Purification technique
Affinity purification Protein A
Storage buffer
pH: 7.2 - 7.4 Constituents: PBS
Shipped at conditions
Blue Ice
Appropriate short-term storage conditions
+4°C
Appropriate long-term storage conditions
+4°C
Storage information
Do Not Freeze

Supplementary information

This supplementary information is collated from multiple sources and compiled automatically.

Nestin also known as NES is an intermediate filament protein with a molecular weight of about 220 kDa. Nestin features prominently in cells related to the nervous system including neural stem cells and it serves as a structural component in these cells. Nestin also appears in substantial amounts during the development of the nervous system and is important for cell structural organization. It is often used as a Nestin marker in research particularly with Nestin antibodies for identifying the presence of neural stem cells and tracking their developmental course. Researchers frequently utilize techniques like Nestin IHC (immunohistochemistry) and Nestin western blot to stain and detect Nestin allowing detailed investigations into its expression in various tissues.
Biological function summary

Nestin plays a significant role in the dynamic remodeling of the cytoskeleton. It does not act as a solitary element but forms part of a larger protein complex involved in maintaining and organizing cellular structure. This property grants cells flexibility in shape and resilience during the rapid changes in development and specialization. The role of Nestin in the cellular architecture allows it to contribute to processes such as cell migration and proliferation critical during tissue development and repair.

Pathways

Nestin integrates into networks that regulate stem cell behavior and neurogenesis. It tightly interacts within the pathways involving cell cycle regulation and differentiation. For example the Wnt and Notch signaling pathways modulate its expression to influence neural stem cell fate and patterning during development. Protein interactions between Nestin and other cytoskeletal elements like vimentin facilitate its roles in these pathways adapting the cellular environment for specific developmental activities.

Nestin associates with various pathological conditions including brain tumors and muscular dystrophies. Its expression is aberrant in many forms of gliomas where it often signifies a higher grade of malignancy. Within these tumors Nestin connects to oncogenic signaling pathways involving proteins such as the epidermal growth factor receptor (EGFR). Moreover in muscular dystrophies Nestin's expression in regenerating muscle fibers illustrates its involvement in cellular repair mechanisms potentially interacting with dystrophin a protein important for muscle integrity. Research on anti-Nestin antibodies continues to clarify its role in these diseases potentially offering diagnostic or therapeutic insights.

Product protocols

For this product, it's our understanding that no specific protocols are required. You can visit:

Target data

Required for brain and eye development. Promotes the disassembly of phosphorylated vimentin intermediate filaments (IF) during mitosis and may play a role in the trafficking and distribution of IF proteins and other cellular factors to daughter cells during progenitor cell division (By similarity). Required for survival, renewal and mitogen-stimulated proliferation of neural progenitor cells.
See full target information Nes

Publications (3)

Recent publications for all applications. Explore the full list and refine your search

Neoplasia (New York, N.Y.) 32:100825 PubMed35901621

2022

Longitudinal examination of perfusion and angiogenesis markers in primary colorectal tumors shows distinct signatures for metronomic and maximum-tolerated dose strategies.

Applications

Unspecified application

Species

Unspecified reactive species

Ariel I Mundo,Abdussaboor Muhammad,Kerlin Balza,Christopher E Nelson,Timothy J Muldoon

Oxidative medicine and cellular longevity 2022:6503504 PubMed35669854

2022

Mild Hypothermia Promotes Ischemic Tolerance and Survival of Neural Stem Cell Grafts by Enhancing Global SUMOylation.

Applications

Unspecified application

Species

Unspecified reactive species

Heng Cai,Xiaofang Ma,Dading Lu,Liangyu Chen,Xiyun Bian,Nan Zhang,Wei Tang,Xiaozhi Liu,Zhiqing Li

Journal of experimental & clinical cancer research 38:278 PubMed31238980

2019

Long noncoding RNA MYOSLID promotes invasion and metastasis by modulating the partial epithelial-mesenchymal transition program in head and neck squamous cell carcinoma.

Applications

Unspecified application

Species

Unspecified reactive species

Hong-Gang Xiong,Hao Li,Yao Xiao,Qi-Chao Yang,Lei-Lei Yang,Lei Chen,Lin-Lin Bu,Wen-Feng Zhang,Jia-Li Zhang,Zhi-Jun Sun
View all publications

Product promise

We are committed to supporting your work with high-quality reagents, and we're here for you every step of the way. In the unlikely event that one of our products does not perform as expected, you're protected by our Product Promise.
For full details, please see our Terms & Conditions

Please note: All products are 'FOR RESEARCH USE ONLY. NOT FOR USE IN DIAGNOSTIC OR THERAPEUTIC PROCEDURES'.

For licensing inquiries, please contact partnerships@abcam.com