JavaScript is disabled in your browser. Please enable JavaScript to view this website.
AB324884

Anti-Nestin antibody [RM1345]

  • RabMAb
  • Recombinant
  • 20ul selling size
  • KO Validated
  • What is this?

Be the first to review this product! Submit a review

|

(0 Publication)

Rabbit Recombinant Multiclonal Nestin antibody. Suitable for Flow Cyt (Intra), WB, IHC-P, ICC/IF, IHC-Fr and reacts with Human, Mouse samples.

View Alternative Names

Nbla00170, NES, Nestin

13 Images
Flow Cytometry (Intracellular) - Anti-Nestin antibody [RM1345] (AB324884)
  • Flow Cyt (Intra)

Lab

Flow Cytometry (Intracellular) - Anti-Nestin antibody [RM1345] (AB324884)

Flow cytometric analysis of 4% paraformaldehyde fixed 90% methanol permeabilized NES KO HAP1(HO010139) (NES knockout human chronic myelogenous leukemia near-haploid cell) (Magenta) Parental HAP1(HOWT01) (Green) cells labelling Nestin with ab324884 at 1/50000 dilution (0.001ug) / Green and Magenta compared with a Rabbit monoclonal IgG (ab172730) / Black and Grey isotype control and an unlabelled control (cells without incubation with primary antibody and secondary antibody).

Goat Anti-Rabbit IgG (Alexa Fluor® 488, ab150081) at 1/5000 dilution was used as the secondary antibody.

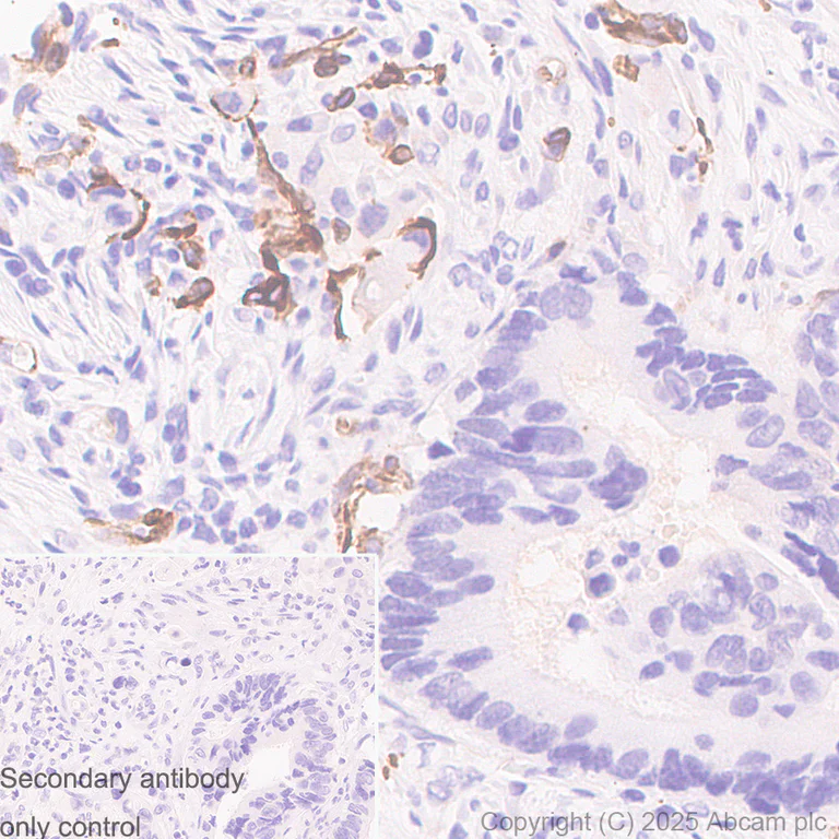
Immunohistochemistry (Formalin/PFA-fixed paraffin-embedded sections) - Anti-Nestin antibody [RM1345] (AB324884)
  • IHC-P

Lab

Immunohistochemistry (Formalin/PFA-fixed paraffin-embedded sections) - Anti-Nestin antibody [RM1345] (AB324884)

Immunohistochemical analysis of paraffin-embedded Human colon carcinoma tissue labeling Nestin with ab324884 at 1/5000 (0.102 µg/ml) dilution, followed by a ready to use LeicaDS9800 (Bond™ Polymer Refine Detection).

Positive staining on the vessels in human colon carcinoma. The primary antibody was incubated for 30 mins at room temperature.

The immunostaining was performed on a Leica Biosystems BOND® RX instrument

Counterstained with Hematoxylin.

Secondary antibody only control : Secondary antibody is a ready to use LeicaDS9800 (Bond™ Polymer Refine Detection).

Heat mediated antigen retrieval was performed with Citrate buffer (pH 6.0, Epitope Retrieval Solution 1) for 20 mins

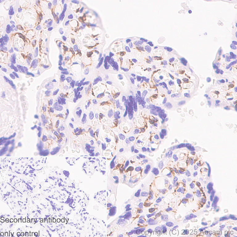
Immunohistochemistry (Formalin/PFA-fixed paraffin-embedded sections) - Anti-Nestin antibody [RM1345] (AB324884)
  • IHC-P

Lab

Immunohistochemistry (Formalin/PFA-fixed paraffin-embedded sections) - Anti-Nestin antibody [RM1345] (AB324884)

Immunohistochemical analysis of paraffin-embedded Human placenta tissue labeling Nestin with ab324884 at 1/5000 (0.102 µg/ml) dilution, followed by a ready to use LeicaDS9800 (Bond™ Polymer Refine Detection).

Positive staining on vessels in human placenta. The primary antibody was incubated for 30 mins at room temperature.

The immunostaining was performed on a Leica Biosystems BOND® RX instrument

Counterstained with Hematoxylin.

Secondary antibody only control : Secondary antibody is a ready to use LeicaDS9800 (Bond™ Polymer Refine Detection).

Heat mediated antigen retrieval was performed with Citrate buffer (pH 6.0, Epitope Retrieval Solution 1) for 20 mins

Flow Cytometry (Intracellular) - Anti-Nestin antibody [RM1345] (AB324884)
  • Flow Cyt (Intra)

Lab

Flow Cytometry (Intracellular) - Anti-Nestin antibody [RM1345] (AB324884)

Flow cytometric analysis of 4% paraformaldehyde fixed 90% methanol permeabilized RD (human muscle multinucleated spindle-shaped cell) (Right) U-937 (human histiocytic lymphoma monocyte) (Left) cells labelling Nestin with ab324884 at 1/50000 dilution (0.001ug) / Red compared with a Rabbit monoclonal IgG (ab172730) / Black isotype control and an unlabelled control (cells without incubation with primary antibody and secondary antibody).

Goat Anti-Rabbit IgG (Alexa Fluor® 488, ab150081) at 1/5000 dilution was used as the secondary antibody.

Negative control : U-937.

Immunocytochemistry/ Immunofluorescence - Anti-Nestin antibody [RM1345] (AB324884)
  • ICC/IF

Lab

Immunocytochemistry/ Immunofluorescence - Anti-Nestin antibody [RM1345] (AB324884)

Immunofluorescent analysis of 4% Paraformaldehyde-fixed, 0.1% TritonX-100 permeabilized NES KO HAP1(NES knockout human chronic myelogenous leukemia near-haploid cell); parental HAP1(human chronic myelogenous leukemia near-haploid cell) cells labelling Nestin with ab324884 at 1/250 (2.028 μg/ml) dilution , followed by ab150081 Goat Anti-Rabbit IgG H&L (Alexa Fluor® 488) preadsorbed antibody at 1/1000 dilution (Green).

Confocal image showing no staining in NES KO HAP1 cell line and cytoplasmic staining in parental HAP1 cell line (shown in green). The counterstain was observed in magenta. Nuclear DNA was labelled with DAPI (shown in blue). Image was taken with a confocal microscope (Leica-Microsystems, TCS SP8).

ab195889 Anti-alpha Tubulin mouse monoclonal antibody - Microtubule Marker (Alexa Fluor® 594) was used to counterstain tubulin at 1/200 dilution (Magenta). The Nuclear counterstain was DAPI (Blue).

Secondary antibody only control : Secondary antibody is ab150081 Goat Anti-Rabbit IgG H&L (Alexa Fluor® 488) preadsorbed at 1/1000 dilution.

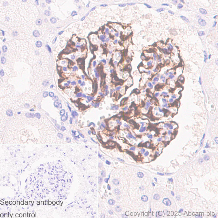
Immunohistochemistry (Formalin/PFA-fixed paraffin-embedded sections) - Anti-Nestin antibody [RM1345] (AB324884)
  • IHC-P

Lab

Immunohistochemistry (Formalin/PFA-fixed paraffin-embedded sections) - Anti-Nestin antibody [RM1345] (AB324884)

Immunohistochemical analysis of paraffin-embedded Human kidney tissue labeling Nestin with ab324884 at 1/5000 (0.102 µg/ml) dilution, followed by a ready to use LeicaDS9800 (Bond™ Polymer Refine Detection).

Positive staining on the glomerulus in human kidney. The primary antibody was incubated for 30 mins at room temperature.

The immunostaining was performed on a Leica Biosystems BOND® RX instrument

Counterstained with Hematoxylin.

Secondary antibody only control : Secondary antibody is a ready to use LeicaDS9800 (Bond™ Polymer Refine Detection).

Heat mediated antigen retrieval was performed with Citrate buffer (pH 6.0, Epitope Retrieval Solution 1) for 20 mins

Immunocytochemistry/ Immunofluorescence - Anti-Nestin antibody [RM1345] (AB324884)
  • ICC/IF

Lab

Immunocytochemistry/ Immunofluorescence - Anti-Nestin antibody [RM1345] (AB324884)

Immunofluorescent analysis of 4% Paraformaldehyde-fixed, 0.1% TritonX-100 permeabilized RD (human muscle multinucleated spindle-shaped cell);U-937 (human histiocytic lymphoma monocyte) cells labelling Nestin with ab324884 at 1/250 (2.028 μg/ml) dilution , followed by ab150081 Goat Anti-Rabbit IgG H&L (Alexa Fluor® 488) preadsorbed antibody at 1/1000 dilution (Green).

Confocal image showing cytoplasmic staining in RD cell line and no staining in U-937 cell line (shown in green). The counterstain was observed in magenta. Nuclear DNA was labelled with DAPI (shown in blue). Negative control : U-937. Image was taken with a confocal microscope (Leica-Microsystems, TCS SP8).

ab195889 Anti-alpha Tubulin mouse monoclonal antibody - Microtubule Marker (Alexa Fluor® 594) was used to counterstain tubulin at 1/200 dilution (Magenta). The Nuclear counterstain was DAPI (Blue).

Secondary antibody only control : Secondary antibody is ab150081 Goat Anti-Rabbit IgG H&L (Alexa Fluor® 488) preadsorbed at 1/1000 dilution.

Flow Cytometry (Intracellular) - Anti-Nestin antibody [RM1345] (AB324884)
  • Flow Cyt (Intra)

Lab

Flow Cytometry (Intracellular) - Anti-Nestin antibody [RM1345] (AB324884)

Flow cytometric analysis of 4% paraformaldehyde fixed 90% methanol permeabilized C2C12 (mouse myoblast) (Right) A20 (mouse reticulum sarcoma B lymphocyte) (Left) cells labelling Nestin with ab324884 at 1/5000 dilution (0.01ug) / Red compared with a Rabbit monoclonal IgG (ab172730) / Black isotype control and an unlabelled control (cells without incubation with primary antibody and secondary antibody).

Goat Anti-Rabbit IgG (Alexa Fluor® 488, ab150081) at 1/5000 dilution was used as the secondary antibody.

Negative control : A20.

Immunocytochemistry/ Immunofluorescence - Anti-Nestin antibody [RM1345] (AB324884)
  • ICC/IF

Lab

Immunocytochemistry/ Immunofluorescence - Anti-Nestin antibody [RM1345] (AB324884)

Immunofluorescent analysis of 4% Paraformaldehyde-fixed, 0.1% TritonX-100 permeabilized C2C12 (mouse myoblast);A20 (mouse reticulum sarcoma B lymphocyte) cells labelling Nestin with ab324884 at 1/250 (2.028 μg/ml) dilution , followed by ab150081 Goat Anti-Rabbit IgG H&L (Alexa Fluor® 488) preadsorbed antibody at 1/1000 dilution (Green).

Confocal image showing cytoplasmic staining in C2C12 cell line and no staining in A20 cell line (shown in green). The counterstain was observed in magenta. Nuclear DNA was labelled with DAPI (shown in blue). Negative control : A20. Image was taken with a confocal microscope (Leica-Microsystems, TCS SP8).

ab195889 Anti-alpha Tubulin mouse monoclonal antibody - Microtubule Marker (Alexa Fluor® 594) was used to counterstain tubulin at 1/200 dilution (Magenta). The Nuclear counterstain was DAPI (Blue).

Secondary antibody only control : Secondary antibody is ab150081 Goat Anti-Rabbit IgG H&L (Alexa Fluor® 488) preadsorbed at 1/1000 dilution.

Immunohistochemistry (Frozen sections) - Anti-Nestin antibody [RM1345] (AB324884)
  • IHC-Fr

Lab

Immunohistochemistry (Frozen sections) - Anti-Nestin antibody [RM1345] (AB324884)

Immunohistochemical analysis of 4% PFA-fixed, 0.2% Triton X-100 permeabilized frozen Mouse kidney (fresh frozen) tissue labeling Nestin with ab324884 at 1/500 (1.024 μg/ml) dilution followed by ab150081 Goat Anti-Rabbit IgG H&L (Alexa Fluor® 488) preadsorbed at 1/1000 2 μg/mL dilution (Green).

Confocal image showing positive staining on glomeruli of mouse kidney. The nuclear counterstain was DAPI (Blue). The section was incubated with the primary antibody for 60 mins at room temperature. The section was then mounted using Fluoromount®.The immunostaining was performed on a Leica Biosystems BOND® RX instrument. Image was taken with a confocal microscope (Leica-Microsystems, TCS SP8).

Secondary antibody control : Secondary antibody is ab150081 Goat Anti-Rabbit IgG H&L (Alexa Fluor® 488) preadsorbed at 1/1000 2 μg/mL dilution.

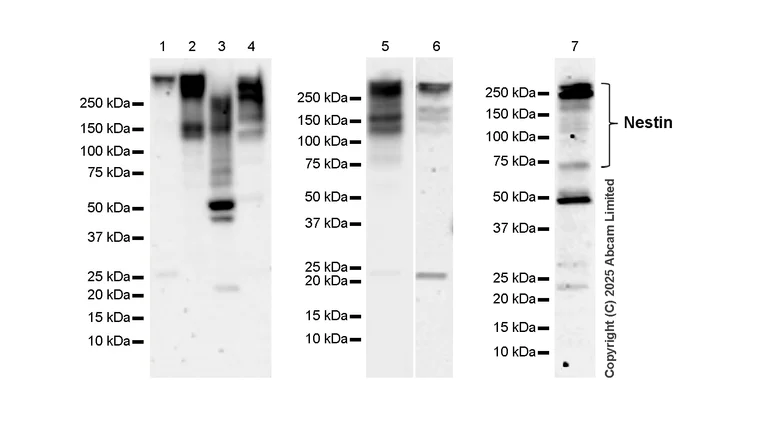
Western blot - Anti-Nestin antibody [RM1345] (AB324884)
  • WB

Lab

Western blot - Anti-Nestin antibody [RM1345] (AB324884)

Blocking and diluting buffer and concentration : 5% NFDM/TBST.

Negative control : U-937, HDLM-2, Beta-TC-6, A20.

The expression profile/ molecular weight observed is consistent with what has been described in the literature (PMID : 23407796).

The identity of the lower MW bands below 75 kDa are unknown.

In Western blot, Anti-GAPDH antibody [EPR16891] - Loading Control (ab181602) (1 : 200000) (36KDa).

Exposure time : Lane 1/5 : 6 seconds Lane 2-4 and 6-7 : 92 seconds

All lanes:

Western blot - Anti-Nestin antibody [RM1345] (ab324884) at 1/1000 dilution

Lane 1:

RD (human muscle multinucleated spindle-shaped cell) whole cell lysate at 20 µg

Lane 2:

SH-SY5Y (human neuroblastoma epithelial cell) whole cell lysate at 20 µg

Lane 3:

HDLM-2 (human Hodgkin lymphoma cell) whole cell lysate at 20 µg

Lane 4:

U-937 (human histiocytic lymphoma monocyte) whole cell lysate at 20 µg

Lane 5:

C2C12 (mouse myoblast) whole cell lysate at 20 µg

Lane 6:

Beta-TC-6 (mouse pancreas insulinoma beta cell) whole cell lysate at 20 µg

Lane 7:

A20 (mouse reticulum sarcoma B lymphocyte) whole cell lysate at 20 µg

Secondary

All lanes:

Western blot - Goat Anti-Rabbit IgG H&L (HRP) (<a href='/en-us/products/secondary-antibodies/goat-rabbit-igg-h-l-hrp-ab97051'>ab97051</a>) at 1/100000 dilution

Observed band size: 75 kDa,177 kDa,260 kDa,36 kDa

false

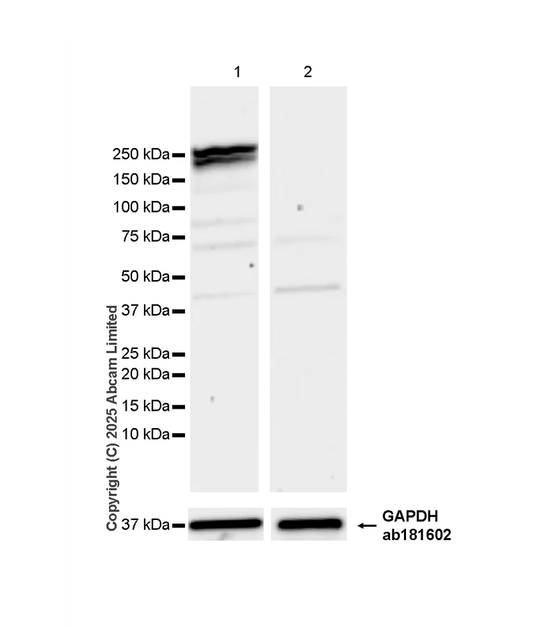
Western blot - Anti-Nestin antibody [RM1345] (AB324884)
  • WB

Lab

Western blot - Anti-Nestin antibody [RM1345] (AB324884)

Blocking and diluting buffer and concentration : 5% NFDM/TBST.

In Western blot, ab324884 was shown to bind specifically to Nestin. Target of interest was observed at 260 kDa in wild-type HAP1 cell lysates (lane 1) with no signal observed at this size in NES knockout cell line (lane 2).

In Western blot, Anti-GAPDH antibody [EPR16891] - Loading Control (ab181602) (1 : 200000) (36KDa).

All lanes:

Western blot - Anti-Nestin antibody [RM1345] (ab324884) at 1/1000 dilution

Lane 1:

Wild-type HAP1 (human chronic myelogenous leukemia near-haploid cell ) whole cell lysate at 20 µg

Lane 2:

NES knockout HAP1 whole cell lysate at 20 µg

Secondary

All lanes:

Western blot - Goat Anti-Rabbit IgG H&L (HRP) (<a href='/en-us/products/secondary-antibodies/goat-rabbit-igg-h-l-hrp-ab97051'>ab97051</a>) at 1/100000 dilution

Observed band size: 260 kDa,36 kDa

false

Exposure time: 37s

Western blot - Anti-Nestin antibody [RM1345] (AB324884)
  • WB

Lab

Western blot - Anti-Nestin antibody [RM1345] (AB324884)

Blocking and diluting buffer and concentration : 5% NFDM/TBST.

The expression profile/ molecular weight observed is consistent with what has been described in the literature (PMID : 23407796).

The identity of the lower MW bands below 75 kDa are unknown.

Exposure time : Lane 1-4 : 103 seconds Lane 5 : 15 seconds Lane 6-7 : 180 seconds

All lanes:

Western blot - Anti-Nestin antibody [RM1345] (ab324884) at 1/1000 dilution

Lane 1:

Mouse brain tissue lysate at 20 µg

Lane 2:

Mouse liver tissue lysate at 20 µg

Lane 3:

Mouse kidney tissue lysate at 20 µg

Lane 4:

Mouse spleen tissue lysate at 20 µg

Lane 5:

Mouse lung tissue lysate at 20 µg

Lane 6:

Mouse testis tissue lysate at 20 µg

Lane 7:

Human heart tissue lysate at 20 µg

Secondary

All lanes:

Western blot - Goat Anti-Rabbit IgG H&L (HRP) (<a href='/en-us/products/secondary-antibodies/goat-rabbit-igg-h-l-hrp-ab97051'>ab97051</a>) at 1/100000 dilution

Observed band size: 75 kDa,177 kDa,260 kDa

false

Key facts

Host species

Rabbit

Clonality

Multiclonal

Clone number

RM1345

Isotype

IgG

Carrier free

No

Reacts with

Human, Mouse

Applications

Flow Cyt (Intra), IHC-Fr, WB, IHC-P, ICC/IF

applications

Immunogen

The exact immunogen used to generate this antibody is proprietary information.

Specificity
Unsuitable for Mouse IHC-P

Reactivity data

{ "title": "Reactivity Data", "filters": { "stats": ["", "Species", "Dilution Info", "Notes"], "tabs": { "all-applications": {"fullname" : "All Applications", "shortname": "All Applications"}, "FlowCytIntra" : {"fullname" : "Flow Cytometry (Intracellular)", "shortname":"Flow Cyt (Intra)"}, "WB" : {"fullname" : "Western blot", "shortname":"WB"}, "IHCP" : {"fullname" : "Immunohistochemistry (Formalin/PFA-fixed paraffin-embedded sections)", "shortname":"IHC-P"}, "ICCIF" : {"fullname" : "Immunocytochemistry/ Immunofluorescence", "shortname":"ICC/IF"}, "IHCFr" : {"fullname" : "Immunohistochemistry (Frozen sections)", "shortname":"IHC-Fr"}, "IP" : {"fullname" : "Immunoprecipitation", "shortname":"IP"} }, "product-promise": { "all": "all", "testedAndGuaranteed": "tested", "guaranteed": "expected", "predicted": "predicted", "notRecommended": "not-recommended" } }, "values": { "Human": { "FlowCytIntra-species-checked": "testedAndGuaranteed", "FlowCytIntra-species-dilution-info": "1/50000", "FlowCytIntra-species-notes": "<p></p>", "WB-species-checked": "testedAndGuaranteed", "WB-species-dilution-info": "1/1000", "WB-species-notes": "<p></p>", "IHCP-species-checked": "testedAndGuaranteed", "IHCP-species-dilution-info": "1/5000", "IHCP-species-notes": "<p></p> Perform heat-mediated antigen retrieval with citrate buffer pH 6 before commencing with IHC staining protocol.", "ICCIF-species-checked": "testedAndGuaranteed", "ICCIF-species-dilution-info": "1/250", "ICCIF-species-notes": "<p></p>", "IHCFr-species-checked": "guaranteed", "IHCFr-species-dilution-info": "", "IHCFr-species-notes": "", "IP-species-checked": "notRecommended", "IP-species-dilution-info": "", "IP-species-notes": "<p></p>" }, "Mouse": { "FlowCytIntra-species-checked": "testedAndGuaranteed", "FlowCytIntra-species-dilution-info": "1/5000", "FlowCytIntra-species-notes": "<p></p>", "WB-species-checked": "testedAndGuaranteed", "WB-species-dilution-info": "1/1000", "WB-species-notes": "<p></p>", "IHCP-species-checked": "notRecommended", "IHCP-species-dilution-info": "", "IHCP-species-notes": "<p></p>", "ICCIF-species-checked": "testedAndGuaranteed", "ICCIF-species-dilution-info": "1/250", "ICCIF-species-notes": "<p></p>", "IHCFr-species-checked": "testedAndGuaranteed", "IHCFr-species-dilution-info": "1/500", "IHCFr-species-notes": "<p></p>", "IP-species-checked": "notRecommended", "IP-species-dilution-info": "", "IP-species-notes": "<p></p>" }, "Rat": { "FlowCytIntra-species-checked": "notRecommended", "FlowCytIntra-species-dilution-info": "", "FlowCytIntra-species-notes": "", "WB-species-checked": "notRecommended", "WB-species-dilution-info": "", "WB-species-notes": "<p></p>", "IHCP-species-checked": "notRecommended", "IHCP-species-dilution-info": "", "IHCP-species-notes": "<p></p>", "ICCIF-species-checked": "notRecommended", "ICCIF-species-dilution-info": "", "ICCIF-species-notes": "", "IHCFr-species-checked": "notRecommended", "IHCFr-species-dilution-info": "", "IHCFr-species-notes": "", "IP-species-checked": "notRecommended", "IP-species-dilution-info": "", "IP-species-notes": "" } } }

Product details

Patented technology
Our RabMAb® technology is a patented hybridoma-based technology for making rabbit monoclonal antibodies. For details on our patents, please refer to RabMAb® patents.

What are recombinant multiclonals?
Recombinant multiclonals are a mixture of recombinant antibodies co-expressed from a library of heavy and light chains. They offer several advantages including:

  • - The sensitivity of polyclonal antibodies by recognising multiple epitopes
  • - High batch-to-batch consistency and reproducibility
  • - Improved sensitivity and specificity
  • - Long-term security of supply
  • - Animal-free batch production

View our range of recombinant multiclonal antibodies.

Properties and storage information

Form
Liquid
Purification technique
Affinity purification Protein A
Storage buffer
pH: 7.2 - 7.4 Preservative: 0.01% Sodium azide Constituents: PBS, 40% Glycerol (glycerin, glycerine), 0.05% BSA
Shipped at conditions
Blue Ice
Appropriate short-term storage duration
1-2 weeks
Appropriate short-term storage conditions
+4°C
Appropriate long-term storage conditions
-20°C
Aliquoting information
Upon delivery aliquot
Storage information
Avoid freeze / thaw cycle

Product protocols

For this product, it's our understanding that no specific protocols are required. You can visit:

Target data

Required for brain and eye development. Promotes the disassembly of phosphorylated vimentin intermediate filaments (IF) during mitosis and may play a role in the trafficking and distribution of IF proteins and other cellular factors to daughter cells during progenitor cell division. Required for survival, renewal and mitogen-stimulated proliferation of neural progenitor cells (By similarity).
See full target information NES

Additional targets

Nes

Product promise

We are committed to supporting your work with high-quality reagents, and we're here for you every step of the way. In the unlikely event that one of our products does not perform as expected, you're protected by our Product Promise.
For full details, please see our Terms & Conditions

Please note: All products are 'FOR RESEARCH USE ONLY. NOT FOR USE IN DIAGNOSTIC OR THERAPEUTIC PROCEDURES'.

For licensing inquiries, please contact partnerships@abcam.com