JavaScript is disabled in your browser. Please enable JavaScript to view this website.
AB271870

Anti-Nestin antibody [SP103] - BSA and Azide free

Be the first to review this product! Submit a review

|

(0 Publication)

Rabbit Recombinant Monoclonal Nestin antibody. Carrier free. Suitable for WB, IHC-P, ICC/IF, Flow Cyt (Intra), IHC-Fr and reacts with Human samples.

View Alternative Names

Nbla00170, NES, Nestin

13 Images
Immunohistochemistry (Formalin/PFA-fixed paraffin-embedded sections) - Anti-Nestin antibody [SP103] - BSA and Azide free (AB271870)
  • IHC-P

Supplier Data

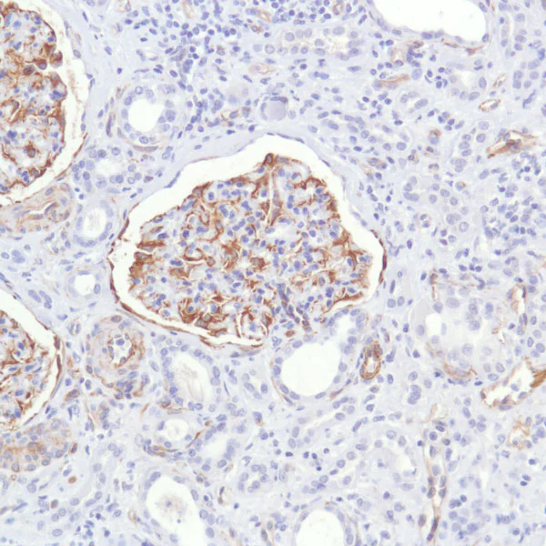
Immunohistochemistry (Formalin/PFA-fixed paraffin-embedded sections) - Anti-Nestin antibody [SP103] - BSA and Azide free (AB271870)

Formalin-fixed, paraffin-embedded human kidney tissue stained for Nestin using ab105389 at 1/100 dilution in immunohistochemical analysis.

This data was developed using the same antibody clone in a different buffer formulation containing PBS, BSA, glycerol, and sodium azide (ab105389).

Immunohistochemistry (Formalin/PFA-fixed paraffin-embedded sections) - Anti-Nestin antibody [SP103] - BSA and Azide free (AB271870)
  • IHC-P

Supplier Data

Immunohistochemistry (Formalin/PFA-fixed paraffin-embedded sections) - Anti-Nestin antibody [SP103] - BSA and Azide free (AB271870)

Formalin-fixed, paraffin-embedded human breast tissue stained for Nestin using ab105389 at 1/100 dilution in immunohistochemical analysis.

This data was developed using the same antibody clone in a different buffer formulation containing PBS, BSA, glycerol, and sodium azide (ab105389).

Immunohistochemistry (Formalin/PFA-fixed paraffin-embedded sections) - Anti-Nestin antibody [SP103] - BSA and Azide free (AB271870)
  • IHC-P

Supplier Data

Immunohistochemistry (Formalin/PFA-fixed paraffin-embedded sections) - Anti-Nestin antibody [SP103] - BSA and Azide free (AB271870)

Formalin-fixed, paraffin-embedded human endometrium tissue stained for Nestin using ab105389 at 1/100 dilution in immunohistochemical analysis.

This data was developed using the same antibody clone in a different buffer formulation containing PBS, BSA, glycerol, and sodium azide (ab105389).

Flow Cytometry (Intracellular) - Anti-Nestin antibody [SP103] - BSA and Azide free (AB271870)
  • Flow Cyt (Intra)

Unknown

Flow Cytometry (Intracellular) - Anti-Nestin antibody [SP103] - BSA and Azide free (AB271870)

Overlay histogram showing SH-SY5Y cells stained with ab105389 (red line). The cells were fixed with 4% paraformaldehyde (10 min) and then permeabilized with 0.1% PBS-Tween for 20 min. The cells were then incubated in 1x PBS / 10% normal goat serum / 0.3M glycine to block non-specific protein-protein interactions followed by the antibody (ab105389 1/50 dilution) for 30 min at 22°C. The secondary antibody used was DyLight® 488 goat anti-rabbit IgG (H+L) (ab96899) at 1/500 dilution for 30 min at 22°C. Isotype control antibody (black line) was rabbit IgG (monoclonal) (1μg/1x106 cells) used under the same conditions. Acquisition of >5000 events was performed. This data was developed using the same antibody clone in a different buffer formulation containing PBS BSA glycerol and sodium azide (ab105389).

Immunohistochemistry (Formalin/PFA-fixed paraffin-embedded sections) - Anti-Nestin antibody [SP103] - BSA and Azide free (AB271870)
  • IHC-P

Supplier Data

Immunohistochemistry (Formalin/PFA-fixed paraffin-embedded sections) - Anti-Nestin antibody [SP103] - BSA and Azide free (AB271870)

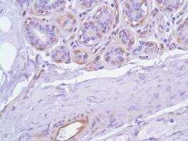
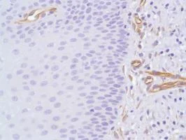
Formalin-fixed, paraffin-embedded human skin tissue stained for Nestin using ab105389 at 1/100 dilution in immunohistochemical analysis.

This data was developed using the same antibody clone in a different buffer formulation containing PBS, BSA, glycerol, and sodium azide (ab105389).

Immunohistochemistry (Formalin/PFA-fixed paraffin-embedded sections) - Anti-Nestin antibody [SP103] - BSA and Azide free (AB271870)
  • IHC-P

Supplier Data

Immunohistochemistry (Formalin/PFA-fixed paraffin-embedded sections) - Anti-Nestin antibody [SP103] - BSA and Azide free (AB271870)

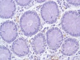
Formalin-fixed, paraffin-embedded human colon tissue stained for Nestin using ab105389 at 1/100 dilution in immunohistochemical analysis.

This data was developed using the same antibody clone in a different buffer formulation containing PBS, BSA, glycerol, and sodium azide (ab105389).

Immunohistochemistry (Formalin/PFA-fixed paraffin-embedded sections) - Anti-Nestin antibody [SP103] - BSA and Azide free (AB271870)
  • IHC-P

Supplier Data

Immunohistochemistry (Formalin/PFA-fixed paraffin-embedded sections) - Anti-Nestin antibody [SP103] - BSA and Azide free (AB271870)

Formalin-fixed, paraffin-embedded human cervix tissue stained for Nestin using ab105389 at 1/100 dilution in immunohistochemical analysis.

This data was developed using the same antibody clone in a different buffer formulation containing PBS, BSA, glycerol, and sodium azide (ab105389).

Immunohistochemistry (Formalin/PFA-fixed paraffin-embedded sections) - Anti-Nestin antibody [SP103] - BSA and Azide free (AB271870)
  • IHC-P

Supplier Data

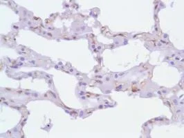
Immunohistochemistry (Formalin/PFA-fixed paraffin-embedded sections) - Anti-Nestin antibody [SP103] - BSA and Azide free (AB271870)

Formalin-fixed, paraffin-embedded human lung tissue stained for Nestin using ab105389 at 1/100 dilution in immunohistochemical analysis.

This data was developed using the same antibody clone in a different buffer formulation containing PBS, BSA, glycerol, and sodium azide (ab105389).

Immunohistochemistry (Formalin/PFA-fixed paraffin-embedded sections) - Anti-Nestin antibody [SP103] - BSA and Azide free (AB271870)
  • IHC-P

Supplier Data

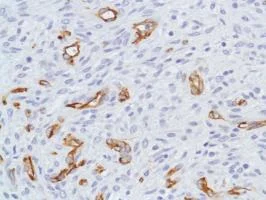
Immunohistochemistry (Formalin/PFA-fixed paraffin-embedded sections) - Anti-Nestin antibody [SP103] - BSA and Azide free (AB271870)

Formalin-fixed, paraffin-embedded human prostate tissue stained for Nestin using ab105389 at 1/100 dilution in immunohistochemical analysis.

This data was developed using the same antibody clone in a different buffer formulation containing PBS, BSA, glycerol, and sodium azide (ab105389).

Immunohistochemistry (Formalin/PFA-fixed paraffin-embedded sections) - Anti-Nestin antibody [SP103] - BSA and Azide free (AB271870)
  • IHC-P

Supplier Data

Immunohistochemistry (Formalin/PFA-fixed paraffin-embedded sections) - Anti-Nestin antibody [SP103] - BSA and Azide free (AB271870)

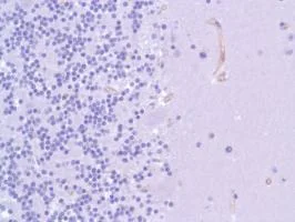
Formalin-fixed, paraffin-embedded human cerebellum tissue stained for Nestin using ab105389 at 1/100 dilution in immunohistochemical analysis.

This data was developed using the same antibody clone in a different buffer formulation containing PBS, BSA, glycerol, and sodium azide (ab105389).

Immunocytochemistry/ Immunofluorescence - Anti-Nestin antibody [SP103] - BSA and Azide free (AB271870)
  • ICC/IF

Unknown

Immunocytochemistry/ Immunofluorescence - Anti-Nestin antibody [SP103] - BSA and Azide free (AB271870)

ICC/IF image of ab105389 stained SKNSH cells. The cells were 4% formaldehyde fixed (10 min) and then incubated in 1%BSA / 10% normal goat serum / 0.3M glycine in 0.1% PBS-Tween for 1h to permeabilise the cells and block non-specific protein-protein interactions. The cells were then incubated with the antibody (ab105389, 1/200 dilution) overnight at +4°C. The secondary antibody (green) was ab96899, DyLight® 488 goat anti-rabbit IgG (H+L) used at a 1/250 dilution for 1h. Alexa Fluor® 594 WGA was used to label plasma membranes (red) at a 1/200 dilution for 1h. DAPI was used to stain the cell nuclei (blue) at a concentration of 1.43μM.

This data was developed using the same antibody clone in a different buffer formulation containing PBS, BSA, glycerol, and sodium azide (ab105389).

Immunohistochemistry (Formalin/PFA-fixed paraffin-embedded sections) - Anti-Nestin antibody [SP103] - BSA and Azide free (AB271870)
  • IHC-P

Supplier Data

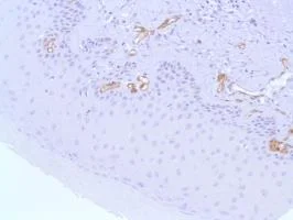
Immunohistochemistry (Formalin/PFA-fixed paraffin-embedded sections) - Anti-Nestin antibody [SP103] - BSA and Azide free (AB271870)

Formalin-fixed, paraffin-embedded human ovary tissue stained for Nestin using ab105389 at 1/100 dilution in immunohistochemical analysis.

This data was developed using the same antibody clone in a different buffer formulation containing PBS, BSA, glycerol, and sodium azide (ab105389).

Immunohistochemistry (Formalin/PFA-fixed paraffin-embedded sections) - Anti-Nestin antibody [SP103] - BSA and Azide free (AB271870)
  • IHC-P

AbReview26930****

Immunohistochemistry (Formalin/PFA-fixed paraffin-embedded sections) - Anti-Nestin antibody [SP103] - BSA and Azide free (AB271870)

ab105389 staining Nestin in human melanoma tissue by Immunohistochemistry (Formalin/PFA-fixed paraffin-embedded sections).

Tissue was fixed in formaldehyde and a heat mediated antigen retrieval step was performed using Tris EDTA pH 9.0. Samples were then permeabilized using 0.25% Triton X-100, blocked, then incubated with ab105389 at a 1/100 dilution for 18 hours at 4°C. The secondary used was an Alexa-Fluor 594 (red) conjugated donkey anti-rabbit polyclonal used at a 1/100 dilution. (Green) tumor cells, (blue) DAPI.This data was developed using the same antibody clone in a different buffer formulation containing PBS, BSA, glycerol, and sodium azide (ab105389).

This image is courtesy of Hongwei Shao by Abreview.

  • Unconjugated

    Anti-Nestin antibody [SP103] - Neural Stem Cell Marker

  • 519 Alexa Fluor® 488

    Alexa Fluor® 488 Anti-Nestin antibody [SP103] - Neural Stem Cell Marker

  • 665 Alexa Fluor® 647

    Alexa Fluor® 647 Anti-Nestin antibody [SP103]

  • 603 Alexa Fluor® 568

    Alexa Fluor® 568 Anti-Nestin antibody [SP103] - Neural Stem Cell Marker

  • 775 Alexa Fluor® 750

    Alexa Fluor® 750 Anti-Nestin antibody [SP103] - Neural Stem Cell Marker

  • 660 APC

    APC Anti-Nestin antibody [SP103] - Neural Stem Cell Marker

  • 578 PE

    PE Anti-Nestin antibody [SP103] - Neural Stem Cell Marker

  • 617 Alexa Fluor® 594

    Alexa Fluor® 594 Anti-Nestin antibody [SP103] - Neural Stem Cell Marker

  • 565 Alexa Fluor® 555

    Alexa Fluor® 555 Anti-Nestin antibody [SP103] - Neural Stem Cell Marker

  • Unconjugated

    Anti-Nestin antibody [SP103] – Mouse IgG1 (Chimeric) - Neural Stem Cell Marker

  • Carrier free

    Anti-Nestin antibody [SP103] – Mouse IgG1 (Chimeric) – BSA and Azide Free

Key facts

Host species

Rabbit

Clonality

Monoclonal

Clone number

SP103

Isotype

IgG

Carrier free

Yes

Reacts with

Human

Applications

Flow Cyt (Intra), WB, IHC-P, IHC-Fr, ICC/IF

applications

Immunogen

The exact immunogen used to generate this antibody is proprietary information.

Reactivity data

{ "title": "Reactivity Data", "filters": { "stats": ["", "Species", "Dilution Info", "Notes"], "tabs": { "all-applications": {"fullname" : "All Applications", "shortname": "All Applications"}, "WB" : {"fullname" : "Western blot", "shortname":"WB"}, "IHCP" : {"fullname" : "Immunohistochemistry (Formalin/PFA-fixed paraffin-embedded sections)", "shortname":"IHC-P"}, "ICCIF" : {"fullname" : "Immunocytochemistry/ Immunofluorescence", "shortname":"ICC/IF"}, "FlowCytIntra" : {"fullname" : "Flow Cytometry (Intracellular)", "shortname":"Flow Cyt (Intra)"}, "IHCFr" : {"fullname" : "Immunohistochemistry (Frozen sections)", "shortname":"IHC-Fr"} }, "product-promise": { "all": "all", "testedAndGuaranteed": "tested", "guaranteed": "expected", "predicted": "predicted", "notRecommended": "not-recommended" } }, "values": { "Human": { "WB-species-checked": "testedAndGuaranteed", "WB-species-dilution-info": "", "WB-species-notes": "<p></p>", "IHCP-species-checked": "testedAndGuaranteed", "IHCP-species-dilution-info": "", "IHCP-species-notes": "<p>Antigen retrieval: Boil tissue section in 10mM citrate buffer, pH 6.0 for 10 min followed by cooling at room temperature for 20 min.</p>", "ICCIF-species-checked": "testedAndGuaranteed", "ICCIF-species-dilution-info": "", "ICCIF-species-notes": "<p></p>", "FlowCytIntra-species-checked": "testedAndGuaranteed", "FlowCytIntra-species-dilution-info": "", "FlowCytIntra-species-notes": "<p><a href='/en-us/products/primary-antibodies/rabbit-igg-monoclonal-epr25a-isotype-control-ab172730'>ab172730</a> - Rabbit monoclonal IgG, is suitable for use as an isotype control with this antibody.</p>", "IHCFr-species-checked": "testedAndGuaranteed", "IHCFr-species-dilution-info": "", "IHCFr-species-notes": "<p></p>" }, "Dog": { "WB-species-checked": "predicted", "WB-species-dilution-info": "", "WB-species-notes": "", "IHCP-species-checked": "predicted", "IHCP-species-dilution-info": "", "IHCP-species-notes": "", "ICCIF-species-checked": "predicted", "ICCIF-species-dilution-info": "", "ICCIF-species-notes": "", "FlowCytIntra-species-checked": "predicted", "FlowCytIntra-species-dilution-info": "", "FlowCytIntra-species-notes": "", "IHCFr-species-checked": "predicted", "IHCFr-species-dilution-info": "", "IHCFr-species-notes": "" } } }

Product details

ab271870 is the carrier-free version of ab105389.

Patented technology
Our RabMAb® technology is a patented hybridoma-based technology for making rabbit monoclonal antibodies. For details on our patents, please refer to RabMAb® patents.

What are the advantages of a recombinant monoclonal antibody?
This product is a recombinant monoclonal antibody, which offers several advantages including:

  • - High batch-to-batch consistency and reproducibility
  • - Improved sensitivity and specificity
  • - Long-term security of supply
  • - Animal-free batch production

For more information, read more on recombinant antibodies.

Conjugation ready
Our carrier-free antibodies are typically supplied in a PBS-only formulation, purified and free of BSA, sodium azide and glycerol. This conjugation-ready format is designed for use with fluorochromes, metal isotopes, oligonucleotides, and enzymes, which makes them ideal for antibody labelling, functional and cell-based assays, flow-based assays (e.g. mass cytometry) and Multiplex Imaging applications.

Use our conjugation kits for antibody conjugates that are ready-to-use in as little as 20 minutes with 1 minute hands-on-time and 100% antibody recovery: available for fluorescent dyes, HRP, biotin and gold.

Compatibility
This product is compatible with the Maxpar® Antibody Labeling Kit from Fluidigm, without the need for antibody preparation. Maxpar® is a trademark of Fluidigm Canada Inc.

Properties and storage information

Form
Liquid
Purification technique
Affinity purification Protein A/G
Storage buffer
pH: 7.2 - 7.4 Constituents: PBS
Shipped at conditions
Blue Ice
Appropriate short-term storage conditions
+4°C
Appropriate long-term storage conditions
+4°C
Storage information
Do Not Freeze

Supplementary information

This supplementary information is collated from multiple sources and compiled automatically.

Nestin also known as NES is an intermediate filament protein with a molecular weight of about 220 kDa. Nestin features prominently in cells related to the nervous system including neural stem cells and it serves as a structural component in these cells. Nestin also appears in substantial amounts during the development of the nervous system and is important for cell structural organization. It is often used as a Nestin marker in research particularly with Nestin antibodies for identifying the presence of neural stem cells and tracking their developmental course. Researchers frequently utilize techniques like Nestin IHC (immunohistochemistry) and Nestin western blot to stain and detect Nestin allowing detailed investigations into its expression in various tissues.
Biological function summary

Nestin plays a significant role in the dynamic remodeling of the cytoskeleton. It does not act as a solitary element but forms part of a larger protein complex involved in maintaining and organizing cellular structure. This property grants cells flexibility in shape and resilience during the rapid changes in development and specialization. The role of Nestin in the cellular architecture allows it to contribute to processes such as cell migration and proliferation critical during tissue development and repair.

Pathways

Nestin integrates into networks that regulate stem cell behavior and neurogenesis. It tightly interacts within the pathways involving cell cycle regulation and differentiation. For example the Wnt and Notch signaling pathways modulate its expression to influence neural stem cell fate and patterning during development. Protein interactions between Nestin and other cytoskeletal elements like vimentin facilitate its roles in these pathways adapting the cellular environment for specific developmental activities.

Nestin associates with various pathological conditions including brain tumors and muscular dystrophies. Its expression is aberrant in many forms of gliomas where it often signifies a higher grade of malignancy. Within these tumors Nestin connects to oncogenic signaling pathways involving proteins such as the epidermal growth factor receptor (EGFR). Moreover in muscular dystrophies Nestin's expression in regenerating muscle fibers illustrates its involvement in cellular repair mechanisms potentially interacting with dystrophin a protein important for muscle integrity. Research on anti-Nestin antibodies continues to clarify its role in these diseases potentially offering diagnostic or therapeutic insights.

Product protocols

For this product, it's our understanding that no specific protocols are required. You can visit:

Target data

Required for brain and eye development. Promotes the disassembly of phosphorylated vimentin intermediate filaments (IF) during mitosis and may play a role in the trafficking and distribution of IF proteins and other cellular factors to daughter cells during progenitor cell division. Required for survival, renewal and mitogen-stimulated proliferation of neural progenitor cells (By similarity).
See full target information NES

Product promise

We are committed to supporting your work with high-quality reagents, and we're here for you every step of the way. In the unlikely event that one of our products does not perform as expected, you're protected by our Product Promise.
For full details, please see our Terms & Conditions

Please note: All products are 'FOR RESEARCH USE ONLY. NOT FOR USE IN DIAGNOSTIC OR THERAPEUTIC PROCEDURES'.

For licensing inquiries, please contact partnerships@abcam.com