JavaScript is disabled in your browser. Please enable JavaScript to view this website.
AB136663

Anti-Netrin 4 antibody

Be the first to review this product! Submit a review

|

(1 Publication)

Goat Polyclonal Netrin 4 antibody. Suitable for IHC-P and reacts with Human samples. Cited in 1 publication. Immunogen corresponding to Synthetic Peptide within Human NTN4 aa 50-100.

View Alternative Names

Netrin-4, Beta-netrin, Hepar-derived netrin-like protein, NTN4

1 Images
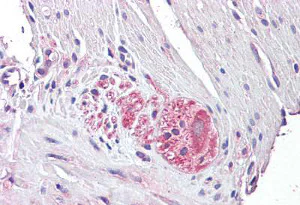
Immunohistochemistry (Formalin/PFA-fixed paraffin-embedded sections) - Anti-Netrin 4 antibody (AB136663)
  • IHC-P

Unknown

Immunohistochemistry (Formalin/PFA-fixed paraffin-embedded sections) - Anti-Netrin 4 antibody (AB136663)

Immunohistochemical analysis of formalin-fixed, paraffin-embedded Human small intestine (myenteric plexus) tissue labelling Netrin 4 with ab136663 at 3.75µg/ml.

Key facts

Host species

Goat

Clonality

Polyclonal

Isotype

IgG

Carrier free

No

Reacts with

Human

Applications

IHC-P

applications

Immunogen

Synthetic Peptide within Human NTN4 aa 50-100. The exact immunogen used to generate this antibody is proprietary information.

Q9HB63

Reactivity data

{ "title": "Reactivity Data", "filters": { "stats": ["", "Species", "Dilution Info", "Notes"], "tabs": { "all-applications": {"fullname" : "All Applications", "shortname": "All Applications"}, "IHCP" : {"fullname" : "Immunohistochemistry (Formalin/PFA-fixed paraffin-embedded sections)", "shortname":"IHC-P"}, "WB" : {"fullname" : "Western blot", "shortname":"WB"} }, "product-promise": { "all": "all", "testedAndGuaranteed": "tested", "guaranteed": "expected", "predicted": "predicted", "notRecommended": "not-recommended" } }, "values": { "Human": { "IHCP-species-checked": "testedAndGuaranteed", "IHCP-species-dilution-info": "3.75 µg/mL", "IHCP-species-notes": "<p></p> Perform heat-mediated antigen retrieval before commencing with IHC staining protocol.", "WB-species-checked": "notRecommended", "WB-species-dilution-info": "", "WB-species-notes": "<p></p>" }, "Mouse": { "IHCP-species-checked": "predicted", "IHCP-species-dilution-info": "", "IHCP-species-notes": "", "WB-species-checked": "notRecommended", "WB-species-dilution-info": "", "WB-species-notes": "" }, "Bat": { "IHCP-species-checked": "predicted", "IHCP-species-dilution-info": "", "IHCP-species-notes": "", "WB-species-checked": "notRecommended", "WB-species-dilution-info": "", "WB-species-notes": "" }, "Common marmoset": { "IHCP-species-checked": "predicted", "IHCP-species-dilution-info": "", "IHCP-species-notes": "", "WB-species-checked": "notRecommended", "WB-species-dilution-info": "", "WB-species-notes": "" }, "Cow": { "IHCP-species-checked": "predicted", "IHCP-species-dilution-info": "", "IHCP-species-notes": "", "WB-species-checked": "notRecommended", "WB-species-dilution-info": "", "WB-species-notes": "" }, "Dog": { "IHCP-species-checked": "predicted", "IHCP-species-dilution-info": "", "IHCP-species-notes": "", "WB-species-checked": "notRecommended", "WB-species-dilution-info": "", "WB-species-notes": "" }, "Gorilla": { "IHCP-species-checked": "predicted", "IHCP-species-dilution-info": "", "IHCP-species-notes": "", "WB-species-checked": "notRecommended", "WB-species-dilution-info": "", "WB-species-notes": "" }, "Hamster": { "IHCP-species-checked": "predicted", "IHCP-species-dilution-info": "", "IHCP-species-notes": "", "WB-species-checked": "notRecommended", "WB-species-dilution-info": "", "WB-species-notes": "" }, "Horse": { "IHCP-species-checked": "predicted", "IHCP-species-dilution-info": "", "IHCP-species-notes": "", "WB-species-checked": "notRecommended", "WB-species-dilution-info": "", "WB-species-notes": "" }, "Monkey": { "IHCP-species-checked": "predicted", "IHCP-species-dilution-info": "", "IHCP-species-notes": "", "WB-species-checked": "notRecommended", "WB-species-dilution-info": "", "WB-species-notes": "" }, "Orangutan": { "IHCP-species-checked": "predicted", "IHCP-species-dilution-info": "", "IHCP-species-notes": "", "WB-species-checked": "notRecommended", "WB-species-dilution-info": "", "WB-species-notes": "" }, "Pig": { "IHCP-species-checked": "predicted", "IHCP-species-dilution-info": "", "IHCP-species-notes": "", "WB-species-checked": "notRecommended", "WB-species-dilution-info": "", "WB-species-notes": "" }, "Platypus": { "IHCP-species-checked": "predicted", "IHCP-species-dilution-info": "", "IHCP-species-notes": "", "WB-species-checked": "notRecommended", "WB-species-dilution-info": "", "WB-species-notes": "" } } }

Properties and storage information

Form
Liquid
Purification technique
Affinity purification Immunogen
Storage buffer
pH: 7.3 Preservative: 0.02% Sodium azide Constituents: 99.48% Tris buffered saline, 0.5% BSA
Shipped at conditions
Blue Ice
Appropriate short-term storage conditions
+4°C
Appropriate long-term storage conditions
-20°C
Aliquoting information
Upon delivery aliquot
Storage information
Avoid freeze / thaw cycle

Supplementary information

This supplementary information is collated from multiple sources and compiled automatically.

Netrin 4 also known as NTN4 or Netrin-G2 is a secreted protein in the netrin family with a molecular mass of approximately 70 kDa. This protein exhibits a characteristic laminin-like domain which is responsible for its interactions with cellular receptors. Netrin 4 is expressed mainly in basement membranes of many tissue types including neuronal tissues the vascular system and the epithelial lining. The expression patterns suggest roles in distinct physiological processes and developmental stages linked to tissue organization.
Biological function summary

Netrin 4 interacts with the extracellular matrix and contributes to tissue morphogenesis and stability. It does not function in isolation but forms part of a complex network of signaling proteins. Through its binding to specific receptors like UNC5B and neogenin Netrin 4 signals pathways that impact cell adhesion migration and survival. The diverse biological roles position Netrin 4 as an important mediator involved in orchestrating cellular behavior and tissue patterning.

Pathways

Scientists have identified the involvement of Netrin 4 in signaling pathways such as the axon guidance and angiogenesis pathways. The protein acts alongside related proteins like Netrin-1 leveraging the netrin family’s role in guiding axonal development and blood vessel formation. These pathways suggest Netrin 4's capacity to influence neurodevelopmental and vascular processes mediated by its interaction with other guidance cues and ligands.

Research links Netrin 4 with conditions such as cancer and cardiovascular disorders. In cancer abnormal expression or signaling can influence tumor progression due to its role in cell migration and angiogenesis with proteins like UNC5B involved in this dysregulation. In cardiovascular disease altered Netrin 4 levels can affect vascular integrity and remodeling activities. These associations indicate potential therapeutic implications as modulating Netrin 4 pathways might offer novel avenues for disease intervention.

Product protocols

For this product, it's our understanding that no specific protocols are required. You can visit:

Target data

May play an important role in neural, kidney and vascular development. Promotes neurite elongation from olfactory bulb explants.
See full target information NTN4

Publications (1)

Recent publications for all applications. Explore the full list and refine your search

JCI insight 8: PubMed37971875

2023

MYC-driven increases in mitochondrial DNA copy number occur early and persist throughout prostatic cancer progression.

Applications

Unspecified application

Species

Unspecified reactive species

Jiayu Chen,Qizhi Zheng,Jessica L Hicks,Levent Trabzonlu,Busra Ozbek,Tracy Jones,Ajay M Vaghasia,Tatianna C Larman,Rulin Wang,Mark C Markowski,Sam R Denmeade,Kenneth J Pienta,Ralph H Hruban,Emmanuel S Antonarakis,Anuj Gupta,Chi V Dang,Srinivasan Yegnasubramanian,Angelo M De Marzo
View all publications

Product promise

We are committed to supporting your work with high-quality reagents, and we're here for you every step of the way. In the unlikely event that one of our products does not perform as expected, you're protected by our Product Promise.
For full details, please see our Terms & Conditions

Please note: All products are 'FOR RESEARCH USE ONLY. NOT FOR USE IN DIAGNOSTIC OR THERAPEUTIC PROCEDURES'.

For licensing inquiries, please contact partnerships@abcam.com