JavaScript is disabled in your browser. Please enable JavaScript to view this website.
AB319038

Anti-Netrin G1 antibody [EPR27984-506] - BSA and Azide free

Be the first to review this product! Submit a review

|

(0 Publication)

Rabbit Recombinant Monoclonal Netrin G1 antibody. Carrier free. Suitable for WB, IHC-P and reacts with Transfected cell lysate - Human, Human, Rat, Mouse samples.

View Alternative Names

KIAA0976, LMNT1, UNQ571/PRO1133, NTNG1, Netrin-G1, Laminet-1

7 Images
Immunohistochemistry (Formalin/PFA-fixed paraffin-embedded sections) - Anti-Netrin G1 antibody [EPR27984-506] - BSA and Azide free (AB319038)
  • IHC-P

Lab

Immunohistochemistry (Formalin/PFA-fixed paraffin-embedded sections) - Anti-Netrin G1 antibody [EPR27984-506] - BSA and Azide free (AB319038)

This data was developed using ab319037, the same antibody clone in a different buffer formulation.

Immunohistochemical analysis of paraffin-embedded Human liver tissue labeling Netrin G1 with ab319037 at 1/100 dilution (5.12 μg/ml), followed by a ready to use LeicaDS9800 (Bond™ Polymer Refine Detection). Negative control : no staining on human liver. The section was incubated with ab319037 for 30 mins at room temperature. The immunostaining was performed on a Leica Biosystems BOND® RX instrument. Counterstained with Hematoxylin. Secondary antibody only control : Secondary antibody is a ready to use LeicaDS9800 (Bond™ Polymer Refine Detection). Heat mediated antigen retrieval was performed with Tris-EDTA buffer (pH 9.0, Epitope Retrieval Solution2) for 20 mins.

Immunohistochemistry (Formalin/PFA-fixed paraffin-embedded sections) - Anti-Netrin G1 antibody [EPR27984-506] - BSA and Azide free (AB319038)
  • IHC-P

Lab

Immunohistochemistry (Formalin/PFA-fixed paraffin-embedded sections) - Anti-Netrin G1 antibody [EPR27984-506] - BSA and Azide free (AB319038)

This data was developed using ab319037, the same antibody clone in a different buffer formulation.

Immunohistochemical analysis of paraffin-embedded Human thalamus tissue labeling Netrin G1 with ab319037 at 1/100 dilution (5.12 μg/ml), followed by a ready to use LeicaDS9800 (Bond™ Polymer Refine Detection). Positive staining on human thalamus. The section was incubated with ab319037 for 30 mins at room temperature. The immunostaining was performed on a Leica Biosystems BOND® RX instrument. Counterstained with Hematoxylin. Secondary antibody only control : Secondary antibody is a ready to use LeicaDS9800 (Bond™ Polymer Refine Detection). Heat mediated antigen retrieval was performed with Tris-EDTA buffer (pH 9.0, Epitope Retrieval Solution2) for 20 mins.

Immunohistochemistry (Formalin/PFA-fixed paraffin-embedded sections) - Anti-Netrin G1 antibody [EPR27984-506] - BSA and Azide free (AB319038)
  • IHC-P

Supplier Data

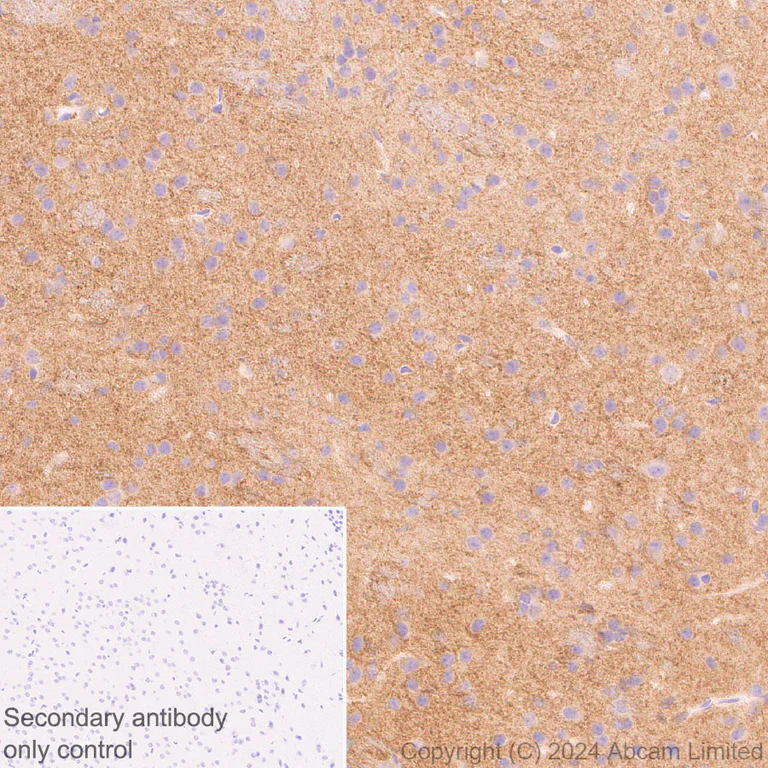
Immunohistochemistry (Formalin/PFA-fixed paraffin-embedded sections) - Anti-Netrin G1 antibody [EPR27984-506] - BSA and Azide free (AB319038)

This data was developed using ab319037, the same antibody clone in a different buffer formulation.

Immunohistochemical analysis of paraffin-embedded Rat liver tissue labeling Netrin G1 with ab319037 at 1/100 (5.12 ug/ml) dilution, followed by a ready to use LeicaDS9800 (Bond™ Polymer Refine Detection).

Negative control : no staining on rat liver.
The section was incubated with ab319037 for 30 mins at room temperature.
The immunostaining was performed on a Leica Biosystems BOND® RX instrument

Counterstained with Hematoxylin.

Secondary antibody only control : Secondary antibody is a ready to use LeicaDS9800 (Bond™ Polymer Refine Detection).

Heat mediated antigen retrieval was performed with Tris-EDTA buffer (pH 9.0, Epitope Retrieval Solution2) for 20 mins

Immunohistochemistry (Formalin/PFA-fixed paraffin-embedded sections) - Anti-Netrin G1 antibody [EPR27984-506] - BSA and Azide free (AB319038)
  • IHC-P

Supplier Data

Immunohistochemistry (Formalin/PFA-fixed paraffin-embedded sections) - Anti-Netrin G1 antibody [EPR27984-506] - BSA and Azide free (AB319038)

This data was developed using ab319037, the same antibody clone in a different buffer formulation.

Immunohistochemical analysis of paraffin-embedded Rat cerebrum tissue labeling Netrin G1 with ab319037 at 1/100 (5.12 ug/ml) dilution, followed by a ready to use LeicaDS9800 (Bond™ Polymer Refine Detection).

Positive staining on rat cerebrum.
The section was incubated with ab319037 for 30 mins at room temperature.
The immunostaining was performed on a Leica Biosystems BOND® RX instrument

Counterstained with Hematoxylin.

Secondary antibody only control : Secondary antibody is a ready to use LeicaDS9800 (Bond™ Polymer Refine Detection).

Heat mediated antigen retrieval was performed with Tris-EDTA buffer (pH 9.0, Epitope Retrieval Solution2) for 20 mins

Immunohistochemistry (Formalin/PFA-fixed paraffin-embedded sections) - Anti-Netrin G1 antibody [EPR27984-506] - BSA and Azide free (AB319038)
  • IHC-P

Supplier Data

Immunohistochemistry (Formalin/PFA-fixed paraffin-embedded sections) - Anti-Netrin G1 antibody [EPR27984-506] - BSA and Azide free (AB319038)

This data was developed using ab319037, the same antibody clone in a different buffer formulation.

Immunohistochemical analysis of paraffin-embedded Mouse cerebrum tissue labeling Netrin G1 with ab319037 at 1/100 (5.12 ug/ml) dilution, followed by a ready to use LeicaDS9800 (Bond™ Polymer Refine Detection).

Positive staining on mouse cerebrum (PMID : 27345935, 17785411, 25411505).
The section was incubated with ab319037 for 30 mins at room temperature.
The immunostaining was performed on a Leica Biosystems BOND® RX instrument

Counterstained with Hematoxylin.

Secondary antibody only control : Secondary antibody is a ready to use LeicaDS9800 (Bond™ Polymer Refine Detection).

Heat mediated antigen retrieval was performed with Tris-EDTA buffer (pH 9.0, Epitope Retrieval Solution2) for 20 mins

Immunohistochemistry (Formalin/PFA-fixed paraffin-embedded sections) - Anti-Netrin G1 antibody [EPR27984-506] - BSA and Azide free (AB319038)
  • IHC-P

Supplier Data

Immunohistochemistry (Formalin/PFA-fixed paraffin-embedded sections) - Anti-Netrin G1 antibody [EPR27984-506] - BSA and Azide free (AB319038)

This data was developed using ab319037, the same antibody clone in a different buffer formulation.

Immunohistochemical analysis of paraffin-embedded Mouse liver tissue labeling Netrin G1 with ab319037 at 1/100 (5.12 ug/ml) dilution, followed by a ready to use LeicaDS9800 (Bond™ Polymer Refine Detection).

Negative control : no staining on mouse liver.
The section was incubated with ab319037 for 30 mins at room temperature.
The immunostaining was performed on a Leica Biosystems BOND® RX instrument

Counterstained with Hematoxylin.

Secondary antibody only control : Secondary antibody is a ready to use LeicaDS9800 (Bond™ Polymer Refine Detection).

Heat mediated antigen retrieval was performed with Tris-EDTA buffer (pH 9.0, Epitope Retrieval Solution2) for 20 mins

Western blot - Anti-Netrin G1 antibody [EPR27984-506] - BSA and Azide free (AB319038)
  • WB

Supplier Data

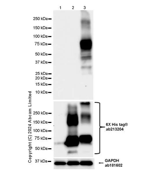
Western blot - Anti-Netrin G1 antibody [EPR27984-506] - BSA and Azide free (AB319038)

This data was developed using ab319037, the same antibody clone in a different buffer formulation.

Blocking and diluting buffer and concentration : 5% NFDM/TBST.

This antibody does not cross-react with human Netrin G2.

In Western blot, Anti-GAPDH antibody [EPR16891] - Loading Control (ab181602) staining at 1/200000 dilution.

In Western blot, Anti-6X His tag® antibody [EPR20547] - ChIP Grade (ab213204) staining at 1/5000 dilution.

All lanes:

Western blot - Anti-Netrin G1 antibody [EPR27984-506] (<a href='/en-us/products/primary-antibodies/netrin-g1-antibody-epr27984-506-ab319037'>ab319037</a>) at 1/1000 dilution

Lane 1:

293T cells transfected with an empty vector containing a His-tag, whole cell lysate at 20 µg

Lane 2:

293T cells transfected with a human Netrin G2 expression vector containing a His-tag, whole cell lysate at 20 µg

Lane 3:

293T cells transfected with a human Netrin G1 expression vector containing a His-tag, whole cell lysate at 20 µg

Secondary

All lanes:

Western blot - Goat Anti-Rabbit IgG H&L (HRP) (<a href='/en-us/products/secondary-antibodies/goat-rabbit-igg-h-l-hrp-ab97051'>ab97051</a>) at 1/100000 dilution

Observed band size: 55 kDa,60 kDa,75 kDa,36 kDa,50-250 kDa

false

Exposure time: 3s

Key facts

Host species

Rabbit

Clonality

Monoclonal

Clone number

EPR27984-506

Isotype

IgG

Carrier free

Yes

Reacts with

Mouse, Rat, Human

Applications

IHC-P, WB

applications

Immunogen

The exact immunogen used to generate this antibody is proprietary information.

Specificity

Mouse testis showed non-specifc staining, and mouse kidney, colon, stomach showed weak staining.

Reactivity data

{ "title": "Reactivity Data", "filters": { "stats": ["", "Species", "Dilution Info", "Notes"], "tabs": { "all-applications": {"fullname" : "All Applications", "shortname": "All Applications"}, "WB" : {"fullname" : "Western blot", "shortname":"WB"}, "IHCP" : {"fullname" : "Immunohistochemistry (Formalin/PFA-fixed paraffin-embedded sections)", "shortname":"IHC-P"}, "IHCFr" : {"fullname" : "Immunohistochemistry (Frozen sections)", "shortname":"IHC-Fr"} }, "product-promise": { "all": "all", "testedAndGuaranteed": "tested", "guaranteed": "expected", "predicted": "predicted", "notRecommended": "not-recommended" } }, "values": { "Human": { "WB-species-checked": "testedAndGuaranteed", "WB-species-dilution-info": "", "WB-species-notes": "<p></p>", "IHCP-species-checked": "testedAndGuaranteed", "IHCP-species-dilution-info": "", "IHCP-species-notes": "<p></p>", "IHCFr-species-checked": "notRecommended", "IHCFr-species-dilution-info": "", "IHCFr-species-notes": "" }, "Mouse": { "WB-species-checked": "notRecommended", "WB-species-dilution-info": "", "WB-species-notes": "<p></p>", "IHCP-species-checked": "testedAndGuaranteed", "IHCP-species-dilution-info": "", "IHCP-species-notes": "<p></p> Perform heat-mediated antigen retrieval with Tris/EDTA buffer pH 9.0 before commencing with IHC staining protocol.", "IHCFr-species-checked": "notRecommended", "IHCFr-species-dilution-info": "", "IHCFr-species-notes": "<p></p>" }, "Rat": { "WB-species-checked": "testedAndGuaranteed", "WB-species-dilution-info": "", "WB-species-notes": "<p></p>", "IHCP-species-checked": "testedAndGuaranteed", "IHCP-species-dilution-info": "", "IHCP-species-notes": "<p></p> Perform heat-mediated antigen retrieval with Tris/EDTA buffer pH 9.0 before commencing with IHC staining protocol.", "IHCFr-species-checked": "notRecommended", "IHCFr-species-dilution-info": "", "IHCFr-species-notes": "" }, "Transfected cell lysate - Human": { "WB-species-checked": "testedAndGuaranteed", "WB-species-dilution-info": "", "WB-species-notes": "<p></p>", "IHCP-species-checked": "notRecommended", "IHCP-species-dilution-info": "", "IHCP-species-notes": "", "IHCFr-species-checked": "notRecommended", "IHCFr-species-dilution-info": "", "IHCFr-species-notes": "" } } }

Product details

ab319038 is the carrier-free version of ab319037.

Patented technology
Our RabMAb® technology is a patented hybridoma-based technology for making rabbit monoclonal antibodies. For details on our patents, please refer to RabMAb® patents.

What are the advantages of a recombinant monoclonal antibody?
This product is a recombinant monoclonal antibody, which offers several advantages including:

  • - High batch-to-batch consistency and reproducibility
  • - Improved sensitivity and specificity
  • - Long-term security of supply
  • - Animal-free batch production

For more information, read more on recombinant antibodies.

Conjugation ready
Our carrier-free antibodies are typically supplied in a PBS-only formulation, purified and free of BSA, sodium azide and glycerol. This conjugation-ready format is designed for use with fluorochromes, metal isotopes, oligonucleotides, and enzymes, which makes them ideal for antibody labelling, functional and cell-based assays, flow-based assays (e.g. mass cytometry) and Multiplex Imaging applications.

Use our conjugation kits for antibody conjugates that are ready-to-use in as little as 20 minutes with 1 minute hands-on-time and 100% antibody recovery: available for fluorescent dyes, HRP, biotin and gold.

Compatibility
This product is compatible with the Maxpar® Antibody Labeling Kit from Fluidigm, without the need for antibody preparation. Maxpar® is a trademark of Fluidigm Canada Inc.

Properties and storage information

Form
Liquid
Purification technique
Affinity purification Protein A
Storage buffer
pH: 7.2 - 7.4 Constituents: PBS
Shipped at conditions
Blue Ice
Appropriate short-term storage conditions
+4°C
Appropriate long-term storage conditions
+4°C

Supplementary information

This supplementary information is collated from multiple sources and compiled automatically.

Netrin G1 also known as Netrin-G1 or NTNG1 is a protein involved in axonal guidance. This protein helps in the development and differentiation of the central nervous system. It has a mass of approximately 64 kDa. Netrin G1 is expressed in brain regions such as the hippocampus and cerebral cortex. Unlike other netrins it is tethered to the membrane through a glycosylphosphatidylinositol (GPI) anchor affecting its signaling properties.
Biological function summary

Netrin G1 plays a significant role in neuronal circuit formation. It interacts with ligands like NGL1 and NGL2 to mediate cell signaling pathways that guide axonal growth and synapse formation. While it is not a part of a molecular complex on its own its association with these partners enhances its functionality in synaptic connectivity and neural network maintenance.

Pathways

Netrin G1 engages in the axon guidance pathway and is involved in nervous system development processes. It works alongside proteins such as Netrin-1 to influence the direction and growth of axons. Through these interactions Netrin G1 contributes to the precise wiring of the nervous system required for proper function. Understanding its role in these pathways provides insight into the molecular mechanisms of neural development.

Changes in Netrin G1 expression and function have been linked to neuropsychiatric conditions like schizophrenia and autism spectrum disorders. Studies suggest that Netrin G1 through its interaction with other proteins like Netrin-1 and DCC can alter synaptic connectivity which may play a role in the pathology of these conditions. These associations make Netrin G1 a potential target for therapeutic interventions in related neurological disorders.

Product protocols

For this product, it's our understanding that no specific protocols are required. You can visit:

Target data

Involved in controlling patterning and neuronal circuit formation at the laminar, cellular, subcellular and synaptic levels. Promotes neurite outgrowth of both axons and dendrites.
See full target information NTNG1

Product promise

We are committed to supporting your work with high-quality reagents, and we're here for you every step of the way. In the unlikely event that one of our products does not perform as expected, you're protected by our Product Promise.
For full details, please see our Terms & Conditions

Please note: All products are 'FOR RESEARCH USE ONLY. NOT FOR USE IN DIAGNOSTIC OR THERAPEUTIC PROCEDURES'.

For licensing inquiries, please contact partnerships@abcam.com