JavaScript is disabled in your browser. Please enable JavaScript to view this website.
AB279296

Anti-NeuN antibody [EPR12763] - Neuronal Marker - Mouse IgG2a (Chimeric)

  • BOND RX™ Validated
  • 20ul selling size
  • Recombinant
  • What is this?

Be the first to review this product! Submit a review

|

(22 Publications)

Anti-NeuN antibody [EPR12763] - Mouse IgG2a (Chimeric) (ab279296) is a mouse monoclonal antibody detecting NeuN in Western Blot, Flow Cytometry (Intra), IP, IHC-P. Suitable for Human, Mouse, Rat.

This antibody is the chimeric Mouse IgG2a version of clone EPR12763, available in rabbit as ab177487 with over 1,000 publications. Same clone, same staining pattern, different species antibody backbone.
Learn more about chimeric antibodies

View Alternative Names

RNA binding protein fox-1 homolog 3, Fox-1 homolog C, Neuronal nuclei antigen, NeuN antigen, RBFOX3

6 Images
Immunocytochemistry - Anti-NeuN antibody [EPR12763] - Neuronal Marker - Mouse IgG2a (Chimeric) (AB279296)
  • ICC

Unknown

Immunocytochemistry - Anti-NeuN antibody [EPR12763] - Neuronal Marker - Mouse IgG2a (Chimeric) (AB279296)

Immunofluorescence staining of NeuN using ab279296 in human SHSY5Y cells. The cells were fixed with 4% formaldehyde (10 min), permeabilized with 0.1% Triton X-100 for 5 mins and then blocked with 1% BSA/10% normal goat serum/0.3M glycine in 0.1% PBS-Tween for 1h. The cells were then incubated overnight at +4°C with ab279296 at 1.0 μg/ml. Cells were then incubated with ab150117, Goat Anti-Mouse IgG H&L (Alexa Fluor® 488) preadsorbed at 1/1000 dilution (shown in green) and nuclear DNA was labelled with DAPI (shown in blue). The secondary only control (bottom row) was not incubated with ab279296 but otherwise processed the same. Images were acquired with a high-content analyser (Operetta CLS, Perkin Elmer) and a maximum intensity projection of confocal sections is shown.

Immunohistochemistry (Formalin/PFA-fixed paraffin-embedded sections) - Anti-NeuN antibody [EPR12763] - Neuronal Marker - Mouse IgG2a (Chimeric) (AB279296)
  • IHC-P

Lab

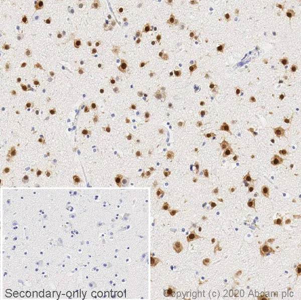
Immunohistochemistry (Formalin/PFA-fixed paraffin-embedded sections) - Anti-NeuN antibody [EPR12763] - Neuronal Marker - Mouse IgG2a (Chimeric) (AB279296)

IHC image of NeuN staining in a section of formalin-fixed paraffin-embedded normal human cerebral cortex performed on a Leica BONDTM system using the standard protocol F. The section was pre-treated using heat mediated antigen retrieval with sodium citrate buffer (pH6, epitope retrieval solution 1) for 20mins. The section was then incubated with ab279296, 1ug/ml, for 15 mins at room temperature. A rabbit anti-mouse IgG2a, was added for 8 mins at room temperature and detected using an HRP conjugated goat anti-rabbit compact polymer system. DAB was used as the chromogen. The section was then counterstained with haematoxylin and mounted with DPX. The inset secondary-only control image is taken from an identical assay without primary antibody.
For other IHC staining systems (automated and non-automated) customers should optimize variable parameters such as antigen retrieval conditions, primary antibody concentration and antibody incubation times.

Immunocytochemistry - Anti-NeuN antibody [EPR12763] - Neuronal Marker - Mouse IgG2a (Chimeric) (AB279296)
  • ICC

Unknown

Immunocytochemistry - Anti-NeuN antibody [EPR12763] - Neuronal Marker - Mouse IgG2a (Chimeric) (AB279296)

Immunofluorescence staining of NeuN using ab279296 in human SHSY5Y cells. The cells were fixed with 100% methanol (5 min), permeabilized with 0.1% Triton X-100 for 5 mins and then blocked with 1% BSA/10% normal goat serum/0.3M glycine in 0.1% PBS-Tween for 1h. The cells were then incubated overnight at +4°C with ab279296 at 1.0 μg/ml. Cells were then incubated with ab150117, Goat Anti-Mouse IgG H&L (Alexa Fluor® 488) preadsorbed at 1/1000 dilution (shown in green) and nuclear DNA was labelled with DAPI (shown in blue). The secondary only control (bottom row) was not incubated with ab279296 but otherwise processed the same. Images were acquired with a high-content analyser (Operetta CLS, Perkin Elmer) and a maximum intensity projection of confocal sections is shown.

Flow Cytometry (Intracellular) - Anti-NeuN antibody [EPR12763] - Neuronal Marker - Mouse IgG2a (Chimeric) (AB279296)
  • Flow Cyt (Intra)

Supplier Data

Flow Cytometry (Intracellular) - Anti-NeuN antibody [EPR12763] - Neuronal Marker - Mouse IgG2a (Chimeric) (AB279296)

Flow cytometric analysis of 4% paraformaldehyde-fixed, 90% methanol-permeabilized rat primary neural/glia cells labelling NeuN with ab279296 at 1/1000 dilution (0.1μg)/ Right compared with a Mouse monoclonal IgG isotype control/ Left.

Goat Anti-Mouse IgG (Alexa Fluor® 647, ab150119) at 1/2000 dilution was used as the secondary antibody.

Immunoprecipitation - Anti-NeuN antibody [EPR12763] - Neuronal Marker - Mouse IgG2a (Chimeric) (AB279296)
  • IP

Supplier Data

Immunoprecipitation - Anti-NeuN antibody [EPR12763] - Neuronal Marker - Mouse IgG2a (Chimeric) (AB279296)

NeuN was immunoprecipitated from 0.35 mg mouse brain tissue lysate 10 μg with ab279296 at 1/30 dilution (2μg in 0.35mg lysates). Western blot was performed on the immunoprecipitate using ab279296 at 1/1000 dilution. mouse IgG for IP (HRP) (ab131368) was used at 1/5000 dilution.

Lane 1 : Mouse brain tissue lysate 10μg.

Lane 2 : ab279296 IP in mouse brain tissue lysate.

Lane 3 : Mouse monoclonal IgG2a (ab18413) instead of ab279296 in mouse brain tissue lysate.

Blocking and dilution buffer and concentration : 5% NFDM/TBST.

Exposure time : 15 seconds.

All lanes:

Immunoprecipitation - Anti-NeuN antibody [EPR12763] - Neuronal Marker - Mouse IgG2a (Chimeric) (ab279296)

Predicted band size: 34 kDa

false

Western blot - Anti-NeuN antibody [EPR12763] - Neuronal Marker - Mouse IgG2a (Chimeric) (AB279296)
  • WB

Supplier Data

Western blot - Anti-NeuN antibody [EPR12763] - Neuronal Marker - Mouse IgG2a (Chimeric) (AB279296)

Exposure time : Lane 1 : 70 seconds; Lane 2, 3 : 4.5 seconds.

Blocking/Dilution buffer : 5% NFDM/TBST.

All lanes:

Western blot - Anti-NeuN antibody [EPR12763] - Neuronal Marker - Mouse IgG2a (Chimeric) (ab279296) at 1/1000 dilution

Lane 1:

Human brain tissue lysate at 20 µg

Lane 2:

Mouse brain tissue lysate at 20 µg

Lane 3:

Rat brain tissue lysate at 20 µg

Secondary

All lanes:

Peroxidase-Conjugated Goat anti-Mouse IgG (H+L) at 1/5000 dilution

Predicted band size: 34 kDa

false

  • Carrier free

    Anti-NeuN antibody [EPR12763] - Mouse IgG1 (Chimeric) - BSA and Azide free

  • Carrier free

    Anti-NeuN antibody [EPR12763] - Mouse IgG2a (Chimeric) - BSA and Azide free

  • Unconjugated

    Anti-NeuN antibody [EPR12763] - Neuronal Marker - Mouse IgG1 (Chimeric)

Key facts

Host species

Mouse

Clonality

Monoclonal

Clone number

EPR12763

Isotype

IgG2a

Carrier free

No

Reacts with

Mouse, Rat, Human

Applications

IP, Flow Cyt (Intra), ICC, WB, IHC-P

applications

Immunogen

The exact immunogen used to generate this antibody is proprietary information.

Reactivity data

{ "title": "Reactivity Data", "filters": { "stats": ["", "Species", "Dilution Info", "Notes"], "tabs": { "all-applications": {"fullname" : "All Applications", "shortname": "All Applications"}, "IHCP" : {"fullname" : "Immunohistochemistry (Formalin/PFA-fixed paraffin-embedded sections)", "shortname":"IHC-P"}, "ICC" : {"fullname" : "Immunocytochemistry", "shortname":"ICC"}, "IP" : {"fullname" : "Immunoprecipitation", "shortname":"IP"}, "WB" : {"fullname" : "Western blot", "shortname":"WB"}, "FlowCytIntra" : {"fullname" : "Flow Cytometry (Intracellular)", "shortname":"Flow Cyt (Intra)"} }, "product-promise": { "all": "all", "testedAndGuaranteed": "tested", "guaranteed": "expected", "predicted": "predicted", "notRecommended": "not-recommended" } }, "values": { "Human": { "IHCP-species-checked": "testedAndGuaranteed", "IHCP-species-dilution-info": "1 µg/mL", "IHCP-species-notes": "<p></p> Perform heat-mediated antigen retrieval with citrate buffer pH 6 before commencing with IHC staining protocol.", "ICC-species-checked": "testedAndGuaranteed", "ICC-species-dilution-info": "1 µg/mL", "ICC-species-notes": "<p></p>", "IP-species-checked": "guaranteed", "IP-species-dilution-info": "", "IP-species-notes": "", "WB-species-checked": "testedAndGuaranteed", "WB-species-dilution-info": "1/1000", "WB-species-notes": "<p></p>", "FlowCytIntra-species-checked": "guaranteed", "FlowCytIntra-species-dilution-info": "", "FlowCytIntra-species-notes": "" }, "Mouse": { "IHCP-species-checked": "guaranteed", "IHCP-species-dilution-info": "", "IHCP-species-notes": "", "ICC-species-checked": "guaranteed", "ICC-species-dilution-info": "", "ICC-species-notes": "", "IP-species-checked": "testedAndGuaranteed", "IP-species-dilution-info": "1/30", "IP-species-notes": "<p></p>", "WB-species-checked": "testedAndGuaranteed", "WB-species-dilution-info": "1/1000", "WB-species-notes": "<p></p>", "FlowCytIntra-species-checked": "guaranteed", "FlowCytIntra-species-dilution-info": "", "FlowCytIntra-species-notes": "" }, "Rat": { "IHCP-species-checked": "guaranteed", "IHCP-species-dilution-info": "", "IHCP-species-notes": "", "ICC-species-checked": "guaranteed", "ICC-species-dilution-info": "", "ICC-species-notes": "", "IP-species-checked": "guaranteed", "IP-species-dilution-info": "", "IP-species-notes": "", "WB-species-checked": "testedAndGuaranteed", "WB-species-dilution-info": "1/1000", "WB-species-notes": "<p></p>", "FlowCytIntra-species-checked": "testedAndGuaranteed", "FlowCytIntra-species-dilution-info": "1/1000", "FlowCytIntra-species-notes": "<p></p>" } } }

Product details

What is this antibody validated in?
Anti-NeuN antibody [EPR12763] - Mouse IgG2a (Chimeric) (ab279296) is a mouse recombinant monoclonal antibody and is validated for use in Western Blot (WB), Flow Cytometry (Intra), Flow Cytometry (Flow Cyt), Immunoprecipitation (IP), Immunohistochemistry (IHC-P) in Human, Mouse, Rat samples.

Trial sizes available!
Test your antibody or perform pre-screening before committing to a larger quantity. Sold in 10µl. Discover our selection of trial-size antibodies.

Other related products
We have a range of other formats of antibody clone [EPR12763] also available for your convenience: ab177487, Alexa Fluor® 488 - ab190195, Alexa Fluor® 647 - ab190565, Biotin - ab204681, Alexa Fluor® 594 - ab207279, Alexa Fluor® 555 - ab207281, Alexa Fluor® 568 - ab207282, Carrier free - ab209898, FITC - ab223994, ab279295, ab279296, ab279297, Carrier free - ab279307, Carrier free - ab279308, Carrier free - ab279309

Properties and storage information

Form
Liquid
Purification technique
Affinity purification Protein A
Storage buffer
pH: 7.2 - 7.4 Preservative: 0.01% Sodium azide Constituents: PBS, 40% Glycerol (glycerin, glycerine), 0.05% BSA
Shipped at conditions
Blue Ice
Appropriate short-term storage duration
1-2 weeks
Appropriate short-term storage conditions
+4°C
Appropriate long-term storage conditions
-20°C
Aliquoting information
Upon delivery aliquot
Storage information
Avoid freeze / thaw cycle

Supplementary information

This supplementary information is collated from multiple sources and compiled automatically.

NeuN also known as Fox-3 or Rbfox3 serves as a vital neuronal marker and has a molecular weight of about 46-50 kDa. This nuclear protein is commonly found in neuronal cells in the central nervous system but it does not appear in glial cells. Researchers use NeuN staining as an effective tool to identify neurons in various brain regions due to its reliable expression pattern in mature neurons. The presence of NeuN can be detected using methods such as NeuN IHC (immunohistochemistry) and NeuN Western blot aiding in cellular and tissue analysis.
Biological function summary

NeuN plays an essential role in the regulation of RNA-binding influencing the splicing and stability of transcripts. It forms part of the complex network responsible for managing neuron-specific gene expression. By interacting with other RNA-binding proteins NeuN contributes to the fine-tuning needed for proper neuronal development and function. As a result NeuN helps maintain the health and activity of nerve cells allowing them to perform complex neurological tasks.

Pathways

NeuN has a significant role in neuronal differentiation and plasticity pathways. NeuN coordinates with elements of the Notch signaling pathway which is important for guiding cell fate decisions in the nervous system. It also interacts with related proteins like Fox proteins involved in splicing regulation. These pathways ensure neurons develop differentiate and function correctly within the nervous system's precise architecture.

Disruptions in NeuN expression link closely to neurodegenerative diseases such as Parkinson's disease and Amyotrophic lateral sclerosis (ALS). Abnormal NeuN expression correlates with neuron loss and dysfunction in these conditions with connectivity to other affected proteins like alpha-synuclein in Parkinson's disease. In ALS abnormal NeuN-staining patterns indicate neuronal cell death serving as a potential marker for disease progression. Studying these connections improves our understanding of disease mechanisms and aids in the development of targeted therapies.

Product protocols

For this product, it's our understanding that no specific protocols are required. You can visit:

Target data

Pre-mRNA alternative splicing regulator. Regulates alternative splicing of RBFOX2 to enhance the production of mRNA species that are targeted for nonsense-mediated decay (NMD).
See full target information NeuN

Publications (22)

Recent publications for all applications. Explore the full list and refine your search

Biomedicines 13: PubMed40868255

2025

Comparative Analysis of Davidson and Glyoxal Fixatives on Autofluorescence and Immunolabeling in Medaka () Tissues.

Applications

Unspecified application

Species

Unspecified reactive species

Li Xiao,Eriko Sato,Ryoji Ide,Naohiro Shimamura,Chikako Saiki,Nobuhiko Miwa

Exploration (Beijing, China) 5:e20230178 PubMed40873646

2025

Enhanced Blood-Brain Barrier Penetrability of BACE1 SiRNA-Loaded Prussian Blue Nanocomplexes for Alzheimer's Disease Synergy Therapy.

Applications

Unspecified application

Species

Unspecified reactive species

Xiaoyuan Ding,Yanyu Hu,Xiaotong Feng,Zekun Wang,Qile Song,Chunxue Dai,Bangjia Yang,Xiaoyan Fu,Dongdong Sun,Cundong Fan

Biology open 14: PubMed40353744

2025

Reorganization of the heterochromatin-associated gene-dense subcompartment in early neuronal development.

Applications

Unspecified application

Species

Unspecified reactive species

Nicolas J Scrutton Alvarado,Ziyu Zhao,Tomoko Yamada,Yue Yang

Molecular psychiatry 30:4176-4193 PubMed40188316

2025

CRISPRi-based screen of autism spectrum disorder risk genes in microglia uncovers roles of ADNP in microglia endocytosis and synaptic pruning.

Applications

Unspecified application

Species

Unspecified reactive species

Olivia M Teter,Amanda McQuade,Venus Hagan,Weiwei Liang,Nina M Dräger,Sydney M Sattler,Brandon B Holmes,Vincent Cele Castillo,Vasileios Papakis,Kun Leng,Steven Boggess,Tomasz J Nowakowski,James Wells,Martin Kampmann

Journal of pain research 18:1115-1129 PubMed40070891

2025

Electroacupuncture Inhibits NLRP3-Mediated Microglial Pyroptosis to Ameliorate Chronic Neuropathic Pain in Rats.

Applications

Unspecified application

Species

Unspecified reactive species

Wenyun Kui,Yanan Li,Zhen Gu,Lei Xie,Aiping Huang,Shuyi Kong,Lilong Song,Lingxing Li,Jun Yu,Chun-Chun Xue,Kaiqiang Wang

Cell death & disease 16:14 PubMed39809738

2025

The TRPV1-PKM2-SREBP1 axis maintains microglial lipid homeostasis in Alzheimer's disease.

Applications

Unspecified application

Species

Unspecified reactive species

Xudong Sha,Jiayuan Lin,Kexin Wu,Jia Lu,Zhihua Yu

Translational neurodegeneration 13:52 PubMed39468688

2024

TRPV1 alleviates APOE4-dependent microglial antigen presentation and T cell infiltration in Alzheimer's disease.

Applications

Unspecified application

Species

Unspecified reactive species

Jia Lu,Kexin Wu,Xudong Sha,Jiayuan Lin,Hongzhuan Chen,Zhihua Yu

Frontiers in pharmacology 15:1407347 PubMed39045057

2024

S1P/S1PR1 signaling is involved in the development of nociceptive pain.

Applications

Unspecified application

Species

Unspecified reactive species

Daosong Dong,Xue Yu,Xueshu Tao,Qian Wang,Lin Zhao

Neurotoxicology 103:320-334 PubMed38960072

2024

Neuroprotective efficacy of the glucocorticoid receptor modulator PT150 in the rotenone mouse model of Parkinson's disease.

Applications

Unspecified application

Species

Unspecified reactive species

Amanda S Latham,Savannah M Rocha,Casey P McDermott,Philip Reigan,Richard A Slayden,Ronald B Tjalkens

Acta biochimica et biophysica Sinica 56:645-656 PubMed38529553

2024

Huperzine A ameliorates neurological deficits after spontaneous subarachnoid hemorrhage through endothelial cell pyroptosis inhibition.

Applications

Unspecified application

Species

Unspecified reactive species

Qiang Hu,Rong Zhang,Xiaoqiao Dong,Dingbo Yang,Wenhua Yu,Quan Du
View all publications

Product promise

We are committed to supporting your work with high-quality reagents, and we're here for you every step of the way. In the unlikely event that one of our products does not perform as expected, you're protected by our Product Promise.
For full details, please see our Terms & Conditions

Please note: All products are 'FOR RESEARCH USE ONLY. NOT FOR USE IN DIAGNOSTIC OR THERAPEUTIC PROCEDURES'.

For licensing inquiries, please contact partnerships@abcam.com