JavaScript is disabled in your browser. Please enable JavaScript to view this website.
AB236869

Anti-NeuN antibody [EPR21902]

Be the first to review this product! Submit a review

|

(1 Publication)

Rabbit Recombinant Monoclonal NeuN antibody. Suitable for IP, WB, IHC-P and reacts with Human samples. Cited in 1 publication.

View Alternative Names

RNA binding protein fox-1 homolog 3, Fox-1 homolog C, Neuronal nuclei antigen, NeuN antigen, RBFOX3

6 Images
Immunohistochemistry (Formalin/PFA-fixed paraffin-embedded sections) - Anti-NeuN antibody [EPR21902] (AB236869)
  • IHC-P

Supplier Data

Immunohistochemistry (Formalin/PFA-fixed paraffin-embedded sections) - Anti-NeuN antibody [EPR21902] (AB236869)

Immunohistochemical analysis of paraffin-embedded human cerebellum tissue labeling NeuN with ab236869 at 1/4000 dilution, followed by Goat Anti-Rabbit IgG H&L (HRP) Ready to use. Nuclear and cytoplasmic staining in granule cells of human cerebellum (PMID : 8813082; PMID : 1483388). Counterstained with hematoxylin.

Secondary antibody only control : Used PBS instead of primary antibody, secondary antibody is Goat Anti-Rabbit IgG H&L (HRP) Ready to use.

Heat mediated antigen retrieval was performed with Tris/EDTA buffer pH 9.0 before commencing with IHC staining protocol.

Immunohistochemistry (Formalin/PFA-fixed paraffin-embedded sections) - Anti-NeuN antibody [EPR21902] (AB236869)
  • IHC-P

Supplier Data

Immunohistochemistry (Formalin/PFA-fixed paraffin-embedded sections) - Anti-NeuN antibody [EPR21902] (AB236869)

Immunohistochemical analysis of paraffin-embedded human cerebrum tissue labeling NeuN with ab236869 at 1/4000 dilution, followed by Goat Anti-Rabbit IgG H&L (HRP) Ready to use. Nuclear and cytoplasmic staining in neurons of human cerebrum (PMID : 8813082; PMID : 1483388; PMID : 26085943). Counterstained with hematoxylin.

Secondary antibody only control : Used PBS instead of primary antibody, secondary antibody is Goat Anti-Rabbit IgG H&L (HRP) Ready to use.

Heat mediated antigen retrieval was performed with Tris/EDTA buffer pH 9.0 before commencing with IHC staining protocol.

Immunohistochemistry (Formalin/PFA-fixed paraffin-embedded sections) - Anti-NeuN antibody [EPR21902] (AB236869)
  • IHC-P

Supplier Data

Immunohistochemistry (Formalin/PFA-fixed paraffin-embedded sections) - Anti-NeuN antibody [EPR21902] (AB236869)

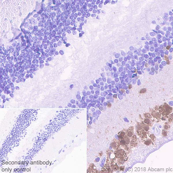
Immunohistochemical analysis of paraffin-embedded human retina tissue labeling NeuN with ab236869 at 1/4000 dilution, followed by Goat Anti-Rabbit IgG H&L (HRP) Ready to use. Nuclear and cytoplasmic staining in ganglion cells of human retina (PMID : 8813082; PMID : 1483388). Counterstained with hematoxylin.

Secondary antibody only control : Used PBS instead of primary antibody, secondary antibody is Goat Anti-Rabbit IgG H&L (HRP) Ready to use.

Heat mediated antigen retrieval was performed with Tris/EDTA buffer pH 9.0 before commencing with IHC staining protocol.

Immunoprecipitation - Anti-NeuN antibody [EPR21902] (AB236869)
  • IP

Supplier Data

Immunoprecipitation - Anti-NeuN antibody [EPR21902] (AB236869)

NeuN was immunoprecipitated from 0.35 mg human fetal brain lysate with ab236869 at 1/30 dilution. Western blot was performed from the immunoprecipitate using ab236869 at 1/1000 dilution. VeriBlot for IP Detection Reagent (HRP) (ab131366), was used for detection at 1/1000 dilution.

Lane 1 : Human fetal brain lysate 10 μg (Input).
Lane 2 : ab236869 IP in human fetal brain lysate.
Lane 3 : Rabbit monoclonal IgG (ab172730) instead of ab236869 in human fetal brain lysate.

Blocking/Dilution buffer : 5% NFDM/TBST.

Exposure time : 8 seconds.

The molecular weight observed is consistent with what has been described in the literature (PMID : 1483388).

All lanes:

Immunoprecipitation - Anti-NeuN antibody [EPR21902] (ab236869)

Predicted band size: 34 kDa

false

Western blot - Anti-NeuN antibody [EPR21902] (AB236869)
  • WB

Supplier Data

Western blot - Anti-NeuN antibody [EPR21902] (AB236869)

Exposure times : Lanes 1 and 3-4 : 15 seconds; Lane 2 : 92 seconds.

Blocking/Dilution buffer : 5% NFDM/TBST.

The molecular weight observed is consistent with what has been described in the literature (PMID : 1483388; PMID : 26085943).

All lanes:

Western blot - Anti-NeuN antibody [EPR21902] (ab236869) at 1/1000 dilution

Lane 1:

Human fetal brain lysate at 20 µg

Lane 2:

Human brain lysate at 20 µg

Lane 3:

Human cerebellum lysate at 20 µg

Lane 4:

Human hippocampus lysate at 20 µg

Secondary

All lanes:

Western blot - Goat Anti-Rabbit IgG H&L (HRP) (<a href='/en-us/products/secondary-antibodies/goat-rabbit-igg-h-l-hrp-ab97051'>ab97051</a>) at 1/20000 dilution

Predicted band size: 34 kDa

Observed band size: 46 kDa,48 kDa

false

Western blot - Anti-NeuN antibody [EPR21902] (AB236869)
  • WB

Lab

Western blot - Anti-NeuN antibody [EPR21902] (AB236869)

Western blot : Rabbit Monoclonal[EPR21902] to NeuN ab236869 staining at 1/1000 dilution, shown in green; Mouse anti-CANX (ab238078) loading control staining at 1/20,000 dilution, shown in magenta. A band was observed at 40 kDa in Wild-type A549 cell lysates with no signal observed at this size in RBFOX3 knockout A549 cell line.

To generate this image, samples were run on an SDS-PAGE gel then transferred onto a nitrocellulose membrane. Membranes were blocked in 5pc Milk in TBS-0.1 % Tween® 20 (TBS-T) before incubation with primary antibodies overnight at 4 °C. Blots were washed four times in TBS-T, incubated with secondary antibodies for 1 h at room temperature, washed again four times then imaged. Secondary antibodies used were Goat anti-Rabbit 800CW & Goat anti-Mouse 680RD at 1/20,000 dilution.

Lanes 1 - 4:

Western blot - Anti-NeuN antibody [EPR21902] (ab236869) at 1/1000 dilution

Lanes 1 - 4:

Western blot - Anti-NeuN antibody [EPR21902] - BSA and Azide free (<a href='/en-us/products/primary-antibodies/neun-antibody-epr21902-bsa-and-azide-free-ab239345'>ab239345</a>) at 1/1000 dilution

Lane 1:

Wild-type A549 at 20 µg

Lane 2:

RBFOX3 knockout A549 at 20 µg

Lane 3:

U-2 OS at 20 µg

Lane 4:

Raji at 20 µg

Secondary

All lanes:

Goat anti-Rabbit 800CW & Goat anti-Mouse 680RD at 1/20000 dilution

Predicted band size: 34 kDa

Observed band size: 40 kDa

false

  • Carrier free

    Anti-NeuN antibody [EPR21902] - BSA and Azide free

Key facts

Host species

Rabbit

Clonality

Monoclonal

Clone number

EPR21902

Isotype

IgG

Carrier free

No

Reacts with

Human

Applications

IHC-P, IP, WB

applications

Immunogen

The exact immunogen used to generate this antibody is proprietary information.

Reactivity data

{ "title": "Reactivity Data", "filters": { "stats": ["", "Species", "Dilution Info", "Notes"], "tabs": { "all-applications": {"fullname" : "All Applications", "shortname": "All Applications"}, "IP" : {"fullname" : "Immunoprecipitation", "shortname":"IP"}, "WB" : {"fullname" : "Western blot", "shortname":"WB"}, "IHCP" : {"fullname" : "Immunohistochemistry (Formalin/PFA-fixed paraffin-embedded sections)", "shortname":"IHC-P"} }, "product-promise": { "all": "all", "testedAndGuaranteed": "tested", "guaranteed": "expected", "predicted": "predicted", "notRecommended": "not-recommended" } }, "values": { "Human": { "IP-species-checked": "testedAndGuaranteed", "IP-species-dilution-info": "1/30", "IP-species-notes": "<p></p>", "WB-species-checked": "testedAndGuaranteed", "WB-species-dilution-info": "1/1000", "WB-species-notes": "<p></p>", "IHCP-species-checked": "testedAndGuaranteed", "IHCP-species-dilution-info": "1/4000", "IHCP-species-notes": "<p></p>" } } }

Product details

Patented technology
Our RabMAb® technology is a patented hybridoma-based technology for making rabbit monoclonal antibodies. For details on our patents, please refer to RabMAb® patents.

What are the advantages of a recombinant monoclonal antibody?
This product is a recombinant monoclonal antibody, which offers several advantages including:

  • - High batch-to-batch consistency and reproducibility
  • - Improved sensitivity and specificity
  • - Long-term security of supply
  • - Animal-free batch production

For more information, read more on recombinant antibodies.

Properties and storage information

Form
Liquid
Purification technique
Affinity purification Protein A
Storage buffer
pH: 7.2 - 7.4 Preservative: 0.01% Sodium azide Constituents: PBS, 40% Glycerol (glycerin, glycerine), 0.05% BSA
Shipped at conditions
Blue Ice
Appropriate short-term storage duration
1-2 weeks
Appropriate short-term storage conditions
+4°C
Appropriate long-term storage conditions
-20°C
Aliquoting information
Upon delivery aliquot
Storage information
Avoid freeze / thaw cycle

Supplementary information

This supplementary information is collated from multiple sources and compiled automatically.

NeuN also known as Fox-3 or Rbfox3 serves as a vital neuronal marker and has a molecular weight of about 46-50 kDa. This nuclear protein is commonly found in neuronal cells in the central nervous system but it does not appear in glial cells. Researchers use NeuN staining as an effective tool to identify neurons in various brain regions due to its reliable expression pattern in mature neurons. The presence of NeuN can be detected using methods such as NeuN IHC (immunohistochemistry) and NeuN Western blot aiding in cellular and tissue analysis.
Biological function summary

NeuN plays an essential role in the regulation of RNA-binding influencing the splicing and stability of transcripts. It forms part of the complex network responsible for managing neuron-specific gene expression. By interacting with other RNA-binding proteins NeuN contributes to the fine-tuning needed for proper neuronal development and function. As a result NeuN helps maintain the health and activity of nerve cells allowing them to perform complex neurological tasks.

Pathways

NeuN has a significant role in neuronal differentiation and plasticity pathways. NeuN coordinates with elements of the Notch signaling pathway which is important for guiding cell fate decisions in the nervous system. It also interacts with related proteins like Fox proteins involved in splicing regulation. These pathways ensure neurons develop differentiate and function correctly within the nervous system's precise architecture.

Disruptions in NeuN expression link closely to neurodegenerative diseases such as Parkinson's disease and Amyotrophic lateral sclerosis (ALS). Abnormal NeuN expression correlates with neuron loss and dysfunction in these conditions with connectivity to other affected proteins like alpha-synuclein in Parkinson's disease. In ALS abnormal NeuN-staining patterns indicate neuronal cell death serving as a potential marker for disease progression. Studying these connections improves our understanding of disease mechanisms and aids in the development of targeted therapies.

Product protocols

For this product, it's our understanding that no specific protocols are required. You can visit:

Target data

Pre-mRNA alternative splicing regulator. Regulates alternative splicing of RBFOX2 to enhance the production of mRNA species that are targeted for nonsense-mediated decay (NMD).
See full target information RBFOX3

Publications (1)

Recent publications for all applications. Explore the full list and refine your search

Research and reports in urology 17:383-399 PubMed41048480

2025

Influencing Factors and Risk Prediction Model Construction of Urinary Tract Infections in Patients with Bladder Cancer.

Applications

Unspecified application

Species

Unspecified reactive species

Yancheng Di,Lingling Zhang,Linlin Zhao,Lei Yin
View all publications

Product promise

We are committed to supporting your work with high-quality reagents, and we're here for you every step of the way. In the unlikely event that one of our products does not perform as expected, you're protected by our Product Promise.
For full details, please see our Terms & Conditions

Please note: All products are 'FOR RESEARCH USE ONLY. NOT FOR USE IN DIAGNOSTIC OR THERAPEUTIC PROCEDURES'.

For licensing inquiries, please contact partnerships@abcam.com