JavaScript is disabled in your browser. Please enable JavaScript to view this website.
AB104225

Anti-NeuN antibody - Neuronal Marker

5

(11 Reviews)

|

(340 Publications)

Anti-NeuN antibody - Neuronal Marker (ab104225) is a rabbit polyclonal antibody detecting NeuN in Western Blot, IHC-P, IHC-Fr. Suitable for Human, Mouse, Rat.

- Over 250 publications

View Alternative Names

RNA binding protein fox-1 homolog 3, Fox-1 homolog C, Neuronal nuclei antigen, NeuN antigen, RBFOX3

9 Images
Immunohistochemistry (Formalin/PFA-fixed paraffin-embedded sections) - Anti-NeuN antibody - Neuronal Marker (AB104225)
  • IHC-P

Supplier Data

Immunohistochemistry (Formalin/PFA-fixed paraffin-embedded sections) - Anti-NeuN antibody - Neuronal Marker (AB104225)

Immunohistochemical analysis of paraformaldehyde fixed frozen section Rat hippocampus tissue labeling NeuN with ab104225 at 1/1000 dilution.

Immunohistochemistry (Formalin/PFA-fixed paraffin-embedded sections) - Anti-NeuN antibody - Neuronal Marker (AB104225)
  • IHC-P

Lab

Immunohistochemistry (Formalin/PFA-fixed paraffin-embedded sections) - Anti-NeuN antibody - Neuronal Marker (AB104225)

IHC image of NeuN staining in human cerebellum formalin fixed paraffin embedded tissue section, performed on a Leica Bond™ system using the standard protocol F. The section was pre-treated using heat mediated antigen retrieval with sodium citrate buffer (pH6, epitope retrieval solution 1) for 20 mins. The section was then incubated with ab104225, 1in500 dilution, for 15 mins at room temperature and detected using an HRP conjugated compact polymer system. DAB was used as the chromogen. The section was then counterstained with haematoxylin and mounted with DPX.

For other IHC staining systems (automated and non-automated) customers should optimize variable parameters such as antigen retrieval conditions, primary antibody concentration and antibody incubation times.

Immunohistochemistry (Formalin/PFA-fixed paraffin-embedded sections) - Anti-NeuN antibody - Neuronal Marker (AB104225)
  • IHC-P

Lab

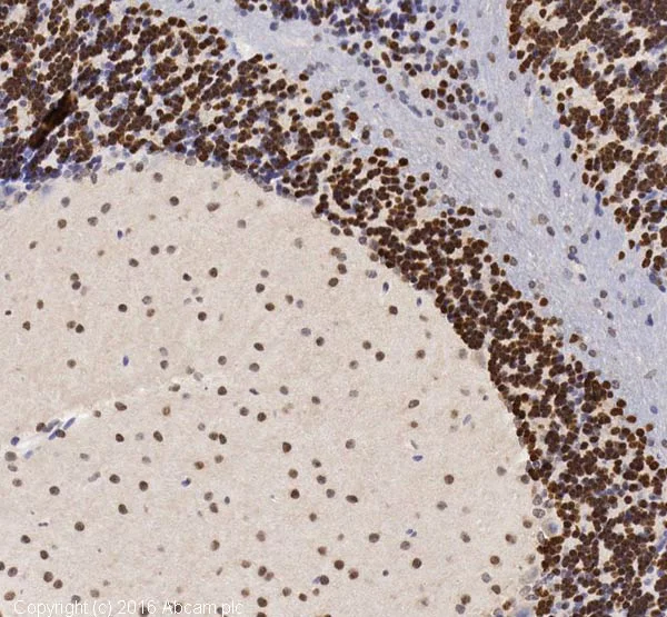
Immunohistochemistry (Formalin/PFA-fixed paraffin-embedded sections) - Anti-NeuN antibody - Neuronal Marker (AB104225)

IHC image of NeuN staining in rat cerebellum formalin fixed paraffin embedded tissue section, performed on a Leica Bond™ system using the standard protocol F. The section was pre-treated using heat mediated antigen retrieval with sodium citrate buffer (pH6, epitope retrieval solution 1) for 20 mins. The section was then incubated with ab104225, 1in500 dilution, for 15 mins at room temperature and detected using an HRP conjugated compact polymer system. DAB was used as the chromogen. The section was then counterstained with haematoxylin and mounted with DPX.

For other IHC staining systems (automated and non-automated) customers should optimize variable parameters such as antigen retrieval conditions, primary antibody concentration and antibody incubation times.

Immunohistochemistry - Free Floating - Anti-NeuN antibody - Neuronal Marker (AB104225)
  • IHC-FrFl

Supplier Data

Immunohistochemistry - Free Floating - Anti-NeuN antibody - Neuronal Marker (AB104225)

Immunofluorescent analysis of a section of adult mouse cerebellum stained with ab104225 at a dilution 1 : 5,000 in red, co-stained with chicken pAb to GFAP, dilution 1 : 5,000, in green.

Following transcardial perfusion of mouse with 4% paraformaldehyde, brain was post fixed for 24 hours, cut to 45 μM, and free-floating sections. ab104225 stains the nuclei of neurons in the cerebellar granule layer. The GFAP antibody stains the processes of Bergmann glia in the molecular layer and astroglia in the granule and white matter layers.

Immunohistochemistry (Formalin/PFA-fixed paraffin-embedded sections) - Anti-NeuN antibody - Neuronal Marker (AB104225)
  • IHC-P

AbReview33040****

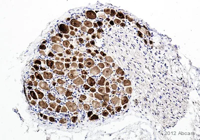
Immunohistochemistry (Formalin/PFA-fixed paraffin-embedded sections) - Anti-NeuN antibody - Neuronal Marker (AB104225)

IHC-P image of FOX3/NeuN staining using rat DRG using ab104225 (1 : 500). The sections were subjected to heat mediated antigen retrieval using citric acid pH 6. The sections were blocked using 1% BSA for 10 mins at 21°C. ab104225 was incubated for 2 hours at 21°C. The secondary antibody used was Goat polyclonal to Rabbit IgG conjugated to biotin (1 : 200).

This image is courtesy of an abreview submitted by Carl Hobbs, King's College London, United Kingdom

Immunohistochemistry (Formalin/PFA-fixed paraffin-embedded sections) - Anti-NeuN antibody - Neuronal Marker (AB104225)
  • IHC-P

AbReview33041****

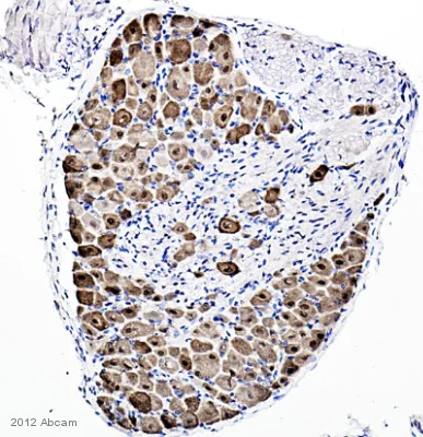
Immunohistochemistry (Formalin/PFA-fixed paraffin-embedded sections) - Anti-NeuN antibody - Neuronal Marker (AB104225)

IHC-P image of FOX3/NeuN staining using mouse DRG using ab104225 (1 : 500). The sections were subjected to heat mediated antigen retrieval using citric acid pH 6. The sections were blocked using 1% BSA for 10 mins at 21°C. ab104225 was incubated for 2 hours at 21°C. The secondary antibody used was Goat polyclonal to Rabbit IgG conjugated to biotin (1 : 200).

This image is courtesy of an abreview submitted by Carl Hobbs, King's College London, United Kingdom

Immunohistochemistry (PFA perfusion fixed frozen sections) - Anti-NeuN antibody - Neuronal Marker (AB104225)
  • IHC-FoFr

Unknown

Immunohistochemistry (PFA perfusion fixed frozen sections) - Anti-NeuN antibody - Neuronal Marker (AB104225)

ab104225 at 1/1000 dilution, staining FOX3 (red) in rat brain cortex and counterstained for DNA in blue.

Immunohistochemistry (Formalin/PFA-fixed paraffin-embedded sections) - Anti-NeuN antibody - Neuronal Marker (AB104225)
  • IHC-P

Lab

Immunohistochemistry (Formalin/PFA-fixed paraffin-embedded sections) - Anti-NeuN antibody - Neuronal Marker (AB104225)

IHC image of NeuN staining in mouse cerebellum formalin fixed paraffin embedded tissue section, performed on a Leica Bond™ system using the standard protocol B. The section was pre-treated using heat mediated antigen retrieval with sodium citrate buffer (pH6, epitope retrieval solution 1) for 20 mins. The section was then incubated with ab104225, 1in500 dilution, for 15 mins at room temperature. A goat anti-rabbit biotinylated secondary antibody was used to detect the primary, and visualized using an HRP conjugated ABC system. DAB was used as the chromogen. The section was then counterstained with haematoxylin and mounted with DPX.

For other IHC staining systems (automated and non-automated) customers should optimize variable parameters such as antigen retrieval conditions, primary antibody concentration and antibody incubation times.

Western blot - Anti-NeuN antibody - Neuronal Marker (AB104225)
  • WB

Supplier Data

Western blot - Anti-NeuN antibody - Neuronal Marker (AB104225)

All lanes:

Western blot - Anti-NeuN antibody - Neuronal Marker (ab104225) at 1/1000 dilution

Lane 2:

Mouse whole brain lysate

Lane 3:

Rat whole brain lysate

Predicted band size: 34 kDa

false

Key facts

Host species

Rabbit

Clonality

Polyclonal

Isotype

IgG

Carrier free

No

Reacts with

Mouse, Rat, Human

Applications

WB, IHC-FoFr, IHC-FrFl, IHC-P

applications

Immunogen

The exact immunogen used to generate this antibody is proprietary information.

Reactivity data

{ "title": "Reactivity Data", "filters": { "stats": ["", "Species", "Dilution Info", "Notes"], "tabs": { "all-applications": {"fullname" : "All Applications", "shortname": "All Applications"}, "WB" : {"fullname" : "Western blot", "shortname":"WB"}, "IHCFoFr" : {"fullname" : "Immunohistochemistry (PFA perfusion fixed frozen sections)", "shortname":"IHC-FoFr"}, "IHCP" : {"fullname" : "Immunohistochemistry (Formalin/PFA-fixed paraffin-embedded sections)", "shortname":"IHC-P"}, "IHCFrFl" : {"fullname" : "Immunohistochemistry - Free Floating", "shortname":"IHC-FrFl"} }, "product-promise": { "all": "all", "testedAndGuaranteed": "tested", "guaranteed": "expected", "predicted": "predicted", "notRecommended": "not-recommended" } }, "values": { "Human": { "WB-species-checked": "guaranteed", "WB-species-dilution-info": "", "WB-species-notes": "", "IHCFoFr-species-checked": "guaranteed", "IHCFoFr-species-dilution-info": "", "IHCFoFr-species-notes": "", "IHCP-species-checked": "testedAndGuaranteed", "IHCP-species-dilution-info": "1/500 - 1/1000", "IHCP-species-notes": "<p></p>", "IHCFrFl-species-checked": "guaranteed", "IHCFrFl-species-dilution-info": "", "IHCFrFl-species-notes": "" }, "Mouse": { "WB-species-checked": "testedAndGuaranteed", "WB-species-dilution-info": "1/5000 - 1/10000", "WB-species-notes": "<p></p>", "IHCFoFr-species-checked": "guaranteed", "IHCFoFr-species-dilution-info": "", "IHCFoFr-species-notes": "", "IHCP-species-checked": "testedAndGuaranteed", "IHCP-species-dilution-info": "1/500 - 1/1000", "IHCP-species-notes": "<p></p>", "IHCFrFl-species-checked": "testedAndGuaranteed", "IHCFrFl-species-dilution-info": "", "IHCFrFl-species-notes": "<p></p>" }, "Rat": { "WB-species-checked": "guaranteed", "WB-species-dilution-info": "", "WB-species-notes": "", "IHCFoFr-species-checked": "testedAndGuaranteed", "IHCFoFr-species-dilution-info": "", "IHCFoFr-species-notes": "<p></p>", "IHCP-species-checked": "testedAndGuaranteed", "IHCP-species-dilution-info": "1/500 - 1/1000", "IHCP-species-notes": "<p></p>", "IHCFrFl-species-checked": "guaranteed", "IHCFrFl-species-dilution-info": "", "IHCFrFl-species-notes": "" } } }

Product details

Anti-NeuN antibody - Neuronal Marker (ab104225) is a rabbit polyclonal antibody and is validated for use in IHC-FoFr, IHC-FrFl, IHC-P, WB in human samples.

Anti-NeuN antibody - Neuronal Marker (ab104225) has been cited over 252 times in peer reviewed journals and is trusted by the scientific community.

Abcam's high quality validation processes ensure Anti-NeuN antibody - Neuronal Marker (ab104225) has high sensitivity and specificity.

Anti-NeuN antibody - Neuronal Marker (ab104225) has 11 independent reviews from customers.

Anti-NeuN antibody - Neuronal Marker (ab104225) specifically detects NeuN (UniProt ID: A6NFN3; Molecular weight: 34kDa) and is sold in 50 µL selling sizes.

NeuN (RBFOX3), a protein predominantly found in neuronal nuclei and cytoplasm, serves as a key marker for identifying neurons in research. It plays a significant role in the regulation of alternative splicing of pre-mRNA, crucial for neural development and function. Abnormalities in RBFOX3 expression have been implicated in several neurodevelopmental disorders, such as autism spectrum disorder, cognitive impairments, and epilepsy, underscoring its critical role in brain health.

Properties and storage information

Form
Liquid
Purification technique
Affinity purification
Storage buffer
Preservative: 0.03% Sodium azide Constituents: PBS, 49.98% Glycerol (glycerin, glycerine)
Shipped at conditions
Blue Ice
Appropriate short-term storage duration
1-2 weeks
Appropriate short-term storage conditions
+4°C
Appropriate long-term storage conditions
-20°C
Aliquoting information
Upon delivery aliquot
Storage information
Avoid freeze / thaw cycle

Supplementary information

This supplementary information is collated from multiple sources and compiled automatically.

NeuN also known as Fox-3 or Rbfox3 serves as a vital neuronal marker and has a molecular weight of about 46-50 kDa. This nuclear protein is commonly found in neuronal cells in the central nervous system but it does not appear in glial cells. Researchers use NeuN staining as an effective tool to identify neurons in various brain regions due to its reliable expression pattern in mature neurons. The presence of NeuN can be detected using methods such as NeuN IHC (immunohistochemistry) and NeuN Western blot aiding in cellular and tissue analysis.
Biological function summary

NeuN plays an essential role in the regulation of RNA-binding influencing the splicing and stability of transcripts. It forms part of the complex network responsible for managing neuron-specific gene expression. By interacting with other RNA-binding proteins NeuN contributes to the fine-tuning needed for proper neuronal development and function. As a result NeuN helps maintain the health and activity of nerve cells allowing them to perform complex neurological tasks.

Pathways

NeuN has a significant role in neuronal differentiation and plasticity pathways. NeuN coordinates with elements of the Notch signaling pathway which is important for guiding cell fate decisions in the nervous system. It also interacts with related proteins like Fox proteins involved in splicing regulation. These pathways ensure neurons develop differentiate and function correctly within the nervous system's precise architecture.

Disruptions in NeuN expression link closely to neurodegenerative diseases such as Parkinson's disease and Amyotrophic lateral sclerosis (ALS). Abnormal NeuN expression correlates with neuron loss and dysfunction in these conditions with connectivity to other affected proteins like alpha-synuclein in Parkinson's disease. In ALS abnormal NeuN-staining patterns indicate neuronal cell death serving as a potential marker for disease progression. Studying these connections improves our understanding of disease mechanisms and aids in the development of targeted therapies.

Product protocols

For this product, it's our understanding that no specific protocols are required. You can visit:

Target data

Pre-mRNA alternative splicing regulator. Regulates alternative splicing of RBFOX2 to enhance the production of mRNA species that are targeted for nonsense-mediated decay (NMD).
See full target information RBFOX3

Publications (340)

Recent publications for all applications. Explore the full list and refine your search

Nature communications 16:8477 PubMed41006208

2025

Spatially-restricted inflammation-induced senescent-like glia in multiple sclerosis and patient-derived organoids.

Applications

Unspecified application

Species

Unspecified reactive species

Francesca Fagiani,Edoardo Pedrini,Maria Sofia Martire,Gaia Gastoldi,Colin Vanden Bulcke,Jing-Ping Lin,Dragan Maric,Elena Brambilla,Francesca Ruffini,Carolina Peri,Peter A Calabresi,Pietro Maggi,Paola Panina-Bordignon,Gianvito Martino,Daniel S Reich,Martina Absinta

Pflugers Archiv : European journal of physiology 477:1343-1357 PubMed40973849

2025

Mitochondrial ATP synthase 8 single-nucleotide polymorphism affects oxidative stress and survival of mice.

Applications

Unspecified application

Species

Unspecified reactive species

Gesine Reichart,Johannes Mayer,Tursonjan Tokay,Timo Kirschstein,Falko Lange,Rüdiger Köhling

Nature 646:1232-1242 PubMed40931074

2025

Neuronal activity-dependent mechanisms of small cell lung cancer pathogenesis.

Applications

Unspecified application

Species

Unspecified reactive species

Solomiia Savchuk,Kaylee M Gentry,Wengang Wang,Elana Carleton,Carlos A O Biagi-Junior,Karan Luthria,Belgin Yalçın,Lijun Ni,Hannah C Farnsworth,Rachel A Davis,Richard Drexler,Johannes C Melms,Yin Liu,Lehi Acosta-Alvarez,Griffin G Hartmann,Elisa C Pavarino,Jenna LaBelle,Pamelyn J Woo,Angus M Toland,Fangfei Qu,Yoon Seok Kim,Mariella G Filbin,Mark A Krasnow,Keith L Ligon,Benjamin Izar,Julien Sage,Bernardo L Sabatini,Michelle Monje,Humsa S Venkatesh

Nature communications 16:7994 PubMed40866328

2025

Microglial replacement in a Sandhoff disease mouse model reveals myeloid-derived β-hexosaminidase is necessary for neuronal health.

Applications

Unspecified application

Species

Unspecified reactive species

Kate I Tsourmas,Claire A Butler,Nellie E Kwang,Zachary R Sloane,Koby J G Dykman,Ghassan O Maloof,Biswa P Choudhury,Mousumi Paulchakrabarti,Christiana A Prekopa,Emily Z Tabaie,Robert P Krattli,Sanad M El-Khatib,Vivek Swarup,Munjal M Acharya,Lindsay A Hohsfield,Kim N Green

Scientific reports 15:28863 PubMed40775005

2025

3D-printed optogenetic neural probe integrated with microfluidic tube for opsin/drug delivery.

Applications

Unspecified application

Species

Unspecified reactive species

Revathi Sukesan,Mohsin Mohammed,Keonghwan Oh,Malvika Sharma,Dipesh Chaudhury,Sohmyung Ha

Cell reports 44:115717 PubMed40381194

2025

Optogenetic activation of cortical microglia promotes neuronal activity and pain hypersensitivity.

Applications

Unspecified application

Species

Unspecified reactive species

Min-Hee Yi,Yi Liu,Yong U Liu,Jinkyung Lee,Priyanka Hanumaihgari,Sebastian Parusel,Dale B Bosco,Lingxiao Wang,Jiaying Zheng,Wu Shi,Lattawat Eauchai,Supin Chompoopong,Christine L Hunt,Long-Jun Wu

Journal of neurochemistry 169:e70082 PubMed40377064

2025

Chronic Vanadium Exposure Promotes Aggregation of Alpha-Synuclein, Tau and Amyloid Beta in Mouse Brain.

Applications

Unspecified application

Species

Unspecified reactive species

O R Folarin,F E Olopade,T T Gilbert,A D Ladagu,P I Pires Dos Santos,O A Mustapha,L Z Kpasham,J O Olopade,T F Outeiro

Nature 643:1333-1342 PubMed40369067

2025

Dopaminergic action prediction errors serve as a value-free teaching signal.

Applications

Unspecified application

Species

Unspecified reactive species

Francesca Greenstreet,Hernando Martinez Vergara,Yvonne Johansson,Sthitapranjya Pati,Laura Schwarz,Stephen C Lenzi,Jesse P Geerts,Matthew Wisdom,Alina Gubanova,Lars B Rollik,Jasvin Kaur,Theodore Moskovitz,Joseph Cohen,Emmett Thompson,Troy W Margrie,Claudia Clopath,Marcus Stephenson-Jones

Journal of neuroinflammation 22:128 PubMed40307881

2025

Diffuse traumatic brain injury induced stimulator of interferons (STING) signaling in microglia drives cortical neuroinflammation, neuronal dysfunction, and impaired cognition.

Applications

Unspecified application

Species

Unspecified reactive species

Jonathan M Packer,Samantha G Giammo,Lynde M Wangler,Amara C Davis,Chelsea E Bray,Jonathan P Godbout

Medical gas research 15:471-477 PubMed40300882

2025

Hyperbaric oxygen therapy alleviates intestinal and brain damage in experimental necrotizing enterocolitis.

Applications

Unspecified application

Species

Unspecified reactive species

Ana Laura Marsico,Stephanya C da Silva-Tomaeli,Pamella S B Marques,Omar Feres,Luiza S Lopes,Lourenco Sbragia
View all publications

Product promise

We are committed to supporting your work with high-quality reagents, and we're here for you every step of the way. In the unlikely event that one of our products does not perform as expected, you're protected by our Product Promise.
For full details, please see our Terms & Conditions

Please note: All products are 'FOR RESEARCH USE ONLY. NOT FOR USE IN DIAGNOSTIC OR THERAPEUTIC PROCEDURES'.

For licensing inquiries, please contact partnerships@abcam.com