JavaScript is disabled in your browser. Please enable JavaScript to view this website.
AB233119

Anti-Neuraminidase antibody

1

(1 Review)

|

(5 Publications)

Rabbit Polyclonal Neuraminidase antibody. Suitable for WB, IHC-P and reacts with Mouse, Human samples. Cited in 5 publications. Immunogen corresponding to Recombinant Full Length Protein corresponding to Human NEU1.

View Alternative Names

NANH, NEU1, Sialidase-1, Acetylneuraminyl hydrolase, G9 sialidase, Lysosomal sialidase, N-acetyl-alpha-neuraminidase 1

7 Images
Immunohistochemistry (Formalin/PFA-fixed paraffin-embedded sections) - Anti-Neuraminidase antibody (AB233119)
  • IHC-P

Supplier Data

Immunohistochemistry (Formalin/PFA-fixed paraffin-embedded sections) - Anti-Neuraminidase antibody (AB233119)

Formalin-fixed, paraffin-embedded human stomach tissue stained for Neuraminidase using ab233119 at 20μg/mL in immunohistochemical analysis. DAB staining.

Western blot - Anti-Neuraminidase antibody (AB233119)
  • WB

Supplier Data

Western blot - Anti-Neuraminidase antibody (AB233119)

All lanes:

Western blot - Anti-Neuraminidase antibody (ab233119) at 2 µg/mL

All lanes:

Recombinant human Neuraminidase protein.

Predicted band size: 45 kDa

false

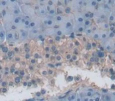
Immunohistochemistry (Formalin/PFA-fixed paraffin-embedded sections) - Anti-Neuraminidase antibody (AB233119)
  • IHC-P

Supplier Data

Immunohistochemistry (Formalin/PFA-fixed paraffin-embedded sections) - Anti-Neuraminidase antibody (AB233119)

Formalin-fixed, paraffin-embedded human liver tissue stained for Neuraminidase using ab233119 at 20μg/mL in immunohistochemical analysis. DAB staining.

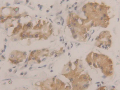
Immunohistochemistry (Formalin/PFA-fixed paraffin-embedded sections) - Anti-Neuraminidase antibody (AB233119)
  • IHC-P

Supplier Data

Immunohistochemistry (Formalin/PFA-fixed paraffin-embedded sections) - Anti-Neuraminidase antibody (AB233119)

Formalin-fixed, paraffin-embedded human pancreas tissue stained for Neuraminidase using ab233119 at 20μg/mL in immunohistochemical analysis. DAB staining.

Western blot - Anti-Neuraminidase antibody (AB233119)
  • WB

Supplier Data

Western blot - Anti-Neuraminidase antibody (AB233119)

All lanes:

Western blot - Anti-Neuraminidase antibody (ab233119) at 2 µg/mL

All lanes:

Mouse pancreas tissue lysate.

Predicted band size: 45 kDa

false

Western blot - Anti-Neuraminidase antibody (AB233119)
  • WB

Supplier Data

Western blot - Anti-Neuraminidase antibody (AB233119)

All lanes:

Western blot - Anti-Neuraminidase antibody (ab233119) at 2 µg/mL

All lanes:

Human liver tissue lysate

Predicted band size: 45 kDa

false

Western blot - Anti-Neuraminidase antibody (AB233119)
  • WB

Supplier Data

Western blot - Anti-Neuraminidase antibody (AB233119)

All lanes:

Western blot - Anti-Neuraminidase antibody (ab233119) at 2 µg/mL

All lanes:

HepG2 (human liver hepatocellular carcinoma cell line) cell lysate

Predicted band size: 45 kDa

false

Key facts

Host species

Rabbit

Clonality

Polyclonal

Isotype

IgG

Carrier free

No

Reacts with

Mouse, Human

Applications

WB, IHC-P

applications

Immunogen

Recombinant Full Length Protein corresponding to Human NEU1.

Q99519

Reactivity data

{ "title": "Reactivity Data", "filters": { "stats": ["", "Species", "Dilution Info", "Notes"], "tabs": { "all-applications": {"fullname" : "All Applications", "shortname": "All Applications"}, "WB" : {"fullname" : "Western blot", "shortname":"WB"}, "IHCP" : {"fullname" : "Immunohistochemistry (Formalin/PFA-fixed paraffin-embedded sections)", "shortname":"IHC-P"} }, "product-promise": { "all": "all", "testedAndGuaranteed": "tested", "guaranteed": "expected", "predicted": "predicted", "notRecommended": "not-recommended" } }, "values": { "Human": { "WB-species-checked": "testedAndGuaranteed", "WB-species-dilution-info": "0.5-2 µg/mL", "WB-species-notes": "<p></p>", "IHCP-species-checked": "testedAndGuaranteed", "IHCP-species-dilution-info": "5-20 µg/mL", "IHCP-species-notes": "<p></p>" }, "Mouse": { "WB-species-checked": "testedAndGuaranteed", "WB-species-dilution-info": "0.5-2 µg/mL", "WB-species-notes": "<p></p>", "IHCP-species-checked": "guaranteed", "IHCP-species-dilution-info": "", "IHCP-species-notes": "" }, "Cow": { "WB-species-checked": "predicted", "WB-species-dilution-info": "", "WB-species-notes": "", "IHCP-species-checked": "predicted", "IHCP-species-dilution-info": "", "IHCP-species-notes": "" }, "Orangutan": { "WB-species-checked": "predicted", "WB-species-dilution-info": "", "WB-species-notes": "", "IHCP-species-checked": "predicted", "IHCP-species-dilution-info": "", "IHCP-species-notes": "" }, "Pig": { "WB-species-checked": "predicted", "WB-species-dilution-info": "", "WB-species-notes": "", "IHCP-species-checked": "predicted", "IHCP-species-dilution-info": "", "IHCP-species-notes": "" } } }

Properties and storage information

Form
Liquid
Purification technique
Affinity purification Immunogen
Purification notes
Antigen-specific affinity chromatography followed by Protein A affinity chromatography.
Storage buffer
pH: 7.4 Preservative: 0.011% Proclin 300 Constituents: PBS, 55.77% Glycerol (glycerin, glycerine)
Shipped at conditions
Blue Ice
Appropriate short-term storage duration
1-2 weeks
Appropriate short-term storage conditions
+4°C
Appropriate long-term storage conditions
-20°C
Aliquoting information
Upon delivery aliquot
Storage information
Avoid freeze / thaw cycle

Supplementary information

This supplementary information is collated from multiple sources and compiled automatically.

Neuraminidase sometimes called sialidase functions as an enzyme that cleaves sialic acid residues from glycoproteins and glycolipids. This process is essential for the maturation and release of progeny viruses from infected cells. Enzymatically active neuraminidase proteins weigh about 60 kilodaltons and localize on the surface of influenza viruses. Researchers identify its expression on the viral envelope playing a pivotal role in the viral life cycle. Neuraminidase activity is an important target for drug development against influenza.
Biological function summary

Neuraminidase significantly impacts viral virulence and host cell infection. It is part of the functional machinery required for viral particle detachment from the host cell membrane facilitating the spread of infection. Neuraminidase works alongside other viral proteins including hemagglutinin which attaches the virus to the host cell. The neuraminidase function of trimming sialic acids is critical in the ongoing interaction between virus and host.

Pathways

The influenza lifecycle heavily involves neuraminidase-mediated sialic acid cleavage. This enzyme contributes to pathways by enabling the efficient release of new viral particles enhancing the infectivity of the virus. Neuraminidase operates in concert with hemagglutinin which initially binds the virus to host cells by attaching to the sialic acid residues. This interplay is vital in viral replication pathways which propagate the infection cycle.

Influenza directly relates to neuraminidase as it is a primary means by which the virus spreads within the host. Neuraminidase inhibitors are a class of antiviral drugs that target this protein important for treating and managing influenza infections. Besides influenza research links neuraminidase activity to bacterial infections with some bacterial neuraminidases implicated in the pathogenesis of diseases like pneumonia. The relationship to hemagglutinin in viral influenza highlights the significance of neuraminidase as a target in therapeutic interventions.

Product protocols

For this product, it's our understanding that no specific protocols are required. You can visit:

Target data

Catalyzes the removal of sialic acid (N-acetylneuraminic acid) moieties from glycoproteins and glycolipids. To be active, it is strictly dependent on its presence in the multienzyme complex. Appears to have a preference for alpha 2-3 and alpha 2-6 sialyl linkage.
See full target information NEU1

Publications (5)

Recent publications for all applications. Explore the full list and refine your search

Frontiers in cardiovascular medicine 9:821317 PubMed35548408

2022

NEU1 Regulates Mitochondrial Energy Metabolism and Oxidative Stress Post-myocardial Infarction in Mice the SIRT1/PGC-1 Alpha Axis.

Applications

Unspecified application

Species

Unspecified reactive species

Zhen Guo,Di Fan,Fang-Yuan Liu,Shu-Qing Ma,Peng An,Dan Yang,Min-Yu Wang,Zheng Yang,Qi-Zhu Tang

The Journal of biological chemistry 297:101337 PubMed34688655

2021

The sialidase NEU1 directly interacts with the juxtamembranous segment of the cytoplasmic domain of mucin-1 to inhibit downstream PI3K-Akt signaling.

Applications

Unspecified application

Species

Unspecified reactive species

Sang W Hyun,Akihiro Imamura,Hideharu Ishida,Kurt H Piepenbrink,Simeon E Goldblum,Erik P Lillehoj

Zhonghua xue ye xue za zhi = Zhonghua xueyexue zazhi 42:598-602 PubMed34455749

2021

[The expression and prognostic value of PD-1, TIM-3, LAG-3 and BTLA in extranodal NK/T cell lymphoma].

Applications

Unspecified application

Species

Unspecified reactive species

L Nie,X Y Liu,R J Ma,X L Yuan,L Jiang,J Yang,A X Hu,Z Li,Z M Zhu

BMC endocrine disorders 21:57 PubMed33781239

2021

Acacetin ameliorates insulin resistance in obesity mice through regulating Treg/Th17 balance via MiR-23b-3p/NEU1 Axis.

Applications

Unspecified application

Species

Unspecified reactive species

Yan Wei,Jianhong Jing,Zhiping Peng,Xiaoqian Liu,Xueyang Wang

Journal of the American Heart Association :e018756 PubMed33554615

2021

Neuraminidases 1 and 3 Trigger Atherosclerosis by Desialylating Low-Density Lipoproteins and Increasing Their Uptake by Macrophages.

Applications

Unspecified application

Species

Unspecified reactive species

Ekaterina P Demina,Victoria Smutova,Xuefang Pan,Anne Fougerat,Tianlin Guo,Chunxia Zou,Radhika Chakraberty,Brendan D Snarr,Tze C Shiao,Rene Roy,Alexander N Orekhov,Taeko Miyagi,Muriel Laffargue,Donald C Sheppard,Christopher W Cairo,Alexey V Pshezhetsky
View all publications

Product promise

We are committed to supporting your work with high-quality reagents, and we're here for you every step of the way. In the unlikely event that one of our products does not perform as expected, you're protected by our Product Promise.
For full details, please see our Terms & Conditions

Please note: All products are 'FOR RESEARCH USE ONLY. NOT FOR USE IN DIAGNOSTIC OR THERAPEUTIC PROCEDURES'.

For licensing inquiries, please contact partnerships@abcam.com