JavaScript is disabled in your browser. Please enable JavaScript to view this website.
AB277525

Anti-Neurocan antibody [EPR23425-68]

Be the first to review this product! Submit a review

|

(4 Publications)

Rabbit Recombinant Monoclonal Neurocan antibody. Suitable for ICC/IF, WB, IHC-P and reacts with Mouse, Human, Rat samples. Cited in 4 publications.

View Alternative Names

CSPG3, NEUR, NCAN, Neurocan core protein, Chondroitin sulfate proteoglycan 3

7 Images
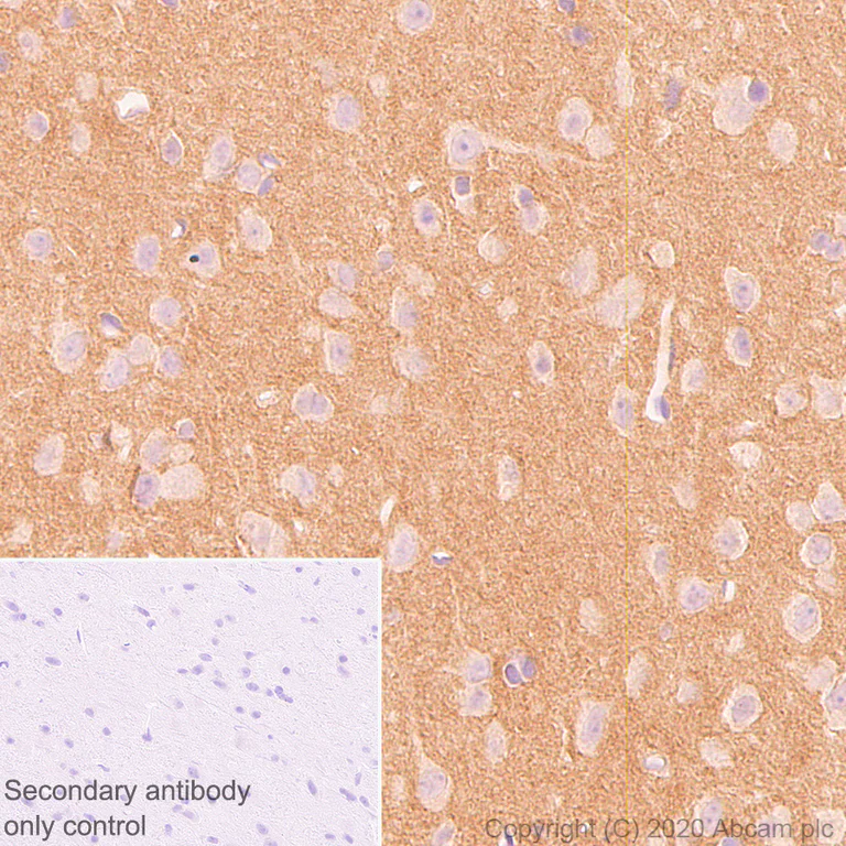
Immunohistochemistry (Formalin/PFA-fixed paraffin-embedded sections) - Anti-Neurocan antibody [EPR23425-68] (AB277525)
  • IHC-P

Supplier Data

Immunohistochemistry (Formalin/PFA-fixed paraffin-embedded sections) - Anti-Neurocan antibody [EPR23425-68] (AB277525)

Immunohistochemical analysis of paraffin-embedded Human cerebrum tissue labeling Neurocan with ab277525 at 1/4000 (0.133 ug/ml) dilution followed by a ready to use Rabbit specific IHC polymer detection kit HRP/DAB (ab209101). Positive staining on human cerebrum (PMID : 9795216). The section was incubated with ab277525 for 30 mins at room temperature. The immunostaining was performed on a Leica Biosystems BOND® RX instrument. Counterstained with Hematoxylin.

Secondary antibody only control : Secondary antibody is a ready to use Rabbit specific IHC polymer detection kit HRP/DAB (ab209101).

Heat mediated antigen retrieval with Tris-EDTA buffer (pH 9.0, epitope retrieval solution2) for 20 mins.

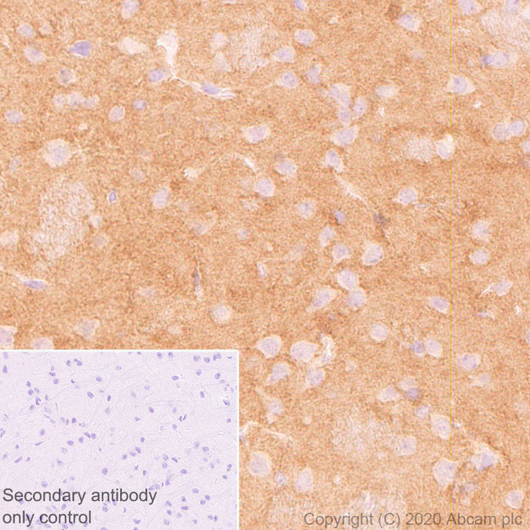
Immunohistochemistry (Formalin/PFA-fixed paraffin-embedded sections) - Anti-Neurocan antibody [EPR23425-68] (AB277525)
  • IHC-P

Supplier Data

Immunohistochemistry (Formalin/PFA-fixed paraffin-embedded sections) - Anti-Neurocan antibody [EPR23425-68] (AB277525)

Immunohistochemical analysis of paraffin-embedded Mouse cerebrum tissue labeling Neurocan with ab277525 at 1/4000 (0.133 ug/ml) dilution followed by a ready to use Rabbit specific IHC polymer detection kit HRP/DAB (ab209101). Positive staining on mouse cerebrum (PMID : 30356641) . The section was incubated with ab277525 for 30 mins at room temperature. The immunostaining was performed on a Leica Biosystems BOND® RX instrument. Counterstained with Hematoxylin.

Secondary antibody only control : Secondary antibody is a ready to use Rabbit specific IHC polymer detection kit HRP/DAB (ab209101).

Heat mediated antigen retrieval with Tris-EDTA buffer (pH 9.0, epitope retrieval solution2) for 20 mins.

Immunohistochemistry (Formalin/PFA-fixed paraffin-embedded sections) - Anti-Neurocan antibody [EPR23425-68] (AB277525)
  • IHC-P

Supplier Data

Immunohistochemistry (Formalin/PFA-fixed paraffin-embedded sections) - Anti-Neurocan antibody [EPR23425-68] (AB277525)

Immunohistochemical analysis of paraffin-embedded Rat cerebrum tissue labeling Neurocan with ab277525 at 1/4000 (0.133 ug/ml) dilution followed by a ready to use Rabbit specific IHC polymer detection kit HRP/DAB (ab209101). Positive staining on rat cerebrum. The section was incubated with ab277525 for 30 mins at room temperature. The immunostaining was performed on a Leica Biosystems BOND® RX instrument. Counterstained with Hematoxylin.

Secondary antibody only control : Secondary antibody is a ready to use Rabbit specific IHC polymer detection kit HRP/DAB (ab209101).

Heat mediated antigen retrieval with Tris-EDTA buffer (pH 9.0, epitope retrieval solution2) for 20 mins.

Immunocytochemistry/ Immunofluorescence - Anti-Neurocan antibody [EPR23425-68] (AB277525)
  • ICC/IF

Supplier Data

Immunocytochemistry/ Immunofluorescence - Anti-Neurocan antibody [EPR23425-68] (AB277525)

Immunofluorescent analysis of 4% Paraformaldehyde-fixed, 0.1% TritonX-100 permeabilized mouse primary neuron cells labelling Neurocan with ab277525 at 1/50 (10.6 ug/ml) dilution, followed by ab150077 Goat Anti-Rabbit IgG H&L (Alexa Fluor® 488) antibody at 1/1000 dilution (Green). Confocal image showing cytoplasmic staining in mouse primary neuron. Confocal scanning Z step was set as 0.3 μm followed by image processing with maximum Z projection is observed. ab11267 Anti-MAP2 mouse monoclonal antibody was used to counterstain MAP2 at 1/200 dilution (Red). The Nuclear counterstain was DAPI (Blue).

-ve control 1 : ab277525 at 1/50 dilution, followed by ab150120 at 1/1000 dilution.

-ve control 2 : ab11267 at 1/200 dilution, followed by ab150077 at 1/1000 dilution.

Western blot - Anti-Neurocan antibody [EPR23425-68] (AB277525)
  • WB

Lab

Western blot - Anti-Neurocan antibody [EPR23425-68] (AB277525)

Blocking and diluting buffer and concentration : 5% NFDM/TBST.

Neurocan is a glycoprotein. The observed MW is consistent with what has been described in the literature (PMID : 29670169).

Negative control : mouse skeletal muscle (PMID : 1326557)

Samples are non-boiled as boiling may cause protein aggregates.

Exposure time : 26 seconds.

All lanes:

Western blot - Anti-Neurocan antibody [EPR23425-68] (ab277525) at 1/1000 dilution

Lane 1:

Mouse brain tissue lysate at 40 µg

Lane 2:

Mouse hippocampus tissue lysate at 40 µg

Lane 3:

Mouse skeletal muscle tissue lysate at 40 µg

Secondary

All lanes:

Goat Anti-Rabbit IgG, (H+L), Peroxidase conjugated (<a href='/en-us/products/secondary-antibodies/goat-rabbit-igg-h-l-hrp-ab97051'>ab97051</a>) at 1/50000 dilution

Predicted band size: 143 kDa

Observed band size: 130-300 kDa

false

Western blot - Anti-Neurocan antibody [EPR23425-68] (AB277525)
  • WB

Lab

Western blot - Anti-Neurocan antibody [EPR23425-68] (AB277525)

Blocking and diluting buffer and concentration : 5% NFDM/TBST.

Neurocan is a glycoprotein. The observed MW is consistent with what has been described in the literature (PMID : 29670169).

Negative control : rat skeletal muscle (PMID : 1326557).

Samples are non-boiled as boiling may cause protein aggregates.

This blot was developed using a higher sensitivity ECL substrate.

Exposure time : 103 seconds.

All lanes:

Western blot - Anti-Neurocan antibody [EPR23425-68] (ab277525) at 1/1000 dilution

Lane 1:

Rat brain tissue lysate at 20 µg

Lane 2:

Rat hippocampus tissue lysate at 20 µg

Lane 3:

Rat skeletal muscle tissue lysate at 20 µg

Secondary

All lanes:

Goat Anti-Rabbit IgG, (H+L), Peroxidase conjugated (<a href='/en-us/products/secondary-antibodies/goat-rabbit-igg-h-l-hrp-ab97051'>ab97051</a>) at 1/100000 dilution

Predicted band size: 143 kDa

Observed band size: 130-300 kDa

false

Western blot - Anti-Neurocan antibody [EPR23425-68] (AB277525)
  • WB

Lab

Western blot - Anti-Neurocan antibody [EPR23425-68] (AB277525)

Blocking and diluting buffer and concentration : 5% NFDM/TBST.

Neurocan proteolytic cleavage results in two fragments : neurocan-130 (130 kDa) and neurocan-C (150k Da ). Neurocan is a glycoprotein and seen as broad indistinct smears, which on chondroitinase treatment resolve into band of 150 (neurocan-C). The molecular weight observed is consistent with what has been described in the literature (PMID : 10729323).

Exposure time : 48 seconds.

All lanes:

Western blot - Anti-Neurocan antibody [EPR23425-68] (ab277525) at 1/1000 dilution

Lane 1:

Mouse brain tissue lysate at 15 µg

Lane 2:

Mouse brain tissue lysate treated with 0.05U chondroitinase ABC for 3h at 37℃ at 15 µg

Lane 3:

Rat brain tissue lysate at 15 µg

Lane 4:

Rat brain tissue lysate treated with 0.05U chondroitinase ABC for 3h at 37℃ at 15 µg

Secondary

All lanes:

Goat Anti-Rabbit IgG, (H+L), Peroxidase conjugated (<a href='/en-us/products/secondary-antibodies/goat-rabbit-igg-h-l-hrp-ab97051'>ab97051</a>) at 1/50000 dilution

Predicted band size: 143 kDa

Observed band size: 150-300 kDa

false

  • Carrier free

    Anti-Neurocan antibody [EPR23425-68] - BSA and Azide free

Key facts

Host species

Rabbit

Clonality

Monoclonal

Clone number

EPR23425-68

Isotype

IgG

Carrier free

No

Reacts with

Mouse, Rat, Human

Applications

ICC/IF, WB, IHC-P

applications

Immunogen

The exact immunogen used to generate this antibody is proprietary information.

Reactivity data

{ "title": "Reactivity Data", "filters": { "stats": ["", "Species", "Dilution Info", "Notes"], "tabs": { "all-applications": {"fullname" : "All Applications", "shortname": "All Applications"}, "ICCIF" : {"fullname" : "Immunocytochemistry/ Immunofluorescence", "shortname":"ICC/IF"}, "IP" : {"fullname" : "Immunoprecipitation", "shortname":"IP"}, "WB" : {"fullname" : "Western blot", "shortname":"WB"}, "IHCFr" : {"fullname" : "Immunohistochemistry (Frozen sections)", "shortname":"IHC-Fr"}, "IHCP" : {"fullname" : "Immunohistochemistry (Formalin/PFA-fixed paraffin-embedded sections)", "shortname":"IHC-P"} }, "product-promise": { "all": "all", "testedAndGuaranteed": "tested", "guaranteed": "expected", "predicted": "predicted", "notRecommended": "not-recommended" } }, "values": { "Human": { "ICCIF-species-checked": "guaranteed", "ICCIF-species-dilution-info": "", "ICCIF-species-notes": "", "IP-species-checked": "notRecommended", "IP-species-dilution-info": "", "IP-species-notes": "<p></p>", "WB-species-checked": "testedAndGuaranteed", "WB-species-dilution-info": "1/1000", "WB-species-notes": "<p></p>", "IHCFr-species-checked": "notRecommended", "IHCFr-species-dilution-info": "", "IHCFr-species-notes": "<p></p>", "IHCP-species-checked": "testedAndGuaranteed", "IHCP-species-dilution-info": "1/4000", "IHCP-species-notes": "<p></p>" }, "Mouse": { "ICCIF-species-checked": "testedAndGuaranteed", "ICCIF-species-dilution-info": "1/50", "ICCIF-species-notes": "<p></p>", "IP-species-checked": "notRecommended", "IP-species-dilution-info": "", "IP-species-notes": "<p></p>", "WB-species-checked": "testedAndGuaranteed", "WB-species-dilution-info": "1/1000", "WB-species-notes": "<p></p>", "IHCFr-species-checked": "notRecommended", "IHCFr-species-dilution-info": "", "IHCFr-species-notes": "<p></p>", "IHCP-species-checked": "testedAndGuaranteed", "IHCP-species-dilution-info": "1/4000", "IHCP-species-notes": "<p></p>" }, "Rat": { "ICCIF-species-checked": "notRecommended", "ICCIF-species-dilution-info": "1/40", "ICCIF-species-notes": "<p></p>", "IP-species-checked": "notRecommended", "IP-species-dilution-info": "", "IP-species-notes": "<p></p>", "WB-species-checked": "testedAndGuaranteed", "WB-species-dilution-info": "1/1000", "WB-species-notes": "<p></p>", "IHCFr-species-checked": "notRecommended", "IHCFr-species-dilution-info": "", "IHCFr-species-notes": "<p></p>", "IHCP-species-checked": "testedAndGuaranteed", "IHCP-species-dilution-info": "1/4000", "IHCP-species-notes": "<p></p>" } } }

Product details

Patented technology
Our RabMAb® technology is a patented hybridoma-based technology for making rabbit monoclonal antibodies. For details on our patents, please refer to RabMAb® patents.

What are the advantages of a recombinant monoclonal antibody?
This product is a recombinant monoclonal antibody, which offers several advantages including:

  • - High batch-to-batch consistency and reproducibility
  • - Improved sensitivity and specificity
  • - Long-term security of supply
  • - Animal-free batch production

For more information, read more on recombinant antibodies.

Properties and storage information

Form
Liquid
Purification technique
Affinity purification Protein A
Storage buffer
Preservative: 0.01% Sodium azide Constituents: PBS, 40% Glycerol (glycerin, glycerine), 0.05% BSA
Shipped at conditions
Blue Ice
Appropriate short-term storage duration
1-2 weeks
Appropriate short-term storage conditions
+4°C
Appropriate long-term storage conditions
-20°C
Aliquoting information
Upon delivery aliquot
Storage information
Avoid freeze / thaw cycle

Supplementary information

This supplementary information is collated from multiple sources and compiled automatically.

Neurocan also known as CSPG3 is a chondroitin sulfate proteoglycan with a core protein mass around 245 kDa. It is expressed mostly in the central nervous system. Neurocan plays a mechanical role in modulation of cell adhesion and migration interacting with other extracellular matrix components like tenascin-C and hyaluronic acid. This interaction helps regulate how neurons and glial cells move and connect during development and after injury.
Biological function summary

Neurocan functions significantly in the neural extracellular matrix influencing neural plasticity and maintaining brain homeostasis. It is often found as part of a proteoglycan complex interacting with other matrix molecules. Its molecular structure allows it to bind and influence growth factors impacting neurogenesis and synaptic maintenance. The presence of neurocan is especially significant during periods of neural development and remodeling serving as a regulatory element in these processes.

Pathways

Neurocan plays a part in the regulation of nervous system development and neural repair mechanisms. The protein actively participates in the MAPK signaling pathway affecting cellular responses like proliferation and differentiation. Neurocan relates to proteins like fibronectin and integrins within these pathways contributing to structure and signaling that affect cellular environments and neuron network formations.

Neurocan holds associations with conditions like schizophrenia and neurotrauma. Altered expression or mutations within the neurocan gene can contribute to the disrupted neural connectivity seen in schizophrenia. Furthermore neurocan interacts with proteins such as aggrecan and versican in response to neural injuries forming glial scars that can inhibit proper neural repair and recovery processes. Understanding the role of neurocan in these diseases is essential in developing therapeutic strategies targeting neural plasticity and repair mechanisms.

Product protocols

For this product, it's our understanding that no specific protocols are required. You can visit:

Target data

May modulate neuronal adhesion and neurite growth during development by binding to neural cell adhesion molecules (NG-CAM and N-CAM). Chondroitin sulfate proteoglycan; binds to hyaluronic acid.
See full target information NCAN

Publications (4)

Recent publications for all applications. Explore the full list and refine your search

Neurochemical research 50:169 PubMed40407938

2025

Neuroplasticity After Hypoxic-Ischemic Brain Injury in Neonatal Pigs Based on Time-Dependent Behavior of H-MRS-Tau Protein and Synaptic Associated Proteins and Synaptic Structure Analysis.

Applications

Unspecified application

Species

Unspecified reactive species

Sijia Zhao,Yang Zheng

ACS omega 10:17584-17594 PubMed40352542

2025

Remote Ischemic Postconditioning Protects the Neurovascular Units in MCAO/R Rats through HIF-1α-Mediated Pathway.

Applications

Unspecified application

Species

Unspecified reactive species

Haocheng Qin,Lu Sun,Lu Su,Bao Zhou,Zhong He,Pengkun Yang,Zhengran Ding,Yu-Lian Zhu,Dan Liang

Physiological research 73:1085-1097 PubMed39903897

2025

High-Intensity Interval Training Increases Osteoarthritis-Associated Pain-Sensitive Threshold Through Reduction of Perineuronal Nets of the Medial Prefrontal Cortex in Rats.

Applications

Unspecified application

Species

Unspecified reactive species

X Zhang,F E Kong,C-S Lin,Z-Q Ye,A-L Chen,K Cheng,X-P Li

Journal of neuroinflammation 22:2 PubMed39755654

2025

Therapeutic reduction of neurocan in murine intracerebral hemorrhage lesions promotes oligodendrogenesis and functional recovery.

Applications

Unspecified application

Species

Unspecified reactive species

Hongmin Li,Samira Ghorbani,Olayinka Oladosu,Ping Zhang,Frank Visser,Jeff Dunn,Yunyan Zhang,Chang-Chun Ling,V Wee Yong,Mengzhou Xue
View all publications

Product promise

We are committed to supporting your work with high-quality reagents, and we're here for you every step of the way. In the unlikely event that one of our products does not perform as expected, you're protected by our Product Promise.
For full details, please see our Terms & Conditions

Please note: All products are 'FOR RESEARCH USE ONLY. NOT FOR USE IN DIAGNOSTIC OR THERAPEUTIC PROCEDURES'.

For licensing inquiries, please contact partnerships@abcam.com