JavaScript is disabled in your browser. Please enable JavaScript to view this website.
AB279651

Anti-Neurocan antibody [EPR24126-39] - BSA and Azide free

Be the first to review this product! Submit a review

|

(0 Publication)

Rabbit Recombinant Monoclonal Neurocan antibody. Carrier free. Suitable for IHC-Fr, IHC-P and reacts with Mouse, Rat, Human samples.

View Alternative Names

CSPG3, NEUR, NCAN, Neurocan core protein, Chondroitin sulfate proteoglycan 3

10 Images
Immunohistochemistry (Formalin/PFA-fixed paraffin-embedded sections) - Anti-Neurocan antibody [EPR24126-39] - BSA and Azide free (AB279651)
  • IHC-P

Supplier Data

Immunohistochemistry (Formalin/PFA-fixed paraffin-embedded sections) - Anti-Neurocan antibody [EPR24126-39] - BSA and Azide free (AB279651)

This data was developed using ab279648, the same antibody clone in a different buffer formulation.

Immunohistochemical analysis of paraffin-embedded human cerebrum tissue labeling Neurocan with ab279648 at 1/2000 dilution followed by ready to use LeicaDS9800 (Bond™ Polymer Refine Detection). Postive staining on human cerebrum (PMID : 9795216). The section was incubated with ab279648 for 30 mins at room temperature. The immunostaining was performed on a Leica Biosystems BOND® RX instrument. Counterstained with Hematoxylin.

Secondary antibody only control : Secondary antibody is ready to use LeicaDS9800 (Bond™ Polymer Refine Detection).

Heat mediated antigen retrieval with Tris-EDTA buffer (pH 9.0, epitope retrieval solution2) for 20 mins.

Immunohistochemistry (Formalin/PFA-fixed paraffin-embedded sections) - Anti-Neurocan antibody [EPR24126-39] - BSA and Azide free (AB279651)
  • IHC-P

Supplier Data

Immunohistochemistry (Formalin/PFA-fixed paraffin-embedded sections) - Anti-Neurocan antibody [EPR24126-39] - BSA and Azide free (AB279651)

This data was developed using ab279648, the same antibody clone in a different buffer formulation.

Immunohistochemical analysis of paraffin-embedded human skeletal muscle tissue labeling Neurocan with ab279648 at 1/2000 dilution followed by ready to use LeicaDS9800 (Bond™ Polymer Refine Detection). The section was incubated with ab279648 for 30 mins at room temperature. The immunostaining was performed on a Leica Biosystems BOND® RX instrument. Counterstained with Hematoxylin.

Negative control : no staining on human skeletal muscle (PMID : 9795216).

Heat mediated antigen retrieval with Tris-EDTA buffer (pH 9.0, epitope retrieval solution2) for 20 mins.

Immunohistochemistry (Formalin/PFA-fixed paraffin-embedded sections) - Anti-Neurocan antibody [EPR24126-39] - BSA and Azide free (AB279651)
  • IHC-P

Supplier Data

Immunohistochemistry (Formalin/PFA-fixed paraffin-embedded sections) - Anti-Neurocan antibody [EPR24126-39] - BSA and Azide free (AB279651)

This data was developed using ab279648, the same antibody clone in a different buffer formulation.

Immunohistochemical analysis of paraffin-embedded mouse skeletal muscle tissue labeling Neurocan with ab279648 at 1/2000 dilution followed by ready to use LeicaDS9800 (Bond™ Polymer Refine Detection). The section was incubated with ab279648 for 30 mins at room temperature. The immunostaining was performed on a Leica Biosystems BOND® RX instrument. Counterstained with Hematoxylin.

Negative control : no staining on mouse skeletal muscle.

Heat mediated antigen retrieval with Tris-EDTA buffer (pH 9.0, epitope retrieval solution2) for 20 mins.

Immunohistochemistry (Formalin/PFA-fixed paraffin-embedded sections) - Anti-Neurocan antibody [EPR24126-39] - BSA and Azide free (AB279651)
  • IHC-P

Supplier Data

Immunohistochemistry (Formalin/PFA-fixed paraffin-embedded sections) - Anti-Neurocan antibody [EPR24126-39] - BSA and Azide free (AB279651)

This data was developed using ab279648, the same antibody clone in a different buffer formulation.

Immunohistochemical analysis of paraffin-embedded rat kidney tissue labeling Neurocan with ab279648 at 1/2000 dilution followed by ready to use LeicaDS9800 (Bond™ Polymer Refine Detection). The section was incubated with ab279648 for 30 mins at room temperature. The immunostaining was performed on a Leica Biosystems BOND® RX instrument. Counterstained with Hematoxylin.

Negative control : no staining on rat kidney.

Heat mediated antigen retrieval with Tris-EDTA buffer (pH 9.0, epitope retrieval solution2) for 20 mins.

Immunohistochemistry (Frozen sections) - Anti-Neurocan antibody [EPR24126-39] - BSA and Azide free (AB279651)
  • IHC-Fr

Supplier Data

Immunohistochemistry (Frozen sections) - Anti-Neurocan antibody [EPR24126-39] - BSA and Azide free (AB279651)

This data was developed using ab279648, the same antibody clone in a different buffer formulation.

Immunohistochemical analysis of 4% PFA-fixed, 0.2% Triton X-100 permeabilized frozen rat cerebrum tissue labeling Neurocan with ab279648 at 1/50 dilution followed by ab150077 Goat Anti-Rabbit IgG H&L (Alexa Fluor® 488) at 1/1000 dilution (Green). Positive staining on rat cerebrum is observed. The nuclear counterstain was DAPI (Blue).

Secondary antibody control : Secondary antibody is ab150077 Goat Anti-Rabbit IgG H&L (Alexa Fluor® 488)at 1/1000 dilution.

Heat mediated antigen retrieval using sodium citrate buffer (10mM citrate pH 6.0 + 0.05% Tween-20).

Immunohistochemistry (Frozen sections) - Anti-Neurocan antibody [EPR24126-39] - BSA and Azide free (AB279651)
  • IHC-Fr

Supplier Data

Immunohistochemistry (Frozen sections) - Anti-Neurocan antibody [EPR24126-39] - BSA and Azide free (AB279651)

This data was developed using ab279648, the same antibody clone in a different buffer formulation.

Immunohistochemical analysis of 4% PFA-fixed, 0.2% Triton X-100 permeabilized frozen mouse cerebrum tissue labeling Neurocan with ab279648 at 1/50 dilution followed by ab150077 Goat Anti-Rabbit IgG H&L (Alexa Fluor® 488) at 1/1000 dilution (Green). Positive staining on mouse cerebrum is observed. The nuclear counterstain was DAPI (Blue).

Secondary antibody control : Secondary antibody is ab150077 Goat Anti-Rabbit IgG H&L (Alexa Fluor® 488)at 1/1000 dilution.

Heat mediated antigen retrieval using sodium citrate buffer (10mM citrate pH 6.0 + 0.05% Tween-20).

Immunohistochemistry (Frozen sections) - Anti-Neurocan antibody [EPR24126-39] - BSA and Azide free (AB279651)
  • IHC-Fr

Supplier Data

Immunohistochemistry (Frozen sections) - Anti-Neurocan antibody [EPR24126-39] - BSA and Azide free (AB279651)

This data was developed using ab279648, the same antibody clone in a different buffer formulation.

Immunohistochemical analysis of 4% PFA-fixed, 0.2% Triton X-100 permeabilized frozen rat skeletal muscle tissue labeling Neurocan with ab279648 at 1/50 (11.58 μg/ml) dilution followed by ab150077 Goat Anti-Rabbit IgG H&L (Alexa Fluor® 488) at 1/1000 dilution (Green). The nuclear counterstain was DAPI (Blue).

Negative control : no staining on rat skeletal muscle (PMID : 9795216).

Secondary antibody control : Secondary antibody is ab150077 Goat Anti-Rabbit IgG H&L (Alexa Fluor® 488)at 1/1000 dilution.

Heat mediated antigen retrieval using sodium citrate buffer (10mM citrate pH 6.0 + 0.05% Tween-20).

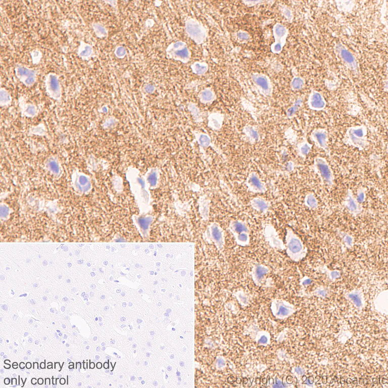
Immunohistochemistry (Formalin/PFA-fixed paraffin-embedded sections) - Anti-Neurocan antibody [EPR24126-39] - BSA and Azide free (AB279651)
  • IHC-P

Supplier Data

Immunohistochemistry (Formalin/PFA-fixed paraffin-embedded sections) - Anti-Neurocan antibody [EPR24126-39] - BSA and Azide free (AB279651)

This data was developed using ab279648, the same antibody clone in a different buffer formulation.

Immunohistochemical analysis of paraffin-embedded rat cerebrum tissue labeling Neurocan with ab279648 at 1/2000 dilution followed by ready to use LeicaDS9800 (Bond™ Polymer Refine Detection). Postive staining on rat cerebrum is observed. The section was incubated with ab279648 for 30 mins at room temperature. The immunostaining was performed on a Leica Biosystems BOND® RX instrument. Counterstained with Hematoxylin.

Secondary antibody only control : Secondary antibody is ready to use LeicaDS9800 (Bond™ Polymer Refine Detection).

Heat mediated antigen retrieval with Tris-EDTA buffer (pH 9.0, epitope retrieval solution2) for 20 mins.

Immunohistochemistry (Frozen sections) - Anti-Neurocan antibody [EPR24126-39] - BSA and Azide free (AB279651)
  • IHC-Fr

Supplier Data

Immunohistochemistry (Frozen sections) - Anti-Neurocan antibody [EPR24126-39] - BSA and Azide free (AB279651)

This data was developed using ab279648, the same antibody clone in a different buffer formulation.

Immunohistochemical analysis of 4% PFA-fixed, 0.2% Triton X-100 permeabilized frozen mouse skeletal muscle tissue labeling Neurocan with ab279648 at 1/50 (11.58 μg/ml) dilution followed by ab150077 Goat Anti-Rabbit IgG H&L (Alexa Fluor® 488) at 1/1000 dilution (Green). The nuclear counterstain was DAPI (Blue).

Negative control : no staining on mouse skeletal muscle (PMID : 9795216).

Secondary antibody control : Secondary antibody is ab150077 Goat Anti-Rabbit IgG H&L (Alexa Fluor® 488)at 1/1000 dilution.

Heat mediated antigen retrieval using sodium citrate buffer (10mM citrate pH 6.0 + 0.05% Tween-20).

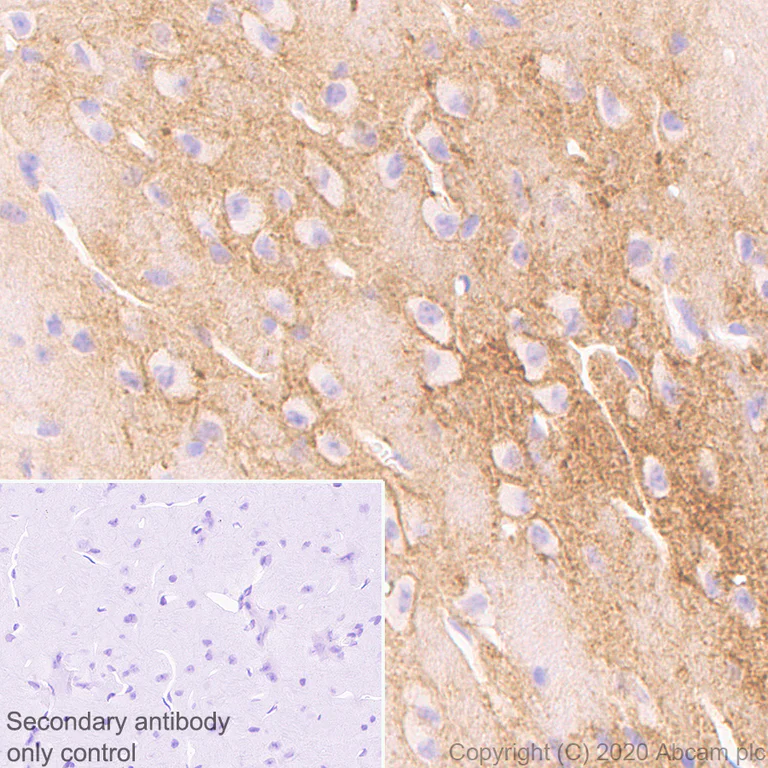
Immunohistochemistry (Formalin/PFA-fixed paraffin-embedded sections) - Anti-Neurocan antibody [EPR24126-39] - BSA and Azide free (AB279651)
  • IHC-P

Supplier Data

Immunohistochemistry (Formalin/PFA-fixed paraffin-embedded sections) - Anti-Neurocan antibody [EPR24126-39] - BSA and Azide free (AB279651)

This data was developed using ab279648, the same antibody clone in a different buffer formulation.

Immunohistochemical analysis of paraffin-embedded mouse cerebrum tissue labeling Neurocan with ab279648 at 1/2000 dilution followed by ready to use LeicaDS9800 (Bond™ Polymer Refine Detection). Postive staining on mouse cerebrum (PMID : 29670169). The section was incubated with ab279648 for 30 mins at room temperature. The immunostaining was performed on a Leica Biosystems BOND® RX instrument. Counterstained with Hematoxylin.

Secondary antibody only control : Secondary antibody is ready to use LeicaDS9800 (Bond™ Polymer Refine Detection).

Heat mediated antigen retrieval with Tris-EDTA buffer (pH 9.0, epitope retrieval solution2) for 20 mins.

Key facts

Host species

Rabbit

Clonality

Monoclonal

Clone number

EPR24126-39

Isotype

IgG

Carrier free

Yes

Reacts with

Mouse, Rat, Human

Applications

IHC-P, IHC-Fr

applications

Immunogen

The exact immunogen used to generate this antibody is proprietary information.

Reactivity data

{ "title": "Reactivity Data", "filters": { "stats": ["", "Species", "Dilution Info", "Notes"], "tabs": { "all-applications": {"fullname" : "All Applications", "shortname": "All Applications"}, "ICCIF" : {"fullname" : "Immunocytochemistry/ Immunofluorescence", "shortname":"ICC/IF"}, "IP" : {"fullname" : "Immunoprecipitation", "shortname":"IP"}, "WB" : {"fullname" : "Western blot", "shortname":"WB"}, "IHCFr" : {"fullname" : "Immunohistochemistry (Frozen sections)", "shortname":"IHC-Fr"}, "IHCP" : {"fullname" : "Immunohistochemistry (Formalin/PFA-fixed paraffin-embedded sections)", "shortname":"IHC-P"} }, "product-promise": { "all": "all", "testedAndGuaranteed": "tested", "guaranteed": "expected", "predicted": "predicted", "notRecommended": "not-recommended" } }, "values": { "Human": { "ICCIF-species-checked": "notRecommended", "ICCIF-species-dilution-info": "", "ICCIF-species-notes": "<p></p>", "IP-species-checked": "notRecommended", "IP-species-dilution-info": "", "IP-species-notes": "<p></p>", "WB-species-checked": "notRecommended", "WB-species-dilution-info": "", "WB-species-notes": "<p></p>", "IHCFr-species-checked": "guaranteed", "IHCFr-species-dilution-info": "", "IHCFr-species-notes": "", "IHCP-species-checked": "testedAndGuaranteed", "IHCP-species-dilution-info": "", "IHCP-species-notes": "<p></p>" }, "Mouse": { "ICCIF-species-checked": "notRecommended", "ICCIF-species-dilution-info": "", "ICCIF-species-notes": "<p></p>", "IP-species-checked": "notRecommended", "IP-species-dilution-info": "", "IP-species-notes": "<p></p>", "WB-species-checked": "notRecommended", "WB-species-dilution-info": "", "WB-species-notes": "<p></p>", "IHCFr-species-checked": "testedAndGuaranteed", "IHCFr-species-dilution-info": "", "IHCFr-species-notes": "<p>Heat mediated antigen retrieval using sodium citrate buffer (10mM citrate pH 6.0 + 0.05% Tween-20)</p>", "IHCP-species-checked": "testedAndGuaranteed", "IHCP-species-dilution-info": "", "IHCP-species-notes": "<p></p>" }, "Rat": { "ICCIF-species-checked": "notRecommended", "ICCIF-species-dilution-info": "", "ICCIF-species-notes": "<p></p>", "IP-species-checked": "notRecommended", "IP-species-dilution-info": "", "IP-species-notes": "<p></p>", "WB-species-checked": "notRecommended", "WB-species-dilution-info": "", "WB-species-notes": "<p></p>", "IHCFr-species-checked": "testedAndGuaranteed", "IHCFr-species-dilution-info": "", "IHCFr-species-notes": "<p>Heat mediated antigen retrieval using sodium citrate buffer (10mM citrate pH 6.0 + 0.05% Tween-20)</p>", "IHCP-species-checked": "testedAndGuaranteed", "IHCP-species-dilution-info": "", "IHCP-species-notes": "<p></p>" } } }

Product details

ab279651 is the carrier-free version of ab279648.

Patented technology
Our RabMAb® technology is a patented hybridoma-based technology for making rabbit monoclonal antibodies. For details on our patents, please refer to RabMAb® patents.

What are the advantages of a recombinant monoclonal antibody?
This product is a recombinant monoclonal antibody, which offers several advantages including:

  • - High batch-to-batch consistency and reproducibility
  • - Improved sensitivity and specificity
  • - Long-term security of supply
  • - Animal-free batch production

For more information, read more on recombinant antibodies.

Conjugation ready
Our carrier-free antibodies are typically supplied in a PBS-only formulation, purified and free of BSA, sodium azide and glycerol. This conjugation-ready format is designed for use with fluorochromes, metal isotopes, oligonucleotides, and enzymes, which makes them ideal for antibody labelling, functional and cell-based assays, flow-based assays (e.g. mass cytometry) and Multiplex Imaging applications.

Use our conjugation kits for antibody conjugates that are ready-to-use in as little as 20 minutes with 1 minute hands-on-time and 100% antibody recovery: available for fluorescent dyes, HRP, biotin and gold.

Compatibility
This product is compatible with the Maxpar® Antibody Labeling Kit from Fluidigm, without the need for antibody preparation. Maxpar® is a trademark of Fluidigm Canada Inc.

Properties and storage information

Form
Liquid
Purification technique
Affinity purification Protein A
Storage buffer
Constituents: PBS
Shipped at conditions
Blue Ice
Appropriate short-term storage conditions
+4°C
Appropriate long-term storage conditions
+4°C

Supplementary information

This supplementary information is collated from multiple sources and compiled automatically.

Neurocan also known as CSPG3 is a chondroitin sulfate proteoglycan with a core protein mass around 245 kDa. It is expressed mostly in the central nervous system. Neurocan plays a mechanical role in modulation of cell adhesion and migration interacting with other extracellular matrix components like tenascin-C and hyaluronic acid. This interaction helps regulate how neurons and glial cells move and connect during development and after injury.
Biological function summary

Neurocan functions significantly in the neural extracellular matrix influencing neural plasticity and maintaining brain homeostasis. It is often found as part of a proteoglycan complex interacting with other matrix molecules. Its molecular structure allows it to bind and influence growth factors impacting neurogenesis and synaptic maintenance. The presence of neurocan is especially significant during periods of neural development and remodeling serving as a regulatory element in these processes.

Pathways

Neurocan plays a part in the regulation of nervous system development and neural repair mechanisms. The protein actively participates in the MAPK signaling pathway affecting cellular responses like proliferation and differentiation. Neurocan relates to proteins like fibronectin and integrins within these pathways contributing to structure and signaling that affect cellular environments and neuron network formations.

Neurocan holds associations with conditions like schizophrenia and neurotrauma. Altered expression or mutations within the neurocan gene can contribute to the disrupted neural connectivity seen in schizophrenia. Furthermore neurocan interacts with proteins such as aggrecan and versican in response to neural injuries forming glial scars that can inhibit proper neural repair and recovery processes. Understanding the role of neurocan in these diseases is essential in developing therapeutic strategies targeting neural plasticity and repair mechanisms.

Product protocols

For this product, it's our understanding that no specific protocols are required. You can visit:

Target data

May modulate neuronal adhesion and neurite growth during development by binding to neural cell adhesion molecules (NG-CAM and N-CAM). Chondroitin sulfate proteoglycan; binds to hyaluronic acid.
See full target information NCAN

Product promise

We are committed to supporting your work with high-quality reagents, and we're here for you every step of the way. In the unlikely event that one of our products does not perform as expected, you're protected by our Product Promise.
For full details, please see our Terms & Conditions

Please note: All products are 'FOR RESEARCH USE ONLY. NOT FOR USE IN DIAGNOSTIC OR THERAPEUTIC PROCEDURES'.

For licensing inquiries, please contact partnerships@abcam.com