JavaScript is disabled in your browser. Please enable JavaScript to view this website.
AB235145

Anti-NeuroD1 antibody

Be the first to review this product! Submit a review

|

(1 Publication)

Goat Polyclonal NeuroD1 antibody. Suitable for WB and reacts with Human samples. Cited in 1 publication.

View Alternative Names

BHLHA3, NEUROD, NEUROD1, Neurogenic differentiation factor 1, NeuroD, NeuroD1, Class A basic helix-loop-helix protein 3, bHLHa3

1 Images
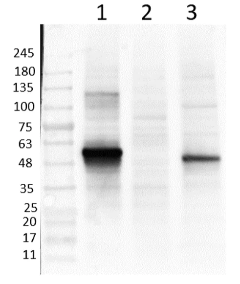
Western blot - Anti-NeuroD1 antibody (AB235145)
  • WB

Supplier Data

Western blot - Anti-NeuroD1 antibody (AB235145)

All lanes:

Western blot - Anti-NeuroD1 antibody (ab235145) at 5 µg/mL

Lane 1:

NeuroD1 recombinant protein (50 ng), spiked in HEK-293 lysate at 35 µg

Lane 2:

HEK-293 lysate at 35 µg

Lane 3:

SCLC-21H whole cell lysate at 35 µg

Predicted band size: 40 kDa

false

Key facts

Host species

Goat

Clonality

Polyclonal

Isotype

IgG

Carrier free

No

Reacts with

Human

Applications

WB

applications

Immunogen

The exact immunogen used to generate this antibody is proprietary information.

Reactivity data

{ "title": "Reactivity Data", "filters": { "stats": ["", "Species", "Dilution Info", "Notes"], "tabs": { "all-applications": {"fullname" : "All Applications", "shortname": "All Applications"}, "WB" : {"fullname" : "Western blot", "shortname":"WB"} }, "product-promise": { "all": "all", "testedAndGuaranteed": "tested", "guaranteed": "expected", "predicted": "predicted", "notRecommended": "not-recommended" } }, "values": { "Human": { "WB-species-checked": "testedAndGuaranteed", "WB-species-dilution-info": "5 µg/mL", "WB-species-notes": "<p></p>" }, "Mouse": { "WB-species-checked": "predicted", "WB-species-dilution-info": "", "WB-species-notes": "" }, "Rat": { "WB-species-checked": "predicted", "WB-species-dilution-info": "", "WB-species-notes": "" } } }

Properties and storage information

Form
Liquid
Purification technique
Affinity purification
Storage buffer
Preservative: 0.01% Sodium azide Constituents: PBS
Shipped at conditions
Blue Ice
Appropriate short-term storage duration
1-2 weeks
Appropriate short-term storage conditions
+4°C
Appropriate long-term storage conditions
-20°C
Aliquoting information
Upon delivery aliquot
Storage information
Avoid freeze / thaw cycle

Supplementary information

This supplementary information is collated from multiple sources and compiled automatically.

NeuroD1 also referred to as Neurogenic Differentiation 1 is a basic helix-loop-helix transcription factor with a molecular mass of approximately 40 kDa. This protein is expressed mainly in the central nervous system as well as in the pancreas. NeuroD1 plays a role in activating transcription by binding to DNA sequences in specific target genes. This process involves dimerization with E proteins facilitating its function as a transcriptional activator.
Biological function summary

NeuroD1 influences neural development and differentiation. It is vital in converting undifferentiated neural precursors into mature neurons ensuring proper brain formation. NeuroD1 forms part of a transcriptional complex with other neural transcription factors which coordinates the expression of genes needed for neuron specification. Apart from neurogenesis it regulates insulin gene expression in pancreatic beta cells linking neural functions to endocrine regulation.

Pathways

NeuroD1 functions in the neurogenesis pathway and interacts closely with the Notch signaling pathway. It plays a role by influencing the expression of genes essential for neuronal lineage commitment. In the insulin signaling pathway NeuroD1 cooperates with other transcription factors like Pdx1 and MafA managing the expression of insulin and other important beta-cell genes. Interactions with proteins like E47 increase its regulatory effects on these pathways.

Defects in NeuroD1 function connect to conditions such as diabetes mellitus and medulloblastoma. In diabetes mellitus NeuroD1 mutations can disturb insulin gene regulation impacting glucose metabolism severely. The connection with Pdx1 further magnifies its involvement in pancreatic beta-cell function. In medulloblastoma aberrant expression or mutations in NeuroD1 affect neuronal differentiation leading to tumor development. NeuroD1 influences cellular pathways interacting with proteins such as Sox9 which contributes to oncogenic processes in neural tissues.

Product protocols

For this product, it's our understanding that no specific protocols are required. You can visit:

Target data

Acts as a transcriptional activator : mediates transcriptional activation by binding to E box-containing promoter consensus core sequences 5'-CANNTG-3'. Associates with the p300/CBP transcription coactivator complex to stimulate transcription of the secretin gene as well as the gene encoding the cyclin-dependent kinase inhibitor CDKN1A. Contributes to the regulation of several cell differentiation pathways, like those that promote the formation of early retinal ganglion cells, inner ear sensory neurons, granule cells forming either the cerebellum or the dentate gyrus cell layer of the hippocampus, endocrine islet cells of the pancreas and enteroendocrine cells of the small intestine. Together with PAX6 or SIX3, is required for the regulation of amacrine cell fate specification. Also required for dendrite morphogenesis and maintenance in the cerebellar cortex. Associates with chromatin to enhancer regulatory elements in genes encoding key transcriptional regulators of neurogenesis (By similarity).
See full target information NEUROD1

Publications (1)

Recent publications for all applications. Explore the full list and refine your search

Communications biology 8:1249 PubMed40830221

2025

A robust method for assessing mitochondrial function in healthy and diseased frozen cardiac tissue.

Applications

Unspecified application

Species

Unspecified reactive species

Liangyu Hu,Alexia van Rinsum,Rocco Caliandro,Xi Qi,Shuxiu Fan,Xinyi Jiang,Jur Massop,Melissa Bekkenkamp-Grovenstein,Christiane Ott,Tilman Grune,Melissa A E van de Wal,Werner J H Koopman,Marcel Giesbers,Monika Gladka,Jaap Keijer,Deli Zhang
View all publications

Product promise

We are committed to supporting your work with high-quality reagents, and we're here for you every step of the way. In the unlikely event that one of our products does not perform as expected, you're protected by our Product Promise.
For full details, please see our Terms & Conditions

Please note: All products are 'FOR RESEARCH USE ONLY. NOT FOR USE IN DIAGNOSTIC OR THERAPEUTIC PROCEDURES'.

For licensing inquiries, please contact partnerships@abcam.com