JavaScript is disabled in your browser. Please enable JavaScript to view this website.
AB205300

Anti-NeuroD1 antibody [EPR17084]

Be the first to review this product! Submit a review

|

(8 Publications)

Anti-NeuroD1 antibody [EPR17084] (ab205300) is a rabbit monoclonal antibody detecting NeuroD1 in Western Blot, IHC-Fr, ICC/IF. Suitable for Human, Mouse.

- Biophysical QC for unrivalled batch-batch consistency

View Alternative Names

BHLHA3, NEUROD, NEUROD1, Neurogenic differentiation factor 1, NeuroD, NeuroD1, Class A basic helix-loop-helix protein 3, bHLHa3

9 Images
Immunohistochemistry (Frozen sections) - Anti-NeuroD1 antibody [EPR17084] (AB205300)
  • IHC-Fr

Lab

Immunohistochemistry (Frozen sections) - Anti-NeuroD1 antibody [EPR17084] (AB205300)

Immunohistochemical analysis of 4% PFA-fixed, 0.2% Triton X-100 permeabilized fresh Mouse hippocampus tissue labelling NeuroD1 with ab205300 at 1/50 dilution followed by ab150081 Goat Anti-Rabbit IgG H&L (Alexa Fluor® 488) preadsorbed secondary at 1/1000 dilution. Positive staining on mouse hippocampus tissue is observed. The nuclear counterstain was DAPI (Blue).

Immunocytochemistry/ Immunofluorescence - Anti-NeuroD1 antibody [EPR17084] (AB205300)
  • ICC/IF

Supplier Data

Immunocytochemistry/ Immunofluorescence - Anti-NeuroD1 antibody [EPR17084] (AB205300)

Immunofluorescent analysis of 4% paraformaldehyde-fixed, 0.1% Triton X-100 permeabilized Y79 (Human retinoblastoma cell line) cells labeling NeuroD1 with ab205300 at 1/250 dilution, followed by Goat anti-rabbit IgG (Alexa Fluor® 488) (ab150077) secondary antibody at 1/1000 dilution (green).

Confocal image showing cytoplasmic and nuclear staining on Y79 cell line.

The nuclear counterstain is DAPI (blue).

Tubulin is detected with ab7291 (anti-Tubulin mouse mAb) at 1/1000 dilution and ab150120 (AlexaFluor®594 Goat anti-Mouse secondary) at 1/1000 dilution (red).

The negative controls are as follows : -

-ve control 1 : ab205300 at 1/250 dilution followed by ab150120 (AlexaFluor®594 Goat anti-Mouse secondary) at 1/1000 dilution.
-ve control 2 : ab7291 (anti-Tubulin mouse mAb) at 1/1000 dilution followed by ab150077 (Alexa Fluor®488 Goat Anti-Rabbit IgG H&L) at 1/1000 dilution.

Immunohistochemistry (Frozen sections) - Anti-NeuroD1 antibody [EPR17084] (AB205300)
  • IHC-Fr

Lab

Immunohistochemistry (Frozen sections) - Anti-NeuroD1 antibody [EPR17084] (AB205300)

IHC image of NeuroD1 staining in a section of frozen normal mouse brain performed on a Leica Biosystems BOND® RX instrument. The section was fixed in 10% paraformaldehyde (10 min) prior to staining. The section was incubated with ab205300, 10 ug/ml, for 15 mins at room temperature and detected using an HRP conjugated compact polymer system. DAB was used as the chromogen. The section was then counterstained with haematoxylin and mounted with DPX. The inset secondary-only control image is taken from an identical assay without primary antibody. For other IHC staining systems (automated and non-automated) customers should optimize variable parameters such as antigen retrieval conditions, primary antibody concentration and antibody incubation times.

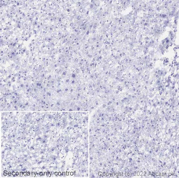
Immunohistochemistry (Frozen sections) - Anti-NeuroD1 antibody [EPR17084] (AB205300)
  • IHC-Fr

Lab

Immunohistochemistry (Frozen sections) - Anti-NeuroD1 antibody [EPR17084] (AB205300)

Negative tissue image : IHC image of NeuroD1 staining in a section of frozen normal mouse liver performed on a Leica Biosystems BOND® RX instrument. The section was fixed in 10% paraformaldehyde (10 min) prior to staining. The section was incubated with ab205300, 10 ug/ml, for 15 mins at room temperature and detected using an HRP conjugated compact polymer system. DAB was used as the chromogen. The section was then counterstained with haematoxylin and mounted with DPX. The inset secondary-only control image is taken from an identical assay without primary antibody. For other IHC staining systems (automated and non-automated) customers should optimize variable parameters such as antigen retrieval conditions, primary antibody concentration and antibody incubation times.

Immunocytochemistry/ Immunofluorescence - Anti-NeuroD1 antibody [EPR17084] (AB205300)
  • ICC/IF

Supplier Data

Immunocytochemistry/ Immunofluorescence - Anti-NeuroD1 antibody [EPR17084] (AB205300)

Immunofluorescent analysis of 4% paraformaldehyde-fixed, 0.1% Triton X-100 permeabilized SH-SY5Y (Human neuroblastoma from bone marrow cells) cells labeling NeuroD1 with ab205300 at 1/250 dilution, followed by Goat anti-rabbit IgG (Alexa Fluor® 488) (ab150077) secondary antibody at 1/1000 dilution (green).

Confocal image showing cytoplasmic and nuclear staining on SH-SY5Y cell line.

The nuclear counterstain is DAPI (blue).

Tubulin is detected with ab7291 (anti-Tubulin mouse mAb) at 1/1000 dilution and ab150120 (AlexaFluor®594 Goat anti-Mouse secondary) at 1/1000 dilution (red).

The negative controls are as follows : -

-ve control 1 : ab205300 at 1/250 dilution followed by ab150120 (AlexaFluor®594 Goat anti-Mouse secondary) at 1/1000 dilution.
-ve control 2 : ab7291 (anti-Tubulin mouse mAb) at 1/1000 dilution followed by ab150077 (Alexa Fluor®488 Goat Anti-Rabbit IgG H&L) at 1/1000 dilution.

Immunohistochemistry (Frozen sections) - Anti-NeuroD1 antibody [EPR17084] (AB205300)
  • IHC-Fr

Lab

Immunohistochemistry (Frozen sections) - Anti-NeuroD1 antibody [EPR17084] (AB205300)

Immunohistochemical analysis of 4% PFA-fixed, 0.2% Triton X-100 permeabilized fresh Mouse liver tissue labelling NeuroD1 with ab205300 at 1/50 dilution followed by ab150081 Goat Anti-Rabbit IgG H&L (Alexa Fluor® 488) preadsorbed secondary at 1/1000 dilution. No staining on mouse liver tissue is observed. The nuclear counterstain was DAPI (Blue). Negative control (PMID : 24309898).

Immunocytochemistry/ Immunofluorescence - Anti-NeuroD1 antibody [EPR17084] (AB205300)
  • ICC/IF

Lab

Immunocytochemistry/ Immunofluorescence - Anti-NeuroD1 antibody [EPR17084] (AB205300)

Immunofluorescent analysis of 4% paraformaldehyde-fixed, 0.1% Triton X-100 permeabilized mouse primary neural/glia cells labelling NeuroD1 with primary antibody anti-NeuroD1 (ab205300) at 1/100 dilution, followed by Goat Anti-Rabbit IgG H&L (Alexa Fluor® 488) preadsorbed (ab150081) secondary antibody at 1/1000 dilution. Confocal image showing nuclear staining in part of mouse primary neuron. Confocal scanning Z step was set as 0.3 μm followed by image processing with maximum Z projection. Anti-MAP2 mouse monoclonal antibody (ab11267) was used to counterstain at 1/500 dilution, followed by Goat Anti-Mouse IgG H&L (Alexa Fluor® 594) (ab150120) as a secondary counterstain antibody at 1/1000 dilution. The nuclear counter stain is DAPI (blue). The negative controls are as follows : - Negative control 1 : ab205300 at 1/100 dilution followed by ab150120 Goat Anti-Mouse IgG H&L (Alexa Fluor® 594) at 1/1000 dilution. Negative control 2 : ab11267 Anti-MAP2 mouse monoclonal antibody at 1/500 dilution followed by ab150081 Goat Anti-Rabbit IgG H&L (Alexa Fluor® 488) preadsorbed at 1/1000 dilution.

Western blot - Anti-NeuroD1 antibody [EPR17084] (AB205300)
  • WB

Supplier Data

Western blot - Anti-NeuroD1 antibody [EPR17084] (AB205300)

Blocking/Dilution buffer : 5% NFDM/TBST.

All lanes:

Western blot - Anti-NeuroD1 antibody [EPR17084] (ab205300) at 1/5000 dilution

All lanes:

Y79 (Human retinoblastoma cell line) whole cell lysate at 10 µg

Secondary

All lanes:

Western blot - Goat Anti-Rabbit IgG H&L (HRP) (<a href='/en-us/products/secondary-antibodies/goat-rabbit-igg-h-l-hrp-ab97051'>ab97051</a>) at 1/1000 dilution

Predicted band size: 40 kDa

Observed band size: 47 kDa

false

Exposure time: 3min

Western blot - Anti-NeuroD1 antibody [EPR17084] (AB205300)
  • WB

Supplier Data

Western blot - Anti-NeuroD1 antibody [EPR17084] (AB205300)

Blocking/Dilution buffer : 5% NFDM/TBST.

All lanes:

Western blot - Anti-NeuroD1 antibody [EPR17084] (ab205300) at 1/1000 dilution

Lane 1:

Human cerebellum lysate at 10 µg

Lane 2:

Human fetal heart lysate at 10 µg

Lane 3:

Human fetal kidney lysate at 10 µg

Lane 4:

Human fetal spleen lysate at 10 µg

Secondary

All lanes:

Anti-Rabbit IgG (HRP), specific to the non-reduced form of IgG at 1/1000 dilution

Predicted band size: 40 kDa

Observed band size: 47 kDa

false

Exposure time: 3min

Key facts

Host species

Rabbit

Clonality

Monoclonal

Clone number

EPR17084

Isotype

IgG

Carrier free

No

Reacts with

Mouse, Human

Applications

ICC/IF, WB, IHC-Fr

applications

Immunogen

The exact immunogen used to generate this antibody is proprietary information.

Reactivity data

{ "title": "Reactivity Data", "filters": { "stats": ["", "Species", "Dilution Info", "Notes"], "tabs": { "all-applications": {"fullname" : "All Applications", "shortname": "All Applications"}, "WB" : {"fullname" : "Western blot", "shortname":"WB"}, "IHCFr" : {"fullname" : "Immunohistochemistry (Frozen sections)", "shortname":"IHC-Fr"}, "ICCIF" : {"fullname" : "Immunocytochemistry/ Immunofluorescence", "shortname":"ICC/IF"} }, "product-promise": { "all": "all", "testedAndGuaranteed": "tested", "guaranteed": "expected", "predicted": "predicted", "notRecommended": "not-recommended" } }, "values": { "Human": { "WB-species-checked": "testedAndGuaranteed", "WB-species-dilution-info": "1/1000", "WB-species-notes": "<p></p>", "IHCFr-species-checked": "guaranteed", "IHCFr-species-dilution-info": "", "IHCFr-species-notes": "", "ICCIF-species-checked": "testedAndGuaranteed", "ICCIF-species-dilution-info": "1/100 - 1/250", "ICCIF-species-notes": "<p></p>" }, "Mouse": { "WB-species-checked": "guaranteed", "WB-species-dilution-info": "", "WB-species-notes": "", "IHCFr-species-checked": "testedAndGuaranteed", "IHCFr-species-dilution-info": "10 µg/mL", "IHCFr-species-notes": "<p></p>", "ICCIF-species-checked": "testedAndGuaranteed", "ICCIF-species-dilution-info": "1/100 - 1/250", "ICCIF-species-notes": "<p></p>" } } }

Product details

What is this antibody validated in?
Anti-NeuroD1 antibody [EPR17084] (ab205300) is a rabbit recombinant monoclonal antibody and is validated for use in Western Blot (WB), Immunohistochemistry (IHC-Fr), Immunocytochemistry/immunofluorescence (ICC/IF) in Human, Mouse samples.

What is the molecular weight of NeuroD1?
Anti-NeuroD1 [EPR17084] (ab205300) specifically detects a band for NeuroD1 (UniProt: Q13562) at a molecular weight of 40kDa.

Trial sizes available!
Test your antibody or perform pre-screening before committing to a larger quantity. Sold in 10µl. Discover our selection of trial-size antibodies.

Other related products
We have a range of other formats of antibody clone [EPR17084] also available for your convenience: ab205300, Carrier free - ab236148, Alexa Fluor® 647 - ab309245

Patented technology
Our RabMAb® technology is a patented hybridoma-based technology for making rabbit monoclonal antibodies. For details on our patents, please refer to RabMAb® patents.

What are the advantages of a recombinant monoclonal antibody?
This product is a recombinant monoclonal antibody, which offers several advantages including:

  • - High batch-to-batch consistency and reproducibility
  • - Improved sensitivity and specificity
  • - Long-term security of supply
  • - Animal-free batch production

For more information, read more on recombinant antibodies.

Properties and storage information

Form
Liquid
Purification technique
Affinity purification Protein A
Storage buffer
pH: 7.2 - 7.4 Preservative: 0.01% Sodium azide Constituents: 59% PBS, 40% Glycerol (glycerin, glycerine), 0.05% BSA
Shipped at conditions
Blue Ice
Appropriate short-term storage duration
1-2 weeks
Appropriate short-term storage conditions
+4°C
Appropriate long-term storage conditions
-20°C
Aliquoting information
Upon delivery aliquot
Storage information
Avoid freeze / thaw cycle

Supplementary information

This supplementary information is collated from multiple sources and compiled automatically.

NeuroD1 also referred to as Neurogenic Differentiation 1 is a basic helix-loop-helix transcription factor with a molecular mass of approximately 40 kDa. This protein is expressed mainly in the central nervous system as well as in the pancreas. NeuroD1 plays a role in activating transcription by binding to DNA sequences in specific target genes. This process involves dimerization with E proteins facilitating its function as a transcriptional activator.
Biological function summary

NeuroD1 influences neural development and differentiation. It is vital in converting undifferentiated neural precursors into mature neurons ensuring proper brain formation. NeuroD1 forms part of a transcriptional complex with other neural transcription factors which coordinates the expression of genes needed for neuron specification. Apart from neurogenesis it regulates insulin gene expression in pancreatic beta cells linking neural functions to endocrine regulation.

Pathways

NeuroD1 functions in the neurogenesis pathway and interacts closely with the Notch signaling pathway. It plays a role by influencing the expression of genes essential for neuronal lineage commitment. In the insulin signaling pathway NeuroD1 cooperates with other transcription factors like Pdx1 and MafA managing the expression of insulin and other important beta-cell genes. Interactions with proteins like E47 increase its regulatory effects on these pathways.

Defects in NeuroD1 function connect to conditions such as diabetes mellitus and medulloblastoma. In diabetes mellitus NeuroD1 mutations can disturb insulin gene regulation impacting glucose metabolism severely. The connection with Pdx1 further magnifies its involvement in pancreatic beta-cell function. In medulloblastoma aberrant expression or mutations in NeuroD1 affect neuronal differentiation leading to tumor development. NeuroD1 influences cellular pathways interacting with proteins such as Sox9 which contributes to oncogenic processes in neural tissues.

Product protocols

For this product, it's our understanding that no specific protocols are required. You can visit:

Target data

Acts as a transcriptional activator : mediates transcriptional activation by binding to E box-containing promoter consensus core sequences 5'-CANNTG-3'. Associates with the p300/CBP transcription coactivator complex to stimulate transcription of the secretin gene as well as the gene encoding the cyclin-dependent kinase inhibitor CDKN1A. Contributes to the regulation of several cell differentiation pathways, like those that promote the formation of early retinal ganglion cells, inner ear sensory neurons, granule cells forming either the cerebellum or the dentate gyrus cell layer of the hippocampus, endocrine islet cells of the pancreas and enteroendocrine cells of the small intestine. Together with PAX6 or SIX3, is required for the regulation of amacrine cell fate specification. Also required for dendrite morphogenesis and maintenance in the cerebellar cortex. Associates with chromatin to enhancer regulatory elements in genes encoding key transcriptional regulators of neurogenesis (By similarity).
See full target information NEUROD1

Publications (8)

Recent publications for all applications. Explore the full list and refine your search

Cell death & disease 14:636 PubMed37752152

2023

YAP1 expression is associated with survival and immunosuppression in small cell lung cancer.

Applications

Unspecified application

Species

Unspecified reactive species

Peixin Chen,Chenglong Sun,Hao Wang,Wencheng Zhao,Yan Wu,Haoyue Guo,Caicun Zhou,Yayi He

Histopathology 83:912-924 PubMed37644667

2023

Concordance of ASCL1, NEUROD1 and POU2F3 transcription factor-based subtype assignment in paired tumour samples from small cell lung carcinoma.

Applications

Unspecified application

Species

Unspecified reactive species

Thomas Denize,Catherine B Meador,Anna B Rider,Maria L Ganci,Jaimie L Barth,Marina Kem,Mari Mino-Kenudson,Yin P Hung

STAR protocols 3:101173 PubMed35199037

2022

Generation of human induced pluripotent stem cell-derived cerebral organoids for cellular and molecular characterization.

Applications

Unspecified application

Species

Unspecified reactive species

Corina Anastasaki,Anna F Wilson,Alexander S Chen,Michelle L Wegscheid,David H Gutmann

Journal of microbiology and biotechnology 32:126-140 PubMed34750284

2021

Global Proteomic Analysis of Mesenchymal Stem Cells Derived from Human Embryonic Stem Cells via Connective Tissue Growth Factor Treatment under Chemically Defined Feeder-Free Culture Conditions.

Applications

Unspecified application

Species

Unspecified reactive species

Ji-Hye Seo,Young-Joo Jeon

Cancer cell 39:1479-1496.e18 PubMed34653364

2021

Signatures of plasticity, metastasis, and immunosuppression in an atlas of human small cell lung cancer.

Applications

Unspecified application

Species

Unspecified reactive species

Joseph M Chan,Álvaro Quintanal-Villalonga,Vianne Ran Gao,Yubin Xie,Viola Allaj,Ojasvi Chaudhary,Ignas Masilionis,Jacklynn Egger,Andrew Chow,Thomas Walle,Marissa Mattar,Dig V K Yarlagadda,James L Wang,Fathema Uddin,Michael Offin,Metamia Ciampricotti,Besnik Qeriqi,Amber Bahr,Elisa de Stanchina,Umesh K Bhanot,W Victoria Lai,Matthew J Bott,David R Jones,Arvin Ruiz,Marina K Baine,Yanyun Li,Natasha Rekhtman,John T Poirier,Tal Nawy,Triparna Sen,Linas Mazutis,Travis J Hollmann,Dana Pe'er,Charles M Rudin

Nature communications 12:5775 PubMed34599169

2021

Subtype heterogeneity and epigenetic convergence in neuroendocrine prostate cancer.

Applications

Unspecified application

Species

Unspecified reactive species

Paloma Cejas,Yingtian Xie,Alba Font-Tello,Klothilda Lim,Sudeepa Syamala,Xintao Qiu,Alok K Tewari,Neel Shah,Holly M Nguyen,Radhika A Patel,Lisha Brown,Ilsa Coleman,Wenzel M Hackeng,Lodewijk Brosens,Koen M A Dreijerink,Leigh Ellis,Sarah Abou Alaiwi,Ji-Heui Seo,Sylvan Baca,Himisha Beltran,Francesca Khani,Mark Pomerantz,Alessandra Dall'Agnese,Jett Crowdis,Eliezer M Van Allen,Joaquim Bellmunt,Colm Morrisey,Peter S Nelson,James DeCaprio,Anna Farago,Nicholas Dyson,Benjamin Drapkin,X Shirley Liu,Matthew Freedman,Michael C Haffner,Eva Corey,Myles Brown,Henry W Long

Frontiers in cellular neuroscience 14:544285 PubMed33584204

2021

HDAC9 Silencing Exerts Neuroprotection Against Ischemic Brain Injury miR-20a-Dependent Downregulation of NeuroD1.

Applications

Unspecified application

Species

Unspecified reactive species

Liangjun Zhong,Jinxiang Yan,Haitao Li,Lei Meng

Nature communications 10:3485 PubMed31375684

2019

MYC paralog-dependent apoptotic priming orchestrates a spectrum of vulnerabilities in small cell lung cancer.

Applications

Unspecified application

Species

Unspecified reactive species

Marcel A Dammert,Johannes Brägelmann,Rachelle R Olsen,Stefanie Böhm,Niloufar Monhasery,Christopher P Whitney,Milind D Chalishazar,Hannah L Tumbrink,Matthew R Guthrie,Sebastian Klein,Abbie S Ireland,Jeremy Ryan,Anna Schmitt,Annika Marx,Luka Ozretić,Roberta Castiglione,Carina Lorenz,Ron D Jachimowicz,Elmar Wolf,Roman K Thomas,John T Poirier,Reinhard Büttner,Triparna Sen,Lauren A Byers,H Christian Reinhardt,Anthony Letai,Trudy G Oliver,Martin L Sos
View all publications

Product promise

We are committed to supporting your work with high-quality reagents, and we're here for you every step of the way. In the unlikely event that one of our products does not perform as expected, you're protected by our Product Promise.
For full details, please see our Terms & Conditions

Associated Products

Select an associated product type
Alternative Product
Primary Antibodies

AB235145

Anti-NeuroD1 antibody

primary-antibodies

neurod1-antibody-ab235145

0

(0 reviews)

Alternative Product
Primary Antibodies

AB213725

Anti-NeuroD1 antibody [EPR20766]

primary-antibodies

neurod1-antibody-epr20766-ab213725

4

(2 reviews)

Alternative Product
Primary Antibodies

AB109224

Anti-NeuroD1 antibody [EPR4008]

primary-antibodies

neurod1-antibody-epr4008-ab109224

5

(1 reviews)

Alternative Product
Primary Antibodies

AB239955

Anti-NeuroD1 antibody [EPR4008] - BSA and Azide free

primary-antibodies

neurod1-antibody-epr4008-bsa-and-azide-free-ab239955

0

(0 reviews)

Alternative Product
Primary Antibodies

AB226489

Anti-NeuroD1 antibody [EPR20766] - BSA and Azide free

primary-antibodies

neurod1-antibody-epr20766-bsa-and-azide-free-ab226489

0

(0 reviews)

Alternative Product
Primary Antibodies

AB60704

Anti-NeuroD1 antibody [3H8] - BSA and Azide free

primary-antibodies

neurod1-antibody-3h8-bsa-and-azide-free-ab60704

4

(15 reviews)

Please note: All products are 'FOR RESEARCH USE ONLY. NOT FOR USE IN DIAGNOSTIC OR THERAPEUTIC PROCEDURES'.

For licensing inquiries, please contact partnerships@abcam.com