JavaScript is disabled in your browser. Please enable JavaScript to view this website.
AB213725

Anti-NeuroD1 antibody [EPR20766]

4

(2 Reviews)

|

(41 Publications)

Anti-NeuroD1 antibody [EPR20766] (ab213725) is a rabbit monoclonal antibody detecting NeuroD1 in Western Blot, Flow Cytometry (Intra), Flow Cytometry, IP, IHC-P. Suitable for Human, Mouse, Rat.

- Biophysical QC for unrivalled batch-batch consistency
- Over 20 publications

View Alternative Names

BHLHA3, NEUROD, NEUROD1, Neurogenic differentiation factor 1, NeuroD, NeuroD1, Class A basic helix-loop-helix protein 3, bHLHa3

6 Images
Flow Cytometry (Intracellular) - Anti-NeuroD1 antibody [EPR20766] (AB213725)
  • Flow Cyt (Intra)

Supplier Data

Flow Cytometry (Intracellular) - Anti-NeuroD1 antibody [EPR20766] (AB213725)

Intracellular flow cytometric analysis of4% paraformaldehyde-fixed, 90% methanol-permeabilized Y79 (human retinoblastoma cell line) cell line labeling NeuroD1 with ab213725 at 1/50 (red) compared with a Rabbit IgG, monoclonal [EPR25A] - Isotype control details (ab172730) (black) and an unlabelled control (cells without incubation with primary antibody and secondary antibody) (blue).

Goat Anti-Rabbit IgG H&L (Alexa Fluor® 488) (ab150077), at 1/2000 dilution was used as the secondary antibody.

Immunoprecipitation - Anti-NeuroD1 antibody [EPR20766] (AB213725)
  • IP

Supplier Data

Immunoprecipitation - Anti-NeuroD1 antibody [EPR20766] (AB213725)

NeuroD1 was immunoprecipitated from 0.35 mg of Y79 (human retinoblastoma cell line) whole cell lysate with ab213725 at 1/30 dilution. Western blot was performed from the immunoprecipitate using ab213725 at 1/500 dilution. VeriBlot for IP Detection Reagent (HRP) (ab131366), was used for detection at 1/1,000 dilution

Lane 1 : Y79 whole cell lysate 10 μg (Input).
Lane 2 : ab213725 IP in Y79 whole cell lysate.
Lane 3 : Rabbit monoclonal IgG (ab172730) instead of ab213725 in Y79 whole cell lysate.

Blocking and dilution buffer and concentration : 5% NFDM/TBST.

Exposure time : 1 second.

All lanes:

Immunoprecipitation - Anti-NeuroD1 antibody [EPR20766] (ab213725)

Predicted band size: 40 kDa

Observed band size: 39 kDa

true

Immunohistochemistry (Formalin/PFA-fixed paraffin-embedded sections) - Anti-NeuroD1 antibody [EPR20766] (AB213725)
  • IHC-P

Supplier Data

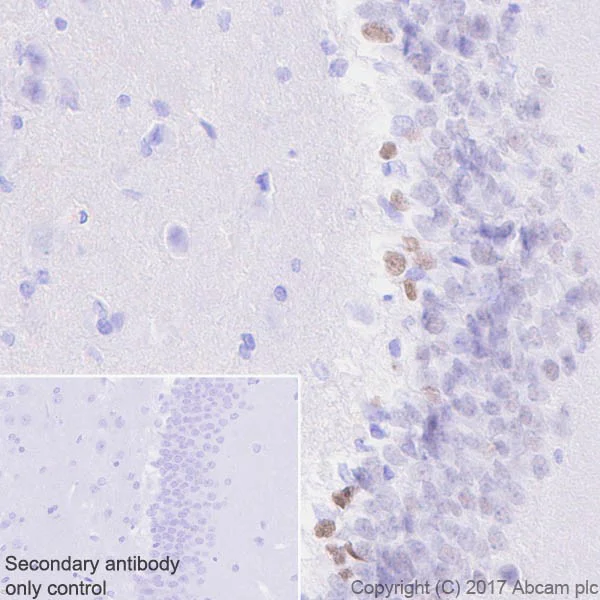
Immunohistochemistry (Formalin/PFA-fixed paraffin-embedded sections) - Anti-NeuroD1 antibody [EPR20766] (AB213725)

Immunohistochemical analysis of paraffin-embedded rat hippocampus tissue labeling NeuroD1 with ab213725 at 1/1000 dilution, followed by Goat Anti-Rabbit IgG H&L (HRP) Ready to use. Nuclear staining on subgranular zone of the rat hippocampus (PMID : 19701197, PMID : 25825708) is observed. Counter stained with hematoxylin.

Secondary antibody only control : Used PBS instead of primary antibody, secondary antibody is Goat Anti-Rabbit IgG H&L (HRP) Ready to use.

Perform heat mediated antigen retrieval with Tris/EDTA buffer pH 9.0 before commencing with IHC staining protocol.

Immunohistochemistry (Formalin/PFA-fixed paraffin-embedded sections) - Anti-NeuroD1 antibody [EPR20766] (AB213725)
  • IHC-P

Supplier Data

Immunohistochemistry (Formalin/PFA-fixed paraffin-embedded sections) - Anti-NeuroD1 antibody [EPR20766] (AB213725)

Immunohistochemical analysis of paraffin-embedded mouse hippocampus tissue labeling NeuroD1 with ab213725 at 1/1000 dilution, followed by Goat Anti-Rabbit IgG H&L (HRP) Ready to use. Nuclear staining on subgranular zone of the mouse hippocampus dentate gyrus (PMID : 19701197, PMID : 25825708) is observed. Counter stained with hematoxylin.

Secondary antibody only control : Used PBS instead of primary antibody, secondary antibody is Goat Anti-Rabbit IgG H&L (HRP) Ready to use.

Perform heat mediated antigen retrieval with Tris/EDTA buffer pH 9.0 before commencing with IHC staining protocol.

Western blot - Anti-NeuroD1 antibody [EPR20766] (AB213725)
  • WB

Supplier Data

Western blot - Anti-NeuroD1 antibody [EPR20766] (AB213725)

Blocking/dilution buffer : 5% NFDM/TBST

Exposure times.

Lane 1 : 10 seconds

Lane 2 : 30 seconds

All lanes:

Western blot - Anti-NeuroD1 antibody [EPR20766] (ab213725) at 1/1000 dilution

Lane 1:

Y79 (human retinoblastoma cell line) whole cell lysate at 20 µg

Lane 2:

Mouse P3 (postnatal day 3) retina lysate at 20 µg

Secondary

All lanes:

Western blot - Goat Anti-Rabbit IgG H&L (HRP) (<a href='/en-us/products/secondary-antibodies/goat-rabbit-igg-h-l-hrp-ab97051'>ab97051</a>) at 1/100000 dilution

Predicted band size: 40 kDa

Observed band size: 39 kDa

true

Western blot - Anti-NeuroD1 antibody [EPR20766] (AB213725)
  • WB

Supplier Data

Western blot - Anti-NeuroD1 antibody [EPR20766] (AB213725)

Blocking/dilution buffer : 5% NFDM/TBST

All lanes:

Western blot - Anti-NeuroD1 antibody [EPR20766] (ab213725) at 1000 Cells

All lanes:

Rat retina tissue lysate at 20 µg

Secondary

All lanes:

Western blot - Goat Anti-Rabbit IgG H&L (HRP) (<a href='/en-us/products/secondary-antibodies/goat-rabbit-igg-h-l-hrp-ab97051'>ab97051</a>) at 1/100000 dilution

Predicted band size: 40 kDa

Observed band size: 39 kDa

true

Exposure time: 3min

  • Carrier free

    Anti-NeuroD1 antibody [EPR20766] - BSA and Azide free

Key facts

Host species

Rabbit

Clonality

Monoclonal

Clone number

EPR20766

Isotype

IgG

Carrier free

No

Reacts with

Mouse, Rat, Human

Applications

WB, Flow Cyt (Intra), IP, IHC-P

applications

Immunogen

The exact immunogen used to generate this antibody is proprietary information.

Reactivity data

{ "title": "Reactivity Data", "filters": { "stats": ["", "Species", "Dilution Info", "Notes"], "tabs": { "all-applications": {"fullname" : "All Applications", "shortname": "All Applications"}, "IP" : {"fullname" : "Immunoprecipitation", "shortname":"IP"}, "WB" : {"fullname" : "Western blot", "shortname":"WB"}, "FlowCytIntra" : {"fullname" : "Flow Cytometry (Intracellular)", "shortname":"Flow Cyt (Intra)"}, "IHCP" : {"fullname" : "Immunohistochemistry (Formalin/PFA-fixed paraffin-embedded sections)", "shortname":"IHC-P"}, "ICC" : {"fullname" : "Immunocytochemistry", "shortname":"ICC"}, "IHCFr" : {"fullname" : "Immunohistochemistry (Frozen sections)", "shortname":"IHC-Fr"} }, "product-promise": { "all": "all", "testedAndGuaranteed": "tested", "guaranteed": "expected", "predicted": "predicted", "notRecommended": "not-recommended" } }, "values": { "Human": { "IP-species-checked": "testedAndGuaranteed", "IP-species-dilution-info": "1/30", "IP-species-notes": "<p></p>", "WB-species-checked": "testedAndGuaranteed", "WB-species-dilution-info": "1/1000", "WB-species-notes": "<p></p>", "FlowCytIntra-species-checked": "testedAndGuaranteed", "FlowCytIntra-species-dilution-info": "1/50", "FlowCytIntra-species-notes": "<p></p>", "IHCP-species-checked": "guaranteed", "IHCP-species-dilution-info": "", "IHCP-species-notes": "", "ICC-species-checked": "notRecommended", "ICC-species-dilution-info": "", "ICC-species-notes": "", "IHCFr-species-checked": "notRecommended", "IHCFr-species-dilution-info": "", "IHCFr-species-notes": "" }, "Mouse": { "IP-species-checked": "guaranteed", "IP-species-dilution-info": "", "IP-species-notes": "", "WB-species-checked": "testedAndGuaranteed", "WB-species-dilution-info": "1/1000", "WB-species-notes": "<p></p>", "FlowCytIntra-species-checked": "guaranteed", "FlowCytIntra-species-dilution-info": "", "FlowCytIntra-species-notes": "", "IHCP-species-checked": "testedAndGuaranteed", "IHCP-species-dilution-info": "1/1000", "IHCP-species-notes": "<p>The Human species recommendation is based on the WB results. We do not guarantee IHC-P for Human.</p>", "ICC-species-checked": "notRecommended", "ICC-species-dilution-info": "", "ICC-species-notes": "<p></p>", "IHCFr-species-checked": "notRecommended", "IHCFr-species-dilution-info": "", "IHCFr-species-notes": "<p></p>" }, "Rat": { "IP-species-checked": "guaranteed", "IP-species-dilution-info": "", "IP-species-notes": "", "WB-species-checked": "testedAndGuaranteed", "WB-species-dilution-info": "1/1000", "WB-species-notes": "<p></p>", "FlowCytIntra-species-checked": "guaranteed", "FlowCytIntra-species-dilution-info": "", "FlowCytIntra-species-notes": "", "IHCP-species-checked": "testedAndGuaranteed", "IHCP-species-dilution-info": "1/1000", "IHCP-species-notes": "<p>The Human species recommendation is based on the WB results. We do not guarantee IHC-P for Human.</p>", "ICC-species-checked": "notRecommended", "ICC-species-dilution-info": "", "ICC-species-notes": "", "IHCFr-species-checked": "notRecommended", "IHCFr-species-dilution-info": "", "IHCFr-species-notes": "" } } }

Product details

What is this antibody validated in?
Anti-NeuroD1 antibody [EPR20766] (ab213725) is a rabbit recombinant monoclonal antibody and is validated for use in Western Blot (WB), Flow Cytometry (Intra), Flow Cytometry (Flow Cyt), Immunoprecipitation (IP), Immunohistochemistry (IHC-P) in Human, Mouse, Rat samples.

What is the molecular weight of NeuroD1?
Anti-NeuroD1 [EPR20766] (ab213725) specifically detects a band for NeuroD1 (UniProt: Q13562) at a molecular weight of 40kDa.

Trusted by the scientific community
Anti-NeuroD1 [EPR20766] (ab213725) was first used in a scientific publication in 2017 and has been cited over 20 times in peer-reviewed journals.

Trial sizes available!
Test your antibody or perform pre-screening before committing to a larger quantity. Sold in 10µl. Discover our selection of trial-size antibodies.

Other related products
We have a range of other formats of antibody clone [EPR20766] also available for your convenience: ab213725, Carrier free - ab226489

Patented technology
Our RabMAb® technology is a patented hybridoma-based technology for making rabbit monoclonal antibodies. For details on our patents, please refer to RabMAb® patents.

What are the advantages of a recombinant monoclonal antibody?
This product is a recombinant monoclonal antibody, which offers several advantages including:

  • - High batch-to-batch consistency and reproducibility
  • - Improved sensitivity and specificity
  • - Long-term security of supply
  • - Animal-free batch production

For more information, read more on recombinant antibodies.

Properties and storage information

Form
Liquid
Purification technique
Affinity purification Protein A
Storage buffer
pH: 7.2 - 7.4 Preservative: 0.01% Sodium azide Constituents: PBS, 40% Glycerol (glycerin, glycerine), 0.05% BSA
Shipped at conditions
Blue Ice
Appropriate short-term storage duration
1-2 weeks
Appropriate short-term storage conditions
+4°C
Appropriate long-term storage conditions
-20°C
Aliquoting information
Upon delivery aliquot
Storage information
Avoid freeze / thaw cycle

Supplementary information

This supplementary information is collated from multiple sources and compiled automatically.

NeuroD1 also referred to as Neurogenic Differentiation 1 is a basic helix-loop-helix transcription factor with a molecular mass of approximately 40 kDa. This protein is expressed mainly in the central nervous system as well as in the pancreas. NeuroD1 plays a role in activating transcription by binding to DNA sequences in specific target genes. This process involves dimerization with E proteins facilitating its function as a transcriptional activator.
Biological function summary

NeuroD1 influences neural development and differentiation. It is vital in converting undifferentiated neural precursors into mature neurons ensuring proper brain formation. NeuroD1 forms part of a transcriptional complex with other neural transcription factors which coordinates the expression of genes needed for neuron specification. Apart from neurogenesis it regulates insulin gene expression in pancreatic beta cells linking neural functions to endocrine regulation.

Pathways

NeuroD1 functions in the neurogenesis pathway and interacts closely with the Notch signaling pathway. It plays a role by influencing the expression of genes essential for neuronal lineage commitment. In the insulin signaling pathway NeuroD1 cooperates with other transcription factors like Pdx1 and MafA managing the expression of insulin and other important beta-cell genes. Interactions with proteins like E47 increase its regulatory effects on these pathways.

Defects in NeuroD1 function connect to conditions such as diabetes mellitus and medulloblastoma. In diabetes mellitus NeuroD1 mutations can disturb insulin gene regulation impacting glucose metabolism severely. The connection with Pdx1 further magnifies its involvement in pancreatic beta-cell function. In medulloblastoma aberrant expression or mutations in NeuroD1 affect neuronal differentiation leading to tumor development. NeuroD1 influences cellular pathways interacting with proteins such as Sox9 which contributes to oncogenic processes in neural tissues.

Product protocols

For this product, it's our understanding that no specific protocols are required. You can visit:

Target data

Acts as a transcriptional activator : mediates transcriptional activation by binding to E box-containing promoter consensus core sequences 5'-CANNTG-3'. Associates with the p300/CBP transcription coactivator complex to stimulate transcription of the secretin gene as well as the gene encoding the cyclin-dependent kinase inhibitor CDKN1A. Contributes to the regulation of several cell differentiation pathways, like those that promote the formation of early retinal ganglion cells, inner ear sensory neurons, granule cells forming either the cerebellum or the dentate gyrus cell layer of the hippocampus, endocrine islet cells of the pancreas and enteroendocrine cells of the small intestine. Together with PAX6 or SIX3, is required for the regulation of amacrine cell fate specification. Also required for dendrite morphogenesis and maintenance in the cerebellar cortex. Associates with chromatin to enhancer regulatory elements in genes encoding key transcriptional regulators of neurogenesis (By similarity).
See full target information NEUROD1

Publications (41)

Recent publications for all applications. Explore the full list and refine your search

eLife 12: PubMed41025959

2025

Matrix-associated extracellular vesicles modulate human smooth muscle cell adhesion and directionality by presenting collagen VI.

Applications

Unspecified application

Species

Unspecified reactive species

Alexander N Kapustin,Sofia Serena Tsakali,Meredith Whitehead,George Chennell,Meng-Ying Wu,Chris Molenaar,Anton Kutikhin,Yimeng Chen,Sadia Ahmad,Leo Bogdanov,Maxim Sinitsky,Kseniya Rubina,Aled Clayton,Frederik J Verweij,Dirk Michiel Pegtel,Simona Zingaro,Arseniy Lobov,Bozhana Zainullina,Dylan Owen,Maddy Parsons,Richard E Cheney,Derek T Warren,Martin James Humphries,Thomas Iskratsch,Mark Holt,Catherine M Shanahan

Nature 647:257-267 PubMed40963028

2025

Basal cell of origin resolves neuroendocrine-tuft lineage plasticity in cancer.

Applications

Unspecified application

Species

Unspecified reactive species

Abbie S Ireland,Daniel A Xie,Sarah B Hawgood,Margaret W Barbier,Lisa Y Zuo,Benjamin E Hanna,Scarlett Lucas-Randolph,Darren R Tyson,Benjamin L Witt,Ramaswamy Govindan,Afshin Dowlati,Justin C Moser,Anish Thomas,Sonam Puri,Charles M Rudin,Joseph M Chan,Andrew Elliott,Trudy G Oliver

Journal of translational medicine 23:711 PubMed40597359

2025

Immune profiling identifies CD161CD127CD8 T cells as a predictive biomarker for Anti-PD-L1 therapy response in the SCLC-I subtype.

Applications

Unspecified application

Species

Unspecified reactive species

Jingjing Qu,Wenjia Sun,Yuekang Li,Ziwan Cai,Binggen Wu,Qian Shen,Lijun Chen,Bo Wang,Lixiong Ying,Chenchai Xie,Jing Zheng,Jianya Zhou,Jianying Zhou

Pain reports 10:e1300 PubMed40575733

2025

Persistent pain signaling and stress response in a mouse model of inflammatory low back pain.

Applications

Unspecified application

Species

Unspecified reactive species

Hiroaki Motohashi,Yasuhito Yamaji,Kazunari Mori,Sena Washizu,Oki Hoshino,Kotone Fujimoto,Seiji Kanazawa,Yoshihiko Minegishi,Noriyasu Ota,Takuya Mori,Eri Segi-Nishida

APMIS : acta pathologica, microbiologica, et immunologica Scandinavica 133:e70035 PubMed40536008

2025

Prognostic Significance of Immunohistochemical Surrogate Molecular Sub-Typing of Small Cell Lung Carcinoma.

Applications

Unspecified application

Species

Unspecified reactive species

Sananda Kumar,Navneet Singh,Parul Gupta,Rajender Kumar,Suvradeep Mitra,Amanjit Bal

Korean journal of radiology 26:593-603 PubMed40432263

2025

Potential of C-X-C-Chemokine-Receptor-Type-4-Directed PET/CT Using [¹⁸F]AlF-NOTA-QHY-04 in Identifying Molecular Subtypes of Small Cell Lung Cancer.

Applications

Unspecified application

Species

Unspecified reactive species

Yuxi Luo,Kai Cheng,Jingru Liu,Jinli Pei,Shengnan Xu,Xinzhi Zhao,Shijie Wang,Kunlong Zhao,Wanhu Li,Jie Liu,Jinming Yu

Cancer immunology, immunotherapy : CII 74:213 PubMed40402312

2025

Molecular subtyping dictates therapeutic response to anti-PD-L1 immunotherapy in ES-SCLC.

Applications

Unspecified application

Species

Unspecified reactive species

Qianqian Zhang,Guoxin Wang,Wenjie Yan,Dong Wang,Jie Yin,Yong Song,Mingxiang Ye,Tangfeng Lv

Cell reports 44:115603 PubMed40305287

2025

Functional characterization of the ATOH1 molecular subtype indicates a pro-metastatic role in small cell lung cancer.

Applications

Unspecified application

Species

Unspecified reactive species

Alessia Catozzi,Maria Peiris Pagès,Sam Humphrey,Mitchell Revill,Derrick Morgan,Jordan Roebuck,Yitao Chen,Bethan Davies-Williams,Kevin Brennan,A S Md Mukarram Hossain,Vsevolod J Makeev,Karishma Satia,Pagona P Sfyri,Melanie Galvin,Darryl Coles,Alice Lallo,Simon P Pearce,Alastair Kerr,Lynsey Priest,Victoria Foy,Mathew Carter,Rebecca Caeser,Joseph M Chan,Charles M Rudin,Fiona Blackhall,Kristopher K Frese,Caroline Dive,Kathryn L Simpson

Cancer & metabolism 13:16 PubMed40165271

2025

Unveiling the powerhouse: ASCL1-driven small cell lung cancer is characterized by higher numbers of mitochondria and enhanced oxidative phosphorylation.

Applications

Unspecified application

Species

Unspecified reactive species

Anna Solta,Büsra Ernhofer,Kristiina Boettiger,Christian Lang,Zsolt Megyesfalvi,Theresa Mendrina,Dominik Kirchhofer,Gerald Timelthaler,Beata Szeitz,Melinda Rezeli,Clemens Aigner,Arvand Haschemi,Lukas W Unger,Balazs Dome,Karin Schelch

Cellular and molecular life sciences : CMLS 82:101 PubMed40035863

2025

NEIL3 influences adult neurogenesis and behavioral pattern separation via WNT signaling.

Applications

Unspecified application

Species

Unspecified reactive species

Marion S Fernandez-Berrocal,Amilcar Reis,Veslemøy Rolseth,Rajikala Suganthan,Anna Kuśnierczyk,Arthur França,Annara Y M Soares,Nicolas Kunath,Anna M Bugaj,Andreas Abentung,Lars Eide,Richardson N Leão,Magnar Bjørås,Katja Scheffler,Jing Ye
View all publications

Product promise

We are committed to supporting your work with high-quality reagents, and we're here for you every step of the way. In the unlikely event that one of our products does not perform as expected, you're protected by our Product Promise.
For full details, please see our Terms & Conditions

Please note: All products are 'FOR RESEARCH USE ONLY. NOT FOR USE IN DIAGNOSTIC OR THERAPEUTIC PROCEDURES'.

For licensing inquiries, please contact partnerships@abcam.com