JavaScript is disabled in your browser. Please enable JavaScript to view this website.
AB271948

Anti-Neurofascin antibody [EPR19003] - BSA and Azide free

Be the first to review this product! Submit a review

|

(0 Publication)

Rabbit Recombinant Monoclonal NFASC antibody. Carrier free. Suitable for WB, IHC-P and reacts with Mouse, Rat, Human samples.

View Alternative Names

KIAA0756, NFASC, Neurofascin

3 Images
Immunohistochemistry (Formalin/PFA-fixed paraffin-embedded sections) - Anti-Neurofascin antibody [EPR19003] - BSA and Azide free (AB271948)
  • IHC-P

Supplier Data

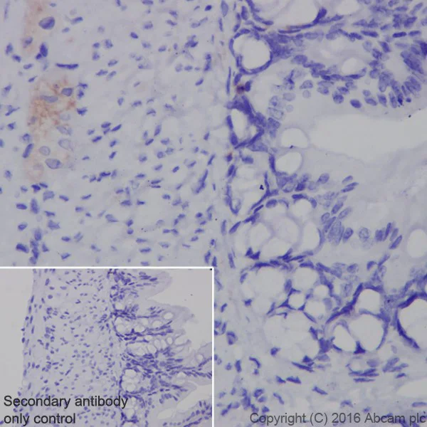
Immunohistochemistry (Formalin/PFA-fixed paraffin-embedded sections) - Anti-Neurofascin antibody [EPR19003] - BSA and Azide free (AB271948)

Immunohistochemical analysis of paraffin-embedded mouse colon tissue labeling Neurofascin with ab184377 at 1/5000 dilution, followed by Goat Anti-Rabbit IgG H&L (HRP) (ab97051) at 1/500 dilution.

Cytoplasm and membrane staining on myenteric nerve plexus, and negative on epithelium cells and smooth muscle cells of mouse colon.

Counter stained with Hematoxylin.

Secondary antibody only control : Used PBS instead of primary antibody, secondary antibody is ab97051 at 1/500 dilution.

Perform heat mediated antigen retrieval with Tris/EDTA buffer pH 9.0 before commencing with IHC staining protocol.

This data was developed using the same antibody clone in a different buffer formulation containing PBS, BSA, glycerol, and sodium azide (ab184377).

Immunohistochemistry (Formalin/PFA-fixed paraffin-embedded sections) - Anti-Neurofascin antibody [EPR19003] - BSA and Azide free (AB271948)
  • IHC-P

Supplier Data

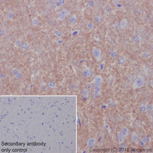
Immunohistochemistry (Formalin/PFA-fixed paraffin-embedded sections) - Anti-Neurofascin antibody [EPR19003] - BSA and Azide free (AB271948)

Immunohistochemical analysis of paraffin-embedded rat cerebrum tissue labeling Neurofascin with ab184377 at 1/5000 dilution, followed by Goat Anti-Rabbit IgG H&L (HRP) (ab97051) at 1/500 dilution.

Cytoplasm staining on rat cerebrum is observed.

Counter stained with Hematoxylin.

Secondary antibody only control : Used PBS instead of primary antibody, secondary antibody is ab97051 at 1/500 dilution.

Perform heat mediated antigen retrieval with Tris/EDTA buffer pH 9.0 before commencing with IHC staining protocol.

This data was developed using the same antibody clone in a different buffer formulation containing PBS, BSA, glycerol, and sodium azide (ab184377).

Immunohistochemistry (Formalin/PFA-fixed paraffin-embedded sections) - Anti-Neurofascin antibody [EPR19003] - BSA and Azide free (AB271948)
  • IHC-P

Supplier Data

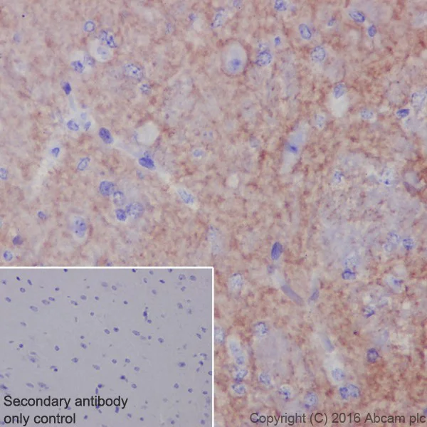
Immunohistochemistry (Formalin/PFA-fixed paraffin-embedded sections) - Anti-Neurofascin antibody [EPR19003] - BSA and Azide free (AB271948)

Immunohistochemical analysis of paraffin-embedded mouse cerebrum tissue labeling Neurofascin with ab184377 at 1/5000 dilution, followed by Goat Anti-Rabbit IgG H&L (HRP) (ab97051) at 1/500 dilution.

Cytoplasm staining on mouse cerebrum is observed [PMID : 23198679].

Counter stained with Hematoxylin.

Secondary antibody only control : Used PBS instead of primary antibody, secondary antibody is ab97051 at 1/500 dilution.

Perform heat mediated antigen retrieval with Tris/EDTA buffer pH 9.0 before commencing with IHC staining protocol.

This data was developed using the same antibody clone in a different buffer formulation containing PBS, BSA, glycerol, and sodium azide (ab184377).

Key facts

Host species

Rabbit

Clonality

Monoclonal

Clone number

EPR19003

Isotype

IgG

Carrier free

Yes

Reacts with

Mouse, Rat, Human

Applications

IHC-P, WB

applications

Immunogen

The exact immunogen used to generate this antibody is proprietary information.

Specificity

IHC is recommended for mouse and rat only.

Reactivity data

{ "title": "Reactivity Data", "filters": { "stats": ["", "Species", "Dilution Info", "Notes"], "tabs": { "all-applications": {"fullname" : "All Applications", "shortname": "All Applications"}, "WB" : {"fullname" : "Western blot", "shortname":"WB"}, "IHCP" : {"fullname" : "Immunohistochemistry (Formalin/PFA-fixed paraffin-embedded sections)", "shortname":"IHC-P"} }, "product-promise": { "all": "all", "testedAndGuaranteed": "tested", "guaranteed": "expected", "predicted": "predicted", "notRecommended": "not-recommended" } }, "values": { "Human": { "WB-species-checked": "guaranteed", "WB-species-dilution-info": "", "WB-species-notes": "<p></p>", "IHCP-species-checked": "predicted", "IHCP-species-dilution-info": "", "IHCP-species-notes": "" }, "Mouse": { "WB-species-checked": "guaranteed", "WB-species-dilution-info": "", "WB-species-notes": "<p></p>", "IHCP-species-checked": "predicted", "IHCP-species-dilution-info": "", "IHCP-species-notes": "" }, "Rat": { "WB-species-checked": "guaranteed", "WB-species-dilution-info": "", "WB-species-notes": "<p></p>", "IHCP-species-checked": "testedAndGuaranteed", "IHCP-species-dilution-info": "", "IHCP-species-notes": "<p></p>" } } }

Product details

ab271948 is the carrier-free version of ab184377.

Patented technology
Our RabMAb® technology is a patented hybridoma-based technology for making rabbit monoclonal antibodies. For details on our patents, please refer to RabMAb® patents.

What are the advantages of a recombinant monoclonal antibody?
This product is a recombinant monoclonal antibody, which offers several advantages including:

  • - High batch-to-batch consistency and reproducibility
  • - Improved sensitivity and specificity
  • - Long-term security of supply
  • - Animal-free batch production

For more information, read more on recombinant antibodies.

Conjugation ready
Our carrier-free antibodies are typically supplied in a PBS-only formulation, purified and free of BSA, sodium azide and glycerol. This conjugation-ready format is designed for use with fluorochromes, metal isotopes, oligonucleotides, and enzymes, which makes them ideal for antibody labelling, functional and cell-based assays, flow-based assays (e.g. mass cytometry) and Multiplex Imaging applications.

Use our conjugation kits for antibody conjugates that are ready-to-use in as little as 20 minutes with 1 minute hands-on-time and 100% antibody recovery: available for fluorescent dyes, HRP, biotin and gold.

Compatibility
This product is compatible with the Maxpar® Antibody Labeling Kit from Fluidigm, without the need for antibody preparation. Maxpar® is a trademark of Fluidigm Canada Inc.

Properties and storage information

Form
Liquid
Purification technique
Affinity purification Protein A
Storage buffer
pH: 7.2 - 7.4 Constituents: PBS
Shipped at conditions
Blue Ice
Appropriate short-term storage conditions
+4°C
Appropriate long-term storage conditions
+4°C
Storage information
Do Not Freeze

Supplementary information

This supplementary information is collated from multiple sources and compiled automatically.

Neurofascin also known as NFASC is a cell adhesion molecule with significant roles in the nervous system. It has various isoforms with Neurofascin-186 and Neurofascin-155 being the most studied. The molecular mass of Neurofascin is approximately 135 kDa. This protein is expressed in the nervous system particularly at nodes of Ranvier and paranodal regions as well as in the initial segment of axons. Neurofascin contributes to organizing and maintaining the axonal domains essential for neural signal transmission.
Biological function summary

This neural protein plays an integral role in developing and securing the nervous system's structural organization. Neurofascin helps form the nodes of Ranvier which are critical for saltatory conduction enhancing rapid and efficient nerve impulse transmission. It also interacts with other proteins such as Ankyrin G and Contactin to maintain the stability and function of neuronal domains. Through these interactions Neurofascin facilitates the proper conduction and coordination of electrical signals along neurons.

Pathways

Neurofascin is essential for neural signal transmission and maintenance pathways. It prominently participates in the axon guidance and myelination pathways working alongside proteins like Caspr (Contactin-associated protein) and Ankyrin B. These pathways ensure the growth and maintenance of myelin sheaths supporting nerve insulation and efficient signal relay. Neurofascin's interaction with these proteins reinforces the nodes of Ranvier's organization promoting stable and rapid signal conduction in the peripheral and central nervous systems.

Research links Neurofascin with autoimmune neuropathies like Guillain-Barré syndrome and multiple sclerosis. These conditions involve the immune-mediated destruction of myelin leading to severe motor and sensory deficits. Neurofascin acts as a target in some autoimmune responses where antibodies may mistakenly attack the protein disrupting neural conduction. Connections between Neurofascin and other proteins like Contactin and Ankyrin G highlight the complex interactions that can lead to pathological states when disrupted. Developing therapies targeting Neurofascin-related pathways holds potential for mitigating these disorders' impacts on neuronal functions.

Product protocols

For this product, it's our understanding that no specific protocols are required. You can visit:

Target data

Cell adhesion, ankyrin-binding protein which may be involved in neurite extension, axonal guidance, synaptogenesis, myelination and neuron-glial cell interactions.
See full target information NFASC

Product promise

We are committed to supporting your work with high-quality reagents, and we're here for you every step of the way. In the unlikely event that one of our products does not perform as expected, you're protected by our Product Promise.
For full details, please see our Terms & Conditions

Please note: All products are 'FOR RESEARCH USE ONLY. NOT FOR USE IN DIAGNOSTIC OR THERAPEUTIC PROCEDURES'.

For licensing inquiries, please contact partnerships@abcam.com