JavaScript is disabled in your browser. Please enable JavaScript to view this website.
AB238142

Anti-Neurofibromin antibody [EPR22989-68]

Be the first to review this product! Submit a review

|

(2 Publications)

Rabbit Recombinant Monoclonal Neurofibromin antibody. Suitable for WB and reacts with Mouse, Rat, Human samples. Cited in 2 publications.

View Alternative Names

Neurofibromin, Neurofibromatosis-related protein NF-1, NF1

4 Images
Western blot - Anti-Neurofibromin antibody [EPR22989-68] (AB238142)
  • WB

Lab

Western blot - Anti-Neurofibromin antibody [EPR22989-68] (AB238142)

Lanes 1-3 : Merged signal (red and green). Green - ab238142 observed at 319 kDa. Red - loading control ab7291 observed at 50 kDa.

ab238142 Recombinant Anti-NF1 antibody [EPR22989-68] was shown to specifically react with NFIB in wild-type HeLa cells. Loss of signal was observed when knockout cell line ab264725 (knockout cell lysate ab258533) was used. Wild-type and NF1 knockout samples were subjected to SDS-PAGE. ab238142 and Anti-alpha Tubulin antibody [DM1A] - Loading Control (ab7291) were incubated overnight at 4°C at 1 in 1000 dilution and 1 in 20000 dilution respectively. Blots were developed with Goat anti-Rabbit IgG H&L (IRDye® 800CW) preadsorbed (ab216773) and Goat anti-Mouse IgG H&L (IRDye® 680RD) preadsorbed (ab216776) secondary antibodies at 1 in 20000 dilution for 1 hour at room temperature before imaging.

All lanes:

Western blot - Anti-Neurofibromin antibody [EPR22989-68] (ab238142) at 1/1000 dilution

Lane 1:

Wild-type HeLa cell lysate at 20 µg

Lane 2:

NFIB knockout HeLa cell lysate at 20 µg

Lane 2:

Western blot - Human NF1 (Neurofibromin) knockout HeLa cell line (<a href='/en-us/products/cell-lines/human-nf1-neurofibromin-knockout-hela-cell-line-ab264725'>ab264725</a>)

Lane 3:

HAP1 cell lysate at 20 µg

Secondary

All lanes:

Western blot - Goat anti-Rabbit IgG H&L (IRDye® 800CW) preadsorbed (<a href='/en-us/products/secondary-antibodies/goat-rabbit-igg-h-l-irdye-800cw-preadsorbed-ab216773'>ab216773</a>) at 1/20000 dilution

Predicted band size: 319 kDa

Observed band size: 319 kDa

false

Western blot - Anti-Neurofibromin antibody [EPR22989-68] (AB238142)
  • WB

Lab

Western blot - Anti-Neurofibromin antibody [EPR22989-68] (AB238142)

Anti-NF1 antibody [EPR22989-68] (ab238142) staining at 1/1000 dilution, shown in green; Mouse anti-CANX [CANX/1543] (ab238078) loading control staining at 1/20000 dilution, shown in red. In Western blot, ab238142 was shown to bind specifically to NF1. A band was observed at 180-270 kDa in wild-type MCF7 cell lysates with no signal observed at this size in NF1 knockout cell line. To generate this image, wild-type and NF1 knockout MCF7 cell lysates were analysed. First, samples were run on an SDS-PAGE gel then transferred onto a nitrocellulose membrane. Membranes were blocked in 3 % milk in TBS-0.1 % Tween® 20 (TBS-T) before incubation with primary antibodies overnight at 4 °C. Blots were washed four times in TBS-T, incubated with secondary antibodies for 1 h at room temperature, washed again four times then imaged. Secondary antibodies used were Goat anti-Rabbit IgG H&L 800CW and Goat anti-Mouse IgG H&L 680RD at 1/20000 dilution.

All lanes:

Western blot - Anti-Neurofibromin antibody [EPR22989-68] (ab238142) at 1/1000 dilution

Lanes 1 - 4:

Western blot at 20 µg

Lane 2:

Western blot - Human NF1 knockout MCF7 cell line (<a href='/en-us/products/cell-lines/human-nf1-knockout-mcf7-cell-line-ab286416'>ab286416</a>) at 20 µg

Secondary

All lanes:

Goat anti-Rabbit IgG H&L 800CW and Goat anti-Mouse IgG H&L 680RD at 1/20000 dilution

Predicted band size: 319 kDa

false

Western blot - Anti-Neurofibromin antibody [EPR22989-68] (AB238142)
  • WB

Lab

Western blot - Anti-Neurofibromin antibody [EPR22989-68] (AB238142)

ab238142 was shown to specifically react with Neurofibromin in wild-type HAP1 cells as signal was lost in Neurofibromin knockout cells. Wild-type and Neurofibromin knockout samples were subjected to SDS-PAGE. ab238142 and ab129002 (Rabbit anti-Vinculin loading control) were incubated 1 hour at room temperature at 1/1000 dilution and 1/5000 dilution respectively. Blots were developed with Goat Anti-Rabbit IgG, (H+L), Peroxidase conjugated (ab97051) secondary antibody at 1/100,000 dilution for 1 hour at room temperature before imaging. The blot was developed on a BIO-RAD® ChemiDoc™ MP instrument using the ECL technique. Lysate should be made freshly and used in WB immediately to minimize protein degradation. Degraded fragment(250 KD) observed is consistent with what has been described in the literature (PMID : 30131853, PMID : 30408279).

Blocking and diluting buffer and concentration : 5% NFDM/TBST.

Exposure time : 26 seconds

All lanes:

Western blot - Anti-Neurofibromin antibody [EPR22989-68] (ab238142) at 1/1000 dilution

Lane 1:

Wild-type HAP1 whole cell lysate at 20 µg

Lane 2:

Neurofibromin knockout HAP1 whole cell lysate at 20 µg

Lane 3:

HeLa (human cervix adenocarcinoma epithelial cell) whole cell lysate at 20 µg

Secondary

All lanes:

Western blot - Goat Anti-Rabbit IgG H&L (HRP) (<a href='/en-us/products/secondary-antibodies/goat-rabbit-igg-h-l-hrp-ab97051'>ab97051</a>) at 1/50000 dilution

Predicted band size: 319 kDa

Observed band size: 250 kDa,300 kDa

false

Western blot - Anti-Neurofibromin antibody [EPR22989-68] (AB238142)
  • WB

Lab

Western blot - Anti-Neurofibromin antibody [EPR22989-68] (AB238142)

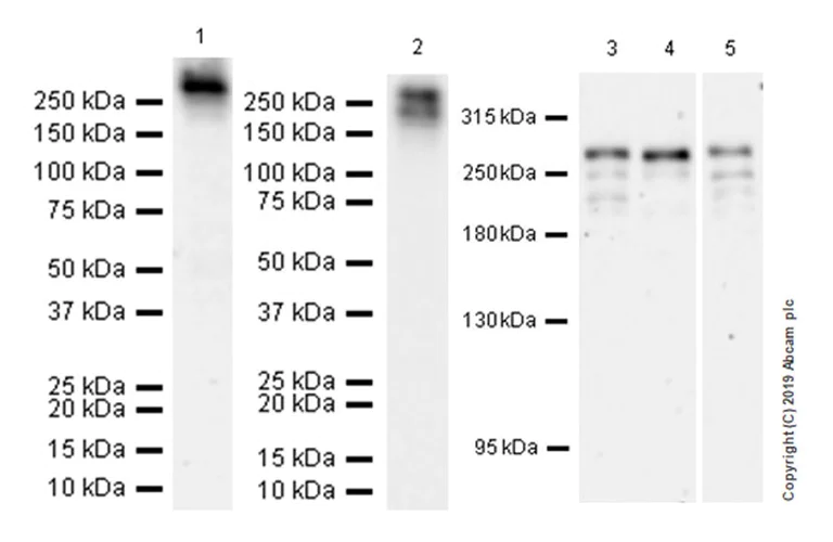
Degraded fragments (200-250 KD) observed is consistent with what has been described in the literature (PMID : 30131853, PMID : 30408279).

Blocking and diluting buffer and concentration : 5% NFDM/TBST.

Exposure time : Lane 1 : 3 minutes; Lane 2 : 26 seconds; Lanes 3-5 : 3 minutes.

All lanes:

Western blot - Anti-Neurofibromin antibody [EPR22989-68] (ab238142) at 1/1000 dilution

Lane 1:

Mouse brain lysate at 20 µg

Lane 2:

Rat brain lysate at 20 µg

Lane 3:

NIH/3T3 (mouse embryonic fibroblast) whole cell lysate at 20 µg

Lane 4:

MEF (mouse embryonic fibroblast (immortalized)) whole cell lysate at 20 µg

Lane 5:

PC-12 (rat adrenal gland heochromocytoma) whole cell lysate at 20 µg

Secondary

All lanes:

Western blot - Goat Anti-Rabbit IgG H&L (HRP) (<a href='/en-us/products/secondary-antibodies/goat-rabbit-igg-h-l-hrp-ab97051'>ab97051</a>) at 1/100000 dilution

Predicted band size: 319 kDa

Observed band size: 200 kDa,250 kDa,300 kDa

false

  • Carrier free

    Anti-Neurofibromin antibody [EPR22989-68] - BSA and Azide free

Key facts

Host species

Rabbit

Clonality

Monoclonal

Clone number

EPR22989-68

Isotype

IgG

Carrier free

No

Reacts with

Mouse, Rat, Human

Applications

WB

applications

Immunogen

The exact immunogen used to generate this antibody is proprietary information.

Reactivity data

{ "title": "Reactivity Data", "filters": { "stats": ["", "Species", "Dilution Info", "Notes"], "tabs": { "all-applications": {"fullname" : "All Applications", "shortname": "All Applications"}, "IP" : {"fullname" : "Immunoprecipitation", "shortname":"IP"}, "FlowCyt" : {"fullname" : "Flow Cytometry", "shortname":"Flow Cyt"}, "WB" : {"fullname" : "Western blot", "shortname":"WB"}, "IHCP" : {"fullname" : "Immunohistochemistry (Formalin/PFA-fixed paraffin-embedded sections)", "shortname":"IHC-P"}, "ICCIF" : {"fullname" : "Immunocytochemistry/ Immunofluorescence", "shortname":"ICC/IF"} }, "product-promise": { "all": "all", "testedAndGuaranteed": "tested", "guaranteed": "expected", "predicted": "predicted", "notRecommended": "not-recommended" } }, "values": { "Human": { "IP-species-checked": "notRecommended", "IP-species-dilution-info": "", "IP-species-notes": "<p></p>", "FlowCyt-species-checked": "notRecommended", "FlowCyt-species-dilution-info": "", "FlowCyt-species-notes": "<p></p>", "WB-species-checked": "testedAndGuaranteed", "WB-species-dilution-info": "1/1000", "WB-species-notes": "<p></p>", "IHCP-species-checked": "notRecommended", "IHCP-species-dilution-info": "", "IHCP-species-notes": "<p></p>", "ICCIF-species-checked": "notRecommended", "ICCIF-species-dilution-info": "", "ICCIF-species-notes": "<p></p>" }, "Mouse": { "IP-species-checked": "notRecommended", "IP-species-dilution-info": "", "IP-species-notes": "", "FlowCyt-species-checked": "notRecommended", "FlowCyt-species-dilution-info": "", "FlowCyt-species-notes": "", "WB-species-checked": "testedAndGuaranteed", "WB-species-dilution-info": "1/1000", "WB-species-notes": "<p></p>", "IHCP-species-checked": "notRecommended", "IHCP-species-dilution-info": "", "IHCP-species-notes": "<p></p>", "ICCIF-species-checked": "notRecommended", "ICCIF-species-dilution-info": "", "ICCIF-species-notes": "" }, "Rat": { "IP-species-checked": "notRecommended", "IP-species-dilution-info": "", "IP-species-notes": "", "FlowCyt-species-checked": "notRecommended", "FlowCyt-species-dilution-info": "", "FlowCyt-species-notes": "", "WB-species-checked": "testedAndGuaranteed", "WB-species-dilution-info": "1/1000", "WB-species-notes": "<p></p>", "IHCP-species-checked": "notRecommended", "IHCP-species-dilution-info": "", "IHCP-species-notes": "<p></p>", "ICCIF-species-checked": "notRecommended", "ICCIF-species-dilution-info": "", "ICCIF-species-notes": "" } } }

Product details

Patented technology
Our RabMAb® technology is a patented hybridoma-based technology for making rabbit monoclonal antibodies. For details on our patents, please refer to RabMAb® patents.

What are the advantages of a recombinant monoclonal antibody?
This product is a recombinant monoclonal antibody, which offers several advantages including:

  • - High batch-to-batch consistency and reproducibility
  • - Improved sensitivity and specificity
  • - Long-term security of supply
  • - Animal-free batch production

For more information, read more on recombinant antibodies.

Properties and storage information

Form
Liquid
Purification technique
Affinity purification Protein A
Storage buffer
pH: 7.2 - 7.4 Preservative: 0.01% Sodium azide Constituents: PBS, 40% Glycerol (glycerin, glycerine), 0.05% BSA
Shipped at conditions
Blue Ice
Appropriate short-term storage duration
1-2 weeks
Appropriate short-term storage conditions
+4°C
Appropriate long-term storage conditions
-20°C
Aliquoting information
Upon delivery aliquot
Storage information
Avoid freeze / thaw cycle

Supplementary information

This supplementary information is collated from multiple sources and compiled automatically.

Neurofibromin is a protein that functions as a Ras GTPase-activating protein acting to promote the hydrolysis of Ras-bound GTP to GDP which inactivates Ras signaling. This regulatory function involves the suppression of excessive cell proliferation and differentiation. Alternate names for neurofibromin include NF1 or neurofibromin 1. The mass of neurofibromin is approximately 327 kDa. Neurofibromin is expressed widely across various tissues with notable expression in the nervous system and the brain.
Biological function summary

Neurofibromin regulates pathways involved in cell growth and development. It does not form part of a large multiprotein complex but interacts with microtubules and other signaling proteins to carry out its regulatory functions. Neurofibromin primarily affects pathways that manage cell cycle progression and it plays a critical role in inhibiting uncontrolled cell growth ensuring proper cellular homeostasis.

Pathways

Neurofibromin fits into the Ras-MAPK pathway where it controls the activity of Ras an important regulatory protein involved in signal transduction related to cell division and differentiation. Neurofibromin's action on Ras directly impacts the activation of the MAPK pathway which is important in mediating cellular responses to growth signals. This protein also interacts functionally with proteins like SOS1 another regulator of Ras emphasizing its role in fine-tuning signal cascades that ensure balanced cellular function.

Neurofibromin's dysregulation is most commonly associated with neurofibromatosis type 1 a genetic disorder characterized by the development of benign tumors in the nervous system. The loss of neurofibromin function leads to unregulated Ras activity resulting in tumorigenesis. Additionally neurofibromin is implicated in certain sporadic cancers due to its role in controlling cell proliferation. In neurofibromatosis type 1 interactions between neurofibromin and proteins such as p53 a known tumor suppressor highlight its significance in disease pathways and tumor suppression mechanisms.

Product protocols

For this product, it's our understanding that no specific protocols are required. You can visit:

Target data

Stimulates the GTPase activity of Ras. NF1 shows greater affinity for Ras GAP, but lower specific activity. May be a regulator of Ras activity.
See full target information NF1

Publications (2)

Recent publications for all applications. Explore the full list and refine your search

The Journal of clinical investigation 135: PubMed40590220

2025

A haploinsufficiency restoration strategy corrects neurobehavioral deficits in Nf1+/- mice.

Applications

Unspecified application

Species

Unspecified reactive species

Su Jung Park,Jodi L Lukkes,Ka-Kui Chan,Hayley P Drozd,Callie B Burgin,Shaomin Qian,Morgan McKenzie Sullivan,Cesar Gabriel Guevara,Nolen Cunningham,Stephanie Arenas,Makenna A Collins,Jacob Zucker,JinHee Won,Abbi Smith,Li Jiang,Dana K Mitchell,Steven D Rhodes,Steven P Angus,D Wade Clapp

Molecular oncology 19:825-851 PubMed39129390

2024

Inhibition of autophagy as a novel treatment for neurofibromatosis type 1 tumors.

Applications

Unspecified application

Species

Unspecified reactive species

Megan Stevens,Yuanli Wang,Stephanie J Bouley,Torrey R Mandigo,Aditi Sharma,Sonali Sengupta,Amy Housden,Norbert Perrimon,James A Walker,Benjamin E Housden
View all publications

Product promise

We are committed to supporting your work with high-quality reagents, and we're here for you every step of the way. In the unlikely event that one of our products does not perform as expected, you're protected by our Product Promise.
For full details, please see our Terms & Conditions

Please note: All products are 'FOR RESEARCH USE ONLY. NOT FOR USE IN DIAGNOSTIC OR THERAPEUTIC PROCEDURES'.

For licensing inquiries, please contact partnerships@abcam.com