JavaScript is disabled in your browser. Please enable JavaScript to view this website.
AB19386

Anti-Neurofilament heavy polypeptide antibody [3G3]

Be the first to review this product! Submit a review

|

(5 Publications)

Mouse Monoclonal Neurofilament heavy polypeptide antibody. Suitable for IHC-P, WB, ICC/IF and reacts with Rat, Human samples. Cited in 5 publications. Immunogen corresponding to Synthetic Peptide within Human NEFH aa 1-250.

View Alternative Names

KIAA0845, NFH, NEFH, Neurofilament heavy polypeptide, NF-H, 200 kDa neurofilament protein, Neurofilament triplet H protein

4 Images
Western blot - Anti-Neurofilament heavy polypeptide antibody [3G3] (AB19386)
  • WB

Supplier Data

Western blot - Anti-Neurofilament heavy polypeptide antibody [3G3] (AB19386)

Results show a band at ~200 kDa.

All lanes:

Western blot - Anti-Neurofilament heavy polypeptide antibody [3G3] (ab19386) at 1/500 dilution

Lane 1:

SH-SY5Y (human neuroblastoma cell line from bone marrow) whole cell lysate at 25 µg

Lane 2:

Rat brain tissue lysates at 25 µg

Secondary

All lanes:

HRP-conjugated secondary antibody

Predicted band size: 112 kDa

false

Immunohistochemistry (Formalin/PFA-fixed paraffin-embedded sections) - Anti-Neurofilament heavy polypeptide antibody [3G3] (AB19386)
  • IHC-P

Supplier Data

Immunohistochemistry (Formalin/PFA-fixed paraffin-embedded sections) - Anti-Neurofilament heavy polypeptide antibody [3G3] (AB19386)

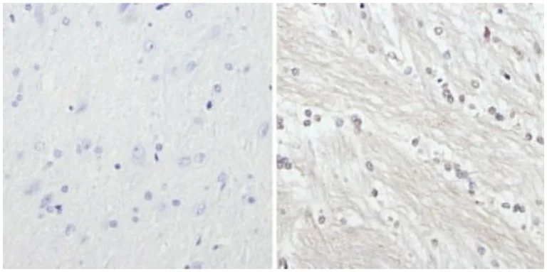
Immunohistochemistry analysis of paraffin-embedded rat brain tissue (right) compared to a negative control without primary antibody (left) labelling Neurofilament Heavy Chain with ab19386. Positive staining in the cytoplasm and nucleus (right).

To expose target proteins, antigen retrieval was performed using 10mM sodium citrate (pH 6.0), microwaved for 8-15 min. Following antigen retrieval, tissues were blocked in 3% H2O2-methanol for 15 min at room temperature, washed with ddH2O and PBS, and then probed with a Neurofilament Heavy Chain monoclonal antibody diluted in 3% BSA-PBS at 1/20 dilution overnight at 4°C in a humidified chamber. Tissues were washed extensively in PBST and detection was performed using an HRP-conjugated secondary antibody followed by colorimetric detection using a DAB kit. Tissues were counterstained with hematoxylin and dehydrated with ethanol and xylene to prep for mounting.

Immunohistochemistry (Formalin/PFA-fixed paraffin-embedded sections) - Anti-Neurofilament heavy polypeptide antibody [3G3] (AB19386)
  • IHC-P

Supplier Data

Immunohistochemistry (Formalin/PFA-fixed paraffin-embedded sections) - Anti-Neurofilament heavy polypeptide antibody [3G3] (AB19386)

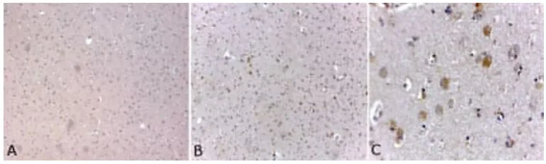
Immunohistochemistry analysis of Neurofilament, Heavy chain showing staining in the cytoplasm and axons of formalin-fixed, paraffin-embedded human brain tissue (B) and magnified section (C) compared with an isotype control (A). To expose target proteins, antigen retrieval was performed using HEIR with a buffer (pH 6.2). Tissues were probed with a Neurofilament, Heavy chain monoclonal antibody for 60 minutes at a dilution of 2 μg/mL and detection was performed using an HRP-conjugated detection system for 30 minutes followed by DAB staining.

Immunocytochemistry/ Immunofluorescence - Anti-Neurofilament heavy polypeptide antibody [3G3] (AB19386)
  • ICC/IF

Unknown

Immunocytochemistry/ Immunofluorescence - Anti-Neurofilament heavy polypeptide antibody [3G3] (AB19386)

Immunofluorescence of neurofilament, heavy chain in rat cerebral cortex cultures in green.

Key facts

Host species

Mouse

Clonality

Monoclonal

Clone number

3G3

Isotype

IgG

Carrier free

No

Reacts with

Rat, Human

Applications

IHC-P, ICC/IF, WB

applications

Immunogen

Synthetic Peptide within Human NEFH aa 1-250. The exact immunogen used to generate this antibody is proprietary information.

P12036

Reactivity data

{ "title": "Reactivity Data", "filters": { "stats": ["", "Species", "Dilution Info", "Notes"], "tabs": { "all-applications": {"fullname" : "All Applications", "shortname": "All Applications"}, "IHCP" : {"fullname" : "Immunohistochemistry (Formalin/PFA-fixed paraffin-embedded sections)", "shortname":"IHC-P"}, "WB" : {"fullname" : "Western blot", "shortname":"WB"}, "ICCIF" : {"fullname" : "Immunocytochemistry/ Immunofluorescence", "shortname":"ICC/IF"} }, "product-promise": { "all": "all", "testedAndGuaranteed": "tested", "guaranteed": "expected", "predicted": "predicted", "notRecommended": "not-recommended" } }, "values": { "Human": { "IHCP-species-checked": "testedAndGuaranteed", "IHCP-species-dilution-info": "1/10.00000 - 1/100.00000", "IHCP-species-notes": "<p></p> Perform heat-mediated antigen retrieval with citrate buffer pH 6 before commencing with IHC staining protocol.", "WB-species-checked": "testedAndGuaranteed", "WB-species-dilution-info": "1/100.00000 - 1/1000.00000", "WB-species-notes": "<p></p>", "ICCIF-species-checked": "guaranteed", "ICCIF-species-dilution-info": "", "ICCIF-species-notes": "" }, "Rat": { "IHCP-species-checked": "testedAndGuaranteed", "IHCP-species-dilution-info": "1/10.00000 - 1/100.00000", "IHCP-species-notes": "<p></p> Perform heat-mediated antigen retrieval with citrate buffer pH 6 before commencing with IHC staining protocol.", "WB-species-checked": "testedAndGuaranteed", "WB-species-dilution-info": "1/100.00000 - 1/1000.00000", "WB-species-notes": "<p></p>", "ICCIF-species-checked": "testedAndGuaranteed", "ICCIF-species-dilution-info": "5 µg/mL", "ICCIF-species-notes": "<p></p>" } } }

You may be interested in:

AB272199

Human Neurofilament H ELISA Kit (200 kDa Neurofilament protein)

0

0 Reviews

View product

We recommend this product because it’s often used in the same experiment or related research.

We advise that you always check the datasheet to ensure it fits your experiments, or contact ourtechnical teamfor help.

Properties and storage information

Form
Liquid
Purification technique
Affinity purification Protein G
Storage buffer
Preservative: 0.05% Sodium azide Constituents: PBS, 0.1% BSA
Shipped at conditions
Blue Ice
Appropriate short-term storage conditions
+4°C
Appropriate long-term storage conditions
-20°C
Aliquoting information
Upon delivery aliquot
Storage information
Avoid freeze / thaw cycle

Supplementary information

This supplementary information is collated from multiple sources and compiled automatically.

Neurofilament heavy polypeptide often referred to as NF-H or neurofilament heavy chain plays an important role in the structural integrity of neurons. This protein is a critical component of the cytoskeleton in neurons consisting of an approximate molecular mass of 200 kDa. It is predominantly expressed in the neuronal axons where it contributes to the assembly and stability of neurofilament structures. NF-H is essential for maintaining axonal diameter and for proper conduction of electrical impulses along nerve fibers.
Biological function summary

This polypeptide participates in the formation of neurofilament a complex structure that includes other neurofilament proteins like the neurofilament light (NF-L) and neurofilament medium (NF-M). These proteins form a stable scaffold within the axon aiding in neuronal growth and repair. The phosphorylation of NF-H modulates its interactions within the neurofilament network influencing axonal transport processes and dynamics which are vital for neuron function and survival.

Pathways

Neurofilament heavy polypeptide is integral to the axonal transport pathway important in conveying molecules between the neuronal cell body and the synaptic terminals. Through its interactions with microtubules and motor proteins NF-H facilitates the movement of organelles and neurotransmitters. It has significant associations with proteins involved in the ubiquitin-proteasome system reflecting its role in maintaining neuronal homeostasis and proteostasis essential in neuronal development and function.

Neurofilament heavy polypeptide serves as an important biomarker for neurodegenerative disorders such as Amyotrophic Lateral Sclerosis (ALS) and Alzheimer's disease. NF-H especially in phosphorylated form accumulates in conditions of axonal injury or degeneration. It often interacts with tau protein in Alzheimer's pathology forming neurofibrillary tangles. Elevated levels of NF-H in cerebrospinal fluid or blood can indicate neuronal damage offering insights into disease progression and potential targets for therapeutic intervention.

Product protocols

For this product, it's our understanding that no specific protocols are required. You can visit:

Target data

Neurofilaments usually contain three intermediate filament proteins : NEFL, NEFM, and NEFH which are involved in the maintenance of neuronal caliber. NEFH has an important function in mature axons that is not subserved by the two smaller NF proteins. May additionally cooperate with the neuronal intermediate filament proteins PRPH and INA to form neuronal filamentous networks (By similarity).
See full target information NEFH

Publications (5)

Recent publications for all applications. Explore the full list and refine your search

Frontiers in neuroscience 16:808983 PubMed35237120

2022

Partial Restoration of Spinal Cord Neural Continuity Sural Nerve Transplantation Using a Technique of Spinal Cord Fusion.

Applications

Unspecified application

Species

Unspecified reactive species

Xiaoping Ren,Weihua Zhang,Jian Mo,Jie Qin,Yi Chen,Jie Han,Xinjian Feng,Linxuan Han,Sitan Feng,Haibo Liang,Liangjue Cen,Xiaofei Wu,Chunxing Huang,Haixuan Deng,Zhenbin Cao,Huihui Yao,Rongyu Lan,Xiaogang Wang,Shuai Ren

Scientific reports 12:1388 PubMed35082405

2022

The effect of charge-balanced transcutaneous electrical nerve stimulation on rodent facial nerve regeneration.

Applications

Unspecified application

Species

Unspecified reactive species

Young Sang Cho,Onjeon Ryu,Kyeongwon Cho,Dohyoung Kim,Jihyun Lim,Sung Hwa Hong,Yang-Sun Cho

Frontiers in physiology 9:1461 PubMed30374312

2018

Role of TNF-α in Regulating the Exercise Pressor Reflex in Rats With Femoral Artery Occlusion.

Applications

Unspecified application

Species

Unspecified reactive species

Jihong Xing,Jian Lu,Jianhua Li

Journal of neuroscience methods 304:46-51 PubMed29596858

2018

A novel histochemical method of simultaneous detection by a single- or double-immunofluorescence and Bielschowsky's silver staining in teased rat sciatic nerves.

Applications

ICC/IF

Species

Unspecified reactive species

Edith Segura-Anaya,Rommel Flores-Miranda,Alejandro Martínez-Gómez,Myrna A R Dent

PloS one 10:e0145235 PubMed26678612

2015

Human Dermal Fibroblasts Demonstrate Positive Immunostaining for Neuron- and Glia- Specific Proteins.

Applications

ICC/IF, ICC/IF

Species

Human, Mouse

C J Janmaat,K E de Rooij,H Locher,S C de Groot,J C M J de Groot,J H M Frijns,M A Huisman
View all publications

Product promise

We are committed to supporting your work with high-quality reagents, and we're here for you every step of the way. In the unlikely event that one of our products does not perform as expected, you're protected by our Product Promise.
For full details, please see our Terms & Conditions

Associated Products

Select an associated product type
Alternative Product
Primary Antibodies

AB234296

Anti-Neurofilament heavy polypeptide antibody [rNF421]

primary-antibodies

neurofilament-heavy-polypeptide-antibody-rnf421-ab234296

0

(0 reviews)

Alternative Product
Primary Antibodies

AB207176

Anti-Neurofilament heavy polypeptide antibody [EPR20020]

primary-antibodies

neurofilament-heavy-polypeptide-antibody-epr20020-ab207176

0

(0 reviews)

Alternative Product
Primary Antibodies

AB40796

Anti-Neurofilament heavy polypeptide antibody [EP673Y]

primary-antibodies

neurofilament-heavy-polypeptide-antibody-ep673y-ab40796

2

(3 reviews)

Alternative Product
Primary Antibodies

AB223139

Anti-Neurofilament heavy polypeptide antibody [EPR20020] - BSA and Azide free

primary-antibodies

neurofilament-heavy-polypeptide-antibody-epr20020-bsa-and-azide-free-ab223139

0

(0 reviews)

Alternative Product
Primary Antibodies

AB236319

Anti-Neurofilament heavy polypeptide antibody [rNF421] - BSA and Azide free

primary-antibodies

neurofilament-heavy-polypeptide-antibody-rnf421-bsa-and-azide-free-ab236319

0

(0 reviews)

Please note: All products are 'FOR RESEARCH USE ONLY. NOT FOR USE IN DIAGNOSTIC OR THERAPEUTIC PROCEDURES'.

For licensing inquiries, please contact partnerships@abcam.com