JavaScript is disabled in your browser. Please enable JavaScript to view this website.
AB247290

Anti-Neurofilament heavy polypeptide antibody [EP673Y] - BSA and Azide free

Be the first to review this product! Submit a review

|

(0 Publication)

Rabbit Recombinant Monoclonal Neurofilament heavy polypeptide antibody. Carrier free. Suitable for WB, IHC-P and reacts with Human, Mouse, Rat samples.

View Alternative Names

KIAA0845, NFH, NEFH, Neurofilament heavy polypeptide, NF-H, 200 kDa neurofilament protein, Neurofilament triplet H protein

5 Images
Immunohistochemistry (Formalin/PFA-fixed paraffin-embedded sections) - Anti-Neurofilament heavy polypeptide antibody [EP673Y] - BSA and Azide free (AB247290)
  • IHC-P

Unknown

Immunohistochemistry (Formalin/PFA-fixed paraffin-embedded sections) - Anti-Neurofilament heavy polypeptide antibody [EP673Y] - BSA and Azide free (AB247290)

This data was developed using ab40796, the same antibody clone in a different buffer formulation.

Immunohistochemistry (Formalin/PFA-fixed paraffin-embedded sections) analysis of human gliocytoma tissue labelling Neurofilament heavy polypeptide with purified ab40796 at 1/8000. Heat mediated antigen retrieval was performed using Tris/EDTA buffer pH 9. ab97051, a HRP-conjugated goat anti-rabbit IgG (H+L) was used as the secondary antibody. Negative control using PBS instead of primary antibody. Counterstained with hematoxylin.

Immunohistochemistry (Formalin/PFA-fixed paraffin-embedded sections) - Anti-Neurofilament heavy polypeptide antibody [EP673Y] - BSA and Azide free (AB247290)
  • IHC-P

Supplier Data

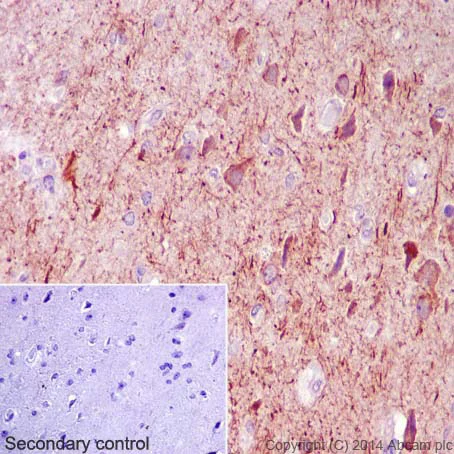
Immunohistochemistry (Formalin/PFA-fixed paraffin-embedded sections) - Anti-Neurofilament heavy polypeptide antibody [EP673Y] - BSA and Azide free (AB247290)

This data was developed using ab40796, the same antibody clone in a different buffer formulation.

Immunohistochemistry (Formalin/PFA-fixed paraffin-embedded sections) analysis of human brain glyoma tissue labelling

Neurofilament heavy polypeptide with unpurified ab40796.

Perform heat mediated antigen retrieval with Tris/EDTA buffer pH 9.0 before commencing with IHC staining protocol.

Western blot - Anti-Neurofilament heavy polypeptide antibody [EP673Y] - BSA and Azide free (AB247290)
  • WB

Lab

Western blot - Anti-Neurofilament heavy polypeptide antibody [EP673Y] - BSA and Azide free (AB247290)

This data was developed using ab40796, the same antibody clone in a different buffer formulation.

Blocking and dilution buffer : 5% NFDM/TBST.

All lanes:

Western blot - Anti-Neurofilament heavy polypeptide antibody [EP673Y] (<a href='/en-us/products/primary-antibodies/neurofilament-heavy-polypeptide-antibody-ep673y-ab40796'>ab40796</a>) at 1/2000 dilution

All lanes:

Human brain tissue lysate at 20 µg

Secondary

All lanes:

Peroxidase-conjugated goat anti-rabbit IgG (H+L) at 1/1000 dilution

Predicted band size: 112 kDa

Observed band size: 200-220 kDa

false

Western blot - Anti-Neurofilament heavy polypeptide antibody [EP673Y] - BSA and Azide free (AB247290)
  • WB

Lab

Western blot - Anti-Neurofilament heavy polypeptide antibody [EP673Y] - BSA and Azide free (AB247290)

This data was developed using ab40796, the same antibody clone in a different buffer formulation.

Blocking and dilution buffer : 5% NFDM/TBST.

All lanes:

Western blot - Anti-Neurofilament heavy polypeptide antibody [EP673Y] (<a href='/en-us/products/primary-antibodies/neurofilament-heavy-polypeptide-antibody-ep673y-ab40796'>ab40796</a>) at 1/2000 dilution

Lane 1:

Mouse brain tissue lysate at 20 µg

Lane 2:

Rat brain tissue lysate at 20 µg

Secondary

All lanes:

Peroxidase-conjugated goat anti-rabbit IgG (H+L) at 1/1000 dilution

Predicted band size: 112 kDa

Observed band size: 200-220 kDa

false

Western blot - Anti-Neurofilament heavy polypeptide antibody [EP673Y] - BSA and Azide free (AB247290)
  • WB

Unknown

Western blot - Anti-Neurofilament heavy polypeptide antibody [EP673Y] - BSA and Azide free (AB247290)

This data was developed using ab40796, the same antibody clone in a different buffer formulation.

All lanes:

Western blot - Anti-Neurofilament heavy polypeptide antibody [EP673Y] (<a href='/en-us/products/primary-antibodies/neurofilament-heavy-polypeptide-antibody-ep673y-ab40796'>ab40796</a>) at 1/2000 dilution

All lanes:

Rat brain tissue lysate

Predicted band size: 112 kDa

Observed band size: 200 kDa,75 kDa

false

  • Unconjugated

    Anti-Neurofilament heavy polypeptide antibody [EP673Y]

Key facts

Host species

Rabbit

Clonality

Monoclonal

Clone number

EP673Y

Isotype

IgG

Carrier free

Yes

Reacts with

Mouse, Rat, Human

Applications

IHC-P, WB

applications

Immunogen

The exact immunogen used to generate this antibody is proprietary information.

Specificity

This antibody recognises Neuofilaments (NF).

Reactivity data

{ "title": "Reactivity Data", "filters": { "stats": ["", "Species", "Dilution Info", "Notes"], "tabs": { "all-applications": {"fullname" : "All Applications", "shortname": "All Applications"}, "WB" : {"fullname" : "Western blot", "shortname":"WB"}, "IHCP" : {"fullname" : "Immunohistochemistry (Formalin/PFA-fixed paraffin-embedded sections)", "shortname":"IHC-P"} }, "product-promise": { "all": "all", "testedAndGuaranteed": "tested", "guaranteed": "expected", "predicted": "predicted", "notRecommended": "not-recommended" } }, "values": { "Human": { "WB-species-checked": "testedAndGuaranteed", "WB-species-dilution-info": "", "WB-species-notes": "<p></p>", "IHCP-species-checked": "testedAndGuaranteed", "IHCP-species-dilution-info": "", "IHCP-species-notes": "<p></p>" }, "Mouse": { "WB-species-checked": "testedAndGuaranteed", "WB-species-dilution-info": "", "WB-species-notes": "<p></p>", "IHCP-species-checked": "guaranteed", "IHCP-species-dilution-info": "", "IHCP-species-notes": "" }, "Rat": { "WB-species-checked": "testedAndGuaranteed", "WB-species-dilution-info": "", "WB-species-notes": "<p></p>", "IHCP-species-checked": "guaranteed", "IHCP-species-dilution-info": "", "IHCP-species-notes": "" } } }

Product details

ab247290 is the carrier-free version of ab40796.

Patented technology
Our RabMAb® technology is a patented hybridoma-based technology for making rabbit monoclonal antibodies. For details on our patents, please refer to RabMAb® patents.

What are the advantages of a recombinant monoclonal antibody?
This product is a recombinant monoclonal antibody, which offers several advantages including:

  • - High batch-to-batch consistency and reproducibility
  • - Improved sensitivity and specificity
  • - Long-term security of supply
  • - Animal-free batch production

For more information, read more on recombinant antibodies.

Conjugation ready
Our carrier-free antibodies are typically supplied in a PBS-only formulation, purified and free of BSA, sodium azide and glycerol. This conjugation-ready format is designed for use with fluorochromes, metal isotopes, oligonucleotides, and enzymes, which makes them ideal for antibody labelling, functional and cell-based assays, flow-based assays (e.g. mass cytometry) and Multiplex Imaging applications.

Use our conjugation kits for antibody conjugates that are ready-to-use in as little as 20 minutes with 1 minute hands-on-time and 100% antibody recovery: available for fluorescent dyes, HRP, biotin and gold.

Compatibility
This product is compatible with the Maxpar® Antibody Labeling Kit from Fluidigm, without the need for antibody preparation. Maxpar® is a trademark of Fluidigm Canada Inc.

Properties and storage information

Form
Liquid
Purification technique
Affinity purification Protein A
Storage buffer
pH: 7.2 - 7.4 Constituents: PBS
Shipped at conditions
Blue Ice
Appropriate short-term storage conditions
+4°C
Appropriate long-term storage conditions
+4°C
Storage information
Do Not Freeze

Supplementary information

This supplementary information is collated from multiple sources and compiled automatically.

Neurofilament heavy polypeptide often referred to as NF-H or neurofilament heavy chain plays an important role in the structural integrity of neurons. This protein is a critical component of the cytoskeleton in neurons consisting of an approximate molecular mass of 200 kDa. It is predominantly expressed in the neuronal axons where it contributes to the assembly and stability of neurofilament structures. NF-H is essential for maintaining axonal diameter and for proper conduction of electrical impulses along nerve fibers.
Biological function summary

This polypeptide participates in the formation of neurofilament a complex structure that includes other neurofilament proteins like the neurofilament light (NF-L) and neurofilament medium (NF-M). These proteins form a stable scaffold within the axon aiding in neuronal growth and repair. The phosphorylation of NF-H modulates its interactions within the neurofilament network influencing axonal transport processes and dynamics which are vital for neuron function and survival.

Pathways

Neurofilament heavy polypeptide is integral to the axonal transport pathway important in conveying molecules between the neuronal cell body and the synaptic terminals. Through its interactions with microtubules and motor proteins NF-H facilitates the movement of organelles and neurotransmitters. It has significant associations with proteins involved in the ubiquitin-proteasome system reflecting its role in maintaining neuronal homeostasis and proteostasis essential in neuronal development and function.

Neurofilament heavy polypeptide serves as an important biomarker for neurodegenerative disorders such as Amyotrophic Lateral Sclerosis (ALS) and Alzheimer's disease. NF-H especially in phosphorylated form accumulates in conditions of axonal injury or degeneration. It often interacts with tau protein in Alzheimer's pathology forming neurofibrillary tangles. Elevated levels of NF-H in cerebrospinal fluid or blood can indicate neuronal damage offering insights into disease progression and potential targets for therapeutic intervention.

Product protocols

For this product, it's our understanding that no specific protocols are required. You can visit:

Target data

Neurofilaments usually contain three intermediate filament proteins : NEFL, NEFM, and NEFH which are involved in the maintenance of neuronal caliber. NEFH has an important function in mature axons that is not subserved by the two smaller NF proteins. May additionally cooperate with the neuronal intermediate filament proteins PRPH and INA to form neuronal filamentous networks (By similarity).
See full target information NEFH

Product promise

We are committed to supporting your work with high-quality reagents, and we're here for you every step of the way. In the unlikely event that one of our products does not perform as expected, you're protected by our Product Promise.
For full details, please see our Terms & Conditions

Please note: All products are 'FOR RESEARCH USE ONLY. NOT FOR USE IN DIAGNOSTIC OR THERAPEUTIC PROCEDURES'.

For licensing inquiries, please contact partnerships@abcam.com